
厦门大学附属心血管病医院王焱院长团队,近日成功为一名合并严重脊柱侧弯(致心脏转位)、二尖瓣重度反流的外科高危患者,成功实施经导管二尖瓣缘对缘修复术(TEER)。
患者因严重脊柱侧弯无法平躺,只能处于半靠卧状态,这给麻醉工作带来极大阻碍。更具挑战的是,脊柱侧弯导致患者心脏解剖结构发生极大改变,房间隔穿刺路径极度迂曲,大大增加了手术操作难度。手术团队借助CT三维解剖重建,精准明确畸形结构,使用MitraClip™G4完成瓣膜精准修复,克服重重困难在半靠位完成手术。术后经食道超声评估,患者二尖瓣返流量<1+,压差1.5mmHg,手术获圆满成功。该病例的突破,彰显了团队在复杂心脏介入领域的技术实力,为同类高难度患者的治疗提供了重要参考。

患者病史
患者为79岁女性,身患多种疾病,情况复杂。合并严重脊柱侧弯,长期受卧床心衰困扰,还患有阵发性房颤、慢性心功能不全急性加重,以及肥厚型梗阻性心肌病(HOCM)。同时存在非风湿性二尖瓣关闭不全(因腱索断裂所致)。由于多系统病变叠加,外科手术风险极高,围手术期死亡风险显著增加,为进一步开展介入诊疗,遂以“二尖瓣脱垂伴关闭不全”为由收入院。
术前TEE评估
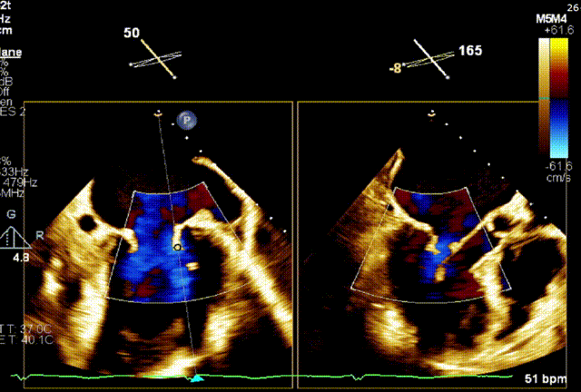
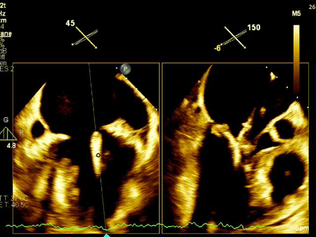
经食道超声提示,患者二尖瓣P1 commissural脱垂、腱索断裂合并重度反流(Carpentier II型/DMR4+)。
二尖瓣后瓣环明显钙化;主动脉瓣轻度钙化;三尖瓣中度功能性反流(FTR2+)。左房明显扩大;左室壁非对称性肥厚,以室间隔基底段肥厚为著(HOCM)。左室整体收缩功能正常。
二尖瓣环AP径33mm,二尖瓣后瓣环明显钙化,房间隔拟穿刺高度40mm;二尖辦脱垂宽度5.7mm,脱垂高度7.7mm,二尖瓣1区前叶长度29mm,后叶长度19mm,二尖瓣2区前叶长度23mm,后叶长度14mm,MVA=4.0cm²。



术前1区X-Plane反流情况


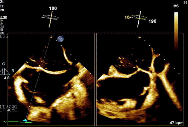
术前3D VIEW
手术难点和挑战
1.脊柱解剖畸形引发入路困境
患者严重脊柱侧弯,无法平躺,首次手术尝试左右股静脉穿刺时,导管因解剖迂曲难以抵达房间隔,手术被迫终止。团队通过CT三维重建技术精准解析心脏及血管结构,最终明确穿刺路径。
2.二尖瓣病变复杂程度高
患者二尖瓣P1区脱垂伴重度反流,且后瓣环钙化明显,多重病变叠加显著增加了瓣膜修复的操作难度。


手术过程
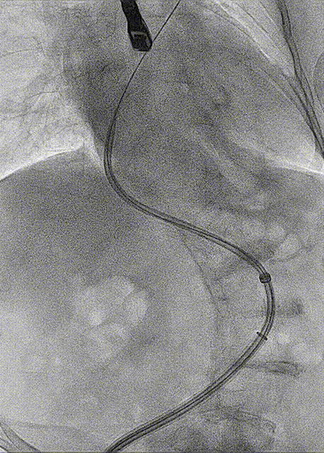
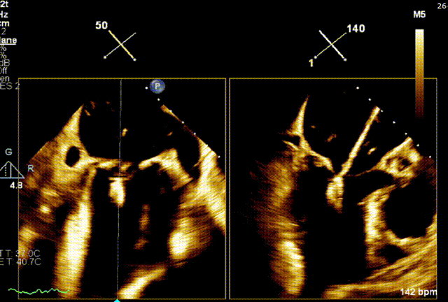
患者严重脊柱侧弯,仰卧抬足位于导管床,麻醉成功后。患者仰卧位,常规消毒、辅巾,穿刺左侧颈内静脉置管;穿刺左侧桡动脉测压。穿刺右侧股静胁,植入7F动脉鞘:放置PIG管于右房在房间隔切线位造影(延迟显像暴露LA),在Agilis-s可调弯鞠支持下TEE显示靠近房间隔,上下腔切面tenting不明显。考虑弯度欠佳,更换为Agilis-L可调弯鞘支持下房间隔穿刺鞘再次靠近房间隔,在TEE指导下 conquest pro钢丝连接电刀50/50J,成功穿刺进入左房,以Maverick 2.0*20mm球囊、QUANTUM 4.0*15mm、 QUANTUM 5.0*12mm球囊扩张房间隔,在extention连接钢丝下交换为房间隔穿刺鞘管进入左房,予super stiff置入左上肺静脉,于右股静脉沿super stiff推送MiaClap Guide Catheter G4于左房(因股静脉一右房-左房路径严重迂曲,SGC呈反方向)。于经食道超声指引下,推送XTW Clip Delivery System至二尖瓣左房面(inverted loading),食道超声确认12点钟方向推送至二尖瓣左室面,重新调整DC handle。使Clip Arm至1点钟方向。顺利捕捉二尖瓣前叶A1及后叶P1区域(覆盖脱垂区域),Gripper dowm后关闭Clip Arm 、 经食道超声评估二尖瓣返流量明显减少,确认有效夹持长度,确认瓣叶夹持牢固,释放瓣膜架。经食道超声再次评估二尖瓣返流量<1+,二尖瓣压差1.5mmHg,退出MitraClip系统。





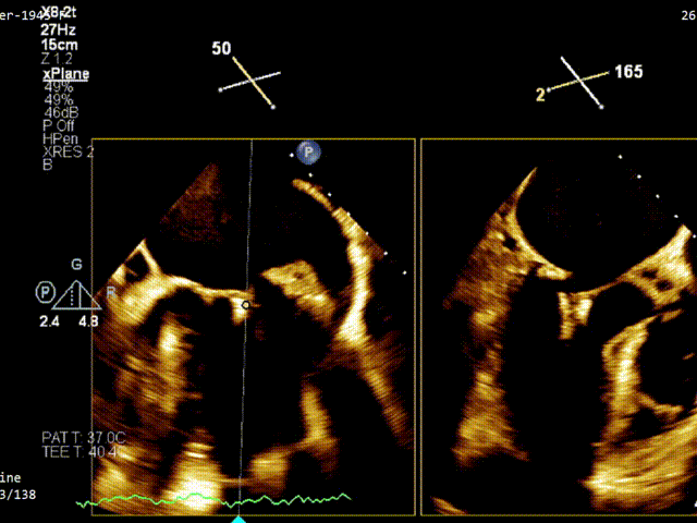
房间隔穿刺
手术过程






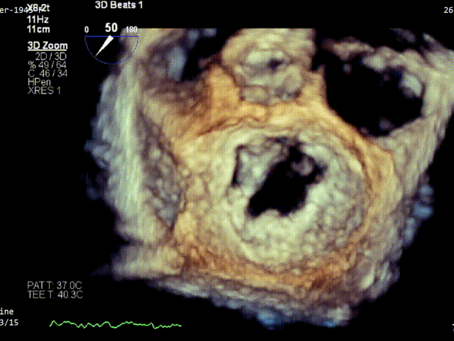
手术结果






术后总结
在厦心进修的“心苗计划”学员,包括埃及、印度、巴西等国家的访问学者纷纷表示,在各自的医学生涯中,从未见过如此罕见且极具挑战性的病例。
术后,王焱院长强调,该手术因患者严重脊柱侧弯引发心脏转位、血管迂曲,房间隔穿刺路径复杂程度堪称“技术禁区”。团队凭借多模态影像融合(CT三维血管与心脏重建+经食道超声实时引导)精准解构畸形解剖,通过鞘管更换、球囊序贯扩张等精细操作,最终突破这一核心难题。这既为脊柱畸形合并心脏瓣膜病患者开辟了介入治疗新路径,也为TEER技术在极端复杂病例中的应用筑牢了技术根基,未来团队将持续攻坚,为更多疑难患者带来生命希望。
