
在经导管主动脉瓣置换术(TAVR)不断发展的今天,术中对复杂解剖及高风险因素的精准识别与及时处理,已成为决定术后预后的关键。
近日,新疆维吾尔自治区人民医院杨毅宁教授团队成功完成一例高难度TAVR手术。高龄男性患者主动脉瓣重度狭窄合并左室流出道梗阻,术前评估发现右冠开口偏低且存在中度狭窄,团队术前即预判瓣膜释放可能遮挡右冠开口,制定了包括“开窗支架植入+血运重建”的备用方案。术中出现右冠灌注障碍时团队迅速实施精准干预,成功开通右冠,保障了术后心肌灌注与瓣膜功能的双重安全,充分体现了术者团队在术前评估、术中应变及操作技术方面的高度成熟与前瞻性。

病例资料
74岁男性患者,主诉:间断胸闷、气短3年,加重3月。
心脏超声提示左室壁不均匀增厚、左室流出道收缩末轻度梗阻、主动脉瓣钙化,瓣口重度狭窄并轻微反流。左室流出道面积2.0cm²,收缩末左室流出道压差24mmHg,主动脉瓣增厚、钙化,呈团块样,分界不清,开放面积0.4cm²,流速532cm/s,峰值压差113mmHg,平均压差70mmHg。主动脉瓣口见反流束局限于瓣口。
术前CT提示
主动脉瓣环折算直径22.0mm,LVOT直径20.7mm,瓣环及流出道平面可见钙化SOV 平均直径32.3mm,STJ直径30.0mm,升主动脉直径38.5mm;




左冠开口高度14.0mm;右冠开口高度15.8mm;

主动脉成角39°;

血管入路评估:左骼总可见顺向夹层;

钙化评估:


球囊预扩风险评估:

冠脉CTA提示:主动脉粥样硬化,升主动脉扩张;主动脉瓣多发钙化;左主干管壁钙化斑块,管腔轻度狭窄;左前降支近段钙化斑块,管腔轻度狭窄,右冠管壁多发混合斑块及软斑块,管腔轻中度狭窄。

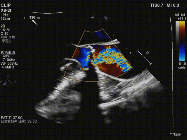
术前食道超声示:


手术风险评估:STS评分1.59%;EuroSCORE Ⅱ1.36%。
术前诊断:心脏瓣膜病,主动脉瓣重度狭窄;左室流出道梗阻。
手术策略
患者主动脉瓣重度狭窄并轻微反流,瓣叶增厚钙化明显,瓣环折算直径为22.0mm,开放面积0.4cm²,同时合并左室流出道梗阻,右冠状动脉多发斑块,管腔中度狭窄,结合STS评分1.59%及EuroSCORE Ⅱ评分1.36%,属于外科手术高危患者。经过手术团队综合评估,拟行经导管主动脉瓣置换术, 选择美敦力 Evolut PRO + 26mm 自膨式瓣膜,在球囊预扩后精准释放,术中实时进行冠脉造影监测右冠灌注,如有异常则立即介入,进行右冠球囊扩张和开窗支架置入,保障冠脉血供,避免术后急性缺血事件。

手术过程
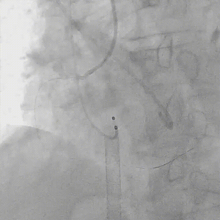
术前行右冠造影,发现存在多段管腔狭窄,血流受限,初步行球囊扩张以改善灌注,同时评估支架植入可能性;

右冠造影及球囊扩张
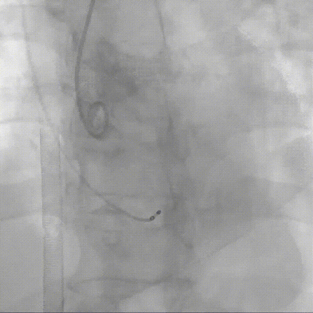
猪尾导管主动脉根部造影;

主动脉根部造影
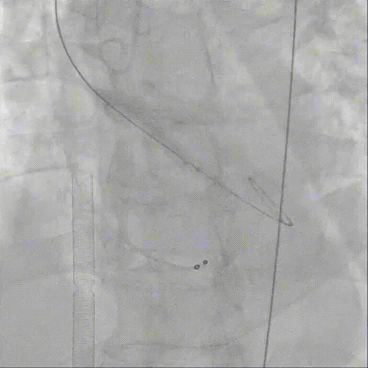
球囊预扩主动脉瓣环;

球囊预扩
Evolut PRO + 26mm瓣膜装载至输送系统,输送系统顺利过弓并成功跨瓣;

输送系统顺利过弓跨瓣
造影下瓣膜定位;

瓣膜定位
快速起搏下瓣膜初次释放至极限回收位;

瓣膜初次释放
造影评估瓣膜位置满意,遂完全释放瓣膜;


瓣膜初次释放后造影评估
瓣膜完全释放
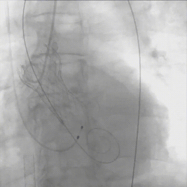
瓣膜释放后造影及食道超声评估可见瓣膜释放形态欠佳,可见瓣周漏,并发现右冠开口血流缓慢,高度警惕右冠灌注障碍;

瓣膜释放后造影
在保护右冠的前提下,精确释放开窗支架,恢复右冠灌注,随后行球囊后扩确保瓣膜贴壁充分,兼顾瓣膜功能与冠脉通畅;

右冠保护下球囊后扩
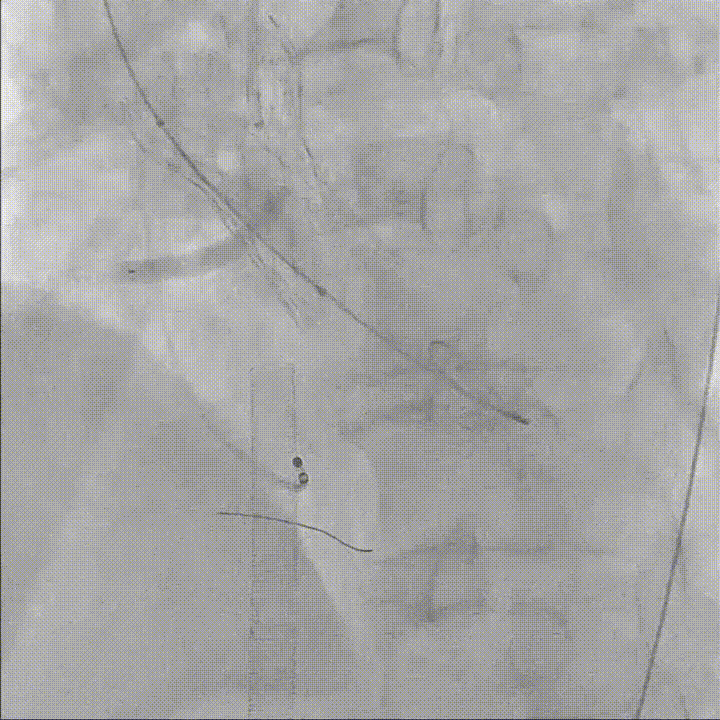
复查造影及食道超声示瓣膜位置,形态满意,瓣周漏较前明显好转,右冠血流恢复,无栓塞迹象;


术后造影
闭合外周入路,手术顺利结束。
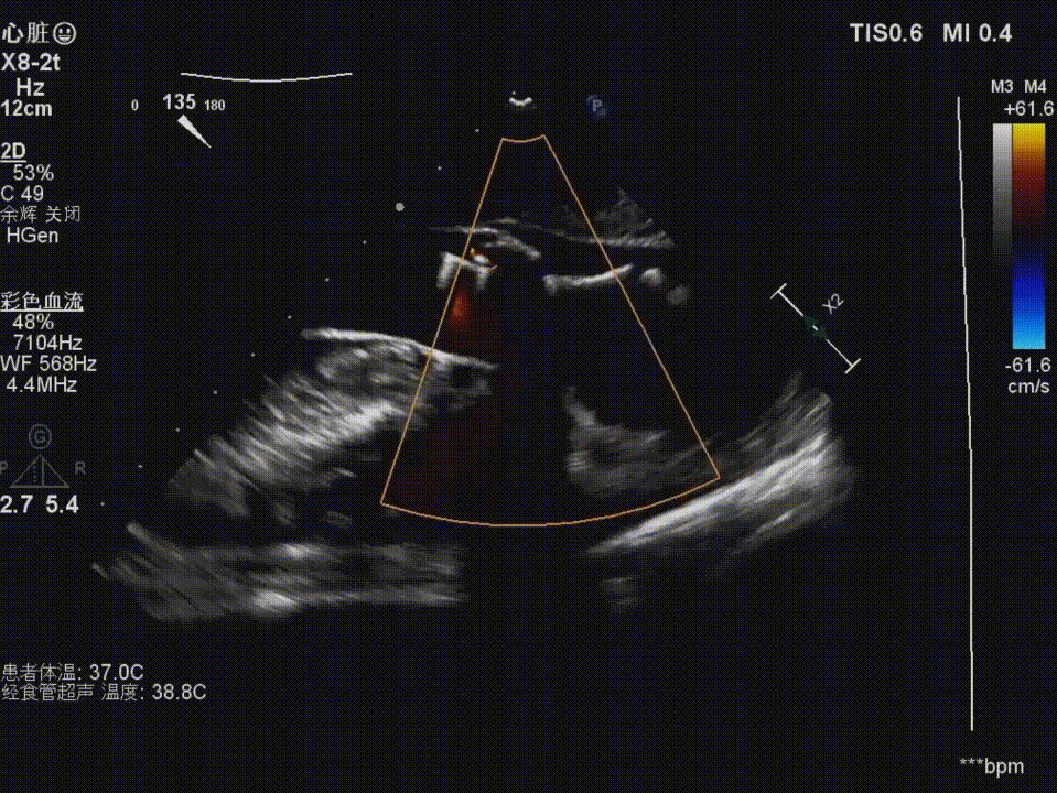
术后食道超声示:
主动脉瓣血流速度及跨瓣压差较术前明显改善,未见明显反流,微量瓣周漏;右冠灌注良好。患者术后恢复顺利,未出现低灌注或心肌缺血相关并发症。


术后超声

术后总结
本例手术充分体现了TAVR术中对复杂解剖挑战的高效应对能力。杨毅宁教授团队通过术前精细评估、术中精准操作及及时干预,成功应对了瓣膜遮挡右冠的风险,及时开窗支架并重建血运,保障了患者瓣膜功能和心肌灌注的双重安全。美敦力 Evolut PRO+ 瓣膜凭借其卓越的密封性及释放可控性,为高危病例提供了重要保障。

扫码进入【美敦力】
美力相瓣·TAVR经导管主动脉瓣置换 学术专栏