
8月6日,柳州市人民医院心血管内科团队首次在柳州开展肾动脉去交感神经消融术(Renal denervation,RDN)手术,为顽固性高血压患者血压达标带来新的治疗手段。
对于难治性高血压患者而言,即使服用多种降压药物,血压控制仍难以达标,致使心血管疾病风险居高不下。柳州市人民医院一名年轻的高血压病友,规律降压治疗,但是十年来多次因头晕入院治疗,最高血压202/135mmHg。
近年来,在服用4种足量降压药物的情况下,血压仍徘徊在160/115mmHg左右。不想再做“药罐子”的病友,在医院就诊时反复诉苦,希望能够有更新的技术帮助解决这一顽疾。

柳州市人民医院心血管内科,以满足患者需求出发,紧跟学科发展前沿,及时做好了肾动脉去交感神经消融术(Renal denervation,RDN)的技术储备。
医院心血管内科刘艳丽主任、王勇主任团队在了解患者需求后,组织院内专家,进行了严谨、细致地讨论,大家一致认为患者使用多种降压药物仍无法有效控制血压,属于真性难治性高血压,且患者有强烈减少服用降压药物的意愿,符合RDN手术指征且无手术禁忌。
RDN手术通过穿刺股动脉置入导管,将消融导管送至左、右肾动脉主干及主要分支,通过X线下定位后进行消融,通过破坏部分神经纤维,减少异常神经信号传递及血管平滑肌的张力,导致血管扩张,最终达到降低血压的目的,为药物治疗血压控制不佳及药物不耐受等患者提供了新选择。

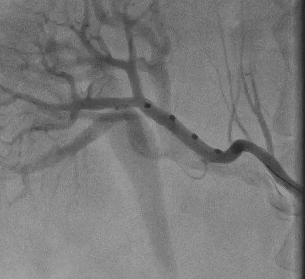
病友术前的肾动脉CTA提示右肾上有个错构瘤,术中肾动脉造影提示患者右肾动脉有4条一级分支,并且存在高位副肾动脉,这给手术增加了极大的难度。
医院积极联系了海南省人民医院王圣教授共同制定手术方案和现场手术指导,心血管介入团队与麻醉科、介入室密切配合,顺利将RDN消融导管送达迂曲的肾动脉分支部位,消融了患者双侧肾动脉主干及分支的77个位点。

选择血管

术中消融
8月6日,手术团队精密配合,为该病友顺利实施了RDN手术。该病友术中无不良反应,术后复查造影显示肾动脉血流正常,无明显血管损伤。
术后次日,患者血压降至132/89mmHg,并感觉良好。术后第三天,就迈着轻松愉快的步伐从柳州市人民医院心血管内科综合病房出院了。

术后刘艳丽主任、王勇主任进行了详细复盘,并就RDN相关问题进行了细致的讨论。刘艳丽主任表示,“选择合适的患者是RDN手术成功的前提。这类患者一般是使用多种降压药物联合治疗仍未能有效控制血压者,RDN治疗可以帮助其实现血压达标,减少降压药的应用。”
随着心血管疾病诊疗技术的不断推广与应用,柳州市人民医院心血管内科依托丰富的高血压专科诊治经验,形成了一整套完善的高血压病因筛查诊疗常规。医院将继续深耕高血压防治领域,不断探索和推广新技术,为更多患者提供更加优质、高效的医疗服务,助力柳州地区心血管疾病防治事业迈向新的高度。
心血管内科简介
心血管内科简介柳州市人民医院心血管内科创建于1985年,是自治区临床重点学科和自治区临床重点专科(建设项目),是硕士学位授权点,是柳州市心血管病防治中心、柳州市心血管疾病科普示范基地、柳州市心血管疾病防治人才小高地的领头单位、国家级内科及全科住院医师规范化培训基地、是国家胸痛中心认证单位、国家房颤中心认证单位、国家心衰中心认证单位、国家心脏康复中心认证单位、国家高血压达标中心认证单位、国家瓣膜中心建设单位。科室拥有心血管内科一病区、二病区(心脏重症监护病房)、三病区、综合病区共四个医疗单位和四个心导管室,开放病床182张。拥有正高职称12人,副高职称23人,硕士生导师9人。其中博士7人(其中在读博士4人)、硕士47人。常规开展冠脉介入诊疗、射频消融术、起搏器植入(包括ICD和CRT)、左心耳封堵术、先心病封堵术、经皮二尖瓣、肺动脉瓣、经导管主动脉瓣置换术(TAVR)和经导管二尖瓣钳夹术(Mitralclip术)等各种心血管疾病介入诊疗手术。学科拥有科研平台,获评柳州市冠脉硬化相关性疾病防治研究重点(市级重点实验室),近5年承担多项科研课题,每年发表SCI论文5篇以上。近3年,作为PI承担或参与多中心临床研究。

扫码查看美敦力(RDN)学术专栏
了解更多精彩内容
转自|柳州人医