
在主动脉瓣疾病诊疗领域,不同解剖结构与病变特征对手术技术提出了差异化挑战。近日,解放军第九六〇医院心外科与心内科各自完成一例高难度主动脉瓣置换术 ——心外科成功应对Type1型二叶瓣伴升主增宽及横位心挑战,心内科则攻克三叶瓣极重度钙化难题。两例手术的顺利完成,展现了医院在瓣膜病细分领域的精准诊疗实力。
病例一:心外科挑战Type1型二叶瓣伴升主增宽及横位心TAVR
该患者为Type1型二叶瓣,解剖结构异常带来多重挑战:升主动脉明显增宽(最宽处56.3mm)、降主动脉锐折角,增加器械输送阻力;瓣环水平夹角68°,提示“横位心”,加大瓣膜定位难度。手术中,团队特邀北京安贞医院心内科刘新民主任指导,形成针对性方案。
患者基本情况
患者为72岁女性,主诉“活动后出现胸闷、气短半年余”入院。
既往史:高血压病史10年余,最高血压180/100mmHg。
入院心电图示:窦性心律,心律不齐,房性早搏,完全性左束支传导阻滞,ST-T形态改变。
心脏超声示:主动脉瓣钙化重度狭窄并轻度返流,升主动脉瘤样扩张,主动脉瓣前向血流加速,CW测得最大跨瓣压差56-78 mmHg,流速3.7-4.4 m/s;重度肺循环高压,左室收缩功能降低(重度),中度三尖瓣返流,轻度二尖瓣返流。
术前CT评估
主动脉根部分析:Type1型二叶瓣,L-R融合,瓣叶明显增厚,轻度钙化,钙化积分196mm³(HU850),主要分布于瓣叶、瓣叶根部。舒张期瓣环面积430.5mm²,折合内径23.4mm。




冠脉评估:左冠开口高度可,左侧冠脉开口上缘至窦底距离(13.8mm)>对应瓣叶长度(13mm),提示冠脉风险低。右冠开口高度可,右侧冠脉开口至窦底距离>对应瓣叶长度,提示冠脉风险低。左冠可见散在钙化。

左心评估:左室扩张,室间隔增厚,心尖变薄。瓣环水平夹角68°,提示横位心。



入路评估:升主动脉增宽,最宽处测得直径56.3mm。降主动脉可见锐折角。主动脉弓可见散在点状、团块状钙化。腹主动脉-髂总动脉可见片状、团块状钙化及溃疡。


手术策略
选型:BAV 18球囊预扩,Prizvalve®球扩瓣THV23,右侧股主入路22F大鞘。
策略:减容、2-8定位释放。
手术过程
患者术前已植入三腔起搏器,需暂停ICD功能以避免术中干扰。
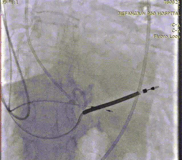
之后,右侧股动脉置入22F大鞘,猪尾导管主动脉根部造影。

入路检查

主动脉根部造影
导丝成功跨瓣后,送入18mm Prizballoon®球囊成功通过主动脉瓣狭窄处,在180 bpm快速起搏下行球囊预扩张。

导丝跨瓣

球囊预扩
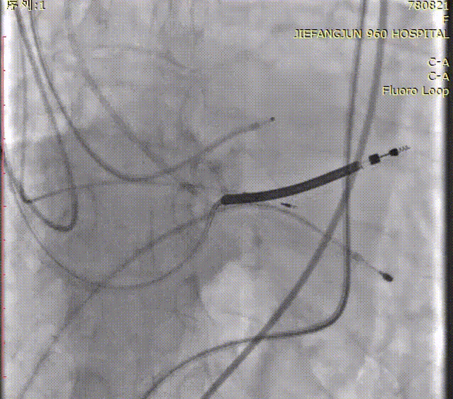
随后,沿加硬导丝送入体外预装好的Prizvalve® THV 23瓣膜,顺利过弓跨瓣,精准定位后,以180次/分快速起搏,待收缩压降到50mmHg时,2-8定位、减容策略进行释放瓣膜。
瓣膜定位造影

瓣膜释放后造影

术后入路检查
术后造影提示,瓣膜位置、膨胀形态良好。手术过程流畅,瓣膜功能即刻达标,患者术后恢复顺利。

病例二:心内科攻坚极重度钙化三叶瓣高危TAVR
患者基本情况
患者为87岁男性,主诉“发作性胸闷,胸痛13年,加重8小时”入院。
入院诊断:1. 急性心力衰竭;2. 心脏瓣膜病 主动脉瓣狭窄(重度);3. 冠状动脉粥样硬化性心脏病;4. 高血压病(3级 很高危);5. 2型糖尿病;6. 陈旧性脑梗死;7. 前列腺增生;8. 肺部感染 I型呼吸衰竭。
入院心电图示:心率98次/分,窦性心律,完全性右束支传导阻滞,ST-T形态改变。
冠脉造影示:冠脉右优势型,左冠开口位置正常。冠脉走行区可见明显钙化,LM开口狭窄30%,LAD开口-近段血管弥漫性狭窄50-60%,中段-远段血管欠规则;LCX近-中段血管欠规则,远段血管纤细,直径约1.0mm,局限性狭窄90%。RCA粗大,开口狭窄50%,近中段血管欠规则,远段血管未见狭窄。
心脏超声示:主动脉瓣钙化并重度狭窄、轻度返流,主动脉瓣上峰值流速5.19 m/s,平均流速3.63m/s,平均跨瓣压差61mmHg,峰值跨瓣压差107mmHg;二尖瓣后瓣环退行性改变并轻度偏心返流;升主动脉、主动脉弓增宽;室间隔增厚;少量心包积液。
术前CT评估
主动脉根部分析:三叶式主动脉瓣,瓣叶明显增厚,重度钙化,钙化积分1159mm³(HU850),主要分布于瓣叶、瓣叶根部、瓣尖、交界,瓣环平面延伸至瓣下2.2mm。




冠脉评估:
左冠开口高度可,左侧冠脉开口上缘至窦底距离(17.1mm)>对应瓣叶长度(15.5mm),模拟植入Prizvalve® THV 26(25)后VTC6.5mm,提示冠脉中风险。
右冠开口高度可,右侧冠脉开口至窦底距离>对应瓣叶长度,提示冠脉风险低。
双侧冠脉可见散在钙化。


左心评估:左室壁肥厚,心尖变薄。瓣环水平夹角47°。膜部高度1.8mm。




入路评估:
主动脉弓至股动脉段可见散在环状、团块状钙化及附壁血栓分布。
左侧下肢动脉入路最小平均内径8.1mm,右侧下肢动脉入路最小平均内径8.1mm;
左右侧股动脉分叉高度可,未见严重迂曲,穿刺点附近钙化可见。



手术策略
选型:BAV 20球囊预扩,Prizvalve®球扩瓣THV26,右侧股主入路22F大鞘。
策略:减容2.5 mL、2-8定位释放。
手术过程
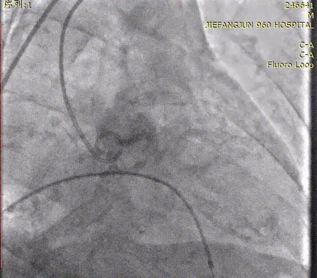
术中,经左侧颈静脉置入临时起搏器,右侧股动脉置入22F大鞘,猪尾导管主动脉根部造影。

入路检查

导丝过髂动脉

主动脉根部造影
导丝成功跨瓣后,送入20mm Prizballoon®球囊成功通过主动脉瓣狭窄处,在180 bpm快速起搏下行球囊预扩张。

球囊预扩
随后,沿加硬导丝送入体外预装好的Prizvalve® THV 26瓣膜,顺利过弓跨瓣,精准定位后,以180次/分快速起搏,待收缩压降到50mmHg时,1-9定位、减容2.5mL策略进行释放瓣膜。
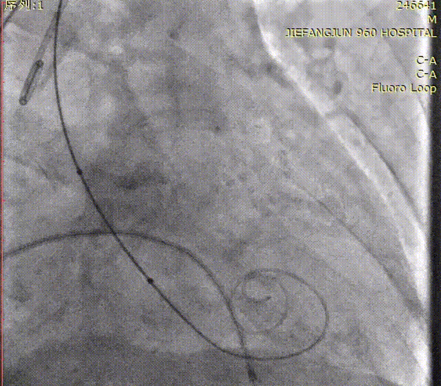
瓣膜定位造影

瓣膜释放后造影

术后入路检查
术后造影提示,瓣膜位置、膨胀形态良好,主动脉瓣狭窄解除,几乎无瓣周漏和反流,入路血管未见渗血,手术圆满结束。

术后总结
技术启示:不同病变下的 “精准治疗”逻辑
两例手术虽由不同科室完成,但均体现了解放军第九六〇医院在瓣膜病治疗中的核心思路 ——以解剖为导向,以器械为支撑,以安全为底线。
对心外科而言,横位心与血管条件受限的挑战,考验着入路选择的全局观与瓣膜释放的空间判断,短瓣架设计则有效适应了特殊解剖形态;对心内科而言,极重度钙化病例的突破,依赖于对钙化分布的精准评估、预扩的控制,以及冠脉风险的防控,而球扩瓣为复杂解剖提供了适配可能。
从三叶瓣到二叶瓣,从重度钙化到解剖异常,解放军第九六〇医院心内、心外科通过技术精进与经验积累,持续拓展瓣膜病治疗的边界,为不同类型患者提供个体化解决方案,以专业实力守护 “心” 健康。
科室简介
解放军第九六〇医院 心外科
联勤保障部队第九六〇医院心血管外科是济南军区心脏外科中心、联勤保障部队第九六〇医院重点科室,开展心脏及大血管手术40年,是山东省及济南军区开展心脏外科手术最早的单位之一。共完成各类心脏及大血管手术10000余例,目前年手术量500例,手术成功率常年保持在98%以上,达国内先进水平。经过40年的不断发展,已在国内、省内及军内形成了自己的特色和优势。现开放床位36张,重症监护床位8张,拥有国内一流的心脏病手术后监护室和专用手术室,德国Drage监护吊塔,美国惠普安捷伦和Philips六导监护仪,西门子Servo300、300A、MAQUET系列呼吸机,Datascope98主动脉内球囊反搏泵等先进监护和治疗抢救设备,为心脏病患者手术和手术后恢复提供了安全保障。
心外科是集临床、教学、科研为一体的多功能科室,共有医护人员33名,其中教授、主任医师3名,副教授、副主任医师、副主任技师及副主任护师5名,主治医师、主管技师6名,拥有博士5名,硕士4名,出国访问学者1名。近年在国内外发表学术论文200余篇,著作5部,获军内及山东省科技进步奖和医疗成果奖10余项。心外科为上海第二军医大学临床医学院先进教学单位、泰山医学院和辽宁医学院硕士研究生培养点,并拥有全省及军区内唯一的深低温实验室和同种瓣膜库。
解放军第九六〇医院 心内科
心内科具备强大的技术人才与雄厚的技术力量,在冠心病、急性心肌梗死、心律失常、心力衰竭、高血压病及心肌病等心血管疾病的临床诊断和治疗方面走在国内及山东省前列,形成了独有的诊疗特色和优势,使大量危重、疑难患者恢复健康,挽救了一大批濒临垂危的病人。
目前济南90医院心内科共有医护人员105名,共有医师29名,其中教授、主任医师3名,副教授和副主任医师12名,心内科目前固定床位112张,拥有国内一流的CCU病房,德国MAQUET多功能监护吊塔,日本光电NS-9701K中央监护系统及10台床边监护仪。山东省首台GE大平板DSA数字减影机,有独立的心血管介入中心,DSA三台;PhilipsIE33心脏彩色多普勒超声仪;美国数字化无创血流动力学检测仪等国内一流的监护和检查及治疗设备。

扫码进入球扩千人计划学术专栏
了解更多精彩内容