
一例75岁男性患者,既往有PCI史,因劳力性心绞痛入院。在LCX介入治疗过程中,发生了医源性LAD夹层(由IVUS导管而非球囊引起),导致前降支血流受阻(TIMI 2级)。医生创新性地使用灌注球囊进行补救。
这例IVUS导管并发症处置,靠的是科技和运气:一是首次将用于冠脉穿孔的灌注球囊应用于IVUS导管诱发的夹层紧急补救;二是采用"入口封堵+远端开窗"的分步策略;三是避免支架植入而完全使用DCB治疗。

医源性冠状动脉夹层发生率约0.1%,但死亡率高达20-40%。其常见诱因包括导管操作(如深插、同轴不良)、球囊扩张或导丝损伤。传统抢救依赖紧急支架植入以覆盖夹层入口,但在左主干或分叉病变中操作风险极高。
近年来,灌注球囊因其独特的侧孔血流灌注功能,被用于冠脉穿孔的临时封堵。本病例首次系统报道灌注球囊在IVUS导管诱导性夹层中的创新应用,通过“封堵-开窗”策略实现血管真腔重建。
临床资料
患者:75岁男性
主诉:劳力性心绞痛复发
既往史:LAD远端、LCX中段药物洗脱支架植入史
冠脉造影(图1A-C):
▹LCX开口重度狭窄(>90%)
▹左主干-LAD全程轻度狭窄(30-40%)
手术过程及并发症
IVUS引导下LCX预处理:
球囊预扩LCX后患者突发胸痛
心电图:胸前导联ST段抬高
紧急冠脉造影(图1D-E,视频1、视频2):
LAD血流下降至TIMI 2级
夹层范围:LAD开口延伸至LAD近段
关键发现:回放IVUS影像提示IVUS导管操作时LAD已存在微小夹层(非球囊预扩导致)

视频1

视频2
IVUS确诊夹层特征(图1F-G,视频3):
真腔受假腔压迫,假腔延伸至钙化斑块深部
LAD开口内膜撕裂,左主干未见明显夹层

视频3





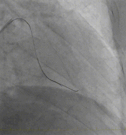
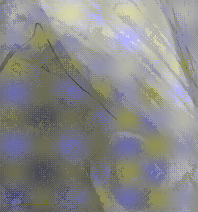
图 1. 术中冠状动脉造影、IVUS及随访造影
A-C. 初始冠脉造影:LCX开口重度狭窄,左主干-LAD轻度狭窄
D-E. 夹层发生:LAD夹层(虚线箭头),TIMI 2级血流,(D'、E')放大图像
F-G. IVUS:真腔受压,假腔延伸至钙化后方,内膜撕裂(黑色箭头)
H. 灌注球囊封堵入口:LAD血流恢复
I. 灌注球囊远端开窗:建立真-假腔交通
J. IVUS:真腔扩大,多通道形成
K-L. 灌注球囊术后:最终冠状动脉造影,残余假腔存在
M. 9个月随访冠脉造影:夹层愈合
灌注球囊补救方案
a. 入口封堵:
使用 3.0/20mm 灌注球囊(Ryusei [Kaneka Medix])在疑似夹层入口处进行短时间扩张。在LAD灌注得以恢复的情况下,能够对LAD进行造影(图 1H)。
b. 远端开窗:
在疑似夹层远端处,也以额定压力扩张灌注球囊以建立真-假腔交通,实现开窗(图 1I)。IVUS显示真腔扩大,真腔与假腔之间有多个连通,随后胸痛和 ST 段抬高缓解(图 1J、视频4)。冠状动脉造影显示LAD血管腔扩大,血流恢复至 TIMI 3 级。

视频4
c. DCB处理:
左主干-LAD及LCX行药物球囊扩张后,冠状动脉造影显示结果良好,但残余假腔存在(图 1K、图 1L)
术后随访
即刻效果:胸痛缓解,ST段回落,心肌酶无升高
2个月复查冠脉造影:仍有残余假腔
9个月复查冠脉造影(图1M):管腔通畅,夹层完全愈合
讨论
IVUS导管诱导性夹层的可能发生机制为IVUS导管头端的机械应力直接损伤内膜,本例为夹层伴血流减慢,需紧急干预。
医源性IVUS导管所致冠状动脉夹层较为罕见,但可能引发危及生命的心脏事件。尽管IVUS引导下的补救手术是较优选择,因为进一步注射造影剂可能会扩大夹层,但仅依靠IVUS有时难以指导支架植入或使用切割球囊开窗。切割球囊开窗需精准定位,操作复杂,且无灌注功能。
在本例中,通过使用灌注球囊封闭夹层入口,不仅能够进行继续造影,还恢复了LAD的灌注。使用灌注球囊也成功实现了远端开窗,使得仅使用药物涂层球囊即可完成补救手术,无需支架植入。
灌注球囊主要用于冠状动脉穿孔的治疗,本例通过“封堵-开窗”策略,为医源性IVUS导管所致冠状动脉夹层提供了解决方案,尤其适用于左主干或分叉病变等紧急补救高风险区域。总之,灌注球囊可作为处置此类并发症的有效补救手段。

Ryusei灌注球囊产品资料
Ryusei灌注球囊(Kaneka Medix)是一种特殊球囊导管,具有独特的设计和显著的临床优势。
一、产品结构
球囊长度:20 mm
球囊直径:提供 2.5 mm、3.0 mm、3.5 mm 和 4.0 mm 四种规格
灌注孔设计:
▹球囊近端:16 个纵向排列、间距 1 mm 的灌注孔
▹球囊远端:8 个均匀分布在圆周上的灌注孔
导管外径:3.4 F(约 1.13 mm)
二、工作原理
持续灌注:通过球囊前后的灌注孔,在球囊充气期间仍可向远端冠状动脉提供血流,减少心肌缺血时间,允许进行长时间的球囊扩张。
扩张时间:单次扩张可持续较长时间,具体时间根据临床需求调整。