
近日, 西安交通大学第一附属医院袁祖贻教授团队,上海交通大学医学院附属仁济医院卜军教授团队,宁夏医科大学总医院心脑血管病医院刘志军教授团队,新疆维吾尔自治区人民医院杨毅宁教授团队,西安交通大学第二附属医院邓捷教授团队,宁夏回族自治区人民医院李有金教授团队(排名不分先后)6家国内知名心脏中心成功应用汇禾医疗K-Clip®经导管三尖瓣环成形系统完成首批植入。开启三尖瓣介入治疗瓣环修复先行的新范式。
K-Clip®是由汇禾医疗自主研发的一款经导管三尖瓣环成形系统,同时也是中国首款获批的介入三尖瓣器械。采用微创介入方式,模仿经典外科瓣环成形术的原理,将扩大的三尖瓣环进行折叠和环缩,以减少瓣环的周长,从而增加瓣叶的对合缘,改善三尖瓣的反流状况。
✧ 西安交通大学第一附属医院 ✧
袁祖贻教授 韩克教授团队

患者基线
患者,女,65岁,1年前检查发现三尖瓣关闭不全,一月前复查反流进展为重度,寻求进一步治疗。
术前影像:三尖瓣下血流速度正常,瓣上反流(4+);CTA提示三尖瓣环面积1370mm²。
手术策略:拟植入2枚K-Clip
手术过程及效果
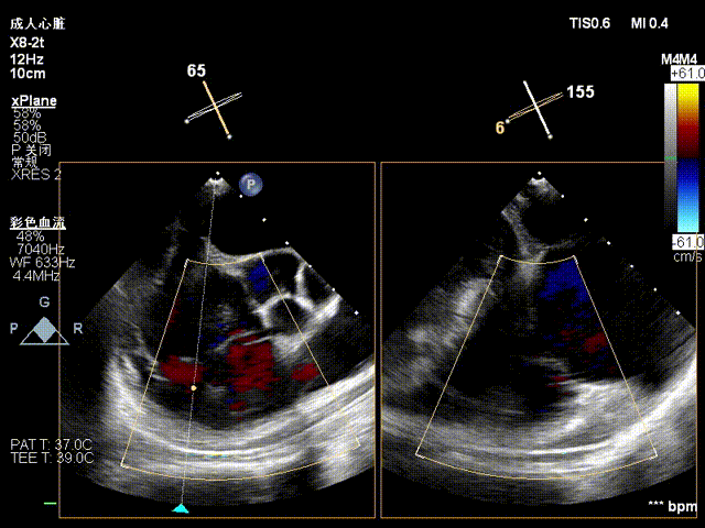
术中在食道超声引导下分别于后瓣环、前后瓣环处各植入1枚12T K- Clip,术后即刻反流由基线重度(4+)降至轻度(1+)。


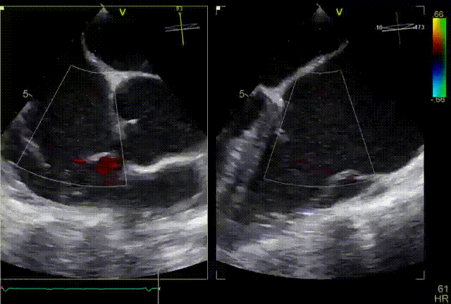
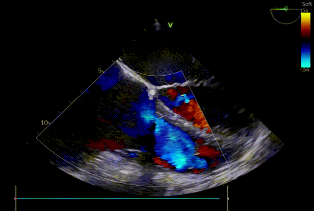
术前超声
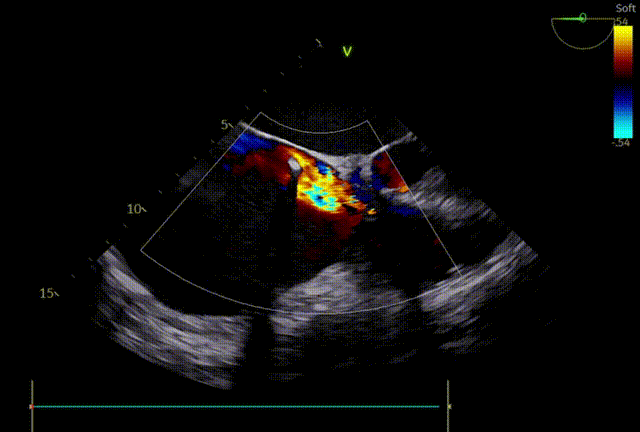
术后超声
✧ 上海交通大学医学院附属仁济医院 ✧
卜军教授团队

患者基线
患者,女,68岁,多年来反复出现下肢水肿、腹胀和呼吸困难。
术前影像:三尖瓣下血流速度正常,瓣上反流(5+);CTA提示三尖瓣环面积1632mm²。
手术策略:拟植入2枚K-Clip
手术过程及效果
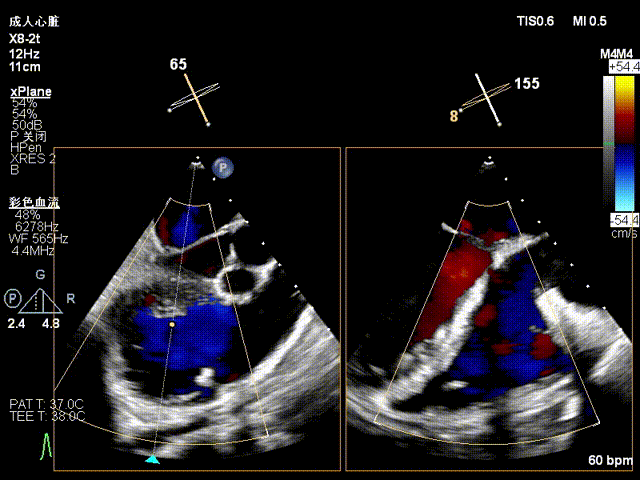
术中在食道超声引导下分别于后瓣环、前后瓣环处各植入1枚14T K- Clip,术后即刻反流由基线极重度(5+)降至中重度(3+)。

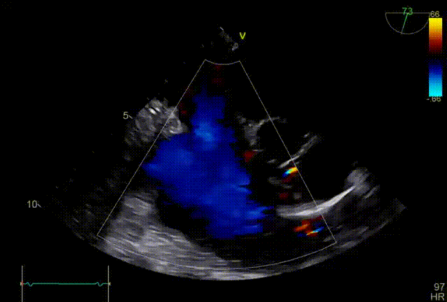
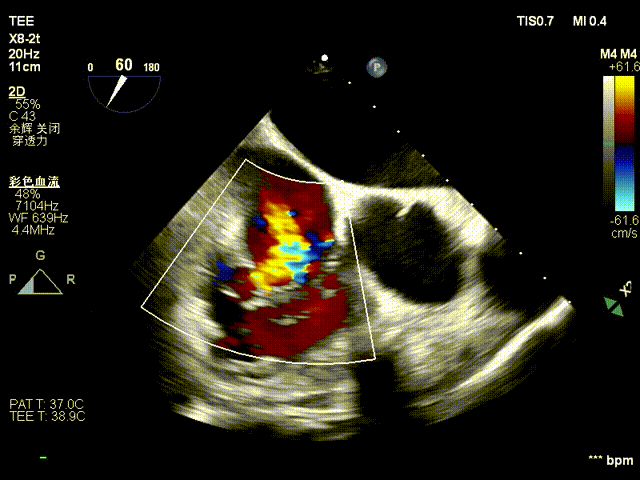
术前超声

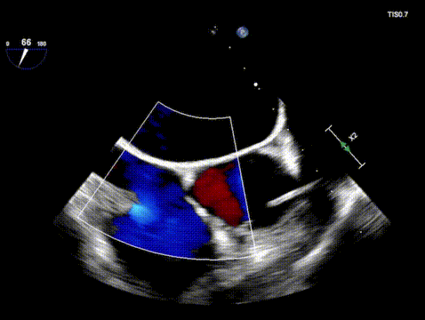
术后超声
✧ 宁夏医科大学总医院心脑血管病医院 ✧
刘志军教授团队 & 宋光远教授

患者基线
患者,男,86岁,纳差伴胸闷、气短2个月,加重1天,入院诊断为三尖瓣关闭不全。
术前影像:三尖瓣下血流速度正常,瓣上反流(5+);CTA提示三尖瓣环面积2650mm²。
手术策略:拟植入2枚K-Clip
手术过程及效果
术中在食道超声引导下分别于后瓣环、前后瓣环处各植入1枚14T K-Clip,术后即刻反流由基线极重度(5+)降至中度(2+)。


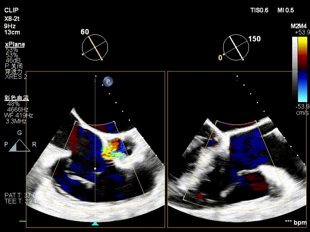
术前超声
术后超声
✧ 新疆维吾尔自治区人民医院 ✧
杨毅宁教授团队 & 刘先宝教授

患者基线
患者,女,84岁,胸闷、气短40年,加重1周,房颤病史十余年,心脏B超提示三尖瓣关闭不全。
术前影像:三尖瓣下血流速度正常,瓣上反流(6+);CTA提示三尖瓣环面积1314mm²。
手术策略:拟植入2枚K-Clip
手术过程及效果
术中在食道超声引导下分别于后瓣环、前后瓣环处植入1枚12T K-Clip,1枚14T K-Clip,术后即刻反流由基线瀑布样(6+)降至中重度(3+)。


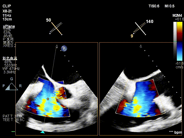
术前超声
术后超声
✧ 西安交通大学第二附属医院 ✧
邓捷教授团队

患者基线
患者,女,66岁,间断胸闷、胸痛1年余。进一步检查确诊为持续性房颤、高度房室传导阻滞、三尖瓣重度关闭不全。
术前影像:三尖瓣下血流速度正常,瓣上反流(5+);CTA提示三尖瓣环面积1289mm²。
手术策略:拟植入2枚K-Clip
手术过程及效果
术中在食道超声引导下分别于后瓣环、前后瓣环处分别植入1枚14T K-Clip,1枚12T K-Clip,术后即刻反流由基线极重度(5+)降至中度(2+)。


术前超声
术后超声
✧ 宁夏回族自治区人民医院 ✧
李有金教授团队 & 李伟栋教授

患者基线
患者,女,77岁, 胸闷气短伴头晕2月余,加重1天,二尖瓣机械瓣置换术后, 心脏彩超示:三尖瓣重度反流。
术前影像:三尖瓣下血流速度正常,瓣上反流(4+);CTA提示三尖瓣环面积1587mm²。
手术策略:拟植入2枚K-Clip
手术过程及效果
术中在食道超声引导下分别于后瓣环、前后瓣环处分别植入1枚12T K-Clip,1枚14T K-Clip,术后即刻反流由基线重度(4+)降至中度(2+)。


术前超声
术后超声
三尖瓣反流曾被称为“被遗忘的瓣膜病”,因其解剖复杂、治疗手段有限,长期面临高死亡率与低干预率的困境。随着越来越多临床中心开展K-Clip®经导管三尖瓣环成形手术,三尖瓣反流的治疗格局也将发生革命性的变化。K-Clip®通过简单、安全的方式和生理性修复的理念,为三尖瓣反流患者全生命周期的管理,迈出扎实的第一步。

K-Clip®经导管三尖瓣环成形系统:
1、经血管穿刺入路,损伤小,鞘管外径18Fr。
2、操作简单,均在心房面完成,学习曲线短。
3、解离前所有操作步骤可逆,手术效果可控。
4、生理性环缩技术,无损原生瓣叶。

扫码进入汇禾医疗学术专栏
了解更多精彩内容