
临床挑战
外科手术高危患者的“生命困局”

主动脉瓣反流(AR)这一心脏瓣膜疾病的隐匿威胁,长期以来面临治疗选择局限的难题。传统外科主动脉瓣置换术(SAVR)虽疗效确切,但临床存在大量高龄,合并症多、心功能差的患者,却又因外科高危或禁忌而最终未能接受外科手术,这一群体亟需更安全的解决方案。
TAVR vs. SAVR头对头随机对照研究启动
2024年3月,由浙江大学医学院附属第二医院王建安院士和华中科技大学同济医学院附属协和医院董念国教授共同牵头的一项 “经导管主动脉瓣置换系统(TAVR)与传统外科主动脉瓣置换术(SAVR)头对头随机对照研究” 在全球范围内率先启动。该研究针对传统外科手术中高危的严重主动脉瓣反流(AR)患者,以“微创化外科级疗效"为目标,为患者提供全新选择——既突破传统TAVR在单纯AR治疗中的技术局限,又避免SAVR的开胸手术风险,通过创新的经导管植入技术实现与外科手术相当的长期疗效。研究纳入10余家中心,所有患者计划进行1年临床评估及超声心动图随访。

研究进展及结果:

截止目前,临床试验进展顺利,入组已接近尾声。中期分析显示手术成功率和安全性指标均符合预期标准。




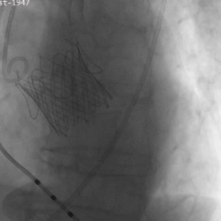
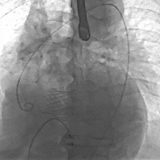
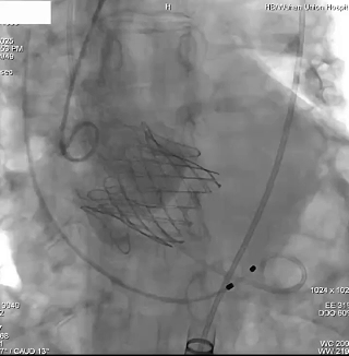
瓣膜功能、形态良好,未见反流
微创技术与外科手术的协同发展
本研究绝非TAVR与SAVR的对立,而是治疗策略的丰富与进化,为临床提供更精准的决策依据:
对低危患者,SAVR仍是耐久性首选;
对中高危患者,DOCS VALVE® 有望成为优选。
参与试验的心脏外科专家指出:“这项研究的临床价值在于,它让那些原本因高风险而失去手术机会的主动脉瓣反流患者,现在能够获得与外科手术相当的疗效,这无疑是医疗技术的一次重大突破。”
DOCS VALVE® 临床试验的启动,其意义已超越单一技术突破,更代表着中国在制定全球心血管介入治疗标准方面正发挥着越来越重要的引领作用。DOCS VALVE® 所展现的“中国智慧",正在为世界范围内的主动脉瓣反流患者带来全新的治愈希望。
DOCS VALVE® 瓣膜植入动画