
近日,上海市同济医院心内科刘学波教授、周琳教授、来晏教授及全体医护团队成功完成Netrod®星带®网状多电极肾动脉射频消融系统上市后首台临床实践。上海市同济医院作为RDN疗法的先驱者之一,早在2021年便深度参与Netrod®-HTN临床试验,本次手术不仅丰富了同济医院在高血压介入治疗领域的临床经验,也开启了RDN治疗高血压的新篇章,为广大高血压患者带来了全新的治疗选择!

同济大学附属同济医院
刘学波、周琳、来晏教授及全体医护团队
患者信息
主诉:高血压史10余年,间断性头昏。
现病史:中年女性,患者10余年前,因家庭突发情况后出现血压升高,偶伴有头晕、心悸,规律服用降压药物,血压控制欠佳,症状无明显缓解。半个月前患者无明显诱因下再发头昏加重,伴恶心,心悸,自测血压170mmHg+,诊断为“高血压3级(极高危)”,服用降压药物后血压仍波动在130-170/80-96mmHg。
术前用药情况:
利血平0.032mg 2次/天
氢氯噻嗪3.1mg 2次/天
美托洛尔 50mg 1次/天

术前RDN可行性和获益评估
继发性高血压筛查:
入院查体:24h动态血压142/87 mmHg,体温36.5℃,心率70次/分。完善相关实验室检查,患者血钾3.73 mmol/L,高血压五项:血皮质醇291nmol/L,肾素(立位)0.34ng/ml,醛固酮(立位)8.85ng/ml,肾功能5项:肌酐8.61mmol/l,尿酸476umol/l,尿素5.51mmol/l,甲状腺功能3项正常。
综合病史/病程/用药方案报告、高血压五项检查、肾功能及肾动脉CTA检查,全面排查高血压继发性病因,明确诊断为难治性高血压,RDN指征明确。患者治疗意愿度高,愿意接受RDN手术。

肾动脉CTA图
24小时血压记录,平均血压值142/87mmHg 心率64
1.患者年龄58岁,中青年高血压患者接受RDN治疗的降压效果更佳;
2.原发性高血压病史10余年,血压控制不佳,行RDN治疗可以降低心血管事件发生风险;
3.患者了解RDN该术式后意愿度很高,希望能通过RDN手术控制血压,降低心血管事件发生的风险。
综合上述评估结果,患者明确诊断为原发性难治性高血压,已严重影响患者生活质量,肾动脉CTA显示肾动脉解剖结构无明显异常,符合RDN适应证,明确了RDN具备可行性;并基于患者年龄适合、患者意愿度高等情况,提示行RDN具有较高的应答率与临床获益。术者团队充分讨论并征得患者同意,最终决定采用RDN手术。

手术过程
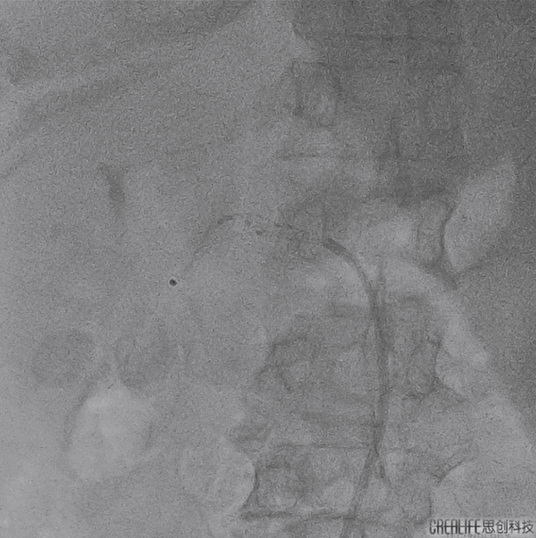
术前DSA造影


右


左
术中消融


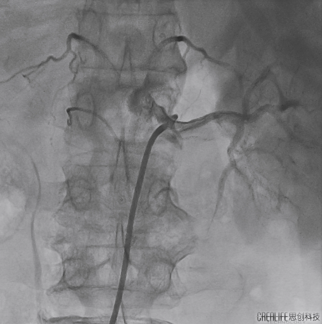
术后造影


患者取平卧位,术前血压151/91mmHg,麻醉后行股动脉穿刺,植入8F鞘管。采用芬太尼+力月西静脉麻醉,以JR 4.0造影导管分别行左右肾动脉造影,见双侧肾动脉造影正常。随后沿导丝及造影导管送8F RDC导管送至右肾动脉开口10-15mm左右,撤回导丝以及造影导管,沿RDC导管将网篮六电极射频消融导管送入RRA远端,由远及近进行消融共6次,共计消融23个位点,消融结束无痉挛,随后8F RDC导管送至左肾动脉开口,将网篮六电极射频消融导管导管送入LRA远端,行3次消融,共计消融13个位点,消融结束造影左肾下分支轻微痉挛,给予适量硝酸甘油后缓解,复查下肢动脉穿刺无异常,予以封堵器吻合伤口,弹力绷带压迫止血。术后血压129/97mmHg。
术后恢复期间,患者状态持续向好,血压稳定在 110-125/70-80mmHg左右。更令人振奋的是,出院至今患者血压平稳,药物负担大幅减轻,RDN “长期控压” 的优势得到初步验证。


术中照片
出院后第一天:患者家庭自测血压(未服药状态);出院后一周:患者家庭自测血压(未服药状态)。


中国创造RDN器械重塑高血压治疗新局面
中国高血压患者超3.4亿,患病率逐年攀升,其中近20%为难治性高血压患者,即使用3种以上降压药仍无法有效控制血压。传统治疗依赖终身服药,但患者常面临药物副作用、依从性差等问题,导致血压控制率不足20%。在此背景下,经皮肾动脉去交感神经化(RDN)技术成为变革性突破,通过微创介入消融肾动脉交感神经,阻断异常交感神经信号,从源头降低血压,实现“一次手术,长期控压”,减少药物依赖,尤其适合药物不耐受、依从性差或合并心脑血管高风险的患者。
本次手术中应用的Netrod®星带®网状多电极肾动脉射频消融系统作为最新一代的RDN器械,凭借其独特的网篮状六电极设计脱颖而出。与同类产品相比,它能够实现六电极同步消融,极大地提升了消融效率,显著缩短了手术时间。同时,该系统可通过手柄可控调节网篮扩张直径,提供稳定且强大的径向支撑力,能够轻松适应3-12mm不同管径的肾动脉血管,进一步实现360°全象限无漏空消融,确保手术的高效性与消融的彻底性。
RDN正重塑高血压治疗格局,Netrod®星带®网状多电极肾动脉射频消融系统凭借突出的研发技术与临床疗效,为患者提供更优解决方案,助力实现“健康中国2030”慢病管理目标。

扫码进入【魅丽纬叶】六臂创势 强效降压
——Netrod®RDN系统 学术专栏