
近日,山东大学齐鲁医院心外科谷兴华教授团队,在多学科协作下,成功应用国产球扩瓣Renatus®系统实现瓣环扩断技术,为一位病情复杂的71岁老年女性患者完成二尖瓣瓣中瓣(MVIV)手术。该患者二尖瓣生物瓣置换术后,重度反流。治疗团队术前综合患者基本情况,最终确定经心尖入路、人工瓣环扩断方案,术中通过经心尖的微创入路完成瓣膜精准释放,再用Atlas Gold球囊高压力后扩,将25#原人工Mosaic生物瓣环扩断,术后介入瓣形态及功能非常满意,手术取得圆满成功。同时,谷兴华教授团队在此次手术中所采用的经心尖瓣环扩断MVIV技术为全国领先、山东首例,标志着山东大学齐鲁医院在生物二尖瓣衰败的介入治疗领域取得了进一步的突破,更是推广瓣膜疾病全生命周期管理的理念。
简要病史
患者,女性,71岁,14年前因“感染性心内膜炎并赘生物、二尖瓣关闭不全”行二尖瓣置换术。现因“活动后胸闷气短1年,加重1月余”入院。心脏超声示:人工二尖瓣重度反流。入院诊断:二尖瓣置换术后、人工二尖瓣关闭不全(重度)、心力衰竭、心功能Ⅳ级(NYHA)、肺气肿、脑梗死、贫血、肝功能不全、低蛋白血症、间质性肺炎。
谷兴华主任团队经过仔细评估,认为:患者诊断明确,但体质虚弱,STS高达10.36%,二次外科手术高危,首先选择微创的MVIV手术。
术前CT分析



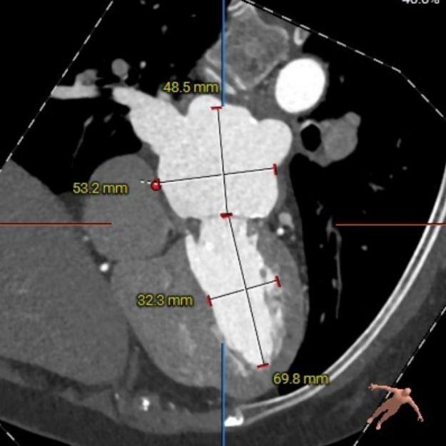
二尖瓣生物瓣架内径23mm,外径25mm,根据瓣架形态,符合25#Mosaic瓣膜



模拟23#Renatus植入



模拟25#Renatus植入


NEO-LVOT面积293.6mm²,新流出道梗阻风险低




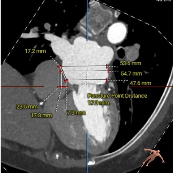
左房53×48mm,靠后下的房间隔穿刺点距二尖瓣高度17.9mm。患者房间隔显著增厚、钙化,房间隔穿刺点较低,考虑房间隔穿刺及器械到位较为困难。


心尖投影位于第六肋间,心尖部心肌厚度4.3-5.2mm
谷兴华教授团队组织经过多学科讨论,认为:因患者71岁,基于全生命周期管理的理念,需要选用较大尺寸、更大EOA的介入瓣膜,以备第二次MVIV。最终的手术方案为:经心尖入路,先用25#Renatus标准压力释放,再用24mm的Atlas Gold球囊高压后扩,将25#原人工Mosaic生物瓣环扩断。
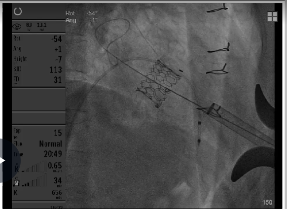
手术过程
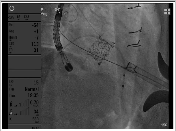
25#Renatus瓣膜释放
Atlas Gold球囊高压力后扩,扩断25#Mosaic瓣膜

瓣膜释放后状态

第一次高压球扩后形态

第二次高压球扩后形态

第一次高压球囊扩后超声:平均压差:3mmHg 峰值压差:9mmHg

第二次高压球囊扩后超声:平均压差:2mmHg 峰值压差:6mmHg
术后总结
本次手术患者为二尖瓣生物瓣置换术后,重度反流。治疗团队术前对CT报告进行仔细评估,选择更大尺寸的瓣膜型号,术中通过经心尖入路,多学科团队密切配合,完成瓣膜精准释放,再用Atlas Gold球囊高压后扩,将25#原人工Mosaic生物瓣环扩断。患者术中生命体征平稳。术后超声显示人工瓣膜功能恢复理想,瓣膜无中心及瓣周反流,二尖瓣跨瓣压差仅为2mmHg,效果非常满意。
此次应用的RENATUS®经导管瓣膜系统是由北京佰仁医疗自主研发。对于外科换瓣术后患者,常常会因为房间隔增厚、钙化而导致房间隔穿刺困难。Renatus长短两款输送器,为患者及医生提供更多选择,可采取经心尖入路为患者植入二尖瓣瓣中瓣。采用全球首创的六边形钴铬合金支架结合羟基铬改性技术的牛心包瓣叶,在提供强大径向支撑力、减少瓣周漏发生的同时,显著提升瓣膜抗钙化性能。钴铬合金良好的抗疲劳耐性,结合精选特定部位的牛心包瓣叶,使得Renatus瓣膜经过高压球囊的扩张后,仍能保持良好的血流动力学效果。