
卵圆孔未闭(PFO)是胚胎期房间隔的生理性通道,约25%的成人可持续存在。尽管多数无症状,但在静脉血栓栓塞(VTE)或右心房压力升高时,PFO可成为反常栓塞的通道,使血栓从静脉系统进入体循环,导致脑卒中等全身性栓塞事件。PFO内嵌顿血栓属罕见但危及生命的急症,《Am J Case Rep》报道了一例双侧广泛肺栓塞合并因 PFO骑跨血栓导致反常性脑栓塞的患者。本病例强调及时识别并发的静脉和全身性血栓栓塞现象的重要性,以及及时干预对降低灾难性栓塞事件风险的必要性。

病例报告
患者,女,41岁,因"晕厥后头部外伤伴短暂表达性失语"就诊。此次发病前 2 周,患者接受了择期大隐静脉剥脱术。
既往史
肥胖(BMI 35.9 kg/m²);12个月前右大隐静脉血栓延伸至股静脉交界区,曾予利伐沙班抗凝,后自行停药;患者无已知的高凝状态疾病,不吸烟,饮酒量极少,无常规用药史。
入院检查
生命体征:低氧血症(SpO₂ 86%,吸氧后改善)、窦性心动过速(110 bpm)、血压正常(112/87 mmHg)
体格检查:右小腿压痛肿胀,心肺及神经系统无显著异常
心电图:窦性心动过速,Ⅲ导联T波倒置
紧急处置
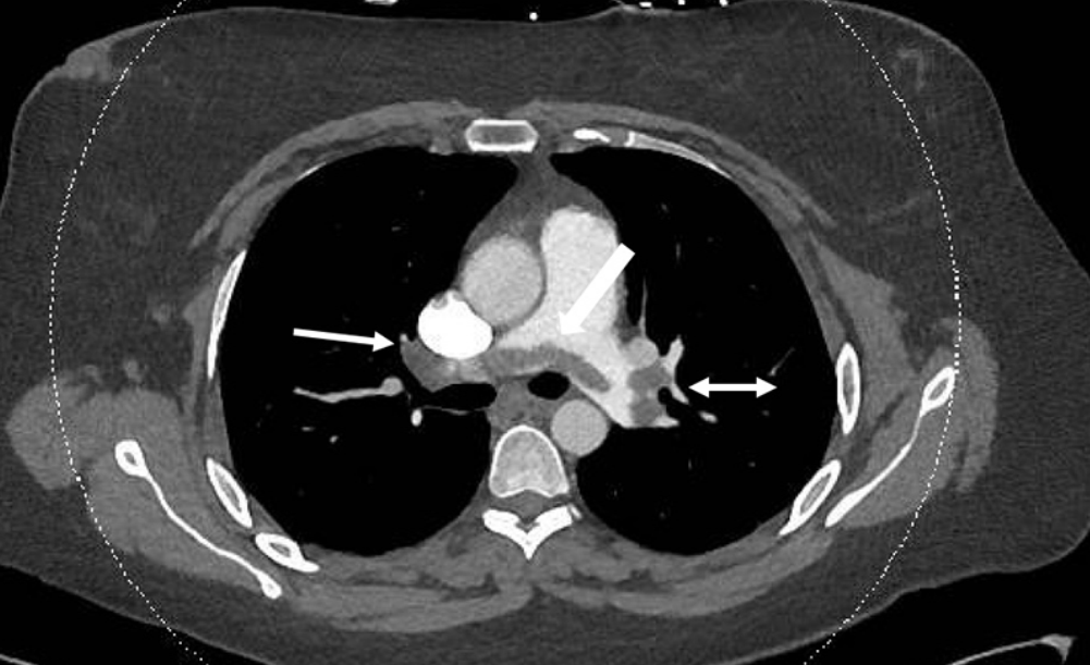
入院紧急行CT肺动脉造影(CTPA)显示骑跨型血栓延伸至双侧肺叶、肺段及亚段肺动脉分支,并伴有右心室劳损表现(图 1)。
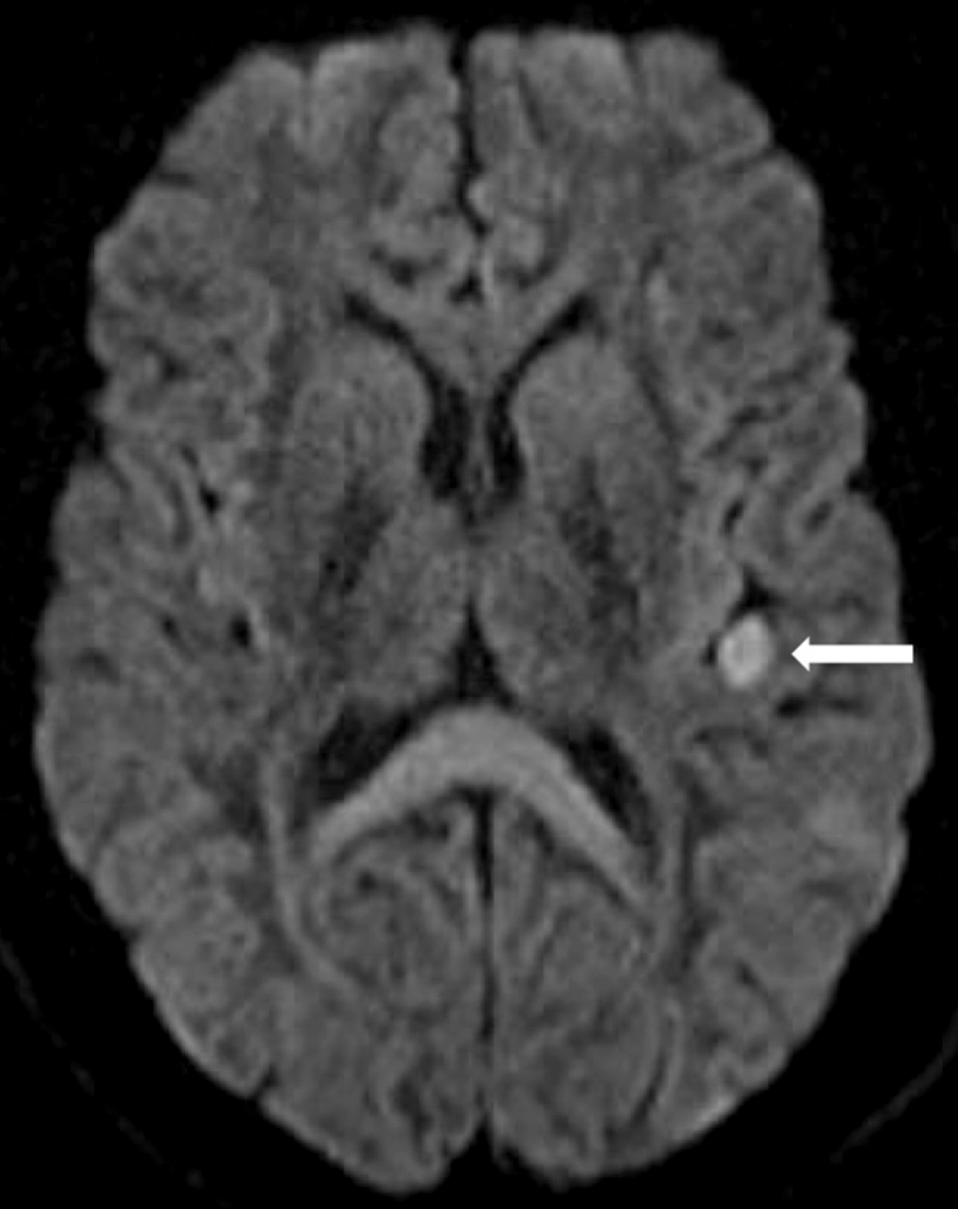
患者开始接受依诺肝素治疗。因头部外伤,行头颅CT(平扫)显示双额叶斑片状脑挫伤,无明显占位效应;进一步行脑MRI,显示左脑岛、颞上回及颞中回多发急性梗死灶,伴点状出血转化(图 2)。因担心加重颅内出血风险,停用依诺肝素。

图 1 CTPA示骑跨型血栓(粗箭头),延伸至双侧肺动脉分支。右肺动脉(单箭头)及左肺动脉(双箭头)血栓。

图 2脑MRI示左脑岛皮层梗死灶(实心箭头)。
进一步行下肢血管超声检查,显示右腘静脉、腓静脉及腓肠肌内侧静脉广泛深静脉血栓(DVT)。经胸超声心动图发现,一个大的从右房至左房的活动性血栓(约 4 cm)脱垂入左心室;肺动脉收缩压升高(53 mmHg),右心室扩张伴收缩功能减低。

抗凝方案改为可即刻逆转的普通肝素(UFH)。
多学科评估后选择进行手术:
近期头部外伤及出血性脑梗死→禁忌溶栓
大体积(4cm)、高活动性心内血栓→导管介入风险高
手术方案:急诊肺动脉取栓术+心房血栓清除术+PFO封堵术
外科手术
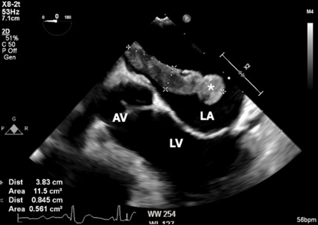
术中经食管超声心动图证实存在一个穿过PFO的大血栓(图 3、图 4)。患者随后接受急诊肺动脉取栓术+心房血栓清除术+PFO封堵术。
建立体外循环后,心脏停搏,直视下证实PFO为反常栓塞通道,并行PFO缝合关闭。通过主肺动脉及双侧肺动脉分支切口取出血栓后,患者肺动脉压力显著改善。
组织病理学检查证实取出物为血凝块。
术后患者状态稳定,重新开始UFH输注。术后经胸超声心动图证实肺动脉收缩压恢复正常,右心室腔缩小,收缩功能改善,无残余心内血栓或房间隔分流。患者恢复良好,术后第 8 天出院,口服阿哌沙班 5 mg,每日两次。

图 3 术中经食管超声心动图显示左心房内大血栓(*),突向二尖瓣(LA:左房,LV:左室,AV:主动脉瓣)。

图 4 术中经食管超声心动图显示左心房和右心房内可见部分血栓(箭头)(RA:右房,LA:左房)。
院外随访
门诊随访 6 周时,患者状态良好,无残余心脏或神经系统后遗症。3 个月随访时,超声显示小腿深静脉血栓部分消散,通气 / 灌注(V/Q)扫描显示肺栓塞已缓解。患者继续接受终身抗凝治疗,并定期接受心内科和血液科随访,以监测抗凝疗效及潜在并发症,同时接受药物依从性及生活方式调整指导,预防血栓栓塞事件复发。
讨论
本例印证反常栓塞三联征(DVT→PE→系统性栓塞)的经典过程。
核心机制为:静脉血栓脱落→肺动脉阻塞→右心压力升高→右向左分流→血栓经PFO进入体循环。
患者独特风险包括:近期手术(静脉曲张剥脱→血管内皮损伤);肥胖(BMI 35.9→高凝状态);自行停用抗凝药(既往DVT史未规范治疗)。
Kalangos 等的系统综述在 44 年间仅发现 174 例此类患者,总死亡率为 18%,其中 66% 的死亡发生在 24 小时内。
此类病例的治疗需在血栓溶解与栓塞并发症预防之间取得平衡,治疗选择包括全身抗凝、溶栓、心脏血栓切除术联合 PFO 封堵术等。由于病例罕见,目前尚无统一的治疗指南。
Seo 等的综述发现,与保守治疗相比,手术可降低治疗后栓塞事件发生率及 60 天死亡率。
关于溶栓治疗的有效性存在争议:
一项系统综述显示,对 PFO 内骑跨血栓患者使用溶栓治疗与较高死亡率相关;而 Rose 等的 34 年回顾性研究发现,与手术相比,溶栓治疗死亡率更低。
不过,溶栓治疗可能更适用于血流动力学严重受损的患者,这也可能是不同研究中死亡率差异的原因之一。
本例患者因近期心源性栓塞性卒中伴头部外伤,存在出血转化,故未采用溶栓治疗。
经导管介入治疗(旨在实施溶栓或机械取栓)作为一种微创方法,已成为大面积肺栓塞的替代治疗选择,尤其适用于手术高风险患者。
Kaymaz 等探讨了经导管介入治疗的有效性和安全性,强调其在特定临床场景中的价值。但本例患者因存在大的高活动性心内血栓,未采用该方法。
文献中的类似病例进一步显示循环中血栓的临床表现和治疗存在多样性。
一例双侧肺栓塞合并骑跨PFO 血栓的年轻女性患者,在经食管超声心动图检查中发现血栓自行消失后接受溶栓治疗,恢复良好,但延迟影像学检查发现颈动脉血栓。
另一例肺栓塞合并卒中症状的老年女性患者因不适合手术,接受UFH保守治疗成功。
与这些病例相比,本例患者因血栓大小、活动性及溶栓禁忌证,选择紧急手术干预。这些案例共同表明,需在多学科协作基础上采取个体化治疗方案。
结论
本病例强调了对经 PFO 反常栓塞患者早期诊断的重要性,同时表明及时的团队决策可显著改善患者预后,降低该疾病相关的严重病残率和死亡率。目前缺乏针对PFO内骑跨血栓的权威指南,未来需积累更多病例数据以优化风险分层与治疗路径。