
主动脉瓣狭窄(aortic stenosis,AS)为最常见瓣膜疾病之一,尤其在老年人群中高发。主动脉瓣狭窄的筛查和正确识别非常重要,因为患者在疾病进展至晚期前往往可保持无症状。准确且及时的诊断对于优化患者预后至关重要,因为疾病进展可能导致心力衰竭、心律失常或死亡。通常情况下,主动脉瓣狭窄通过体格检查时发现心脏杂音来识别的,而经胸超声心动图(transthoracic echocardiography)是诊断AS的金标准。¹本文提供了一份全面的经胸超声识别和诊断AS的操作指南。本指南旨在提升超声医生、培训医师及其他医疗卫生专业人员技能,提供一种系统化方法,包括诊断所需关键成像切面、测量方法和血流动力学评估。
经胸超声成像操作步骤(图1)

图1. 主动脉瓣狭窄患者经胸超声心动图扫描操作步骤
代表性示意图展示用于评估主动脉瓣狭窄的逐步经胸超声心动图成像操作流程。2D = 二维(2-dimensional);3D = 三维(3-dimensional);AR = 主动脉瓣反流(aortic regurgitation);AV = 主动脉瓣(aortic valve);CW = 连续(continuous wave)多普勒;LVEF = 左室射血分数(left ventricular ejection fraction);LVOT = 左室流出道(left ventricular outflow tract);PLAX = 胸骨旁长轴(parasternal long axis)切面;PSAX = 胸骨旁短轴(parasternal short axis)切面;PW = 脉冲(pulse wave)多普勒。
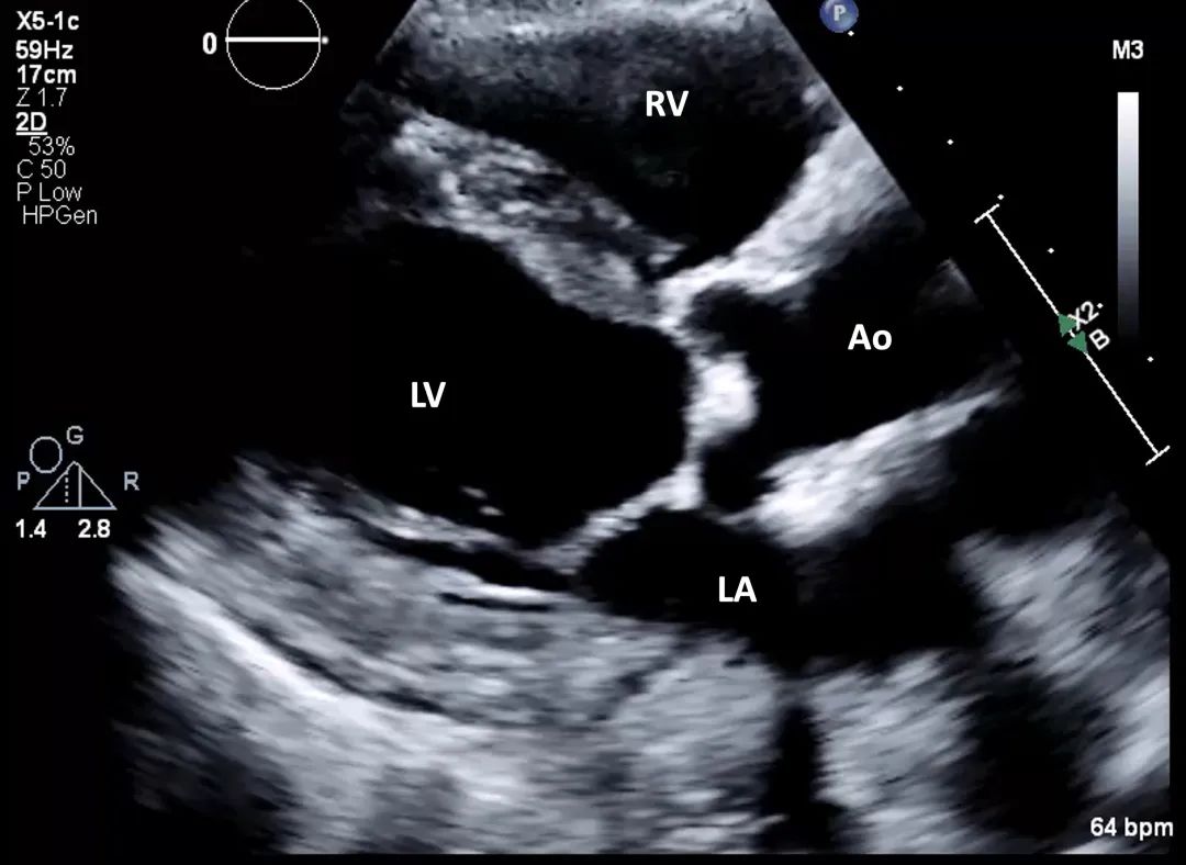
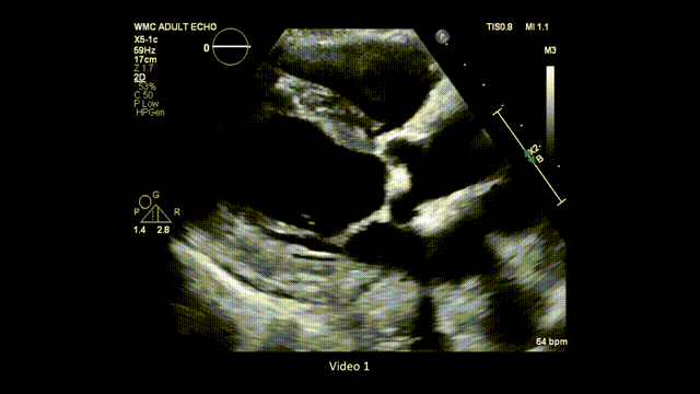
1、使用经胸超声心动图探头,从胸骨旁长轴切面开始操作流程,以评估左室射血分数、左室壁厚度,以及主动脉瓣和二尖瓣(图2,视频1)。

图2. 胸骨旁长轴切面
使用经胸超声心动图探头,从胸骨旁长轴切面开始,评估左室射血分数和室壁厚度。Ao = 主动脉(aorta);LA = 左房(left atrium);LV = 左室(left ventricular);RV = 右室(right ventricular)。

视频1. 左室胸骨旁长轴切面
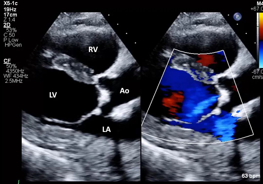
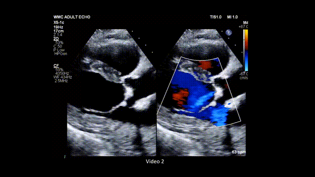
2、 在胸骨旁长轴切面放大(zoom)主动脉瓣(AV)和二尖瓣结构,分别采用普通二维和彩色多普勒模式进行评估(图3,视频2)。

图3. 胸骨旁长轴切面放大图像(普通二维和彩色多普勒对比)
胸骨旁长轴切面下主动脉瓣的放大图像,分别展示使用普通二维和彩色多普勒的情况。缩写同图2。

视频2. 胸骨旁长轴切面应用彩色多普勒(彩色与二维灰阶对比模式),评估主动脉瓣是否存在反流及主动脉瓣狭窄时典型的彩色镶嵌血流模式。
3、胸骨旁长轴切面:测量左室流出道(left ventricular outflow tract,LVOT)直径(于心脏收缩中期测量)、主动脉窦直径、主动脉瓣瓣环直径、窦管交界直径和升主动脉直径(图4)。

图4. 左室流出道和主动脉根部测量
胸骨旁长轴切面测量左室流出道直径(收缩中期测量;左图,蓝线)、主动脉瓣环直径(右图,绿线)、主动脉窦直径(右图,红线)、窦管交界直径(右图,黄线)和升主动脉直径(右图,白线)。缩写同图2。
4、胸骨旁短轴切面: 检查主动脉瓣形态(例如:二叶瓣、三叶瓣),注意钙化位置或是否存在融合嵴(图5,视频3)。

图5. 主动脉瓣的短轴评估
胸骨旁短轴切面用于评估主动脉瓣形态(识别为二叶瓣、三叶瓣等)。注意钙化位置或融合嵴存在情况。缩写同图2。
5、胸骨旁短轴切面:在主动脉瓣瓣尖于收缩期进行主动脉瓣面积直接平面测量(planimetry)——即描记法。使用双平面或三维成像技术可确保测量位于瓣叶尖端。如果测量未处于瓣叶尖端,则可能高估或低估主动脉瓣瓣口面积(aortic valve area,AVA)(图6)。

图6. 主动脉瓣瓣口面积的描记法测量
主动脉瓣瓣口面积的直接平面测量(即描记法)可采用双平面方式进行,此时光标需置于瓣叶尖端。然而,如果光标未完全精准地置于瓣叶尖端,可能导致直接平面测量结果产生误差。
6、心尖四腔心切面: 评估左室射血分数(二维和/或三维)及左室整体纵向应变(global longitudinal strain,GLS)。需注意的是,评估左室整体纵向应变必须同时获得心尖四腔心、二腔心和三腔心视图(图7,视频4)。

图7. 左室整体纵向应变
利用四腔心切面(A)、二腔心切面(B)和三腔心切面(C)进行左室应变评估。这些图像经分析后,以靶心图形式(D)显示节段性纵向应变。

视频4. 利用四腔心、二腔心和三腔心切面获得左室整体纵向应变
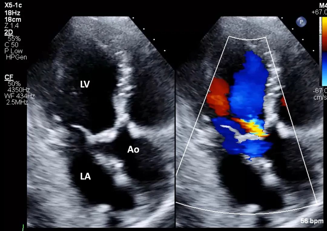
7、心尖五腔心切面: 在主动脉瓣处的彩色多普勒显示主动脉瓣狭窄引起的彩色镶嵌血流(mosaic color flow)模式,且可显示主动脉瓣反流(aortic regurgitation,AR)。应确认湍流起始位置,确保湍流源自瓣膜层面,而非瓣下(如主动脉瓣下隔膜或肥厚型心肌病所致左室流出道梗阻)或瓣上位置(图8,视频5)。

图8. 心尖五腔心切面评价主动脉瓣狭窄(有和彩色多普勒对比)
心尖五腔心切面结合主动脉瓣处彩色多普勒,用于评估流出道梗阻所致狭窄性彩色镶嵌血流模式以及主动脉瓣反流。缩写同图2。

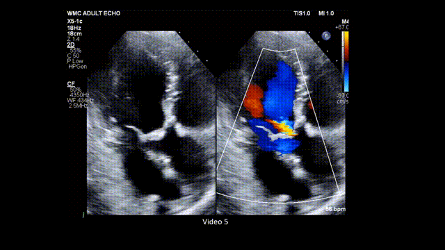
视频5. 心尖五腔心切面应用彩色多普勒(彩色与二维灰阶对比模式),评估主动脉瓣是否存在流出道梗阻所致的狭窄性彩色镶嵌血流模式,以及主动脉瓣反流情况。
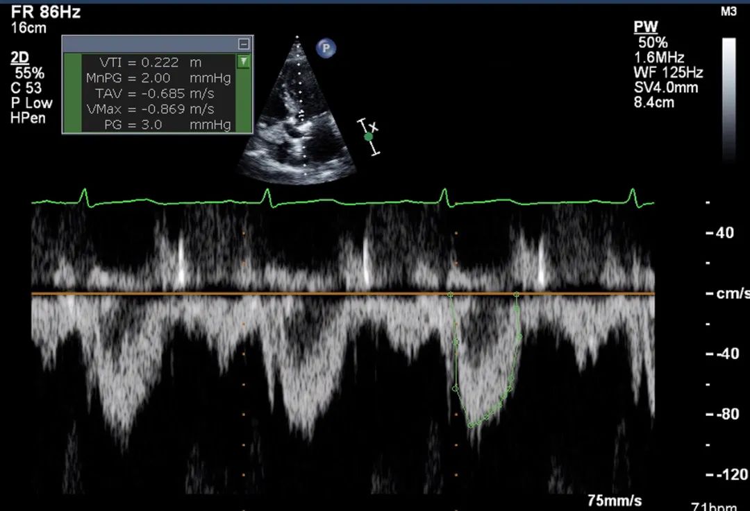
8、心尖五腔心切面:将连续多普勒(continuous-wave Doppler,CW)取样线对准主动脉瓣血流方向,测量主动脉瓣峰值流速和跨瓣压差,并评估是否存在主动脉瓣反流。测量主动脉瓣峰值流速波形(图9)。

图9. 心尖五腔心切面连续多普勒评估
心尖五腔心切面:将连续多普勒取样线对准主动脉瓣血流方向,测量主动脉瓣峰值流速(A)和跨瓣压差,并评估主动脉瓣反流(B)。
9、心尖五腔心切面: 将脉冲多普勒(pulse wave Doppler,PW)取样容积(sample volume)置于左室流出道,注意避免放置在血流汇聚区(flow convergence area)(图10)。操作时,可先将脉冲多普勒取样容积置于主动脉瓣瓣口水平,然后缓慢向心尖方向回撤至左室流出道内,直至获得无混叠且获得清晰居中的频谱多普勒波形。注意取样容积放置过于靠近主动脉瓣瓣叶,可导致高估流速;反之取样容积过于靠近心室侧,则可能低估流速。测量脉冲流速时,应应选择测量频谱波形中最明亮的白色边缘(即众数流速),代表绝大多数血细胞的流速。

图10. 心尖五腔心切面脉冲多普勒评估
心尖五腔心切面:将脉冲多普勒取样容积置于左室流出道,避免放置在血流汇聚区。
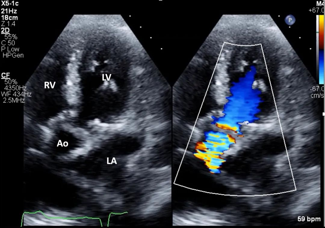
10、心尖三腔心切面: 在主动脉瓣位置使用彩色多普勒评估狭窄所致彩色镶嵌血流模式,并评估主动脉瓣反流(AR)(图11,视频6)。与五腔心切面类似,也需排除其他引起LVOT梗阻的原因。

图11. 心尖三腔心切面评价主动脉瓣狭窄(普通二维和彩色多普勒对比)
心尖三腔心切面:在主动脉瓣处使用彩色多普勒,评估主动脉瓣反流和流出道梗阻所致的狭窄性彩色镶嵌血流模式(stenotic mosaic color flow pattern)。缩写同图2。

视频6. 心尖三腔心切面应用彩色多普勒(彩色与二维灰阶对比模式),观察主动脉瓣有无梗阻性彩色镶嵌血流模式,并评估主动脉瓣反流情况。
11、心尖三腔心切面: 将连续多普勒取样线对准主动脉瓣血流方向,获得主动脉瓣峰值流速、跨瓣压差,并评估主动脉瓣反流(AR)(图12)。测量此切面下主动脉瓣峰值流速波形。

图12. 心尖三腔心切面连续多普勒评估
心尖三腔心切面:将连续多普勒取样线对准主动脉瓣血流方向,获得主动脉瓣峰值流速、跨瓣压差,并评估主动脉瓣反流。
12、心尖三腔心: 将脉冲多普勒取样容积放置于左室流出道,注意避免放置在血流汇聚区(图13)。采用类似心尖五腔心切面的方法获得脉冲多普勒波形。

图13. 心尖五腔心切面脉冲多普勒评估
心尖三腔心切面:将脉冲多普勒取样容积放置于左室流出道,注意避免放置在血流汇聚区。
13、Pedoff探头(非成像探头): 分别在心尖五腔心、胸骨上窝和胸骨右旁位置获取主动脉瓣跨瓣压差(图14)。该探头体积较小,可方便地在肋间调整位置,以获得最佳多普勒频谱波形。扫描时打开音量可通过听觉反馈帮助定位主动脉瓣血流信号。进行胸骨右旁扫查时,可嘱患者右侧卧位并将右臂举过头部,以便超声波束更好地对准主动脉血流方向。在所有可能的声学窗口中测量主动脉瓣峰值流速。心尖五腔心视图测量主动脉瓣峰值流速时,多普勒频谱波形位于基线下方;而胸骨上窝和胸骨右旁视图测得的多普勒频谱波形位于基线上方。

图14. PEDOFF探头评估主动脉瓣狭窄
使用PEDOFF(非成像探头)从心尖五腔心切面、胸骨上窝及胸骨右旁位置获取跨瓣压差。
14、使用连续性方程(continuity equation)计算主动脉瓣瓣口面积(图15):所需参数包括胸骨旁长轴切面测量的左室流出道(LVOT)直径(步骤3),左室流出道流速或流速时间积分(步骤9和/或步骤12),以及主动脉瓣流速或流速时间积分(步骤8、11和13)。窦性心律时取3个测量值的平均值;心房颤动时取5个测量值的平均值。需强调的是,应在所有可能的声窗位置测量主动脉瓣峰值流速。

图15. 使用连续性方程计算主动脉瓣瓣口面积
主动脉瓣瓣口面积通过连续性方程计算,其所需参数包括从胸骨旁长轴切面测得左室流出道直径,以及LVOT流速和主动脉瓣流速。
潜在误区
超声医生在评估主动脉瓣狭窄时可能会遇到一些挑战。一些常见成像困难包括:由于患者体型、乳房植入物或多普勒角度调整不佳导致的成像声窗欠佳。其他潜在误区包括将主动脉瓣狭窄流速误认为其他疾病状态引起的流速(如肥厚型心肌病、二尖瓣反流、主动脉瓣下隔膜等)。以下是扫描时需牢记的一些有用技巧。
1、不要将二尖瓣反流流速误认为主动脉瓣狭窄流速。注意多普勒波形起始时间有助于区分这两种情况。二尖瓣反流多普勒波形呈圆形全收缩期波形,发生于等容收缩期和等容舒张期期间。而主动脉瓣狭窄的多普勒波形呈圆形但较尖锐,发生在等容收缩期之后但在等容舒张期之前的心脏收缩期内(图16)。扫描时,主动脉瓣位置偏前方(朝向胸壁前方),二尖瓣则更靠近中央位置(朝向胸骨)。

图16. 二尖瓣反流与主动脉瓣狭窄多普勒波形的比较
(A) 二尖瓣反流的多普勒波形呈圆滑轮廓,出现在心动周期的等容收缩期和等容舒张期。(B) 主动脉瓣狭窄的多普勒波形呈圆滑但稍尖锐的速度波形,出现在收缩期内,即等容收缩期之后但在等容舒张期之前。
2、务必排除其他导致流出道梗阻的病因,包括瓣下及瓣上狭窄。主动脉瓣下隔膜是一种位于左室流出道的薄膜结构,可能表现为局限性或隧道状。在放大左室流出道图像时,应仔细寻找隔膜并用彩色多普勒检查是否存在位于主动脉瓣下方的左室流出道血流加速现象。这类患者常合并主动脉瓣反流。肥厚型心肌病患者因室间隔肥厚造成左室流出道狭窄。可能伴有二尖瓣前瓣的收缩期前向运动(systolic anterior motion,SAM),由此导致在狭窄部位及室间隔瓣环运动处的彩色多普勒湍流。连续多普勒呈现晚期尖峰的匕首状波形(图17)。在这些患者中,脉冲多普勒取样容积的放置极其重要,需仔细调整取样位置以避免因瓣下梗阻导致的血流加速(多普勒混叠)。

图17. 肥厚型心肌病患者的多普勒波形
肥厚型心肌病患者的连续多普勒波形呈晚期尖峰的匕首状波形(A);脉冲多普勒波形则表现为流速增高并伴有混叠B)。
3、多普勒取样光标对准不佳可致低估或高估跨瓣压差。脉冲多普勒取样容积位置不恰当亦可导致搏出量测量误差:若取样容积放置过于接近主动脉瓣,搏出量将被高估;若放置位置离主动脉瓣过远,则会被低估,进而导致使用连续性方程计算主动脉瓣面积时产生误差。当将脉冲多普勒取样容积置于左室流出道时,如果出现频谱增宽伪影(spectral broadening artifact),应将取样容积重新定位至远离血流汇聚区的区域。连续多普勒取样光标与血流方向越平行,测得主动脉瓣流速及跨瓣压差值越准确。对于主动脉瓣严重钙化、二叶式主动脉瓣或主动脉迂曲患者,连续多普勒光标的定位可能较为困难。这时可使用彩色多普勒辅助识别血流方向,以更好地对准连续波多普勒取样光标。使用常规成像探头和PEDOFF(非成像)探头在所有推荐视图中进行扫描是非常重要的。
4、超声造影剂可用于获得主动脉瓣跨瓣压差,但需谨慎调整增益以避免多普勒波形测量值被高估(图18)。

图18. 使用超声造影剂评估主动脉瓣流速
主动脉瓣狭窄患者的连续多普勒评估。已降低增益设置以确保不会导致跨瓣压差被高估。
5、识别低流量-低压差主动脉瓣狭窄(low-flow, low-gradient aortic stenosis,LF-LG AS)。当左室搏出量降低时,可导致主动脉瓣峰值流速或主动脉瓣跨瓣压差可能无法满足高跨瓣压差重度主动脉瓣狭窄的全部标准。对于重度LF-LG AS患者,计算得到的主动脉瓣面积<1.0 cm²,搏出量指数(indexed stroke volume)<35 mL/m²,无量纲指数(指左室流出道(LVOT)速度时间积分(VTI)与主动脉瓣(AV)速度时间积分的比值,即(LVOT VTI/AV VTI)<0.25。准确测量这些患者的计算搏出量非常关键,应谨慎避免高估或低估左室流出道直径或LVOT的脉冲多普勒流速。对于特定患者,可考虑通过多巴酚丁胺负荷超声心动图进一步明确是否为重度LF-LG AS。
6、连续性方程的局限性包括假设左室流出道形状完全呈圆形。当LVOT呈椭圆形时,在胸骨旁长轴切面测得LVOT直径可能导致连续性方程低估真实LVOT面积。在LVOT呈椭圆或偏心形状时,使用三维容积数据集直接测量LVOT平面面积可能是一种合理的替代方法。
结论
超声心动图是一种经济有效且无创的工具,临床医生可以用其进行主动脉瓣狭窄的早期检测。如果超声心动图检查操作正确,主动脉瓣狭窄的测量精确度和整体评估的准确性将提高,从而实现更早的疾病状态识别、更早的干预,以及整体上提高患者的生存几率。
来源
https://www.sciencedirect.com/science/article/pii/S2666084925011970
Poniros A, Nevin K, Tang GHL, Safi LM. How to Scan Patients With Severe Aortic Stenosis. JACC Case Rep. 2025;30(21):104415. doi:10.1016/j.jaccas.2025.104415