本文转载自:iPacemakerPro

文章标题:《首例AVEIR DR双腔无导线起搏器与S-ICD联合应用报道》
发表时间:2025年2月发表于《Heart Rhythm》杂志
患者病史
患者,男性,80岁;
患有肾功能不全并接受血液透析,既往有冠心病、完全性房室传导阻滞,曾因菌血症植入双腔无导线起搏器(AVEIR DR),此次因晕厥入院;
住院期间,患者出现室颤导致心脏骤停,经体外除颤成功复苏。
术前考量
超声心动图显示左心室射血分数降低至30%–35%;
冠脉造影显示仅有轻微支架内再狭窄,心肌酶轻度升高,且两次事件发生前均无明显胸痛;
鉴于该患者的室颤并非由缺血引起,考虑植入ICD;且由于患者存在较高的感染风险,临床最终选择植入S-ICD。
S-ICD筛查及植入
使用S-ICD程控仪的自动筛查工具评估该患者时,因R/T比值过低而未能通过(图A);

图A S-ICD程控仪自动筛查评估未通过
但后通过手动筛查工具评估,发现Primary向量和Secondary向量均显示出合理的电图形态,因此,最终将S-ICD植入(图B);

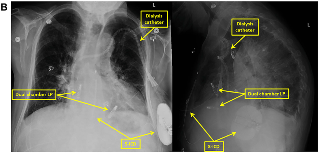
图B 植入后S-ICD与AVEIR DR透视影像图
术中,Primary、Secondary向量均显示QRS感知良好,无T波过感知现象;使用Secondary向量成功诱发并终止心室颤动,一次65焦耳电击即成功复律。
病例小结
此例为首例AVEIR DR双腔无导线起搏器与S-ICD联合应用病例报道,治疗过程顺利,结果满意;同时,术中对于S-ICD进行了诱颤测试,65焦耳电击并未对AVEIR DR造成影响;
对于此类患者(已植入无导线起搏器且有需求植入S-ICD),尤其需要注意术前筛查和评估,以避免T波过感知或双重计数等问题导致未来存在误放电风险;
而对于植入顺序相反的患者(已植入S-ICD且有需求植入无导线起搏器),则尤其需要注意术中对于机器植入位点的选择,以避免植入后起搏QRS波造成S-ICD的过感知等问题;对此,AVEIR无导线起搏器特有的Mapping无创标测的优势特点能使机器在旋入前就确认起搏参数和起搏QRS,从而提早检测S-ICD的感知需求,减少术中因反复固定带来的并发症风险;
此病例提示了双腔无导线起搏器与S-ICD联用的安全性和有效性,并且基于此病例,国内也已有类似病例报道,期待未来有更多同类患者从这项独特的组合中获益。
原文参考文献
Ip, James E. "Completely wireless: First concomitant dual-chamber leadless pacemaker and subcutaneous defibrillator implant." Heart Rhythm 22.2 (2025): 403-404.