
近日,《JACC: Cardiovascular Interventions》刊登了首都医科大学附属北京安贞医院宋光远教授团队的研究成果: Redefining TAVR Valve Sizing: A Validated Multiplanar Approach for Both Bicuspid and Tricuspid Valves。
该研究提出并验证了一种主动脉根部瓣环及环上结构的多平面测量策略,能够更准确地反映主动脉瓣解剖特征,尤其适合解剖异质性更明显的二叶瓣患者,从而更好地实现患者的个体化瓣膜尺寸选择。该研究发现在中国人群中有很大比例患者使用了更小的尺寸瓣膜根据传统的使用虚拟瓣环选择的尺寸,且并未影响器械成功率与术后血流动力学表现。
宋光远教授团队在这一领域的探索和成果,为TAVR领域精准医疗的发展作出了引领性贡献。

核心插图:研究回顾性纳入377例重度主动脉瓣狭窄接受Venus A-Valve的TAVR患者(BAV 191例,TAV 186例),按2 mm层间的多平面(含环上)测量进行瓣膜尺寸选择;其中54例做了术后形态学与生物力学详细分析;并与采用虚拟瓣环平面策略的VENUS-A研究进行倾向评分98对匹配比较。与虚拟瓣环平面测量相比,多平面策略使downsizing选型显著增加(BAV 89.0%〔170/191〕;TAV 64.5%〔120/186〕),而downsizing与未downsizing病例在两类瓣形中的主要围术期结局均无显著差异;术后分析显示术前多平面测量与植入后瓣膜几何与力学表现相关性强。在与VENUS-A匹配比较中,多平面策略组术中置入第二枚瓣膜比例更低(3.1% vs 12.2%,P=0.032;OR 3.9,95%CI 1.206–16.186)。
传统经导管主动脉瓣置换术(TAVR)围术期对人工瓣膜尺寸的评估主要依赖于测量所谓的“虚拟瓣环”(即主动脉瓣三个瓣叶附着最低点所形成的平面)尺寸。这种测量方法在多数三叶瓣病例中能较好地近似实际解剖瓣环的大小,但对于二叶瓣患者以及某些特殊三叶瓣解剖,虚拟瓣环平面的尺寸往往并不能代表真实解剖瓣环的三维大小。换而言之,主动脉解剖瓣环本身是一个立体的“倒皇冠”形结构,单一平面的虚拟瓣环只是对真实瓣环的一种简化近似,可能低估或高估实际尺寸。
基于这一认识,宋光远教授团队设想需要回归主动脉瓣的真实解剖结构,进行立体、多平面的测量评估,以提高选瓣的精准度。
事实上,研究思路的出发点源自宋光远教授团队早期临床的观察:在我国最早开展的TAVR上市前研究(Venus-A试验)中,团队即发现单纯依据虚拟瓣环测量来选择瓣膜尺寸对二叶瓣病例往往不够合适,很多患者术中需要更换为更小号瓣膜。于是他们尝试在术前CT评估中将测量范围拓展至瓣环以上区域,结果发现绝大多数二叶瓣患者相较传统虚拟瓣环策略都需要选择更小一号的人工瓣膜。这一发现有效解决了长期困扰二叶瓣TAVR的选瓣难题,并促成了此次多平面测量策略的形成。
团队提出的多平面测量策略的具体实施步骤如下:首先确定并测量主动脉虚拟瓣环平面的周长和面积;随后,在瓣环平面以上每隔2 mm(例如在瓣环上2、4、6、8、10 mm处)获取主动脉根部的横截面图像并勾画轮廓,从下至上逐层测量各平面的截面积和周长,以估算瓣膜植入后可能达到的最大扩张直径。

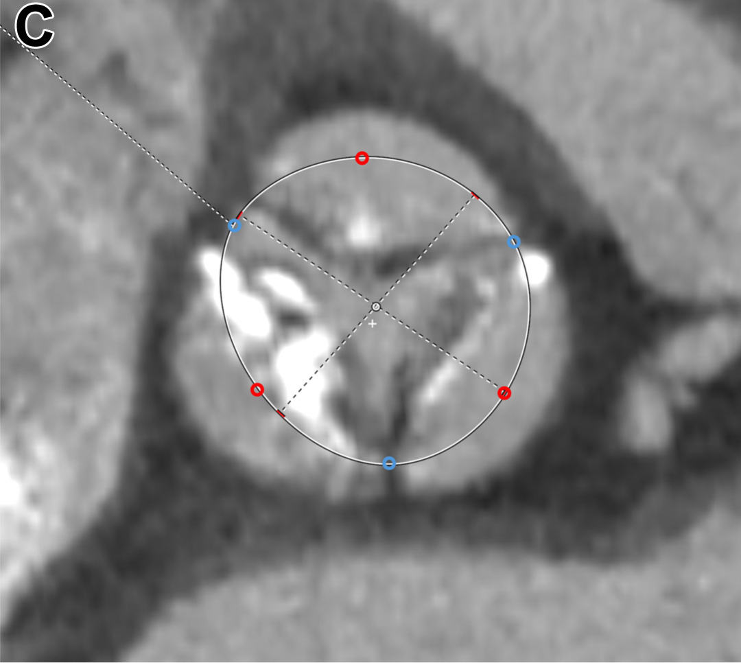
二叶主动脉瓣伴两个主动脉窦。蓝色圆点表示置于两个交界的初始定位点。红色圆点表示置于瓣叶游离缘的点,这些点向外调整至合适的半径位置。
针对不同的主动脉瓣形态,测量时的定位细节有所区别:对于三叶瓣以及具有三个主动脉窦的二叶瓣,首先在影像上标定3个瓣叶交界点,然后在每个瓣叶的游离缘处各添加1个次要标记点;对于只有两个主动脉窦的二叶瓣,则先标定2个交界点,再在两瓣叶的中点各添加1个次要点。根据瓣叶钙化的程度,这些次要定位点可适当向瓣周缘方向调整位置,以模拟瓣膜展开时瓣叶钙化可能被挤压推移的效果,从而更真实地反映植入后瓣膜可能达到的最大扩张范围。最终,通过比较多个平面测量所得的周长,取其中最小的周长值来确定人工瓣膜的尺寸。

二叶主动脉瓣伴三个窦。蓝色圆点表示置于连合点的初始定位点,左上角蓝色圆点特别标示为置于瓣叶融合嵴的内侧边缘。红色圆点表示置于瓣叶游离缘的点,根据需要向外调整。

三叶主动脉瓣。蓝色圆点表示置于交界的初始定位点。红色圆点表示置于瓣叶游离缘的点,这些点根据瓣叶钙化程度或钙化瓣叶内侧边界的位置向外调整。左下角的红色圆点特别表示当钙化瓣叶受压贴靠主动脉窦壁(sinus wall)时其内侧边缘的位置。
尽管在解剖评估下选择了downsizing型号瓣膜,但患者术后有效瓣口面积并未缩小,跨瓣压差没有升高,整体血流动力学指标与采用传统测量策略的病例相当,甚至部分指标还有改善趋势。

针对患者个体解剖结构的Venus A瓣膜计算机仿真模拟:(A) 支架变形的模拟预测(深灰色)与术后MDCT重建的实际支架变形(浅灰色)对比。(B) 支架所受总径向外力的分布分析,分别提取瓣环平面(annular plane,AP)以下、瓣环平面与窦管交界(sinotubular junction,STJ)之间,以及窦管交界以上三个区域。(C) 不同平面上的接触力分布情况。
围绕该研究及其临床意义,严道医声网邀请首都医科大学附属北京安贞医院宋光远教授团队姚晶教授接受专访,系统解读研究思路与实践要点。

宋光远
首都医科大学附属
北京安贞医院

姚晶
首都医科大学附属
北京安贞医院
严道医声
按照多平面测量方法,次要定位点有两种调整方案,请问临床上如何确定具体采用哪种调整方法呢?
具体选择哪种调整方案取决于瓣叶钙化情况,尤其是钙化明显隆起并可能影响瓣膜展开时,则选择第二种方案,把次要定位点设置在瓣叶受压贴靠主动脉窦壁时钙化瓣叶的内侧边界位置,这样能更真实地反映植入后瓣膜可能达到的最大扩张程度;若钙化程度不重,模拟推挤钙化至正圆100%半径不能使其贴靠主动脉窦壁,则使用次要点至交界点确定圆心向外延伸半径的70-100%之间。
严道医声
研究中我们看到,多平面测量使二叶瓣患者89%、三叶瓣患者64.5%选择了更小的型号,这是否就意味着在部分特殊的病例中应该弱化一些虚拟瓣环主导的理念,重新选择一下瓣膜尺寸?
没错,但不是“弱化”瓣环的概念;更重要是理清一个重要的观念:我们过去常说的“Annulus sizing”或者“super-annulus sizing”,这里的瓣环其实都是虚拟瓣环。主动脉瓣瓣环是真实存在的、非常立体的结构,我们叫“倒皇冠样”的结构,它实际上是瓣叶附着缘,是一个很高的立体环。而所谓的虚拟瓣环,只是瓣叶附着最低点——也就是三个窦底点——所确定的一个平面。这个平面在解剖上并不存在,它只是一个人为的、简化的概念。所以如果通过虚拟瓣环去选择人工瓣的尺寸,坦白来说是一种“讨巧”的办法,是一种简化测量。因为真正的主动脉瓣结构是立体的,而虚拟瓣环只能反映一个平面大小,远远不能完整反映解剖瓣环的真实尺寸。

虚拟瓣环与解剖瓣环
当然,虚拟瓣环之所以在国际上长期被广泛使用,是因为在大多数三叶瓣患者中,它的大小可以大体上反映出解剖瓣环。但对于二叶瓣,以及部分特殊类型的三叶瓣,虚拟瓣环往往不能代表真实瓣环尺寸。尤其是一些“临界病例”,尺寸正好在两个型号之间的临界范围,有的学者会选大一号,有的学者则倾向小一号,但并没有这些“临界病例”的标准方案,所以仅靠虚拟瓣环是不够的,我们更应该回到解剖瓣环本身。多平面测量正是去评估解剖瓣环的真实大小,做的是立体测量,而不是单平面测量。这样才能真正实现个体化的瓣膜选型。
严道医声
多平面测量是否增加了TAVR术前规划的复杂性?在不同瓣膜产品中是否需要根据器械的特性调整?
第一个,关于复杂性的问题。确实,多平面测量会比单纯依赖虚拟瓣环的测量增加少许术前规划的复杂性。多平面测量的办法最早是宋光远主任十余年前提出的方法,当时确实觉得规划比较复杂,因为非常依赖有经验的CT术前规划专家来做瓣上测量,非常考验测量者的经验。但在本研究中,我们恰恰解决了这个问题。我们提出了一个标准化的测量办法,使得多平面测量的可重复性大大提高,不再依赖专家个人经验。换而言之,即使是初接触术前CT测量的年轻医生,只要按照标准化方法进行操作,经过数例培训,即可得到有经验的医生近似的结果,实现测量的一致性。我们现在还在和软件公司沟通,希望能开发自动测量工具。如果能实现自动化,复杂度会进一步降低。
第二个问题,关于不同瓣膜产品。多平面测量的提出最初是基于自膨式瓣膜,在所有的自膨式瓣膜上都能提供很好的参考。对于球囊扩张式瓣膜,因为它的径向支撑力更强,所以在测量时可能需要稍微调整策略。但总体而言,这种调整并不大,对所有自膨式瓣膜来说基本无需特别修改,对球扩瓣膜来说则需要轻度的特异化调整。
严道医声
在Downsize并未造成有效口面积缩小或者跨瓣梯度升高的前提下,您怎么解释研究结果的血流动力学保持稳定,甚至改善?
这是一个很专业的问题。一般来说,大家会认为downsize意味着人工瓣膜尺寸变小,可能会影响瓣膜开口面积。但实际上,我们所说的downsize是相对于虚拟瓣环选定的人工瓣而言的。对于患者自身的解剖瓣环而言,这并不是真正意义上的减小。我们的核心理念是根据患者的解剖瓣环选择最合适的瓣膜,而不是单纯强调是否downsize。具体来说,假设虚拟瓣环推荐29号瓣膜,而我们根据解剖结构选择了26号瓣膜。直觉上可能认为29号瓣膜血流动力学更好、瓣膜面积更大,但实际上由于患者原生瓣上结构较小,即使放置29号自膨瓣,也无法充分扩展达到理论上的尺寸,其实际血流动力学表现与26号瓣相近。这一点通过我们文章中的术后形态学验证也得到了支持。
如果使用球囊扩张瓣,确实29mm可能实现相对26mm更大的瓣口面积,但相应瓣环破裂风险也显著增加。因此,我们所谓的downsize,是相对于虚拟瓣环而言,但我们研究其实并不关注我们是不是要相对于虚拟瓣环downsize,而是根据解剖瓣环选择更符合患者原生瓣膜的解剖尺寸的人工瓣,这也是血流动力学能够保持稳定甚至改善的原因。
严道医声
关于团队下一步的研究计划,是否有计划在其他瓣膜类型或者多中心前瞻性队列中开展研究,或者探索与术前功能学模拟结合的可能性?
我们的研究主要聚焦主动脉瓣,目前临床上常见的就是二叶瓣和三叶瓣,四叶瓣较少见,通常只在反流患者中遇到。针对主动脉瓣狭窄患者,我们使用多平面测量方法;在反流患者中也应用了类似策略,并提出了反流的新解剖分型——AURORA分型,根据这个分型,我们使用传统瓣膜治疗主动脉瓣反流也取得了很好的效果;反流的多平面测量方式与狭窄略有不同,但仍是标准化策略,操作简单,便于推广甚至自动测量:这个研究近期已被EuroIntervention接收,正在等待上线发表。使用的是传统自膨瓣。
关于术前功能学模拟,我们已经做了一些前瞻性探索,虽然目前效果尚不显著。下一步计划是将多平面测量进一步细化,并结合人工智能和机器学习,更精准地进行术前模拟,以提升预测和规划能力。
严道医声
您对于本研究还有需要补充的内容吗?
最重要的还是虚拟瓣环与解剖瓣环的概念,随着TAVR治疗越来越精细化,个体化,我们在瓣膜选择上更应该使用更加精准的解剖瓣环测量评估人工瓣的型号和尺寸。
另外,中国的二叶瓣患者比例较高,且主动脉瓣狭窄患者的钙化分布与西方不同,更偏上部。因此,在国内的TAVR实践中,更需要基于解剖瓣环的精准 sizing,而不仅仅依赖传统的 annulus sizing。相较之下,国外多数患者是年龄较大的三叶瓣病例,对于他们,简化的虚拟瓣环方法对于大部分病人来说可能已经足够。但随着年轻患者比例增加,精准的解剖瓣环 sizing 也变得越来越重要。这不仅对中国的临床实践至关重要,对未来全球范围内的瓣膜选择策略同样具有指导意义。

