
近日,兰州大学第二医院心脏外科吴向阳教授团队顺利完成甘肃省首例经心尖二尖瓣缘对缘修复术(TA-TEER),标志着兰大二心外科在微创心脏瓣膜治疗领域又迈出了关键一步,也为本地区结构性心脏病患者带来了更为精准、安全的治疗选择。
本次接受手术的患者 “二尖瓣重度反流”,术前经胸超声报告(TTE)显示,二尖瓣后叶细小腱索断裂、脱垂并重度关闭不全,符合重度退行性二尖瓣反流(DMR)特征。
病例介绍
患者:女,68岁
主诉:活动后胸闷气短8年,加重伴咳嗽1月
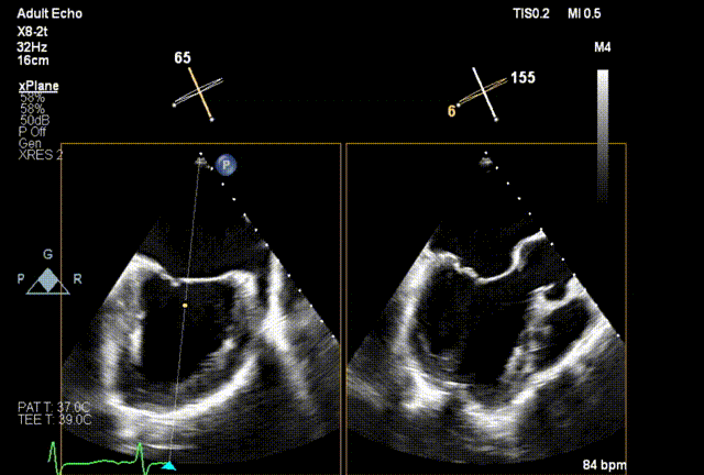
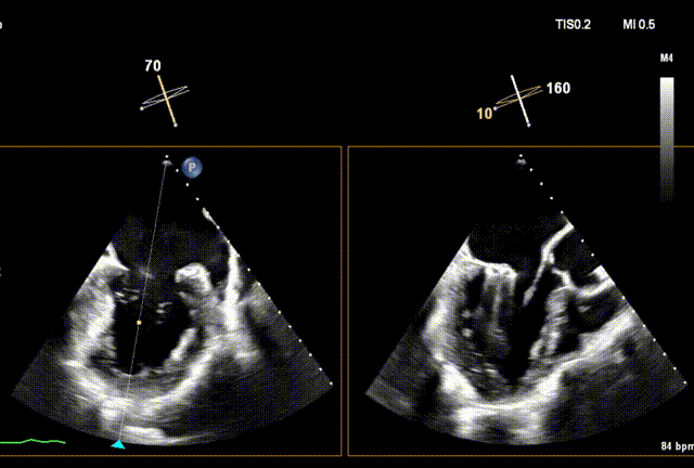
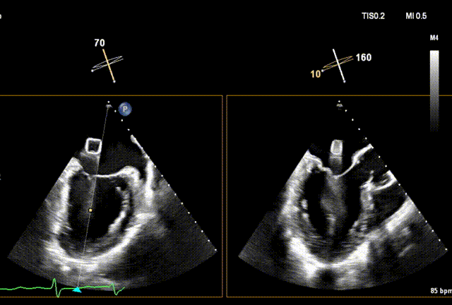
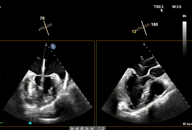
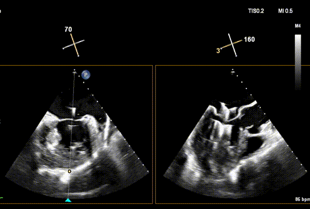
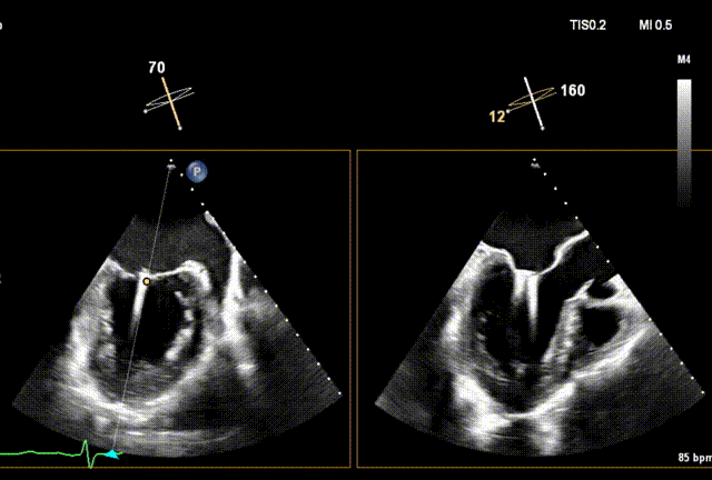
术前经食道超声(TEE)评估

术前3D

术前TEE
DMR P2脱垂连枷(脱垂范围:12mm,连枷间距:3mm),反流2区,MR重度(VC:4* 10mm),A2:21mm,P2:10mm,AP:30mm,MVA约 4.7 cm²。
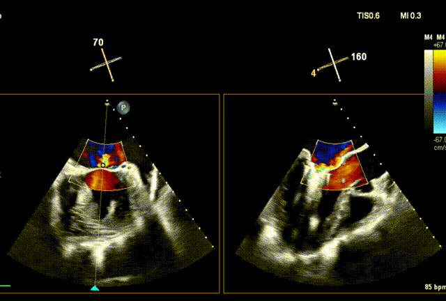
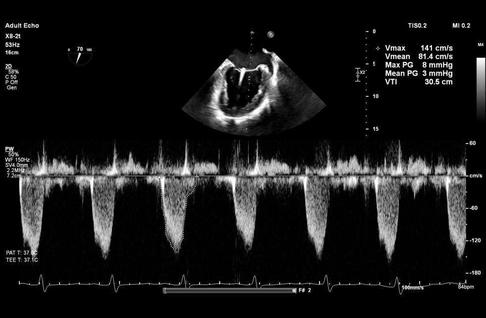
面对瓣叶对合余量较少、脱垂程度显著等挑战,在吴向阳教授的带领下,由张燕春、关新强、周亚雄、薛羽组成的手术团队,在术前充分准备与病例分析的基础上,采用经心尖路径,在确保瓣叶稳定对合的前提下,根据术中4M评估原则(瓣膜形态、瓣膜夹合量、残余反流、平均跨瓣压差),一次夹合即显著改善瓣口关闭情况,导管操作时间仅10min,术后反流降低至0+,平均跨瓣压差3mmHg,达到预期治疗目标。
术前准备


手术回顾

轻顶心尖,寻找穿刺点

送入16F穿刺鞘

跨瓣器,网状球形,遇腱索缠绕会发生形变

重新调整后跨瓣

上下夹在心房内打开

3D切面调整位置及钟向

下夹撤入心室

上下夹搭合

3D再次确认位置及钟向

收入闭合环

解离释放

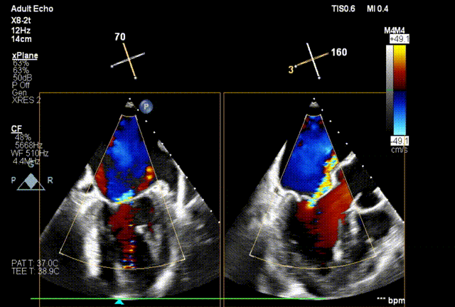
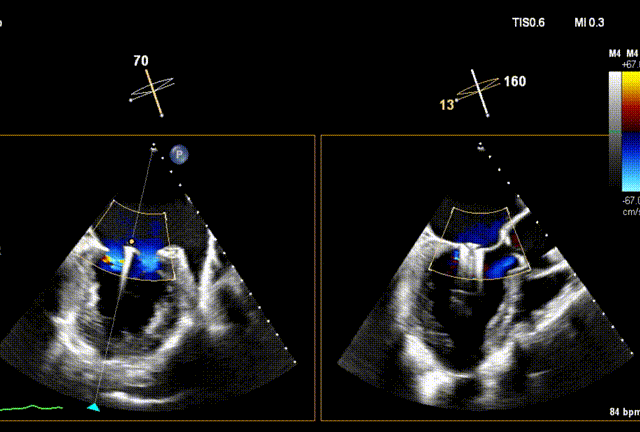
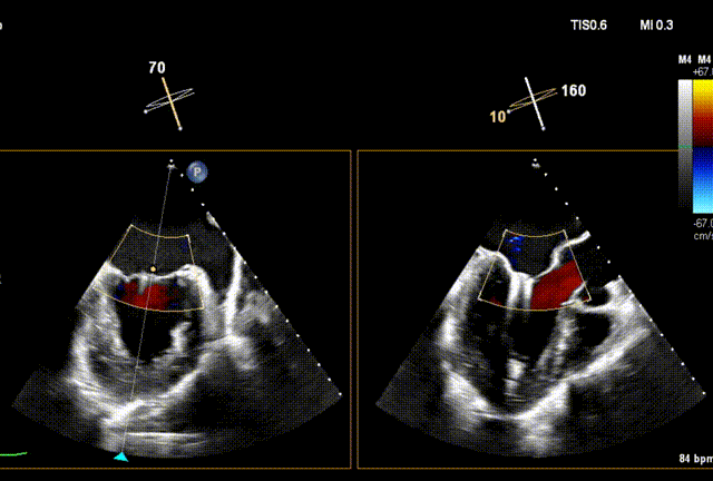
术后Xplane彩色图像

术后3D动图

夹合后二尖瓣反流量0+,平均跨瓣压差3mmHg
ValveClamp®经心尖二尖瓣缘对缘修复(TEER)手术是一种微创二尖瓣修复技术,通过心尖小切口完成,具有创伤小、恢复快等优势,尤其适合高龄、高危或外科手术禁忌的二尖瓣反流患者。其路径设计直接、操作简单,单纯超声引导即可完成手术操作,避免开胸和体外循环风险。作为国产自主创新的TEER产品,ValveClamp®在二尖瓣修复中的安全性与有效性正不断获得临床验证,为更多高龄、有基础疾病或不宜开胸手术的患者提供了新的选择。
此次手术的顺利实施,不仅是兰州大学第二医院结构性心脏病治疗的重要里程碑,也展现了本院心外科团队在高精尖微创技术领域的临床能力。兰州大学第二医院将继续推动微创心脏治疗技术的发展,积极参与新技术的应用与多中心临床合作,努力为广大心脏病患者提供更优质、更前沿的治疗方案。


科室介绍
兰大二院心脏外科是兰州大学博士、硕士研究生培养基地,国家外科基础技能提升项目培训基地,国家微创心血管外科专业委员会成员单位,“中国微创冠脉搭桥精英联盟”兰州站点。是“慈福行动先心病公益救助合作机构”、“童心项目医院模式”合作单位科室。科室的医疗技术先进且全面,涵盖心脏外科各个亚专业,患者年龄跨度从出生当天的新生儿到80多岁的老人。在传统开刀体外循环手术方面,对婴幼儿复杂危重先天性心脏病、重症心脏瓣膜病、主动脉夹层以及冠心病、心脏外伤及心脏肿瘤等疾病的治疗经验丰富;同时,也积极开展微创外科及介入手术,如先心病微创介入封堵、主动脉夹层及动脉瘤腔内介入治疗、微创瓣膜手术、介入瓣膜手术(TAVR、TEER)、肋间小切口不停跳多支冠脉搭桥手术、全胸腔镜心脏外科手术等,此外,科室负责全院重症患者的ECMO生命支持治疗,可满足不同患者的治疗需求。

扫码进入专栏
了解更多精彩内容!