
急性心肌炎是由多种病毒感染引起的公认疾病。常见的病毒病因包括肠病毒(如柯萨奇病毒、腺病毒、流感病毒、埃可病毒、B19细小病毒和疱疹病毒)。对于急性心肌炎,需要高度警惕、早期诊断,并及时采取支持性抗心力衰竭措施,以及在某些情况下考虑使用包括大剂量皮质类固醇在内的免疫抑制疗法,以改善预后。近期《Eur J Case Rep Intern Med》报告了一例因病毒性心肌炎导致的急性心力衰竭并心源性休克的病例,患者最初表现为诺如病毒胃肠炎。她既往无心脏病史和心血管危险因素。针对诺如病毒心肌炎导致的心源性休克,迅速采取了救治措施,症状逐渐改善,并在安全出院后定期随访。

病例报告
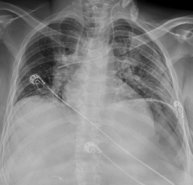
一名46岁的女性,既往有脑瘫、癫痫和严重智力障碍病史,最初因烦躁不安、恶心、呕吐、无法耐受口服摄入以及反复发作的水样腹泻1天而就诊。最初未报告包括胸痛或呼吸困难在内的任何心肺症状。最初临床检查时,患者呈痛苦状态,体温正常(36.7°C),血压低(85/55 mmHg),心率快(110次/分钟),呼吸急促(20次/分钟),在室内空气SPO2为92%。检查发现明显的腹部疼痛伴腹壁强直、颈静脉扩张及双侧肺底啰音。初步实验室检查显示肾功能和肝功能指标升高、乳酸酸中毒以及肌钙蛋白和BNP显著升高。胸部X光显示心脏扩大和肺充血(图1)。ECG示窦性心动过速,心率为110次/分钟,其他无明显异常。

图1. 胸部X光示心脏扩大和肺充血
紧急经胸超声心动图(TTE)显示所有心肌节段均出现整体运动减弱,估测LVEF为25%(图2)。初步鉴别诊断为心肌炎,急性冠状动脉综合征不除外。根据TTE结果和肌钙蛋白升高,进行了紧急冠状动脉造影,显示冠状动脉无异常(图3)。

图2. 经胸超声心动图示左心室收缩功能降低,估测LVEF为25%

图3. 冠状动脉造影无异常
患者进行了两次血培养均为阴性,腺病毒、流感病毒、副流感病毒、SARS-CoV-2、人偏肺病毒、鼻病毒/肠病毒和呼吸道合胞病毒在内的呼吸道病毒PCR检测结果为阴性。包括艰难梭菌、耶尔森菌、轮状病毒、志贺氏菌、沙门氏菌、空肠弯曲菌、弧菌和诺如病毒在内的性肠道病毒PCR检测结果为诺如病毒阳性。尊重患者家属意愿,未能进行进一步的有创诊断如心内膜活检(EMB),EMB能够以进一步评估可能引起急性心力衰竭和心源性休克的心肌炎的具体原因。迅速给予利尿剂、血管加压药和多巴酚丁胺输注,其血流动力学不稳定状况显著改善,并逐渐减少血管加压药和正性肌力药物支持。安全出院后定期进行门诊随访。
讨论
病毒性心肌炎的症状范围广泛,从非特异性的前驱症状(如疲劳和肌痛)到胸痛、危及生命的心律失常、暴发性心力衰竭,甚至猝死。常见的病毒病因包括肠病毒(如柯萨奇病毒、腺病毒、流感病毒、埃可病毒、B19细小病毒和疱疹病毒)。
诺如病毒是病毒性胃肠炎的常见原因,通常具有轻微且短暂的病程,主要影响5岁以下的儿童。常见症状包括恶心、呕吐、腹痛和痉挛、水样腹泻、肌痛、头痛和寒战。一些患者以腹泻为主,而另一些患者则以恶心和呕吐为主要症状,通常持续2-3天后完全缓解。之前报告的与诺如病毒相关的后遗症范围从机械性并发症(如Boerhaave’s综合征、肠套叠)和急性和慢性炎症效应(如坏死性小肠结肠炎、肠壁气肿、肠穿孔),到肠外表现(如肾和肝衰竭、惊厥、脑病、Guillain-Barré综合征和心力衰竭)。
诺如病毒引起心肌炎的确切病理生理学尚不清楚。可能的解释包括直接心肌细胞侵袭、继发性免疫激活介导的损伤和内皮损伤。另一种可能的机制是基于病毒P2结构域与人类HBGAs即A/B、H和Lewis抗原的结合,导致CD4+细胞的刺激,随后产生干扰素-γ和白细胞介素-2,从而引起心肌炎。
对于疑似心肌炎的实验室检查包括肌钙蛋白和BNP水平升高。心肌炎心电图一般是异常的。尽管心电图既不特异也不敏感,但应根据以下心电图变化考虑心肌炎:新的PR间期延长、房室传导阻滞、室性心律失常、频发室性早搏、ST段压低或广泛T波倒置。提示心肌炎的超声心动图特征包括LVEF变化、舒张功能不全、新的室壁运动异常或心包积液。超声心动图还可用于监测治疗反应。
心脏磁共振成像(CMR)是一种经过验证可以诊断心肌炎的无创检查手段。诊断标准包括心肌水肿的MR表现,如T2映射或T2加权图像上的异常发现,或非缺血性心肌损伤的迹象,如T1 mapping、晚期钆增强(LGE)或细胞外容积分数的异常发现,而支持性标准包括出现心包炎的改变,如心包积液或心包LGE/T2或T1的异常发现,或左心室收缩功能不全,如区域或整体室壁运动异常。
心内膜活检(EMB)是诊断的金标准方法。组织学标准包括炎症浸润(整体或局灶性,呈斑片状)和心肌坏死。尽管冠状动脉造影不能排除心肌炎,但通常用于排除冠状动脉疾病。
本病例显示,在一名既往无心脏病史、无心血管危险因素的患者中,胃肠炎发作与急性心力衰竭症状的突然发作之间存在时间关系。其临床表现与急性心肌炎一致,对于没有典型心血管危险因素的患者,应考虑急性心肌炎。根据她心力衰竭的临床、实验室和超声心动图的时间线,并在通过冠状动脉造影排除CAD后,诊断为诺如病毒引起的心肌炎并发急性心力衰竭。理想情况下,CMR或心内膜活检将是确诊的最佳手段。然而,鉴于她的合并症和家属的要求,两者均未进行,而是开始接受支持性治疗和皮质类固醇治疗,症状逐渐好转。
急性心肌炎患者应接受针对心力衰竭和心律失常的指南指导的药物治疗。此外,无论是不是运动员都应该在心肌炎的急性期以及至少6个月内限制体力活动。在排除活动性感染后,可以考虑使用免疫抑制疗法。之前的报告表明,皮质类固醇不会降低死亡率,但可能会改善心脏功能。在有严重室性功能障碍和/或危及生命的心律失常的病例中,可以考虑使用皮质类固醇。关于抗病毒疗法的有效性没有证据。关于干扰素-β治疗的初步数据表明,它可以消除嗜心病毒并改善左心室功能和NYHA心功能分级。关于病毒感染之间相互作用的数据表明,呼吸道病毒可以同时或顺序感染呼吸道,导致病毒-病毒相互作用。第一种病毒感染可能会增强或减少第二种病毒的感染和复制,导致正向(相加或协同)或负向(拮抗)相互作用。关于肠病毒及其与肠道细菌的相互作用可能会影响感染结果的数据有限。需要进一步研究以进一步确定病毒-病毒相互作用和病毒-细菌相互作用的结果。
结论
急性心肌炎是由多种病毒感染引起的公认疾病。对于急性心肌炎,需要高度警惕、早期诊断,并及时采取支持性抗心力衰竭治疗,以及在某些情况下考虑使用包括大剂量皮质类固醇在内的免疫抑制疗法,以改善预后。