
2025年8月5日,北京——在阜外医院多模态手术室内,潘湘斌教授团队历经1小时精准操作,成功为一名Type 0型二叶瓣患者实施全球首例局麻下、单纯经胸超声(TTE)引导的经导管主动脉瓣置换术(TAVR)。术后患者恢复良好,安返病房。
此前,潘湘斌教授团队已熟练完成数十例全麻+经食道超声(TEE)引导的TAVR手术,而此次局麻+纯超声引导的创新突破,不仅完全摒弃X线辐射和造影剂,更打破传统全麻限制,在全球范围内首次安全实现TAVR手术全程清醒、无射线、无造影剂,标志着超声引导TAVR技术正式迈入“无辐射、极简式"新纪元,为高危、老年及造影剂过敏患者带来更安全的治疗选择。

病例基本资料
女性,63岁
主诉:间断胸痛1年
超声心动图:峰值流速5.0m/s,平均压差68mmHg,瓣口面积0.5cm2,EF值61%;主动脉重度狭窄并少量反流,二尖瓣少中量反流,室间隔及左室壁增厚,升主动脉扩张
术前CT评估
Type 0型二叶瓣,小瓣环,流出道偏小,轻度钙化,钙化主要分布在大弯侧瓣叶边缘,瓣上限制轻

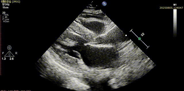
主动脉瓣根部概览

主动脉瓣根部钙化概览


左冠开口低,左侧瓣叶偏长,窦部空间可,冠脉遮挡风险不高

入路血管走形良好,零星附壁钙化,内径可,整体入路血管条件良好

入路钙化概览

入路概览

手术策略
采取局麻下,TTE全程引导无放射线TAVR,超声下完成临起置入,大鞘置入,导丝跨瓣及交换,球囊预扩,瓣膜定位及释放,术后功能评估等操作。
右股主入路切开,预置20F大鞘,20mm球囊预扩张,置入AV23瓣膜
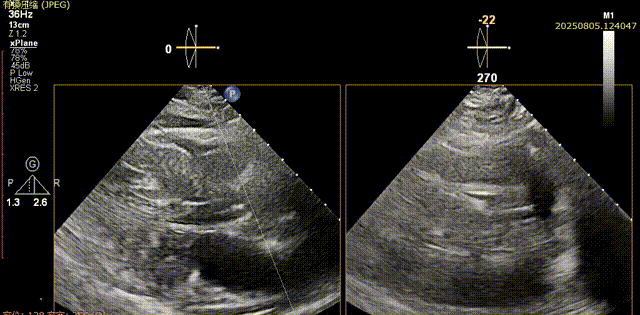
手术过程
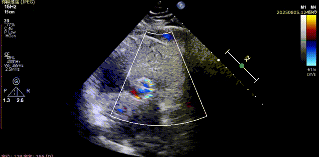
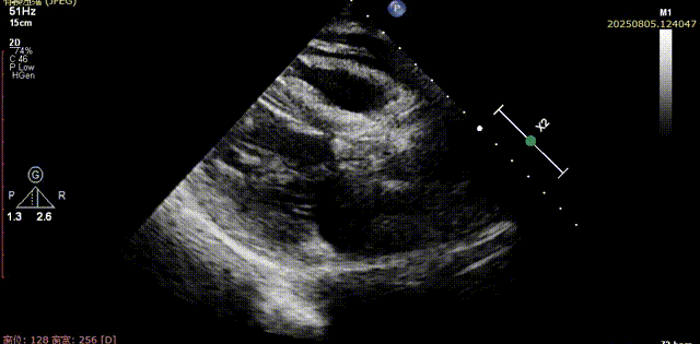
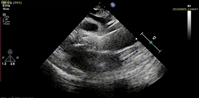
术前胸骨旁长轴切面可见流出道结构良好,五腔心切面可见主动脉瓣少中量反流

流出道结构观察

五腔心切面观察
体外量取工作距离,猪尾置入窦底,交换加硬导丝,加硬导丝支撑下缓慢置入大鞘。大鞘置入后,经加硬导丝导入AL导管,采用150cm直头导丝跨瓣,超声下可见导丝顺利通过瓣口,将AL导入左室,交换预塑形加硬导丝

直头导丝跨瓣

AL导管送入左室

加硬导丝送入左室

心尖切面确认导丝位置
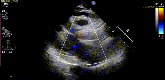
送入20mm球囊,超声下可见球囊扩张良好,无位移,无明显腰征

20mm球囊扩张
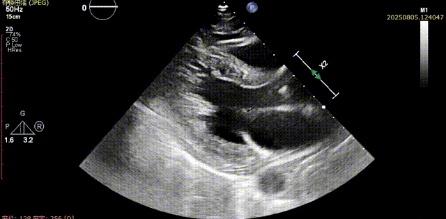
输送器顺利跨瓣,部分释放后,可见喇叭口结构,开始定位释放,180次/分起搏下展开至工作位,超声评估可见位置可,二尖瓣活动良好,瓣周反流较少,综合考虑瓣膜锚定良好,脱钩释放

输送器跨瓣

瓣膜展开至工作位

工作位评估1

工作位评估2

瓣膜脱钩
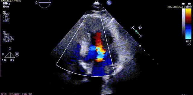
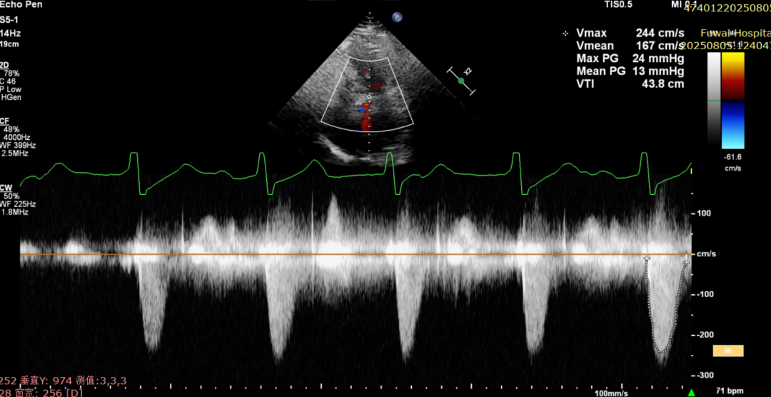
脱钩后输送器部分回收,瓣膜无位移及形变,确认瓣膜完全脱钩,回撤输送系统及导丝,超声再次评估,瓣膜位置及形态良好,无明显瓣周漏,峰值流速2.44m/s,平均压差13mmHg,患者未诉不适,入路缝合后返回病房

胸骨旁长轴评估

小结
此次手术的成功,是TAVR技术领域的一次重大突破,局麻下实施、纯经胸超声引导、零射线零造影剂完成Type 0型二叶瓣TAVR手术。潘湘斌教授团队凭借十余年超声引导结构性心脏病手术的经验积淀,彻底摒弃了传统手术对X线透视、造影剂和全身麻醉的依赖,打造出"清醒状态下1小时精准换瓣"的全新范式。
这一独创术式不仅为高龄、肾功能不全、造影剂过敏及合并多种基础疾病的高危患者开辟了更安全的治疗路径,更以“无辐射损伤、无麻醉风险、无造影剂并发症”的三大核心优势,推动TAVR技术从"精准化"向"极致微创化"跨越。正如潘湘斌教授所言:"这不仅是技术的迭代,更是医学人文的进阶——让患者在清醒中感受生命的重启,是我们作为医者的终极追求。"
目前,该术式已形成标准化操作流程,未来将通过学术推广惠及全球更多患者,中国心血管介入技术正以“原创方案”的姿态,为世界提供更优解。
超声引导介入技术:立体真实,精准释放