
近日,武汉亚洲心脏病医院华正东教授团队与超声科、麻醉科通力合作,应用中国首款国产球扩瓣系统RENATUS®为一名二尖瓣置换术后生物瓣损毁的患者,成功完成经心尖二尖瓣瓣中瓣置换术,使患者在经受与传统外科手术相比相对更小创伤的同时,再一次获得了满意的治疗效果,为患者再扩”心“生。术者团队充分评估患者的具体解剖结构和病情特点,个性化制定相应手术策略,确保了手术安全、有效的实施。术后,患者瓣膜形态与功能均显示良好,症状得到明显缓解,手术取得圆满成功。

患者基础信息
患者老年女性,77岁,主诉“心脏术后14年余,气喘伴下肢水肿1年”。经查于17年前因二尖瓣重度狭窄在我院行二尖瓣生物瓣置换+三尖瓣瓣环成形术,半年前于我院植入永久起搏器。该患者于今年2月起因反复咳嗽,间断发作胸闷,气喘不适伴活动耐量持续下降多次住院,外院给予对症治疗效果欠佳。为求进一步诊治再次就诊于我院,心脏超声提示二尖瓣生物瓣前向血流速度增快、脱垂并重度关闭不全。门诊遂以“生物瓣置换术后瓣膜功能衰竭”收治入院,入院后结合其他检查明确诊断为二尖瓣生物瓣置换状态,生物瓣膜置换术后功能衰竭。华正东教授团队充分综合评估患者病情后决定对其行经心尖二尖瓣瓣中瓣置换术。
术前评估

外科瓣瓣架直径24.6mm

模拟23#瓣膜植入

Neo-LVOT面积249.6mm²
CT测量之前外科瓣瓣架直径24.6mm,根据瓣膜形态,结合既往手术记录,考虑既往外科生物瓣HC II 25#可能性大。此款瓣膜若行瓣中瓣治疗,选择Renatus 23#介入瓣膜,模拟Renatus 23#植入,流出道瓣角至室间隔距离6.9mm,NEO-LVOT面积为249.6mm²,新流出道梗阻风险低。

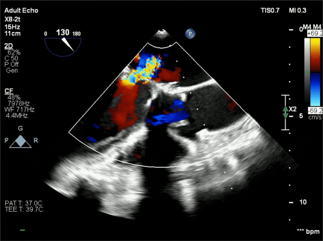
术前超声
超声可见二尖瓣位生物瓣植入状态,瓣架强回声,瓣膜增厚、回声增强,舒张期前向血流速度增快,峰值流速2.4m/s,峰值压差23mmHg,平均压差8mmHg,收缩期后侧脱向左房侧,对合错位,其左房侧可见重度偏心性反流信号。
华正东教授团队结合术前检查,综合评估患者情况,考虑经心尖行二尖瓣瓣中瓣置换术。此术式通过小切口微创植入人工介入瓣膜,无需体外循环和心脏停跳,减少手术创伤,恢复瓣膜功能,改善患者预后。
术中影像


球扩释放
释放后
6atm球扩释放,植入Renatus 23#,瓣架形态良好,位置理想。


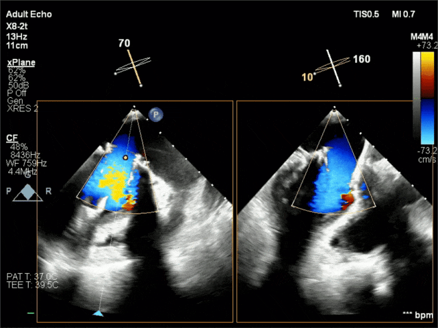
术后超声
二尖瓣瓣口峰值流速1.17m/s,平均跨瓣压差2mmHg,无瓣口反流,无瓣周漏。
术后总结
此例手术患者77岁高龄,心脏瓣膜疾病严重影响其生活质量,再次外科开胸治疗风险极高。患者半年前植入永久起搏器,起搏器导线盘绕在右房贴近房间隔处,这无疑给手术方案的制定与术中操作带来了巨大的挑战,术者团队在术前凭借自身丰富的经验充分评估患者病情,制定个性化治疗方案,在术中凭借灵活精巧的操作和默契的团队配合,最终成功完成高难度手术,解决了患者瓣膜疾病难题,为患者再扩”心“生。
此例手术的成功不仅展现了华正东教授团队过硬的专业技能,也展示了RENATUS®球扩瓣系统在处理不同结构、不同类型心脏瓣膜疾病时全途径手术入路的优势。该国产经导管主动脉瓣系统采取了球囊扩张式瓣膜结构设计,并通过采用其专利技术-“支架和瓣叶交界连接”的缝制工艺,实现了同外科生物瓣膜一致的瓣叶启闭模式,以期克服临床上对传统经导管瓣膜类产品耐久性的顾虑。独特的六边形钴铬合金瓣膜支架结构,提高扩张速度及精准定位,可用于生物瓣衰败的续接治疗,优化瓣膜病全生命周期管理,RENATUS®球扩瓣系统未来将造福更多瓣膜病患者!