
近日,康复大学青岛中心医院徐平、林明山教授团队成功独立开展ScienCrown经心尖生物瓣衰败后主动脉瓣及二尖瓣置换术+腹主动脉夹层腔内隔绝术,一站式复合手术逆转83岁刘爷爷(化名)心衰危机。
83岁的刘爷爷因主动脉瓣+二尖瓣生物瓣置换术后15年,主动脉瓣、二尖瓣老化,主动脉瓣、二尖瓣大量反流,导致急性左心衰竭,心脏超声测量左房达111mm,肺动脉压达120mmHg,且主动脉CTA发现腹主动脉夹层。考虑到患者高龄且有过心脏手术史,经多学科评估后,徐平、林明山教授团队为他实施了同期经心尖主动脉瓣置换术+二尖瓣置换术+腹主动脉夹层腔内隔绝术,术后超声显示主动脉瓣、二尖瓣反流完全消失,胸闷憋气等症状消失,生活质量显著提升。
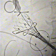
徐平、林明山教授团队创新性采用具有自主知识产权的ScienCrown瓣膜系统,该款国产瓣膜独特的自膨短瓣设计和全可回收特性,在术中展现出优异的锚定稳定性和位置可控性,为复杂解剖结构的瓣中瓣植入提供了关键技术保障。

患者信息
83岁,男性。
主诉:胸闷憋气心慌29年,加重2天。
现病史:患者29年前无明显诱因出现阵发性胸闷、憋气、心慌不适,活动后为著,无胸痛及肩背部放射痛,无发热、寒战,无头痛、头晕,无咳嗽、咳痰,无恶心、呕吐,无腹痛、腹泻,无尿频、尿急、尿痛等不适。2010-2-19就诊于青医附院,诊断为“风湿性心脏病、二尖瓣狭窄(重度)并关闭不全、主动脉瓣狭窄(中度)关闭不全(轻度)、三尖瓣关闭不全(重度)、肺动脉高压(重度)、心房颤动”,于2010-3-8在全麻低温体外循环下行“双瓣置换-三尖瓣成形术”,术后强心、利尿、抗凝、抗感染治疗,后长期口服“华法林”抗凝治疗。时有胸闷不适,活动耐力下降。近 2 天患者无明显诱因出现胸闷憋气,症状较前加重,难以平卧,坐立位可缓解,偶有反酸,无胸痛及肩背部放射痛,无发热、寒战,无头痛、头晕,无咳嗽、咳痰,无恶心、呕吐,无腹痛、腹泻,无尿频、尿急、尿痛等不道。现为进一步诊治就诊我科,门诊以“慢性心功能不全急性加重”收住院;患者自发病以来,饮食欠佳,睡眠欠佳,大小便无明显异常,体重未见明显变化。
既往史:自述既往40年前因“胃溃疡”行“胃部手术”具体手术方式不详;发现“双肺肺气肿、双肺多发微结节、肝囊肿、前列腺增大”病史3月余。否认“高血压病、糖尿病”等病史。否认“肝炎、结核”等传染病病史及密切接触史。否认其他手术外伤史;否认输血史;否认食物过敏史、药物过敏史诉不详。预防接种随当地进行。
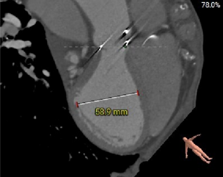
辅助检查:主动脉CTA可见腹主动脉夹层。
超声检查

诊断结果:
主动脉瓣置换术后,主动脉瓣前向血流速度加快并中-重度反流;
二尖瓣置换术后,二尖瓣重度反流;
三尖瓣修复术后,重度肺动脉高压并三尖瓣中-重度反流(符合危急值);
左房、右房扩大;
左室收缩功能正常低值。
治疗方案:
经心尖主动脉瓣置换术+二尖瓣置换术+腹主动脉夹层腔内隔绝术;
患者主动脉瓣为Hancock Ⅱ25# ;
二尖瓣为Hancock Ⅱ31# 。

Part1: TAVI viv
术前CT评估-TAVI viv

Annulus——内径

Annulus——外径

瓣架高度

LVOT

瓣上2mm

瓣上4mm

瓣上10mm

瓣上14.6mm

Sinotubular Junction

Ascending Aorta

SOV Diameter

Hockey Puck (VR)

LCA Height

RCA Height

LV&LA

LV

右窦中心

释放角度

Hockey Puck (VR)

肋间选择

钙化

血管入路
手术策略
麻醉方式:全身麻醉;
手术路径:经心尖入路;
冠脉风险:LCA:8.0mm,RCA:11.4mm;外科瓣术后,SOV:34.0*36.3*36.4mm,STJ:33.8mm,冠脉堵塞风险低;
预选瓣膜型号:ScienCrown TAVTA23mm;
选瓣依据:该主动瓣原置换生物瓣为Hancoke II#25,CT测量生物瓣瓣环周长折算直径约22.8mm,瓣架高度约18.0mm;
球囊扩张策略:无需预扩;
术中造影角度:右窦中心位 LAO 27°,CRA 9°。

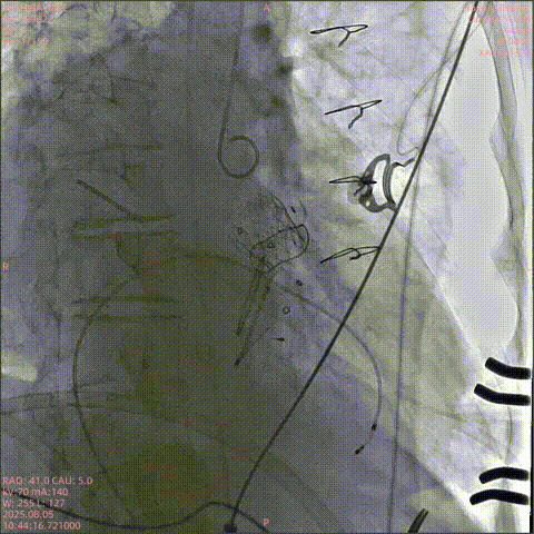
DSA下钢针穿刺心尖,建立心尖入路

输送系统沿加硬导丝进入

瓣膜初次释放,位置稍浅
目标深度:瓣环平mark点

部分回收后,调整瓣膜深度重新释放,瓣膜位置良好

无张力脱钩,瓣膜位置稳定

闭合输送系统后撤除体位,
收紧心尖荷包
术后TEE

Part2: TMVI viv
术前CT评估-TMVI viv

二尖瓣瓣环——内径

二尖瓣瓣环——外径

二尖瓣瓣架高度

释放体位

NEO-LVOT

主瓣二尖瓣分开体位
手术策略
心尖入路;
预选瓣膜型号:ScienCrown TAVTF29mm;
选瓣依据:该二尖瓣原置换生物瓣为Hancoke II#31 ,CT测量生物瓣瓣环周长折算直径约28.0mm,瓣架高度约19.1mm;
导丝远端盘置于左心房;
无需球囊扩张。

泥鳅导丝配合多功能导管跨二尖瓣,置入加硬导丝建立通路

瓣膜释放,位置良好

主动根部造影,冠脉显影良好,无漏

回收输送系统,撤出体外,无需造影,收紧荷包
术后TEE

Part3: EVAR
EVAR


手术小结
本次手术实现了多重心血管疾病的同期微创治疗。在主动脉瓣生物瓣衰败后的再次经导管主动脉瓣植入术(Redo-TAVI)中,确保第二个植入瓣膜具有充足的瓣口面积和较低的跨瓣压差是关键目标;团队选用直筒型瓣膜,相比收腰设计显著提升了有效开口面积,为患者带来更大血流动力学获益。面对二尖瓣生物瓣衰败常伴左室流出道梗阻风险的挑战,团队通过精准评估,采用整体更短且可全程回收的自膨瓣,为二尖瓣再手术患者开辟了更安全可行的新路径。
该病例同时合并腹主动脉夹层,团队同期成功实施“腹主动脉夹层腔内隔绝术”,通过微创方式置入覆膜支架,有效隔绝夹层破口、重建主动脉真腔,避免了传统开放手术的巨大创伤。对于此类主动脉瓣与二尖瓣双瓣衰败合并主动脉夹层的高危患者,二次开胸手术风险极高,而徐平、林明山教授团队凭借ScienCrown瓣膜系统的全可回收与短瓣架特性,结合经心尖途径,实现了心内双瓣膜置换与主动脉疾病介入治疗的一站式整合。为复杂心血管疾病患者提供了更具安全性、有效性和微创性的治疗新策略。