
获批上市以来,Ken-Valve已在全国各重点省市区域的多家医院陆续完成首批商业化植入,标志着该产品正式走入临床应用的新阶段,逐步覆盖全国各地。上海长海医院,四川大学华西医院,首都医科大学附属北京安贞医院,中山大学附属第三医院,安徽医科大学附属阜阳医院,宁夏医科大学总医院,西安国际医学中心,康复大学青岛中心医院,扬州大学附属医院(排名不分先后)等多家中心成功完成健世科技Ken-Valve经导管主动脉瓣膜置换的首批商业化植入。
作为国内少有专为主动脉瓣反流设计的TAVR产品,Ken-Valve凭借多规格、多尺寸的设计,覆盖了更广泛的患者人群;其一体式定位夹持结构带来更稳固的锚定效果,搭配防漏环设计,有效降低瓣周漏风险。此外,其可调节弯曲的输送系统进一步优化术者操作体验,助力提高手术精准度与效率。


患者基线
本例为77岁男性,因“胸闷、心慌半年,近一个月症状加重”入院。诊断为主动脉瓣重度关闭不全(瞬时反流量10ml,VCW 0.6cm)、伴升主动脉扩张及左室收缩功能下降(FS 20%,EF 40%),NYHA心功能III级。
术前评估
术前影像评估提示,患者主动脉为三叶瓣,无明显钙化,瓣窦分布不均。主动脉瓣环直径28.8mm,左心室流出道直径28.0mm,冠脉开口高度充足(左冠20.4mm,右冠21.4mm),左室与主动脉夹角126°。




CTA评估(上下滑动查看更多照片)
瓣膜选型:JS/TAVI-31瓣膜
术中回顾及效果
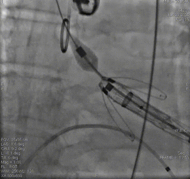
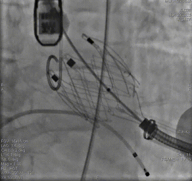
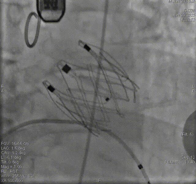
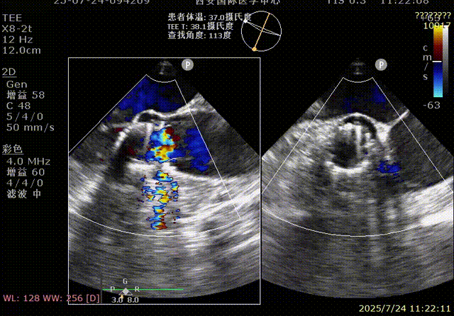
手术过程顺利,器械操作用时仅10分钟。术中通过造影确认右冠窦居中,定位件准确入窦,瓣膜释放顺利。经超声评估,无瓣周漏,手术过程衔接流畅,未出现其他特殊情况。
术后患者恢复良好,心功能显著改善。影像复查显示瓣膜功能正常,无反流及瓣周漏,未见心律失常、出血等并发症。平均主动脉跨瓣压差5mmHg,整体状态稳定,心功能与生活质量均有明显提升。

夹持件顺利入窦

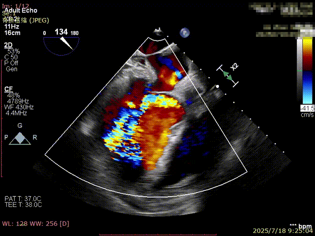
术前超声

术后超声
患者基线
本例为75岁男性,主诉“心累、气紧”达两年,诊断为老年性心脏瓣膜病,具体包括重度主动脉瓣反流合并轻度狭窄、中度二尖瓣关闭不全合并轻度狭窄,左室明显增大,收缩功能减退,射血分数(LVEF)为37%。NYHA心功能IV级及冠状动脉粥样硬化性心脏病(多支病变)。外科手术风险较高。
术前评估
术前影像评估提示,患者主动脉瓣为三叶瓣结构,瓣叶基本等大,左右瓣稍有粘连,瓣叶中度增厚,游离缘轻微钙化。主动脉瓣环直径31.0mm,左心室流出道直径36.4mm,STJ直径33.8mm,升主动脉直径38.8mm,左冠脉开口高度偏低(9.1 mm),左冠瓣瓣叶长约19.4mm,存在术中冠脉阻塞潜在风险,右冠脉开口高度充足,瓣叶长约18.0mm,左室与主动脉夹角161°,心脏角度60°。




CTA评估(上下滑动查看更多照片)
瓣膜选型:JS/TAVI-31瓣膜
术中回顾及效果
手术过程顺利。术中夹持件入窦、定位一气呵成,瓣膜释放过程顺利、稳定。器械操作时间约8分钟。术后超声提示无瓣周漏,人工生物瓣启闭良好,主动脉瓣反流完全纠正,平均跨瓣压差为5mmHg,血流速度正常。患者恢复良好,心功能明显改善。

术后造影
患者基线
本例为73岁男性,术前诊断为主动脉瓣重度关闭不全。
术前影像评估
术前影像评估提示,患者为三叶瓣结构,瓣窦分布略显不均,但整体形态规则,无明显钙化负荷。主动脉瓣环直径29.0mm,左心室流出道直径28.5mm,STJ直径34.9mm,升主动脉直径37.9mm,冠脉开口高度充足(左冠17.8mm,右冠17.0 mm)梗阻风险低。





CTA评估(上下滑动查看更多照片)
瓣膜选型:JS/TAVI-31瓣膜
术中回顾及效果
手术过程顺利。术中通过右窦居中造影、定位件入窦造影及释放后功能确认等关键步骤,确保瓣膜锚定准确。器械用时约10分钟。术后即刻主动脉瓣反流程度由术前大量转为消失,术后主动脉瓣跨瓣压差5mmHg,血流动力学良好。

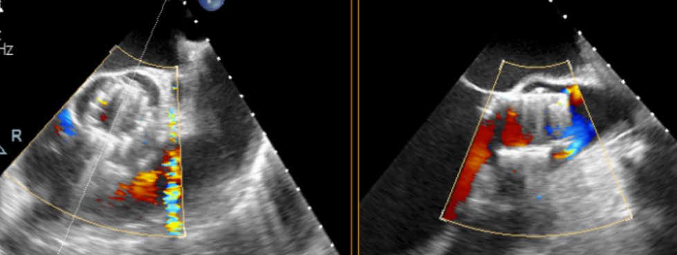
术前超声

术后超声
患者基线
患者为男性,4月余前于日常活动中出现胸闷、气促。既往有慢性病史:慢性肝衰竭,同种异体原位肝移植术、血制品输注史。心脏超声诊断患者主动脉瓣钙化并伴有重度反流,TYPE0型二叶式主动脉瓣,EF值51%,左心舒张功能减退,考虑外科手术风险较大,遂进行微创外科手术TAVI手术治疗。
术前评估
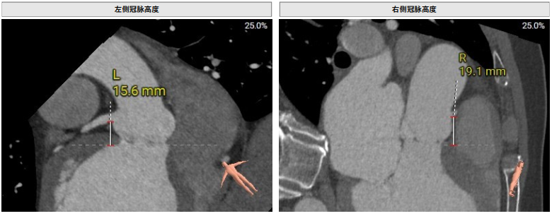
术前影像评估提示,患者主动脉为TYPE0型二叶瓣,瓣叶增厚,边界显示不清,疑似瓣叶脱垂,少量钙化。主动脉瓣环直径31.5mm,左心室流出道直径35.3mm,STJ直径32.3mm,升主动脉直径37.3mm,冠脉开口高度充足(左冠15.6mm,右冠19.1 mm),左室与主动脉夹角158°。








上下滑动查看更多照片
该患者心脏结构对于手术存在一定挑战,主要在于患者为主动脉TYPE0型二叶瓣,左右冠同窦,瓣窦部扩张,窦部最大径线42.7mm,最终手术团队根据患者解剖结构,将两枚夹持件放入同一窦内,第三枚夹持件放置在无窦内。此外,患者同种异体原位肝移植术后2年,长期服用抗排斥药物,行传统体外循环下的心脏手术风险较高。
瓣膜选型:JS/TAVI-33瓣膜
术中回顾及效果
在DSA与超声引导下,手术团队高效精准地完成了瓣膜的定位、释放与功能评估。手术过程顺利,夹持件入窦与定位一气呵成,三枚夹持件的释放与锚定位置与术前评估完全一致,器械用时仅6min左右。患者主动脉瓣重度反流纠正,术后无反流、无瓣周漏。术后心脏彩超显示人工生物瓣启闭良好,平均跨瓣压差3mmHg,流速正常,舒张压从30mmHg提升至70mmHg。

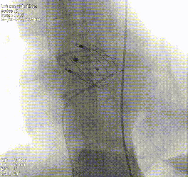
夹持件顺利入窦

夹持件入窦后撤内鞘

瓣膜释放

术后造影

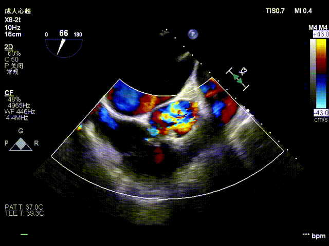
术前超声

术后超声

患者基线
患者为79岁男性,因“活动后胸闷、心慌3年余,近一个月症状加重”入院。术前诊断为主动脉瓣重度关闭不全、主动脉窦部及升主动脉扩张,患者症状明显,NYHA分级III。
术前评估
术前超声和DSA评估提示,患者三叶瓣结构,三个瓣窦,三窦偏大。主动脉瓣环30.1mm,左心室流出道直径28.1mm,STJ直径43.9mm,升主动脉直径47.4mm,左侧冠脉高度23.3mm,右侧冠脉高度22.3mm,左室-主动脉夹角132°。




(上下滑动查看更多照片)
瓣膜选型:JS/TAVI-33瓣膜
术中回顾及效果
在DSA和超声引导下,手术团队高效精准的完成瓣膜定位、释放与功能评估。手术过程顺利,器械用时7分钟。术后造影和超声提示瓣膜稳定性良好,无瓣周漏,平均主动脉跨瓣压差6mmHg。

输送器经左室跨瓣

夹持件顺利入窦

瓣膜释放、解离

术后造影
患者基线
本例为70岁男性,既往高血压病史12年,口服药物控制良好。12年前曾于该院接受主动脉夹层腔内隔绝术。诊断为重度主动脉瓣关闭不全,伴左心室明显增大,舒张功能减退,收缩功能尚可。
术前评估
术前影像评估提示,患者为典型三叶瓣结构,瓣窦分布均匀,无明显钙化,主动脉瓣环直径29.3mm,左室流出道直径30.6mm,STJ直径37.8mm,升主动脉直径40.5mm,双侧冠脉开口高度充足(左冠17.0mm,右冠27.6mm),无冠脉阻塞风险,左室-主动脉夹角137°,存在一定同轴性挑战。






CTA评估(上下滑动查看更多照片)
瓣膜选型:JS/TAVI-31瓣膜
术中回顾及效果
手术过程顺利。术中通过右窦居中造影、定位件入窦造影及释放后功能确认等关键步骤,确保瓣膜锚定准确。器械时间约10分钟。术中超声检查未见瓣周漏,瓣膜位置及功能评估良好,整个过程衔接紧密,无术中并发事件发生。术后即刻超声复查提示人工生物瓣启闭良好,平均跨瓣压差为6mmHg,血流速度正常。患者恢复情况稳定,心功能显著改善。

夹持件顺利入窦

术后造影
患者基线
患者为72岁女性,既往有高血压病史5年,长期口服“氨氯地平贝那普利片”进行规律性治疗,否认糖尿病及其他系统性疾病。因反复出现心功能不全症状,进一步检查发现其存在中重度主动脉瓣关闭不全,左心室明显增大,舒张功能受损,收缩功能尚可。
术前评估
术前影像评估提示,患者为典型三叶瓣结构,瓣窦对称分布,无明显钙化沉积,主动脉瓣环直径23.9mm,左心室流出道直径25.1mm,双侧冠脉开口高度充足(左冠10.6 mm,右冠14.6mm),升主动脉直径为34.3mm。瓣膜周围结构解剖条件良好,左室与主动脉夹角为138°。






CTA评估(上下滑动查看更多照片)
瓣膜选型:JS/TAVI-25瓣膜
术中回顾及效果
手术过程顺利。术中夹持件入窦、定位一气呵成,瓣膜释放过程顺利、稳定,器械操作时间约10分钟。术后评估结果良好,瓣膜定位稳定,无瓣周漏,平均跨瓣压差为6 mmHg,血流动力学表现良好。
手术顺利完成后,患者恢复情况良好。术后无并发症,心功能明显改善,住院期间整体恢复平稳,预期生活质量将获得实质提升。

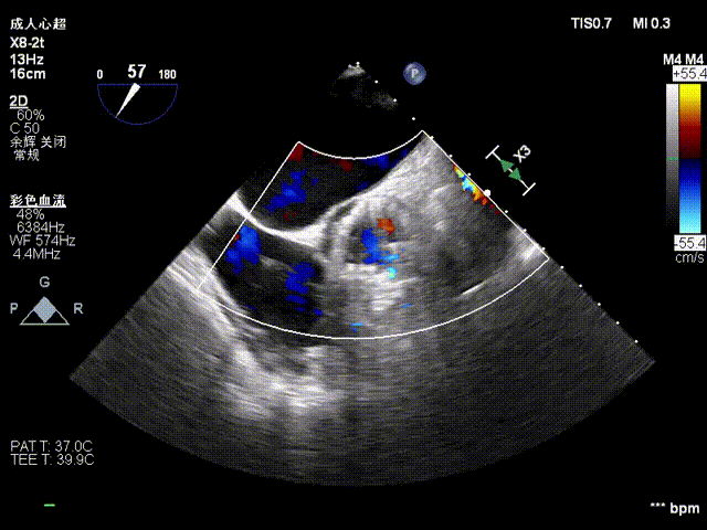
术前超声

术后超声
患者基线
患者为93岁男性,因主动脉瓣重度反流反复胸闷、呼吸困难,双侧大量胸腔积液,夜间不能平卧入睡,术前心脏超声测量左室射血分数35%,左室达70mm,主动脉瓣瓣环大,由于年龄高和身体状况差、心功能差,传统开胸手术对其风险极高,徐平、林明山教授经心尖主团队决定为其行经心尖主动脉瓣置换术。
术前评估
术前影像评估提示,患者主动脉瓣为三叶瓣结构,瓣叶增厚,三个瓣窦分布较为均匀,无明显钙化。主动脉瓣环直径约28.8mm,左室流出道直径30.5mm,STJ直径33.9mm,升主动脉直径34.6mm。冠脉开口高度充足(左冠22.2mm,右冠24.4 mm),冠脉走行良好,无钙化,梗阻风险低。入路角度方面,左室-主动脉夹角为138°。






上下滑动查看更多照片
瓣膜选型:JS/TAVI-29瓣膜
术中回顾及效果
手术过程顺利。术中夹持件入窦、定位一气呵成,瓣膜释放过程顺利、稳定,术中器械操作时间约10分钟。术后评估结果良好,瓣膜定位稳定,无瓣周漏,平均跨瓣压差为4mmHg,血流动力学表现良好。
术后患者顺利拔管,复查心脏超声左室射血分数55%,左室回缩至53mm,心脏功能较前明显改善,胸闷憋气症状消失,生活质量显著提升。

术前造影

夹持件顺利入窦

瓣膜释放

术后造影

术前超声

术后超声

患者基线
本例为72岁男性,既往有慢性病史:慢性心力衰竭,肾结石手术病史,血制品输注史。心脏超声诊断患者主动脉瓣叶对合不良,主动脉瓣重度反流,二尖瓣、三尖瓣轻度反流,心功能较差(EF值33%),左心舒张功能减退I级,外科手术风险较大。
术前评估
术前影像评估提示,患者主动脉瓣为三叶瓣,分布较均匀,无明显钙化。主动脉瓣环直径约25.5mm,左室流出道直径27.7mm,STJ直径49.9mm,升主动脉直径45.4 mm,冠脉开口高度充足(左冠12.4mm,右冠11.6mm),梗阻风险低。入路角度方面,左室-主动脉夹角为150°,心脏角度60°。






上下滑动查看更多照片
瓣膜选型:JS/TAVI-29瓣膜
术中回顾及效果
手术过程顺利。术中通过右窦居中造影、定位件入窦造影及释放后功能确认等关键步骤,确保瓣膜锚定准确。器械用时仅10分钟。术后患者主动脉瓣重度反流纠正,无反流、无瓣周漏。心脏彩超显示人工生物瓣启闭良好,平均跨瓣压差4mmHg,流速正常。患者恢复情况良好,心脏功能得到显著改善。

术后造影
作为国产自主研发的经导管主动脉瓣置换(TAVR)系统,Ken-Valve在全国多区域首批商业化临床应用中展现出良好的操作便捷性与初步疗效。器械操作步骤清晰简单,平均操作时间控制在10分钟以内,术中释放精准、锚定稳固,瓣膜与患者解剖的适配性强。术后主动脉瓣反流消失,血流动力学参数同步优化,未见严重并发症,体现出可靠的安全性和有效性。
Ken-Valve通过更大规格的尺寸覆盖(最大可达33mm)与优异的锚定机制,为以往缺乏合适微创治疗手段的大瓣环患者群体提供了新的解决方案。目前商业化首批亦主要集中于此类复杂病例,填补了国内在大瓣环和/或其他挑战解剖患者群体中的治疗空白。随着技术的持续优化与临床数据的进一步积累,Ken-Valve有望在结构性心脏病领域中发挥更大价值,造福更广泛的高危患者群体。

扫码查看宁波健世学术专栏
了解更多精彩内容