
冠状动脉是为心脏供血的主要血管,正常成年人冠状动脉的主干内径约3~5mm,然而部分患者冠状动脉粗大,其主干或者其分支与心腔或大血管之间形成异常的血管连接,这种疾病就是冠状动脉瘘(coronary artery fistula,CAF),患者中多为先天性发育异常,发病率为0.1%-0.2%。临床发现,未经治疗的中大型CAF存在扩大的可能,进而引发心腔扩张、心肌缺血、呼吸困难等后遗症。外科手术治疗需要在开胸体外循环下进行冠脉瘘修补,手术创伤大,更重要的是心脏停跳下瘘口修补后可能存在侧枝或残余漏口分流。随着技术的进步,CFA的治疗越来越多地采用经导管入路封堵方法(常见的不同入路方式见下图)。本期我们分享一例罕见的右冠状动脉迂曲、粗大,且与左心室相通的冠脉瘘封堵术,期待同各位老师共同探讨。

经导管冠状动脉瘘封堵术示意图
A. 经动脉入路。输送系统从瘘管起始口送入释放封堵器。B. 经静脉方法。输送系统从瘘管出口位置送入然后释放封堵器。C. 动静脉环路(AV-LOOP)。用于较大且曲折迂曲的瘘管中,可以借助抓捕器形成AV轨道,以最大限度地支持导管和封堵装置输送。
[引自J Am Coll Cardiol Intv 2021;14:1393–1406]
患者基础信息
男性,15岁,主诉:发现心脏杂音1月,超声显示:右冠状动脉舒张期向左室分流,二尖瓣反流(少量),EDV: 164ml, ESV: 61ml, EF:63%, FS:34%, SV:104ml. 初步诊断:右冠状动脉左室瘘,心功能II-III级(NYHA分级)
术前CTA影像测量

术前3D模型感兴趣位置直径测量:
右冠状动脉主干13.2*12.5mm, 左心室瘘口15.9*14.5mm, 冠脉瘘拟封堵位置:10.1*7.5mm,15.0*13.1mm
本病例中冠状动脉瘘起始于右冠状动脉,绕过瓦氏窦沿二尖瓣环位置半圈后在二尖瓣P2P3交界下方与左心室相通,于瘘管起始端近端14.9mm处发出发出一根正常的右冠状动脉,同时于起始端近端28.6mm处可见血管锐角成角,合并血管折叠(红色大箭头处)。
术前3D数字模型图

术前3D打印模型

(注:粉色区域为冠状动脉瘘)
手术策略
考虑患者瘘管粗大迂曲,优选经股动脉入路超选右冠状动脉,导丝出漏口后在升主动脉以远经抓捕器建立AA-LOOP,即经股动脉-右冠-左心室-主动脉瓣-升主动脉-股动脉的股股环路,以便于经LOOP导入输送鞘管,完成封堵。
拟经右冠开口行顺行封堵。为避免近端分流血管远期进行性扩张,拟采用双AVPII血管塞,序贯封堵长段异常分流血管。根据术前测量及3D打印模拟,拟选择14~18mmAVP-II血管封堵器。
术中操作

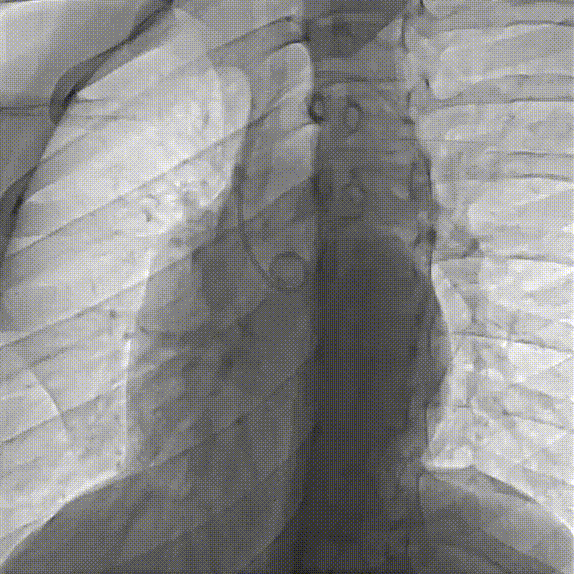
主动脉根部造影显示粗大右冠并分流至左心室显影。

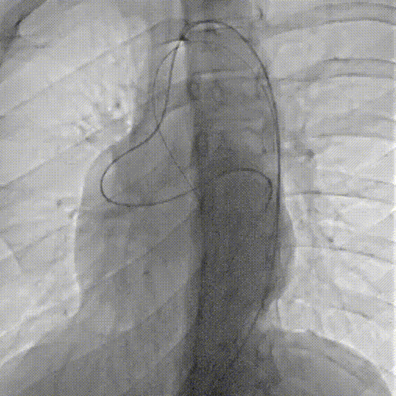
经右侧股动脉在5F单弯导管引导下将260cm泥鳅导丝送至右冠状动脉开口,导丝序贯通过瘘口-左心室-主动脉瓣-升主动脉,


经左侧股动脉在MPA导管引导下将抓捕器放置于无名动脉,抓捕泥鳅导丝,建立轨道

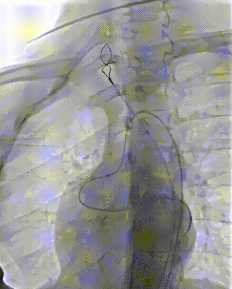
送入14mmAVP-II血管封堵器并定位释放

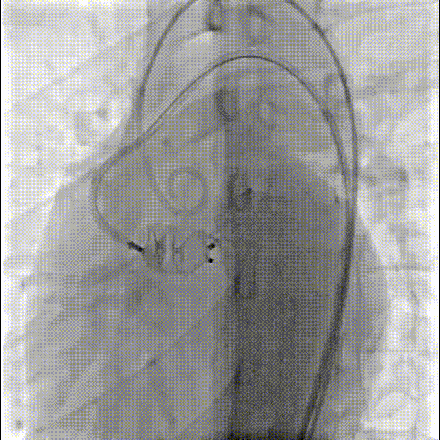
造影检查封堵位置及封堵效果

释放16mmAVP-II血管封堵器

术后造影提示封堵器位置良好
术后转归
手术顺利,共计1小时10分钟,术中出血20ml,造影剂150ml,安全返回病房,心率56次/分,血压130/76mmHg
术后3D数字模型图

小结
1.临床中利用心血管医学影像技术清晰展现病变形态结构,同时在二维和三维空间实现多维度的精准测量,促进对CAF疾病形态的评价;
2.个性化3D打印的模型可用于直观的展示复杂的瘘管和模拟研究器械的植入,通过观察封堵器系统与模型之间的相互作用完善术前规划;
3.对于CAF中瘘管粗大、走形复杂的病例,通常需要根据实际情况建立轨道通路送入封堵器手术;
4.微创经导管封堵手术较外科体外循环手术明显降低风险,患者术后症状改善明显,远期效果需要进一步随访。
