

肺栓塞(pulmonary embolism,PE)偶尔会表现出类似ST段抬高型心肌梗死(ST-segment elevation myocardial infarction,STEMI)的心电图特征,给诊断带来了挑战,因为其症状与急性冠状动脉综合征(acute coronary syndrome,ACS)极为相似,经常需要紧急冠脉造影以排除冠状动脉闭塞。PE的ST段抬高主要归因于急性右心室(right ventricular,RV)压力升高引起的右心室应激或缺血。急性右心室应激会导致心脏电生理紊乱,包括QRS改变和复极异常。
在急诊科区分PE和STEMI至关重要。虽然床旁超声心动图可以显示右心室扩张和功能障碍(例如McConnell’s征,McConnell's征是一种右心室局部功能障碍的超声心动图表现,具体为右心室游离壁中段和基底段运动减弱或消失,而心尖段运动正常,甚至增强),但CT肺血管成像仍然是确认PE的金标准。此外,不典型的ST段改变,如缺乏STEMI通常出现的动态演变,可以作为PE的线索。

《Cureus》报道了一例“The Crucial Role of Bedside Echocardiography and Clinical Suspicion in Diagnosing Pulmonary Embolism With ST Elevation on ECG, Initially Misdiagnosed as ST-Segment Elevation Myocardial Infarction”,被误诊为STEMI的肺栓塞,床旁超声立大功。
图像和视频经典,值得立即转发并收藏。

McConnell’s征示意图
图示为右心室扩张,右心室部分区域运动减弱(灰色箭头),而右心室心尖部收缩力保持正常(绿色箭头)
病例介绍
一名52岁的男性患者,既往为吸烟者,有高血压病史,既往有深静脉血栓和肺栓塞病史,四年前接受过抗凝治疗,最初被急诊团队诊断为急性ST段抬高型心肌梗死,并紧急转诊至心脏科进行进一步治疗。患者一个月来出现逐渐加重的呼吸困难,目前即使在休息时也会发作,并伴有胸闷。其生命体征稳定,体格检查无异常,心电图显示V1-V4导联ST段抬高和下壁导联T波倒置(图1)。

图1. 心电图显示V1-V4导联ST段抬高(黑色箭头)和下壁导联T波倒置(橙色箭头)
在检验结果未出时,患者主要症状是呼吸困难,没有明显的胸痛。鉴于PE的既往病史,且ST段改变对于STEMI来说不典型,因此怀疑PE。
超声心动图显示右心室扩张(视频1)、室间隔变平、左心室为D形(视频2)和McConnell’s征(视频3)。
视频2. 胸骨短轴切面显示室间隔变平、左心室为D形
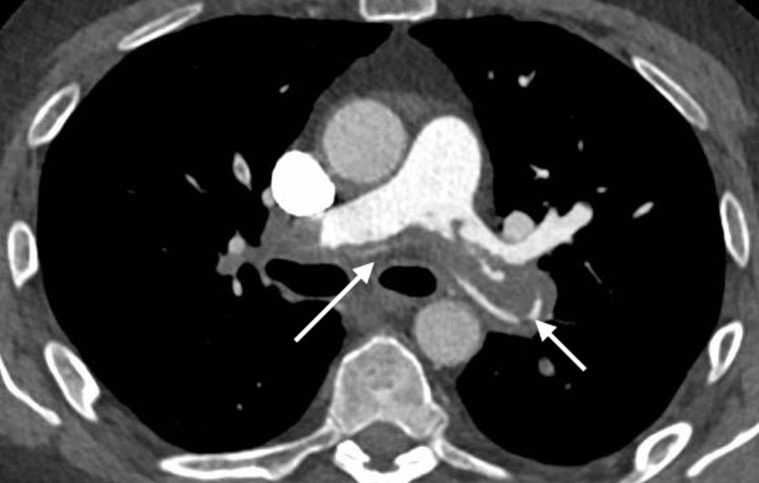
随后,检验结果显示:肌钙蛋白I:28.3 ng/L(参考范围:<2.5 ng/L),NT-pro BNP:13,151 ng/L(参考范围:<400 ng/L),D-二聚体:>20 µg/ml(参考范围:<0.5 ug/ml)。胸部X光未见异常,CT肺血管成像(CTPA)显示肺干内有鞍状血栓,延伸至主肺动脉和远端分支(图2)。

图2. CTPA显示肺干内鞍状血栓(白色箭头)
鉴别诊断
最初怀疑STEMI,但根据超声心动图结果排除,超声心动图显示局部室壁运动正常,无提示缺血的特征。由于CTA主动脉正常,排除升主动脉夹层。连续心电图上没有一过性ST段抬高,因此排除了变异性心绞痛。心电图在V1-V3导联上未显示特征性的凹陷型ST段抬高,Brugada综合征被排除。心电图没有弥漫性ST段抬高或PR段压低,超声心动图没有心包积液,因此排除了急性心包炎。
治疗和结果
患者接受抗凝治疗,最初使用达肝素,后来过渡到阿哌沙班。患者入院时血流动力学稳定,且多学科团队(MDT)会议回顾了影像学资料,发现患者存在急性和慢性PE(与患者既往PE病史一致),确定机械血栓切除术是最合适的初始干预措施,因此选择了机械血栓切除术而非溶栓治疗。在手术过程中,尽管多次抽吸,仅取出小块白色弹性机化血栓(表明为慢性血栓)。抽吸后肺动脉压力基本不变,随访肺血管造影显示无显著改善。
患者被转诊至肺血管疾病科(PVDU)作进一步评估。被评估为适合进行肺动脉内膜剥脱术,开始使用他达拉非40mg每日一次治疗,以控制肺动脉高压和改善体液状态,并调整利尿剂。患者未能等到手术机会而离世。
讨论
区分PE和STEMI具有挑战性,因为它们具有重叠的临床和心电图特征。PE通常表现为窦性心动过速或非特异性ST-T改变。然而,ST段抬高是一种不常见的发现,通常与急性右心室应激、缺血或由大面积PE引起的左心室充盈不足有关。患者既往有血栓栓塞病史和前壁ST段抬高的不典型表现,提示应使用床旁超声心动图进行进一步检查。
超声检测到McConnell’s征,这一发现对PE具有高特异性(94%)。这突显了在心电图结果不确定或具有误导性时超声心动图的效用。然而,McConnell’s征有其局限性,例如灵敏度较低,需要进一步诊断确认。其他超声心动图特征,如三尖瓣反流或右心室运动减弱,可能提示大面积PE,也应考虑。
该患者升高的肌钙蛋白和NT-proBNP水平表明右心室应激,这在大面积PE中很常见,并具有重要的预后价值。升高的肌钙蛋白水平与急性PE患者的死亡率增加和不良结果相关。根据欧洲心脏病学会(ESC)PE指南,升高的肌钙蛋白是心肌损伤的标志,应结合临床和影像学发现进行风险分层。同样,NT-proBNP水平>600pg/mL与PE患者短期死亡率增加相关。这些生物标志物与超声心动图上的右心室扩张和室间隔变平等影像学发现结合使用,可以帮助识别需要紧急干预的高风险患者。
一项对19项研究的荟萃分析发现,仅凭临床印象对PE诊断的灵敏度为85%,特异性为51%。这强调了仅依赖临床评估的局限性,并强调了采用多模式诊断方法的重要性,需要结合影像学、生物标志物和临床发现,以实现准确诊断和风险分层。CT肺血管成像仍然是诊断PE的金标准,具有高灵敏度和特异性,并具有快速诊断和明确血栓负担的优势。然而,它有局限性,包括辐射暴露和对比剂肾病的风险。
尽管进行了机械血栓切除术,患者仍因并发症去世,这突显了在大面积PE中早期识别和积极管理的重要性。
等等
别急着离开
↓↓

【活动规则】
(1)活动时间:3月29日起至4月29日
(2)抽取5位优秀笔记作者,赠送《手把手教你学超声心动图》1本。
【参与方式】
(1)读书笔记投稿给学习助手-道道,并同时发布在小红书/抖音平台
(2)笔记末尾附上:@严道医声网 写读书笔记,送《手把手教你学超声心动图》,一起来参与吧!

添加道道
加入读者交流群!
谨分享此文给更多医生同仁,我们期待能为读者带来更多感悟与心得。我们将与孔教授共同投身于促进超声心动图这一领域的建设发展中,为学科进步与人才培养贡献更多力量。
这不是普通的工具书,而是一位超声发烧友与时间赛跑的医学手札,更是打开心脏超声奥秘的密钥。