北京安贞医院宋现涛教授团队采用OrbiTripsy Plus策略(旋切+冲击波+切割球囊)治疗弥漫迂曲重度钙化一例

     


流行病学资料显示,冠脉钙化随年龄增加而增加,在40~49岁人群中的发生率约为50%,在60~69岁人群中的发生率约为80%;冠脉钙化群体中的中重度钙化病变发生率为32%,其中5.9%为重度钙化病变;接受择期冠脉介入治疗的患者中重度钙化病变发病率约为30%。钙化病变属于高阻力病变,球囊难以充分扩张,甚至会发生球囊破裂等情况。通常需要较高的压力扩张钙化病变,发生血管夹层、穿孔、破裂、无复流等概率明显增加。冠状动脉钙化病变的常规介入治疗方法有:常规工作球囊、非顺应性球囊、特殊球囊(切割/棘突等)、准分子激光、旋磨&旋切、冠状动脉血管内碎石术(IVL)等,能够满足不同病变临床需求。目前认为IVL术较其他技术更为安全、有效和简便,不仅对浅表钙化有作用,而且也是唯一对深层钙化有治疗作用的技术。同时不损伤健康内膜,血管并发症比例极低,有望成为冠状动脉钙化病变的“终结者”。本文中介绍了北京安贞医院宋现涛教授团队成功治疗弥漫迂曲重度钙化一例,在影像学(IVUS/OCT)指导下,采用OrbiTripsy Plus策略(旋切+冲击波+切割球囊)及功能球囊组合的预处理方法,为钙化病变的处理再添新组合、新利器。


病例简介


主诉:患者男性,63岁,主诉“发作性胸痛1月”。


现病史:患者于1月前无明显诱因出现胸痛,症状典型,外院冠脉造影检查示:LAD,LCX重度狭窄、弥漫性重度钙化病变,RCA闭塞,开通后,球囊膨胀不佳,给予阿司匹林、替格瑞洛、他汀等药物治疗,治疗后症状缓解,此次为行PCI处理RCA入院。


既往史:高血压病10年,目前应用厄贝沙坦控制血压;高血脂症病史10年,目前应用他汀类降脂治疗;陈旧性脑梗死9年:否认糖尿病病史,余无特殊。


个人史:否认吸烟饮酒史。


入院查体:体温:36.5C,脉搏:64次/分,呼吸:16次/分,血压:130/70mmHg。余未见明显异常。


辅助检查:

  • 检验:血常规(-),心肌损伤标志物(-),凝血五项(-),NT-Pro BNP 1352.89ng/L,eGFR 68.06,LDL-C 1.11mmol/L

  • 检查:心脏超声:EF42%,左室下后壁节异。


入院诊断


冠状动脉粥样硬化性心脏病;不稳定型心绞痛;心功能I级 (NYHA分级);2型糖尿病;高脂血症


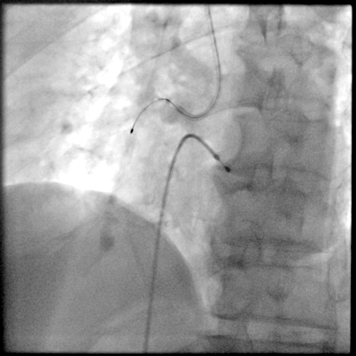
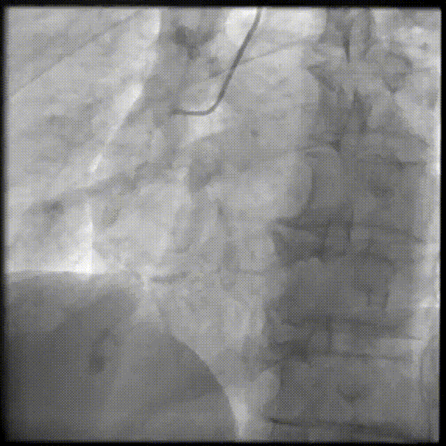
冠脉造影-外院


       
       


       
       


     


冠状动脉重度钙化,LAD中段狭窄80%,弥漫性钙化;RCA中段狭窄80%,弥漫性重度钙化伴迂曲


PCI


       
       


       
       


       
       


       
       


     

最终造影


手术策略


  • 首选CABG,既往脑梗,CABG术中风险大,既往PCI,患者PCI意愿强烈,拟分批PCI,先处理RCA,择期LAD

  • 重度钙化,为高阻力病变,需强支撑力,7F动脉鞘;

  • 腔内影像学指导、优化

  • 多种预处理方案多管齐下

  • 钙化伴迂曲,旋切术较为安全

  • RCA粗大,必要时临时起搏器及IABP辅助


     


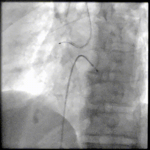
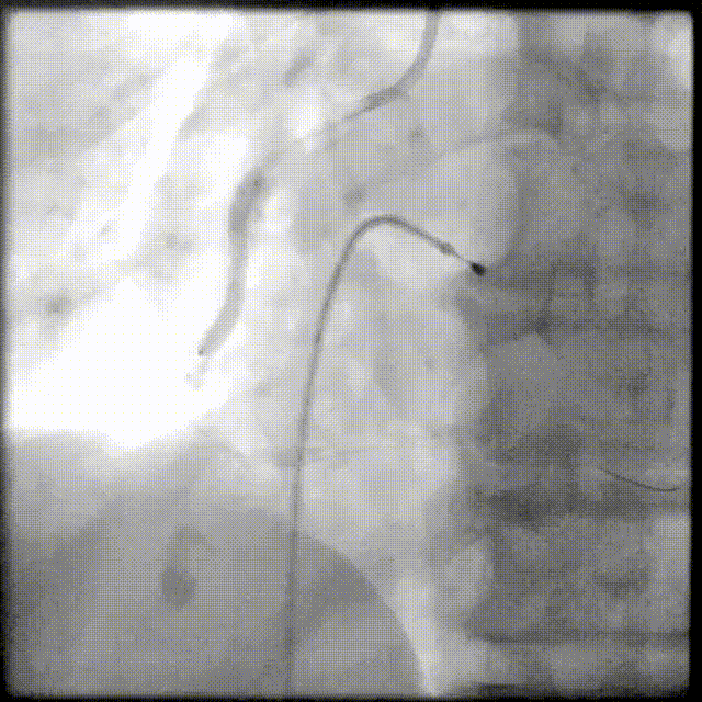
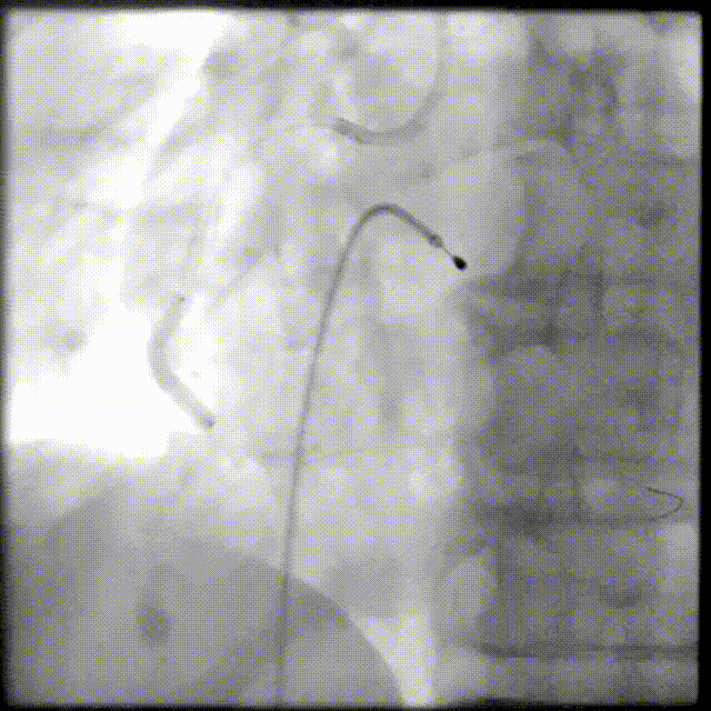
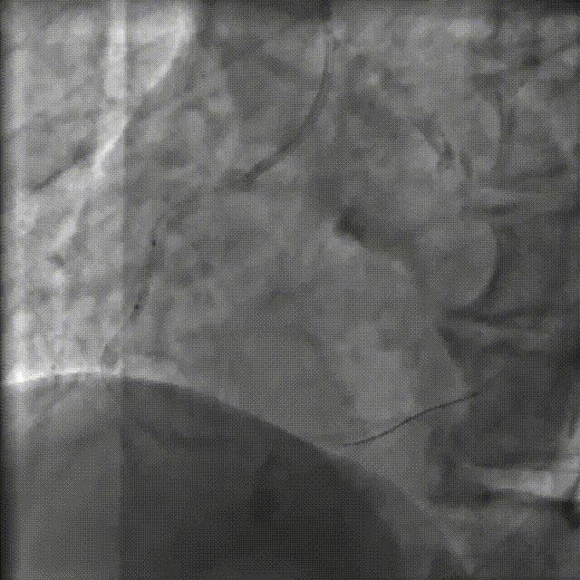
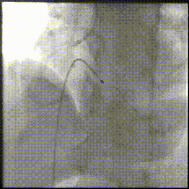
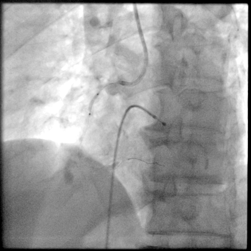
冠脉造影


       
       


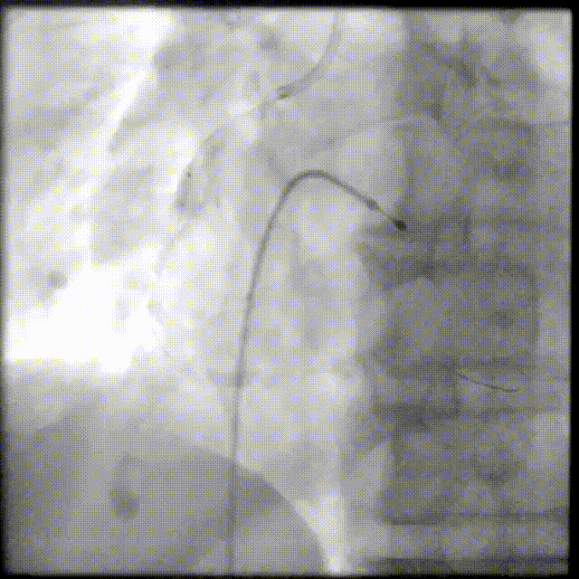
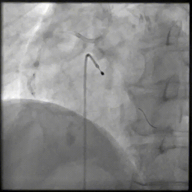
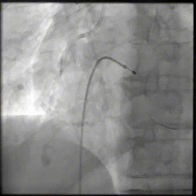
PCI过程-球囊PTCA


       
       


预置临时起搏器后,7F AL1.0无法到位,更换为7F SAL1.0至RCA开口,应用非顺应性球囊2.5X15mm,于RCA中段病变处以12-18atm扩张,球囊膨胀不佳。


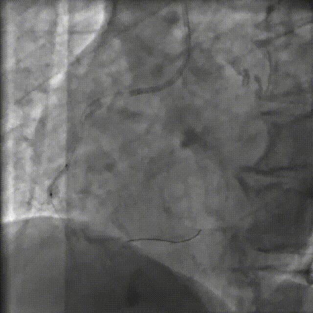
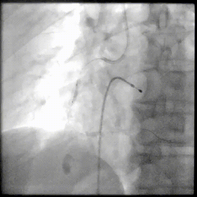
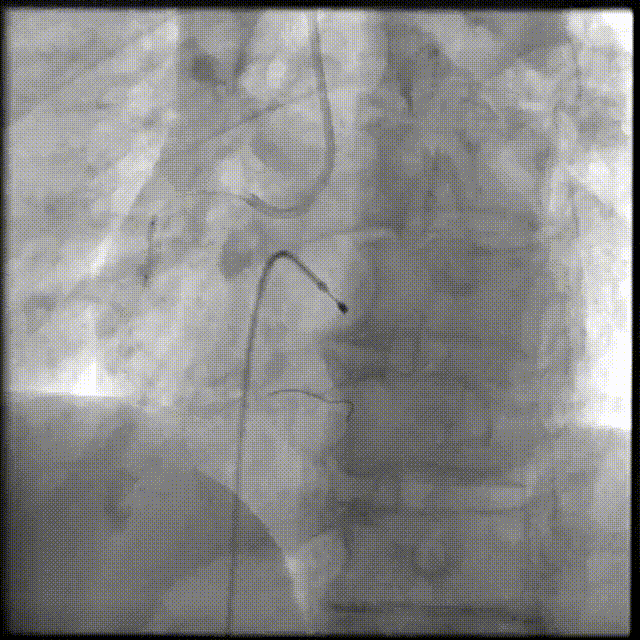
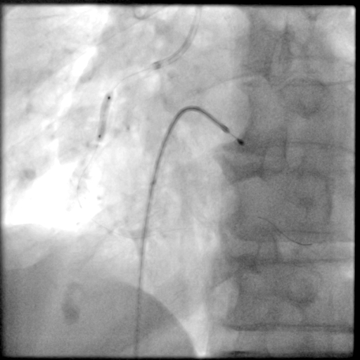
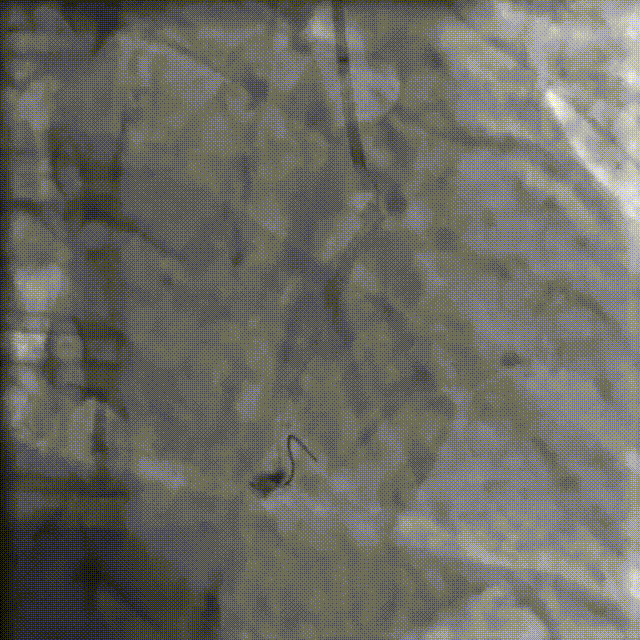
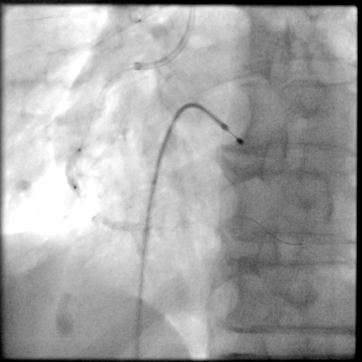
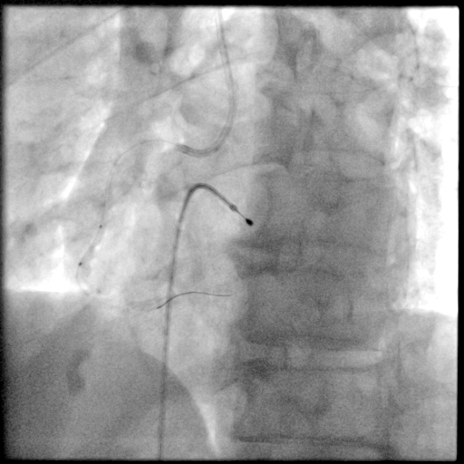
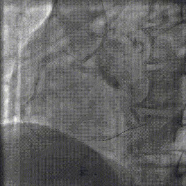
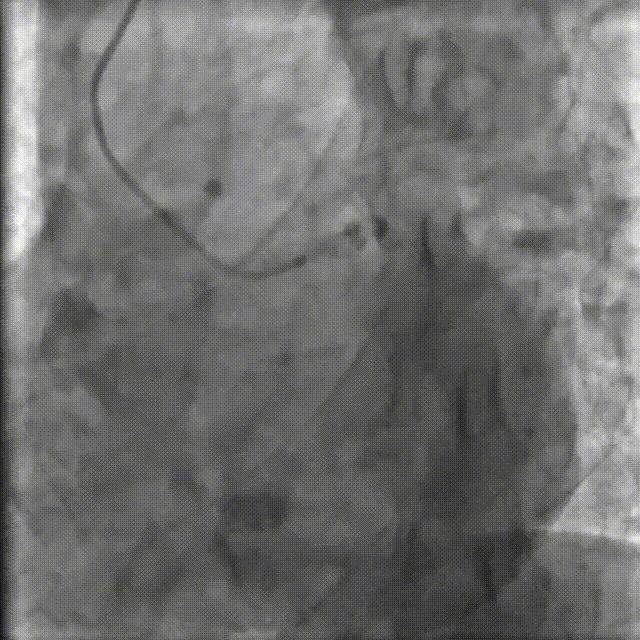
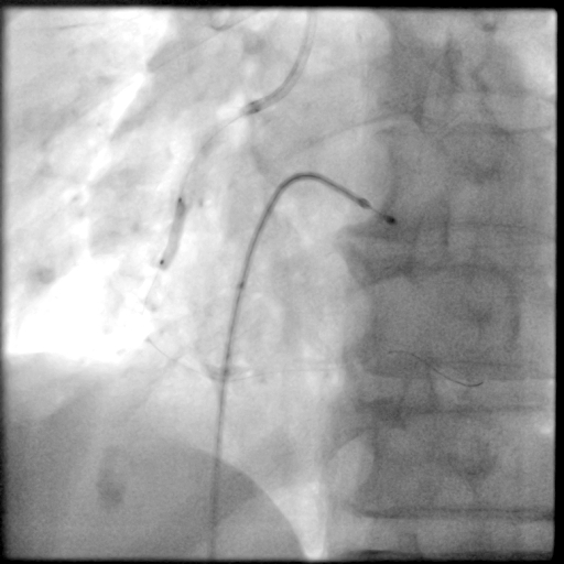
PCI过程-冠状动脉旋切(轨道旋磨)术-1


       
       
       


IVUS导管无法通过,微导管辅助下,将旋磨导丝置于RCA远端,应用1.0mm磨头以13万转反复旋磨钙化病变处(每次15秒,磨头推进速度不超过10 mm/s)


PCI过程-冠状动脉旋切(轨道旋磨)术-2


       
       


微导管辅助下,将旋磨导丝置于RCA远端,应用1.0mm磨头以13万转反复旋磨钙化病变处(每次15秒,磨头推进速度不超过10 mm/s)


PCI过程-冠状动脉旋切(轨道旋磨)术-3


       
       


共计旋切170秒,术后,狭窄较前减轻


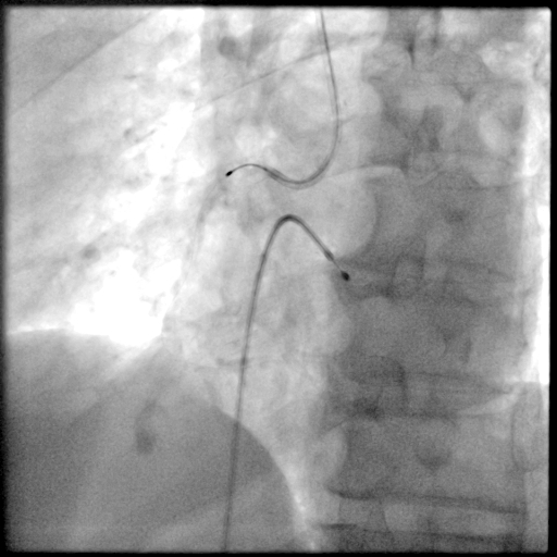
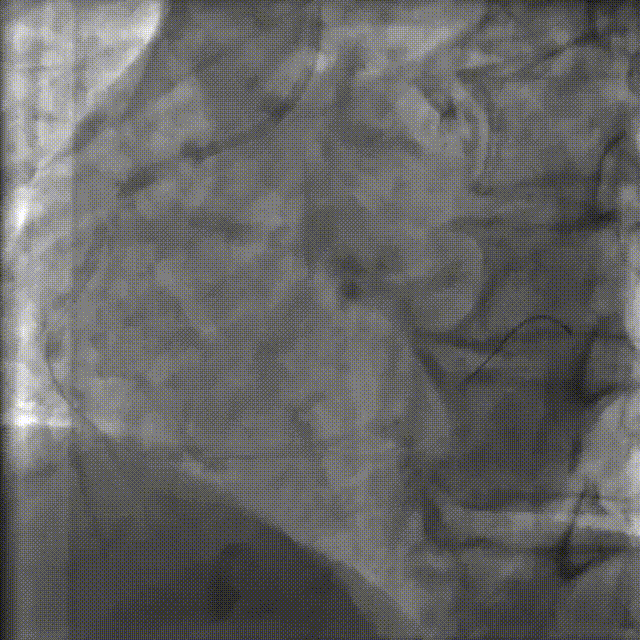
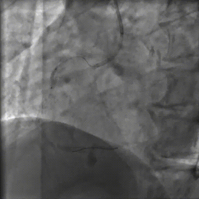
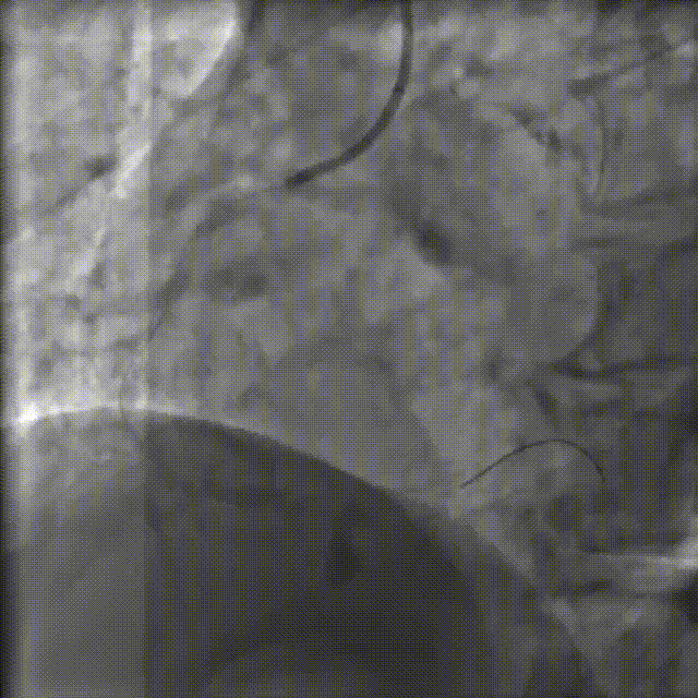
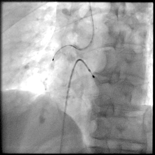
PCI过程-IVUS


     


PCI过程-球囊PTCA


       
       


       
       


非顺应性球囊2.75X15mm、3.0X15mm,于RCA中段病变处以12-18atm反复扩张,球囊膨胀不佳。


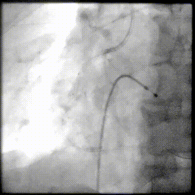
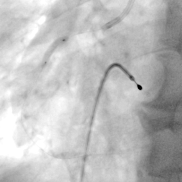
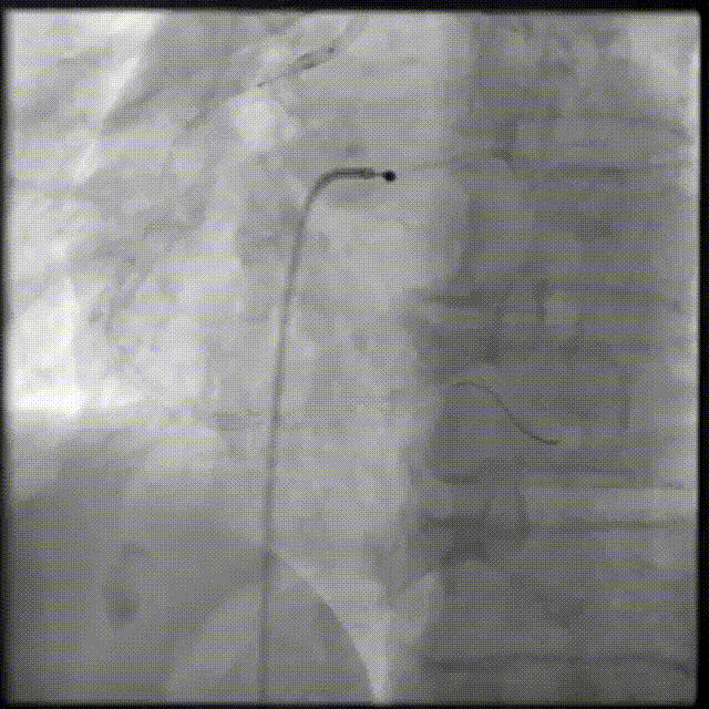
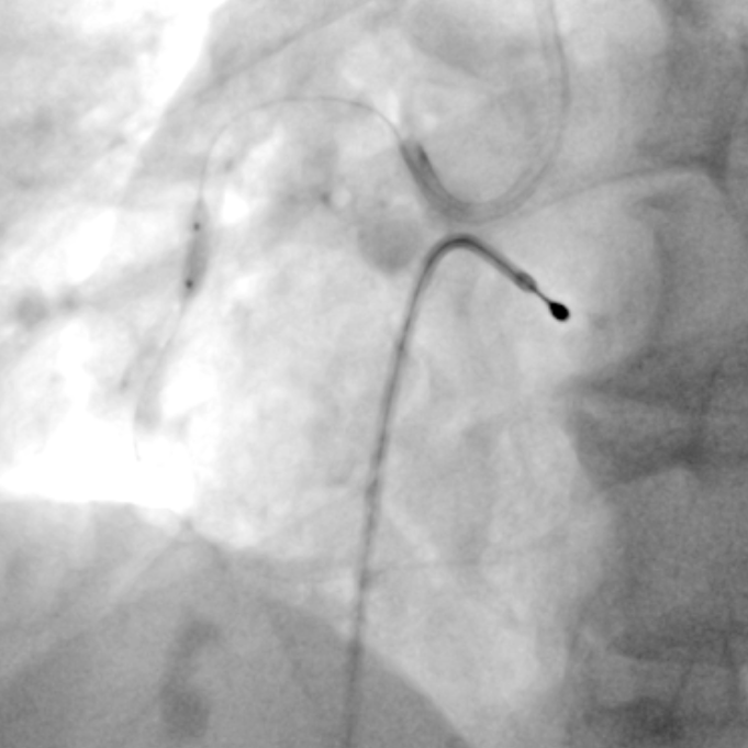
PCI过程-冲击波球囊PTCA


       
       
         


沿导丝送3.0×12mmGennWave冲击波球囊至RCA严重钙化病变处,充盈1:1比例造影剂盐水,以4atm低压扩张,每周期给予10秒、每秒1次血管内冲击波治疗后扩张至6atm,共进行8周期血管内冲击波治疗。


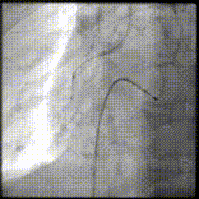
PCI过程-球囊PTCA


       
       
       


冲击波球囊完成后,进一步预处理,依次应用非顺应性球囊 2.75X15mm、非顺应性球囊 3.0X15mm、切割球囊 3.0X10mm等球囊反复由远及近进行扩张。


PCI过程-IVUS


     


PCI过程-再次冲击波球囊PTCA


       
       
       


       
       


沿导丝送3.5×12mmGennWave冲击波球囊至RCA严重钙化病变处,充盈1:1比例造影剂盐水,以4atm低压扩张,每周期给予10秒、每秒1次血管内冲击波治疗后扩张至6atm,共进行8周期血管内冲击波治疗。


PCI过程-球囊PTCA


       
       


冲击波球囊完成后,进一步预处理,再反复应用切割球囊 3.0X10mm、非顺应性球囊 3.5X15mm等球囊反复由远及近进行扩张。


PCI过程-IVUS


     


IVUS可见钙化变薄、环形钙化断裂


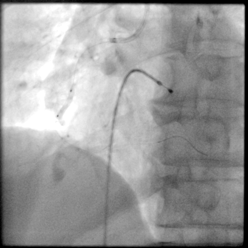
PCI过程-DES植入


       
       
       


由远及近依次送4.0X23mm、4.0X29mm、4.0X13mm DES至病变处串联释放。


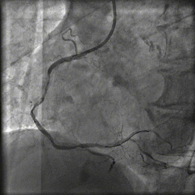
PCI过程-支架后造影


       
       


小结


  • 钙化病变属于高阻力病变,介入术中多种策略不要相互割裂,应联合应用

  • 熟悉每种策略的优缺点,取长补短

  • 结合影像学(IVUS/OCT)指导下,使策略更有针对性

  • 与时俱进,学习新方式,新方法,新工具

  • 积极探索Rotatripsy(旋磨+冲击波组合)和RotaLaserTripsy(旋磨+激光+冲击波组合)钙化处理组合技术

  • 此次采用OrbiTripsy Plus策略(旋切+震波 )及功能球囊组合的预处理方法,为钙化病变的处理再添新组合、新利器


           

扫码进入【健适医疗】健守匠心 适创未来 学术专栏

了解更多学术资讯

阅读数: 4358