
在辽宁沈阳,一位94岁的阿婆正饱受终末期心脏瓣膜病的折磨。 近半个月来,她的喘息症状明显加重,20年的慢性阻塞性肺病让她的肺功能受损严重,而更危险的是,她心脏的“阀门”卡死严重——重度主动脉瓣狭窄导致心脏负荷过重,稍一活动就胸闷气促,甚至夜里只能蜷缩着勉强入睡。
“就像爬楼梯时总觉得胸口压着块石头,现在连说话都喘。” 阿婆的家人攥着一沓辗转多家医院的病历,得到的都是“高龄高危”“手术风险极大”的结论。“高龄+多器官衰竭,开胸手术几乎不可能……”绝望之际,他们了解到中国医科大学附属第一医院郭亮教授团队在微创瓣膜置换领域经验丰富,抱着最后一线希望,家人推着轮椅带老人前来求医。
然而,希望与风险并存。入院检查结果显示,阿婆不仅存在严重的心肺功能不全,还有特殊的横位心解剖结构,更合并有随时可能危及生命的心律失常。面对这些复杂情况,家属最关心的问题是:"94岁的身体还能承受手术吗?万一术中发生冠脉堵塞或血管破裂怎么办?"
面对家属的深切担忧,郭亮教授团队即刻启动多学科协作机制。心血管外科、影像科、超声科、麻醉科等多学科专家迅速集结,围绕患者病情展开联合会诊。团队通过精准的影像评估、科学的瓣膜选型以及缜密的入路规划,全面梳理手术难点与风险点。在与家属充分沟通,详细说明手术风险与获益后,团队以专业的医学判断与严谨的诊疗方案赢得了家属信任。最终,在多学科团队的紧密配合下,手术顺利实施,术后患者心脏功能得到显著改善,为高龄高危患者的救治开辟了新路径。

病例资料
94岁女性患者,以“反复咳嗽咳痰20年,胸闷五年,喘息15天”为主诉入院。既往慢阻肺病史20年。cTnI:0.076 ng/ml,NT-pro BNP:3915 pg/ml。心电图示心房颤动。
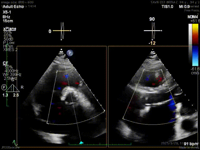
心脏超声示:
起搏器安置术后,主动脉瓣病变,退行性变可能性大,主动脉瓣狭窄(重度),左心大,左室心肌轻度肥厚,二尖瓣退行性变伴轻度反流,肺动脉压力轻度升高,三尖瓣反流(轻度)。
主动脉瓣左、右、无冠瓣弥漫性增厚,钙化,回声增强,开放受限,跨瓣血流速度加快,峰值压差约80mmHg,平均压差约44mmHg,关闭时探及微量反流。EF:56%,左室52mm。
术前CT评估示
瓣环面积:336.2mm²,周长评估直径:20.9mm,面积评估直径:20.7mm。
左室流出道面积:337.4mm²,周长评估直径:21.1mm,面积评估直径:20.7mm。

SOV 直径LC:26.8 mm,RC:27.3mm,NC: 27.1mm,STJ直径26.5mm。

左侧冠状动脉开口高度10.4mm,右侧冠状动脉开口高度9.7mm。

升主动脉平均直径43.3mm,瓣上瓣下均有钙化。

钙化情况:

瓣环夹角66°,横位心。

外周血管入路评估:外周血管条件佳,右侧最窄处7.3mm,左侧最窄处7.9mm。

模拟20mm瓣膜植入情况。

术前CT模拟20mm瓣膜植入情况
手术策略
94岁高龄女性患者,主动脉瓣重度狭窄,瓣叶增厚钙化,横位心,升主动脉扩张,右冠有风险建议保护同时合并心功能不全,起搏器植入病史,房颤,冠心病,慢性阻塞性肺疾病等多种疾病,STS评分16.8%,符合主动脉瓣置换手术适应征,但外科手术风险极高,TAVR为首选治疗方案,外周血管入路条件可。
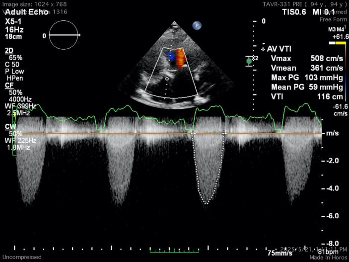
术前心脏超声上可以看到阿婆使用了94年的瓣膜增厚、僵硬、钙化,这颗94岁的心脏平均承受着59mmHg的压力来维持叶奶奶的生命,心脏的血液以5m/s以上的速度射出狭窄的主动脉瓣口来给全身供血,主动脉瓣重度狭窄的诊断明确。



面对阿婆的复杂病情,郭亮教授团队展开精密推演,制定了详细的手术方案。团队决定以左股动脉作为入路,右股动脉辅助造影建立双通路;为预防右冠状动脉闭塞,预先在右冠中段放置将2.5mm球囊备用;基于CT测量结果显示的336.2mm²瓣环面积,选定20mm SAPIEN 3瓣膜并+1cc强化锚定,同时备好23mm瓣膜应对瓣环撕裂风险,并安排体外循环团队全程待命。团队力求在保证安全的前提下让患者获得最佳治疗效果,每一步都承载着为超高龄患者搏出生机的使命。
手术过程
手术当日,在麻醉科、导管室等团队的紧密配合下,郭亮教授带领团队开始了这场高难度的手术。
首先,经左侧股动脉穿刺置血管鞘,猪尾导管主动脉根部造影;

主动脉根部造影
随后,使用16mm球囊进行预扩,检查右冠情况,并经右股动脉送入6F JR 3.5指引导管至RCA开口,送导丝至RCA远端,沿导丝送2.5*20mm 球囊至RCA中段行冠脉保护;

冠脉保护
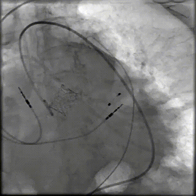
在充分预扩与冠脉保护后,团队交换了预先装载的球扩式支架瓣膜输送系统,并顺利过弓跨瓣。

输送系统顺利过弓
在猪尾导管造影定位后,团队在180bpm快速起搏下+1cc释放了20mm的SAPIEN 3瓣膜。


瓣膜定位
瓣膜释放
超声显示根部瓣架形态尚好,瓣周6点位置探及轻度反流,遂180bpm起搏下原球囊扩张瓣膜,超声提示瓣周反流减少至微量,瓣叶回声纤细,启闭良好,瓣叶中心未探及确切反流;主动脉瓣跨瓣血流峰值速度约2.4m/s,峰值压差约22mmHg,平均压差约12 mmHg;

球囊后扩后
复查造影示瓣膜位置满意,形态良好,微量瓣周漏,冠脉显影良好,排除入路血管问题,手术圆满成功。

术后造影
整个手术过程顺利,团队配合默契,操作精准。术后复查造影显示瓣膜位置满意,形态良好,微量瓣周漏,冠脉显影良好,血流速度正常范围,峰值压差约27mmHg,平均压差约13mmHg。
在植入SAPIEN 3瓣膜后,超声未见明显的返流,狭窄也随之解除,跨瓣压差降低到了12 mmHg,阿婆的心脏终于可以不在高强度的负荷下工作。



医者仁心,重启生命“心门”
从初入医院时的气若游丝,到术后平稳均匀的呼吸,这位94岁的阿婆用最朴实的语言诉说着她的变化:“胸口不闷了,能躺平睡觉了……”
此次郭亮教授团队采用经导管主动脉瓣置换术,通过股动脉微创路径完成瓣膜置换,避免了传统开胸手术劈开胸骨的巨大创伤。术中精准释放20mm SAPIEN 3瓣膜,跨瓣峰值压差从 80mmHg降至22mmHg,这不仅重建了心脏泵血通道,更让衰竭的心肌重获“减负”生机。值得一提的是,SAPIEN 3瓣膜以更高的耐用性、强度,和灵活精准的输送系统,为术者保驾护航,助力团队稳定释放瓣膜,展现了创新器械在复杂解剖结构中的精准治疗效果。这场生命的逆转,是技术与仁心的双重见证。
作为东北地区TAVR技术的领军团队,中国医科大学附属第一医院以多学科协作模式攻克复杂病例——从术前三维影像的毫米级评估,到术中冠脉保护的精准操作,再到术后个性化康复管理,每个环节都彰显着 “以患者为中心” 的诊疗理念。当九旬老人带着微创切口重获新生,团队用实际行动证明:在医学的边界之外,总有仁心与智慧开辟的生命通道。
注:本文仅代表专家的个人观点,旨在促进学术信息的沟通和交流,仅供医疗卫生专业人士参考。本文所涉医疗器械的完整描述信息,包括适应症、禁忌症、警告、注意事项,详见说明书。
注释:
产品名称:经导管主动脉瓣膜系统(注册证编号:国械注进20203130291)。
THV-2025-60