严道医声网
严道医声网
严道脑血管网
严道医学网
学院
课程
文章
会议
下载
关于我们
搜索
登录
/
注册
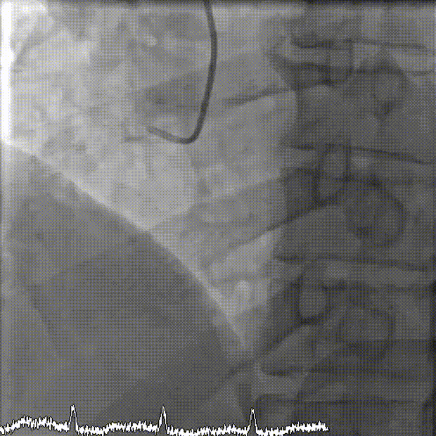
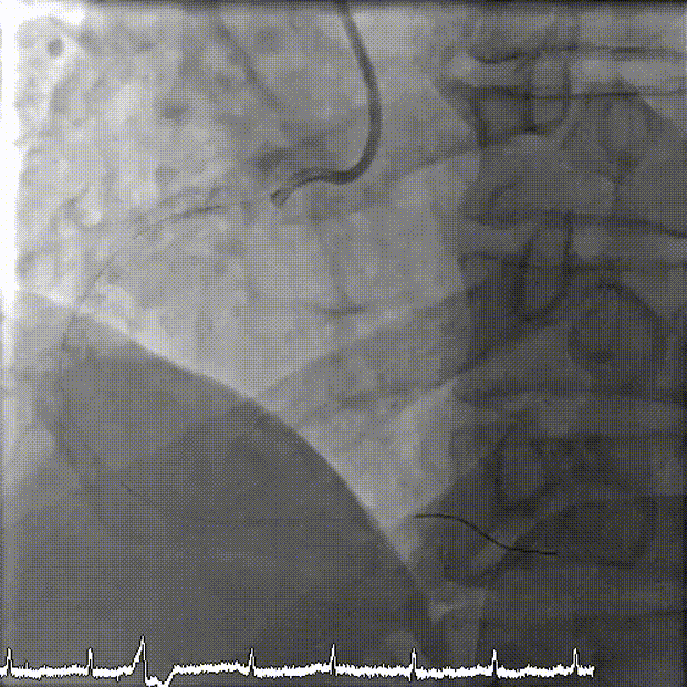
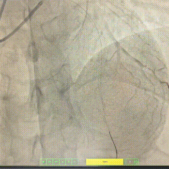
抽吸【例】量|【兑】话血栓抽吸
2025-06-30 09:00
自动播放
阅读数: 155