WATCHMAN病例竞赛 | 哈医大二院 规范流程下左心耳封堵一例
2017-07-20 10:10

WATCHMAN病例竞赛 规范操作奖
WATCHMAN™封堵技巧分享
规范流程下左心耳封堵一例
术者:哈尔滨医科大学附属第二医院 袁杰教授团队
专家点评
术者严格依照标准的手术流程,术前行TEE检查,测量左心耳深度及口径,排除左心耳血栓,全程在TEE指导下进行房间隔穿刺,并依据PASS原则评估封堵器释放情况。为新开展WATCHMAN左心耳封堵术的中心提供了完美的范例。
基线资料
· 患 者:女性 78岁
· 既往病史:
1、高血压病史15年,最高160/90mmHg,服用CCB类降压药,血压控制良好。
2、房颤病史8年,未抗凝治疗。
3、入院前两个月因“脑梗死”溶栓后发生“脑出血”。
· 入院诊断:
1、心律失常 --心房颤动
2、高血压病 II级(极高危)
3、脑梗死后脑出血
1、心律失常 --心房颤动
2、高血压病 II级(极高危)
3、脑梗死后脑出血

术前评估
1、房颤卒中高风险人群,预防栓塞治疗强适应证。
2、高出血风险人群,口服抗凝药物治疗存在高风险。
3、非瓣膜房颤,高卒中风险,高出血风险,有左心耳封堵手术适应证。
4、治疗决策—选择左心耳封堵治疗进行房颤卒中的二级预防。
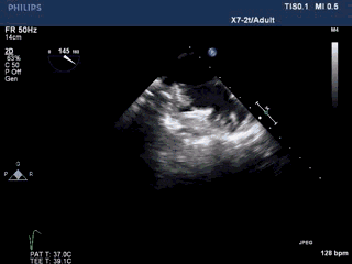
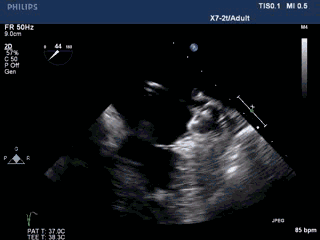
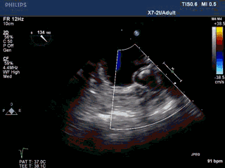
术前准备——TEE评价左心耳结构
左心耳呈多分叶状,口部梳状肌发达。




术前准备——CTA评价左心耳结构

手术过程—全麻下食道超声结合DSA指导房间隔穿刺

穿刺点选择中间略偏后下位。
穿间隔后,给予肝素7000u,测得左房压力12mmHg。
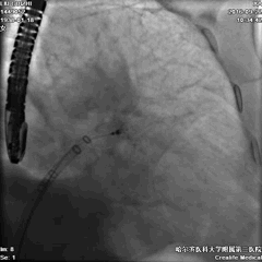
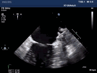
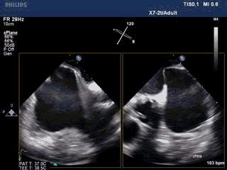
手术过程—左心耳造影选择封堵器

术中TEE双平面及DSA造影显示,梳状肌发达,延伸至心耳口部。
DSA造影显示LAA开口直径18mm,深26mm,拟采用24mm Watchman封堵器。
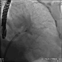
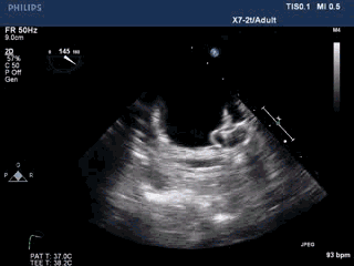
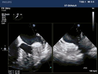
手术过程-PASS原则 封堵器释放及造影

Position:导引鞘及输送系统管缓慢回撤,远端展开顺利,位置适中。
手术过程—PASS原则,牵拉测试

Anchor:封堵器固定良好,TEE及DSA显示牵拉后无移位现象。
手术过程—PASS原则,封堵器压缩比



Size:24mm封堵器,压缩比16%-18%,径向支撑良好。

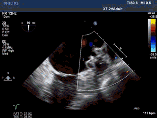
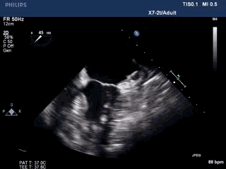
手术过程—PASS原则,残余分流



Seal:封堵器贴壁良好,各切面无残余分流。
手术过程—封堵器最终释放

PASS原则全部通过,封堵器释放,效果满意,手术结束。
术后用药
· 泰必全110mg,bid po ,45天。
· 拜阿司匹林100mg,波立维75mg,qd po合用半年。
· 拜阿司匹林100mg, qd po 至今。
· 拜新同30mg,qd po。
术后随访
· 术后45天复查经胸及食道超声,显示封堵器位置良好,无残余分流及血栓。
· 术后3个月6个月分别复查经胸超声,显示封堵器位置良好,无残余分流及血栓。
· 随访至今8个月,患者无不适主诉,肢体功能恢复良好,生活可以自理,生活质量良好。
结 论
· 房颤高卒中风险的患者要积极进行二级预防。
· 左心耳封堵术是伴高出血风险患者的优先选择。
· 严格把控左心耳封堵术适应症,规范操作流程是手术成功的根本保障。
· 术前TEE或心脏CT等检查,可以了解左心耳结构,是重要的术前评估。
· 术中严格遵守PASS原则,可有效减少手术并发症的发生。
· 术后用药及随访非常重要,不可或缺。