韩志华2007年德国进修日记(十二)
2017-07-07 13:49
2007-06-20 星期三 多云
Dr. Lauer
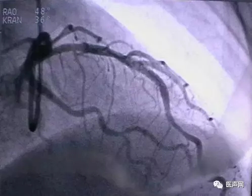
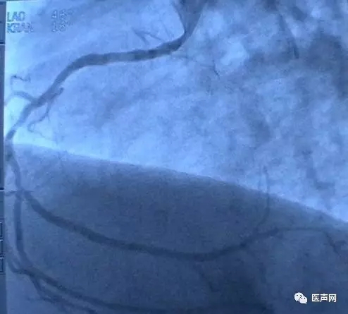
病例1: 冠脉搭桥术后,静脉桥CTO(CABG, VB-CTO)

箭头所示为第3个吻合点


(pre-PCI)
VB-对角支(jump)---LCX(jump)-PDA远端,第一个吻合以下完全阻断。
采用器械及技术:
· 导引导管非常深置(Very very deep seating)(本例GC达CTO 第一吻合口前)(这是Dr. Lauer常用一招)
· 对侧造影
· 硬导丝(走得很远, 达PDA)
· 微导管,OTW 球囊.
当打通后,发生室速,电复律---出现无复流---室速---植入支架(TAXUS Liberte)
当导引导管非常深置(very very deep seating)时,你可以想象支持力有多大,永远不要忘记他做RCA-CTO时导引导管深插到RCA中段的例子。此病例实际上PDA未能开通,在6月28日 Dr. Lauer终于用类似方法打通了PDA。
病例2:CABG术后,心衰
VB-LAD(-), VB-LCX(-),RCA 远端小分支50%狭窄,为小血管病变;
左心室造影:EF 34%
治疗方案: 慢性心衰治疗,植入ICD起搏器。
个人小结
· 有高血压,糖尿病,虽血管通畅,但有慢性心衰,可能与微循环障碍有关。
· 此例充分说明心导管检查的重要性,通过做导管决定此患者诊断及治疗方案,根本不需要讨论,这是新医学(New Medicine)与传统医学(Traditional Medicine)的区别。New medicine强调的客观证据,而Traditional medicine 主观的东西多。在国内医院,可能又要讨论了,因为植入ICD不是小问题。
· 本例充分说明导管室最后一锤定音,是核心和灵魂。
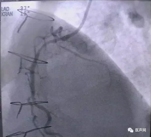
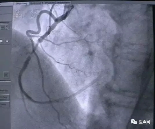
病例3:LAD中段90%狭窄
操作过程:JL4导引导管同轴性不好,支撑力不够,直接支架术(direct stent)有阻力,改用EBU 导引导管---植入TAXCOR 3.0×18mm DES.说明:导引导管的重要性。下图所示:




余老师讲:他们医院应用DRG管理模式(Disease Related Group),每一种疾病,每个治疗,如PTCA,支架术,ICD术等,都分类,最后分析医疗资源分配等等问题。DRG要领最早是澳大利亚首先提出。目前我们应用ISO管理可能与此相似,但不够精细。
病例4:LAD PCI术后,对角支远端病变
此病变上次PCI不成功,因为LAD有支架,导丝穿过支架网眼入对角支有困难(对角支发出角度很大,成直角(箭头所示)。此次不再尝试,要学会放弃。
见下图:

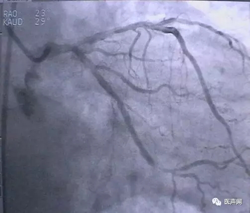
病例5:CABG术后
CABG术后,RCA远端有VB保护,但近端75%狭窄----做PCI (TAXUS Liberte 2.75 ×16mm,@14bar, 20sec)




此例入选TAX.DE 研究, 若出现支架内再狭窄(ISR),继而入选DCB-ISR-study(药物涂层球囊治疗支架内再狭窄研究)。
我们从这里可以看出,在德国Bad Berka心脏中心做课题何等方便!
病例6: 药物涂层支架再狭窄
有DM史,DES-ISR----入选DCB-ISR-study。
CAG:Yukon DES术后(LCX 2.5mm支架,对角支2.5mm支架),有支架内再狭窄。 处理策略:药物涂层球囊(DCB)治疗药物涂层支架内再狭窄
LCX 远段, DCB 2.5×20mm @10bar-12bar,3min(达2.71)
对角支开口病变:DCB 2.5×12 @4bar-6bar-8bar-13bar,3min(达2.75)


注意球囊近端定位, 近端标记mark(小黑点)在主支中心正好!不会影响到主支。

CX远段支架内再狭窄

药物球囊到位扩张

最后结果
个人小结
· 对角支开口病变,此例蜘蛛位最好(有时Dr. Yu用右肩位)。
· 对角支开口扩张时,压力逐渐增大,使支架不要滑行(no slipping)
· 本例药物涂层球囊(DCB)药物为1% Rapamycin.
· Rapamycin DCB 扩张时间3min(30sec-3min)
· DCB治疗后氯吡格雷应用时间4 周。(Dr. Yu根据药物涂层球囊的作用机制自己决定)
· Yukon DES, TAXCOR DES, AXXION DES后氯吡格雷12个月。
病例7:DDD术后,胸闷、气短—心导管检查 左心导管:CAG(-),左心室造影(-)
右心导管:PA、PCW(-)
抽血(股A、PA、LA)分析
结论:胸闷可能是肺源性因素,而非心源性因素
个人小结
· 此例为右心导管简易法(MP导管),不必进鞘,但用其扩张器扩张皮肤。进RV用打弯技术,当MP入PA后,先不要深插。测量PA后,再深插,发现压力下降,压力基线平稳后,即为PCW。(当然有的病例,PCW很高,下降不明显,后面有病例介绍)。
· 此病例用Fick法测量CO(血氧饱和度法,此法比温差测量值低,会高估病情)
(亦可用温差法)。
· 计算肺血管阻力(PVR):PVR=(PA中间压-PCW中间压)×80÷CO我们亦多次测量PA,但很少测PCW,为什么?对导管精髓理解不够深。
以前也没有哪个老师教我如何做才能测PCW,只知道漂浮导管
(SWAN-GANZ导管)可以测,但此事提了已好几年了,但从来没见过。
我们做导管太局限了!
小技巧:
· 穿刺时,回血可,但导丝进股动脉/静脉有阻力,处理:除了调整穿刺针方向之外,导丝转一下,可能会进入。
病例8:对角支开口病变-近端病变
CAG:对角支开口病变-近端病变,为小血管病变
JL4GC deep seating, 悬空作业(有时Dr. Yu双导丝,保护LAD,亦作标记)。 Yukon DES 2.0×12mm DES,12bar, 20sec扩张释放。
个人小结
· 支架张开后,导丝继续向远端(支架支撑技术)。
· 导引导管亦可在导丝+球囊支撑下勾住左冠。



对初学者来说,这种在导引导管支撑不好的前提下,悬空作业,有一定难度及风险,可双导丝(再入LAD),或更换更好GC,或预扩来完成。因为Dr.Yu 多 直接支架术(direct stenting)。今天总的来说,虽然病变不是非常复杂,但比较过瘾。有临床试验,TAX. DE study,DCB-ISR-study, VB CTO, Yukon polymer-free DES等,还有许多小技巧。关键是明白导管的精髓,导管室的主旨所在。
2007-06-21 星期四 雨
病例1: RCA PCI术后,胸闷气短
RCA PCI术后,胸闷,气短
CAG(-),无ISR。
EF:40%,较上次55%有进展
左心室造影:心脏扩大,重度二尖瓣关闭不全
右心导管:PA 31mmHg, PCW 30mmHg, PCW升高,但PA不太高,
说明二尖瓣关闭 不全出现时间不长,急性可能大,二尖瓣乳头肌可能出问题 处理:外科二尖瓣置换术(MVR)。
个人小结:
· 右心导管:导管在RV内打个圈,导管头向上入PA。
· 术中发作房颤,PA,PCW下降,等终止后再作血流动力学指标。
· 一般病人PA高,PCW曲线下降,压力降低,但此病人PCW不下降。这说明是急性,PA尚未来得及升高,机理可能与左室重构,左室代偿有关。
病例2: 药物涂层球囊治疗小血管病变
LCX 中段90%, 扭曲病变,为小血管病变。
治疗策略:DIOR DCB+BMS 治疗
入选病变为small vessel de novo lesion。这是余江涛老师今日开始做的新课 题。 LCX中段紫杉醇药物涂层球囊(Paclitaxus DCB),16bar,2min扩张,植入Motion BMS 2.75×20mm,LCX近端出现夹层,处理:Motion BMS 2.75×8mm植入,覆盖夹层。
个人小结:
· 分析近端出现夹层原因,可能扭曲病变,导丝通过病变有阻力。球囊通过亦有阻力。血栓亦有可能。
· 紫杉醇药物涂层球囊的商品名为DIOR,
· DIOR DCB压力扩张要求达命名压(8bar),时间至少30-40sec.
· Paclitaxus药物剂量:3.0μg/mm2(球囊表面积),前面已提过,药物存在于球囊表面乳突中。




病例3:患者肥胖--TRI。
注意此病例,进导丝时发现导丝入降主A,及时调整方向。再次复习经桡A造影退更换导管时保留导丝的技术。
病例4:左心室造影关注左室舒张末压力(EDP)
注意做左心室造影时,左室舒张末压力(EDP),这是评估舒张性功能不全的指标,若此压力大于30mmHg,造影剂用量要少。左心室造影(用5F导管):造影剂:25ml, 注射速度:15ml/sec. AO造影(用5F导管):造影剂:40ml, 注射速度:20ml/sec.
病例5:股A严重扭曲
股A严重扭曲,造影时发现导管不够长,处理办法:长鞘(45cm长,可塑形)+硬导丝(stiff wire) 右冠用:3DRC导管。
病例6:小血管病变处理---药物涂层球囊+金属裸支架(DCB+BMS)
中间支PCI术后,复查CAG,无ISR。RCA远端90%狭窄,小血管病变,中段40%狭窄 处理:小血管病变处理策略---药物涂层球囊+金属裸支架(DCB+BMS)(附图)
DCB(Eurocro, DIOR):2.5×15@8-10bar,2min
BMS(Motion): 2.5×18@14bar,20sec


药物涂层球囊扩张

支架术后
这是余江涛教授刚刚开始做的新课题,用DCB治疗小血管病变(small vessel lesion)。
在此我想引用一下有关药物涂层球囊(DCB)的观点,原文如下:
“In perspective,the drug-coated balloon has the potential to improve the limited results of DES-for example, in patients with coronary in-stent restenosis, in bifurcations, in small vessels, or in other circumstances where stent implantation is not desirable or possible. With the drug-balloon there is no need for a stent. However, the drug-coated balloon with modern, flexible, thin bare metal stents is another promising application. 我想最后一个stent可以用BMS吗?余老师的研究,让我 们拭目以待!(原文出处:Bruno Scheller, Prevention of restenosis: is angioplasty the answer? Heart2007;93;539-541)
个人感想:
今天是晚班,在9:30PM时,你会发现整个心脏导管室,只有两个医生在做手术,一个就是Dr.Yu, 另一个是Lauer,他们两人是心脏中心的总负责人。社会主义中国与资本主义德国差多远,你不难发现!以前我听同行说,在国外医生一到下班时间,就脱下白大衣回家了。若要加班,拿money来,我想告诉一个事实是:德国医生敬业态度已超出我们的想象! 真得,革命尚未成功,同志尚需努力!
2007-06-22 星期六 阴,雨
病例1:主动脉根部扩张,主动脉瓣狭窄,全套心导管检查
主动脉根部扩张,主动脉瓣狭窄,做心导管检查,这是“套餐”,包括左心导管及右心导管。
右心导管:7F鞘,Swan-Ganz导管
温差法:心排量(CO) 7.01l/min,主动脉瓣口面积:0.97mm2
FICK法:心排量(CO) 5.35l/min
左心导管:8F鞘,Amplatz 导管—长亲水导丝—进左室---亲水导丝打弯弯回至主动脉根部---双孔猪尾导管---测得左室-主动脉压差45mmHg(见下图),主动脉根部直径60mm, EF>65%CAG: RCA 远段75%狭窄, 左主干远段50%狭窄。
结论:主要诊断:
主动脉根部瘤,主动脉根部扩张,主动脉瓣关闭不全,主动脉瓣狭窄;冠心病此患者若是单纯主动脉瓣狭窄不一定手术,心功能可,压差小于50mmHg,主动脉瓣口面积0.97mm2 ,要结合临床有无症状。处理:外科AVR+bypass


计算AV面积
个人小结:
· 此病例看起来简单,实则不然,在德国,这种心脏瓣膜病变,一般都要做左心导管+左心导管检查,不管年龄。
· 对此病人而言,同时有主动脉瓣狭窄(AS),需要测主动脉瓣跨瓣压差,计算瓣口面积,为外科手术提供依据。
· 主动脉根部扩张患者,常规4号诊断导管难以勾住左冠,可选用6号导管,6号导管如果还不够,可用母子导管(6F大腔导管+5F诊断用猪尾导管)
(Mother and baby catheter)。
病例2:RCA 支架术后,近端CTO
CAG:RCA 支架术后,近端至远端支架,近端慢性闭塞病变(CTO)(下图所示)
手术经过:AL1.5导引导管,然后换AL2.0导引导管,在微导管支撑下,用硬导丝通过病变,直径1.25mm球囊至远端,远端有夹层,重至真腔,
但近端不确定是否真 腔,2.0mm CTO球囊可至RCA中段,导引导管弹出,重新进入,但近端可能是假 腔,终止手术,下次再试。



近端导丝在支架轮廓外侧


有3个Mark标记者为微导管,微导管可达RCA远段,但不一定在支架内走行。
个人小结:
· 导引导丝虽然在支架网眼外穿行,但球囊可以无阻力穿过,这不一定是真腔。导丝可能走在支架网眼与管壁之间,球囊不能扩!
· 即使导丝穿出支架网眼,但球囊可以无阻力穿过网眼。扩张时一定慎重!
· 做CTO时导丝可能从真腔-假腔-再到真腔。
病例3: 心肌病心肌活检复查
65岁患者,心肌炎心肌病,EF20%,已做过心肌活检,今复查 8F静脉鞘, 8F右冠JL4导引导管
活检体位:AP位,3-4点处活检;侧位4点处活检
个人小结:
· 心肌活检复查,在国内几乎不可能做到,一般病人不会同意,即使医生愿意做心肌活检。
病例4:主动脉瓣狭窄
主动脉瓣狭窄(AS),这又是一道大餐!因为包括全套左心导管+右心导管。
右股动脉有人造血管,左侧股动脉穿刺。
右心导管:温差法测CO,PA(-),PCW(-),FICK法测量在此不再重复。
左心导管:双孔猪尾导管测得左室-主动脉压差11OmmHg,交换压力接头,发现有误差,重新交换再测,直到两个接头测量基本相似,以排除误差。CAG(-)最后计算主动脉瓣口面积:0.48mm2
外科手术:主动脉瓣置换术(AVR)。
具体血流动力学检测见附页内容。可充分了解德国心导管室的严谨。余江涛老师说:只要是心外科手术,不分年龄,都要做心导管检查(右心+左心导管),除非特别禁忌,30岁,你能一定排除冠脉病变吗? 显然不能!一定要有客观证据。
从这件小事上,你可以看出德国医生的严谨态度,在这一方面我们尚需要向他们学习。
病例5: 服华法令抗凝患者右冠介入GENOUS生物工程支架治疗RCA 中段 85%狭窄, 有房颤,正服华法令抗凝治疗。PCI:直播支架术(direct stenting), Genous 3.0×18 支架,16atm, 20sec扩张释放。(术中导丝多次入边支)


个人小结:
· 用Genous Bio-Engineered支架,氯吡格雷只用1个月(合用Asprin)。
· 用华法令患者,PCI 支架术后也需要氯吡格雷+Asprin抗血小板治疗,当然需要监测凝血酶原时间、INR,及时调整抗凝药物剂量。