
近日,华西医院付华教授指导、攀枝花学院附属医院心内科田巨龙教授、邹剑杰教授、唐婧医师在麻醉科、导管室护理团队的协作下,应用FARAPULSE脉冲消融系统成功为两例房颤患者完成手术治疗。
FARAPULSE心脏脉冲消融技术是目前国际最前沿的消融手术,也是最安全的消融手术,攀枝花学院附属医院作为川内首批开展脉冲消融的医院,标志着医院在房颤治疗领域再上新台阶。

手术经过
患者在全麻状态下,穿刺右侧股静脉,置入冠状窦电极及鞘管,DSA下完成房间隔穿刺。术中采用国际前沿的FARAPULSE™脉冲消融导管,依次对左侧上下肺静脉及右侧上下肺静脉进行消融。消融过程包括对肺静脉口部及前庭区域,分别以网篮状和花瓣状消融方式各进行4次消融 ,累计消融 32次。术后通过起搏验证,确认肺静脉均已成功隔离,手术圆满成功,全程消融及操作耗时仅21分钟,在手术效果得以保证的同时,极大提升手术效率,降低术者手术时间。

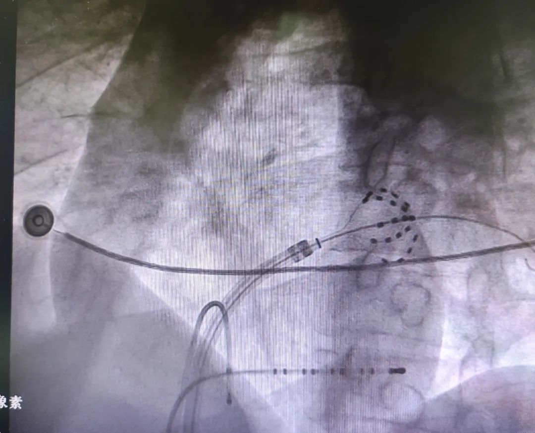
DSA下FARAPULSE导管呈网篮状态

DSA下FARAPULSE导管呈花键状态

图为首次放电后肺静脉电位消失
房颤是临床上最常见的心律失常之一,随着治疗手段的不断进步,房颤的治疗目前已进入一个新的阶段,脉冲消融是利用高电压脉冲电场作用于心腔内组织,心肌细胞膜磷脂双分子在脉冲电场作用下发生移动,并重新排列,形成不可逆电穿孔,进而使细胞凋亡,达到消除及阻止异常电位传递的目的。本次手术使用的FARAPULSE一次性心脏脉冲消融导管,是全球首个上市的脉冲消融技术,其安全性和有效性拥有全球最多的临床研究数据支持。
FARAPULSE脉冲消融具有以下优势:①具有组织选择性,不易损伤毗邻组织;②非热能的消融方式,安全性提升;③手术时间缩短,放电时间短,每次放电仅需2.5秒。相较其他消融方式,极大提升手术效率,更好地让患者获益。
医院介绍
