
一名50岁女性因胸部不适、运动耐量下降及先兆晕厥就诊。检查未发现休克或心功能衰竭体征,血压为150/90mmHg,心率为48-63次/分。遥测显示窦性心动过缓及窦性停搏(最长达4秒)。
她出生时为双性人,出生时被认定为男性,于2001年通过变性手术和硅胶隆胸转变为女性。她唯一的常规用药是服用雌二醇2mg/日。

既往病史包括胃食管反流病、高血压、偏头痛和肥胖。无吸烟、饮酒史,否认药物滥用史。
其父有缺血性心脏病,其母有肺结节病。
检查
心电图:
间歇性交界性心动过缓(40次/分)(图1A)
窦性停搏(最长4.4秒)(图1B)。

图1 就诊时心电图
就诊时心电图显示间歇性交界性心动过缓(40次/分)(A)和最长4.4秒的窦性停搏(B)。
实验室检查:
肾功能轻度受损(肌酐107mmol/L,eGFR 52 mL/min/1.73 m²)
血钙、肝功能和甲状腺功能正常
血常规正常
高敏肌钙蛋白轻度升高(27 ng/L)
血管紧张素转换酶升高(78 U/L;正常值20-70 U/L)
NT-proBNP正常(317 ng/L;正常值<900 ng/L)
经胸超声心动图(TTE):
右心房后外侧分叶状高回声团块(图2A)
主动脉瓣水平邻近主肺动脉近端团块(图2A)
主动脉瓣下方的室间隔前部显著增厚(图2B)
左、右心室收缩功能正常,无明显瓣膜病变

图2 经胸超声心动图
经胸超声心动图显示右心房后外侧及邻近主肺动脉近端有分叶状肿块(A)。主动脉瓣水平正下方的室间隔前部也明显增厚(B)。
心脏CT:
右心房46×34mm软组织肿块(图3A);但主肺动脉和室间隔前部的异常未显示。
广泛腋窝及纵隔淋巴结肿大(图3B)
左侧乳房假体破裂

图3 心脏CT
心脏CT显示右心房软组织肿块和乳房假体破裂(A)。还显示广泛的腋窝和纵隔淋巴结肿大(B)。
心脏磁共振成像(CMR):
稳态自由进动序列:右心房4×5cm软组织肿块(图4A);右心室流出道外侧类似肿块(图4B)
T2加权STIR序列:下壁中部、后内侧乳头肌(图5A)及室间隔前部(图5B)心肌水肿区(信号强度增加)
晚期钆增强(LGE)序列:上述水肿区对应强化(图6A,6B)

图4 心脏磁共振稳态自由进动序列
(A)四腔心视图显示右心房有一个4×5cm的软组织肿块。(B)右心室横轴位视图显示右心室流出道外侧有一个肿块。

图5 心脏磁共振T2加权STIR序列
T2加权STIR序列显示下壁中部、后内侧乳头肌(A)和室间隔前部(B)存在异常心肌水肿区。

图6 心脏磁共振LGE
LGE显示后内侧乳头肌(A)和室间隔前部(B)有强化区,与T2加权STIR序列上信号强度增加的区域相对应(图5)。
FDG PET/CT:
右心房、右心室流出道及心室心肌FDG高摄取(图8A);双侧胸部、腋窝、颈部及髂部/腹股沟区多发高FDG摄取淋巴结(图8B)

图8 首次FDG PET/CT扫描
(A)PET/CT显示右心房、右心室流出道和心室心肌内有明显的FDG摄取区。(B)双侧肺门周围和纵隔区有多个明显的FDG摄取淋巴结。
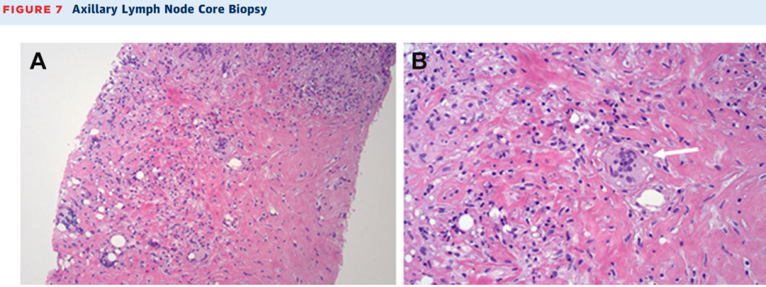
影像学发现提示淋巴瘤或结节病合并心脏受累,遂对腋窝淋巴结进行活检。组织病理学显示玻璃样变性纤维化、脂肪坏死、组织细胞和异物型巨细胞,伴符合硅胶肉芽肿的表现(图7A和7B)。

图7 腋窝淋巴结活检
(A和B)苏木精-伊红染色显示玻璃样变性纤维化、脂肪坏死、组织细胞和异物型巨细胞(箭头)。
经多学科团队讨论,考虑对右心房肿块进行活检,但风险过高。遂行切除性淋巴结活检,显示非坏死肉芽肿,伴散在分布于组织细胞和巨细胞内的折光非双折射物质(图9A至9C)。细菌学和真菌学培养及结核分枝杆菌PCR检测均为阴性,认为该病变符合结节病或硅胶淋巴结病。

图9 切除性淋巴结活检
(A)淋巴结被玻璃样变性基质取代,伴非坏死性肉芽肿和朗格汉斯巨细胞。(B)符合硅胶的细胞外折光非双折射物质(箭头)。(C)分布于组织细胞和巨细胞内的硅胶性折光非双折射物质。
治疗
诊断为结节病合并心脏受累或弥漫性硅胶肉芽肿病,优先考虑移除硅胶假体。拟通过乳房下切口手术移除假体。
第一阶段:手术干预
植入无导线起搏器(避免传统起搏器与手术部位相互影响)
手术移除双侧乳房内硅胶假体,术中发现双侧假体均已破裂。
第二阶段:药物治疗
假体移除术后16周:FDG PET/CT示心内外肿块的范围和强度无明显变化→启动泼尼松龙40mg/日
术后29周:第三次FDG PET/CT示心内外病变显著改善(图10),患者未再出现晕厥和心力衰竭症状,起搏系统显示心室起搏负荷为44%。→泼尼松龙减量至10mg/日
术后351天:出现NYHA II-III级症状,FDG PET示疾病复发→加用甲氨蝶呤(20mg/周)及阿达木单抗(40mg/2周),患者症状改善。
术后576天:FDG PET示心内外病灶几乎完全消失。

图10 治疗前后FDG PET/CT扫描
29周时的PET/CT(A)与治疗前PET/CT(B)的并列对比,显示心脏和心外部位的FDG摄取几乎完全消失。
讨论
这是一例以症状性窦房结功能障碍(SND)为表现的罕见心脏结节病病例。据我们所知,这是首例由硅胶乳房假体植入引发的系统性结节病伴心脏受累的文献报道;或者说是世界首例播散性硅胶肉芽肿病伴心脏受累的病例。
症状性SND在年轻患者中较为罕见,需考虑浸润性心肌病等少见病因。结节病是一种罕见的多系统肉芽肿性疾病,好发于青壮年患者。心脏受累较为罕见(2%-3%),但由于结节病易侵袭间隔基底部和房室结动脉,高达12%-62%的患者会因高度房室传导阻滞就诊。以症状性SND为表现的病例极为罕见。
尽管结节病的确切病因尚不明确,但其与硅胶假体的关联已有充分文献支持。现有研究表明,硅胶假体与包括干燥综合征、系统性硬化症、系统性红斑狼疮和系统性结节病在内的自身免疫性疾病相关。文献报道了硅胶乳房假体植入后出现多种表型结节病的病例,涉及乳腺、皮肤、肺、神经结节病及Lofgren综合征。例如,Chang等报道了一例硅胶隆胸术后4年出现皮肤和肺结节病的病例,活检显示典型结节病肉芽肿,但未发现异物材料。
然而,硅胶假体破裂后引发播散性硅胶肉芽肿(或异物巨细胞反应)并非罕见。活检标本通常可见典型异物肉芽肿伴双折射物质。例如,Gavoille等报道了一例以急性视力丧失和胸痛为表现的硅胶隆胸术后女性患者,最终诊断为葡萄膜炎合并肺实质、肺/腋窝淋巴结及周围神经受累的肉芽肿性病变。有趣的是,肺/腋窝淋巴结和肺实质中可见硅胶沉积,但周围神经活检未发现。
本例患者以症状性SND为表现,影像学显示播散性淋巴结和心脏受累。两次活检均发现折射性强但无双折射性的物质,支持硅胶颗粒系统性播散后直接引发肉芽肿反应的诊断。另一种可能性是,破裂假体中的硅胶作为免疫佐剂诱发了系统性结节病,这种现象越来越被归类为佐剂诱发的自身免疫/炎症综合征(即Schoenfeld综合征)。
本例曾考虑进行心内膜心肌活检,以明确PET/CT显示的心肌高代谢病灶是否为肉芽肿反应,以及是否含有双折射物质。但经评估,其风险高于临床获益。单纯移除硅胶假体对疾病的改善有限,而糖皮质激素治疗后PET/CT显示显著改善,这显然与心脏结节病相符。

本例启示
单纯移除硅胶假体对本例无效,提示疾病已进入自我维持的全身性免疫阶段。
糖皮质激素及免疫抑制剂(甲氨蝶呤+阿达木单抗)诱导显著代谢缓解,符合活动性结节病治疗反应。
结节病表现隐匿,各位同道需知晓该疾病的诊断要点。
硅胶隆胸术后别乱捏!!!