
近日,中山大学附属第一医院心内科龙明教授团队在超声科姚凤娟教授、范瑞医生团队配合下,独立完成两例巨大型PFO经导管卵圆孔未闭缝合术,这是龙明教授团队第二和第三台。鉴于这两例都是巨大型PFO,用传统封堵器封堵术后极易发生残余分流,经过专家组的慎重评估决定行经导管卵圆孔未闭缝合术。
瀚芯医疗HaloStitch®经导管卵圆孔未闭缝合器系统的特殊优势在于可以针对不同形态的PFO结构采用不同的缝合方式,针对此类巨大型PFO可采取继发隔缝合一针或两针,原发隔缝合一到两、甚至三针的形式来最大程度的关闭PFO(确保原发隔和继发隔完全贴合,无可见飘动),此种方式只有原发隔和继发隔应用专用器械分段缝合才能实现,这样才可以最大程度的保证穿刺的安全性和有效性。此外,继发隔和原发隔分别完成缝合后可分别通过调节缝线的松紧度,最后做发泡实验以及彩流查看PFO的闭合程度,需要注意的是推送发泡实验的生理盐水一定要压力大(右房瞬间充满水泡)且对准PFO右房开口的位置,这样才能最大程度的检验PFO闭合紧密度。
作为广东省结构性心脏病介入治疗的领军团队之一,龙明教授团队深耕心血管领域十余年,擅长结构性心脏病微创治疗,此次手术的成功,不仅彰显了团队在高难度病例中的技术实力,也为卵圆孔未闭的不明原因卒中患者提供了更安全、高效的治疗选择。中山大学附属第一医院心内科始终秉承“精准微创、患者优先”的理念,依托多学科协作与创新技术,持续推动心血管疾病诊疗水平迈向国际前沿。此次手术的独立完成,进一步巩固了该院在心脏介入领域的领先地位,为更多PFO相关卒中患者带来福音。
病人基本情况
其中一例PFO结构相对简单,手术过程顺利,缝合后效果良好,不过多赘述。
另一个病例PFO结构相对复杂,手术更具挑战,病人基本情况如下:
一、男性;57岁;主诉:言语不清、流涎伴右上肢无力2小时44分钟
二、术前检查:右心声学造影:静息状态下,6个心动周期内左心可见造影剂微泡通过,右向左分流1级;Valsava动作(+):左心可见造影剂微泡显示,右向左分流3级。
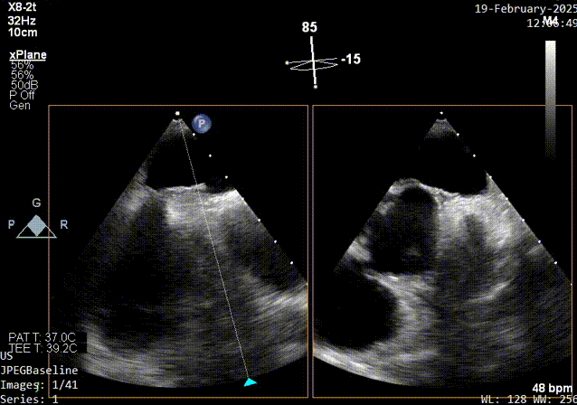
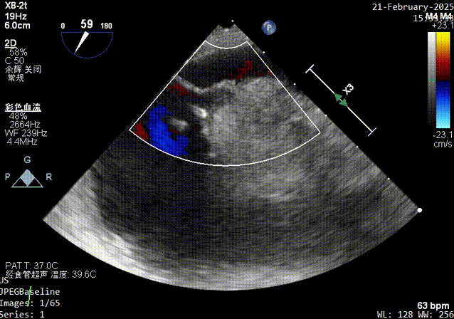
经食道超声:房间隔卵阙窝边缘见卵圆瓣闭合不佳,可见一隧道样缝隙,长约16mm,左房面约1.6mm,右房出口约1.0-2.3mm,X-plane短轴切面而测得宽度约10mm,CDFI可在该处探及左向右过血流。原发隔卵圆瓣厚约1.3mm,继发隔厚度约4.4mm,右房面出口距主动脉根部约7mm,距上腔静脉入口约19mm。
三、病情诊断:卵圆孔未闭;急性脑梗死
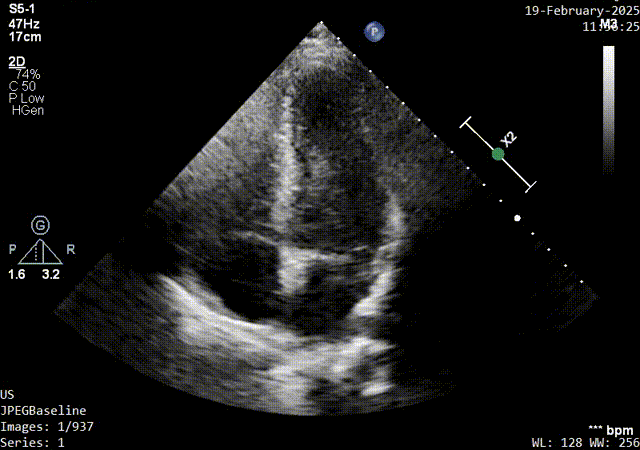
术前筛查

术前发泡实验超声影像

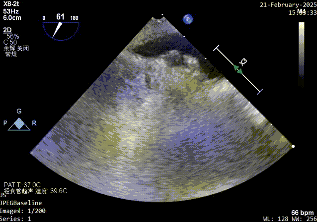
Xplane超声影像

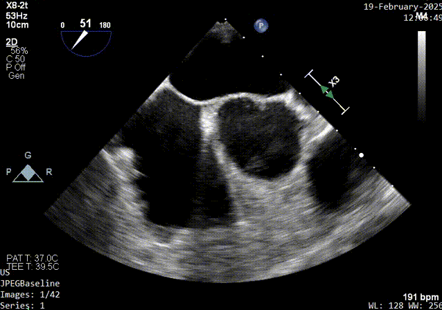
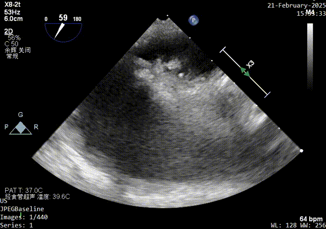
主动脉短轴切面超声影像

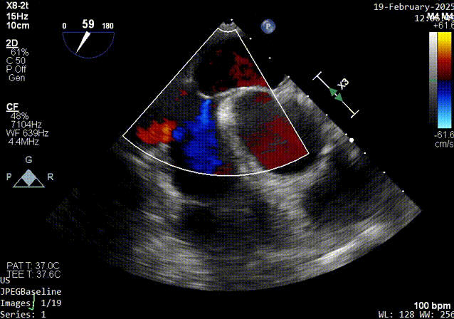
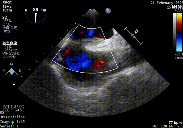
color超声影像
PFO结构分析
1、PFO结构:巨大型PFO,静息状态下房水平左向右分流。继发隔厚约5.7mm;原发隔厚约1.2mm;未见明确下腔静脉瓣及希阿里网回声。
2、PFO参数:隧道裂隙宽约4.4mm ;卵圆孔隧道长度14mm;
术中操作

器械进入前cTEE发泡实验

器械进入前TEE彩超影像
建立通路:一根0.035导丝穿过卵圆孔进入左上肺静脉,形成左心房通路。另一根0.035导丝进入上腔静脉,形成右心房通路。

建立通路超声影像
继发隔缝合过程超声影像

继发隔捕获超声影像

继发隔穿刺缝合超声影像
原发隔缝合超声影像

原发隔缝合超声影像
锁结器锁结操作时超声影像

锁结操作时发泡试验影像
此时发泡实验,术者通过输送导管对准PFO的位置,应用最大力度推送生理盐水直射缝合位置用以验证缝合紧密度
锁结器锁结操作后超声影像

锁结操作完成后发泡实验影像

锁结操作完成后彩超影像
锁节结束后影像显示:无可见气泡分流,无可见血液分流,效果良好!
全新术式
全国范围开启正式入组新篇章
瀚芯医疗自主研发的HaloStitch®经导管卵圆孔未闭缝合器系统是一项创新的医疗技术,是国内首个可以通过经股静脉入路通过缝合方式来关闭PFO的系统。
相较于传统的手术方法,HaloStitch®经导管卵圆孔未闭缝合器系统的手术创伤更小,恢复时间更短,大大减轻了患者的痛苦和不适;术中也可以通过调节缝线的松紧度或增加缝针闭合PFO,实现术后即刻零分流目标;在远期安全方面与现有金属封堵器相比,HaloStitch®经导管卵圆孔未闭缝合器系统高分子植入物微小质轻,无镍离子析出过敏、心内组织磨蚀、术后房颤等并发症、无需长期服用抗凝、同时不会阻挡房间隔,保留远期行房间隔入路手术的可能,在治疗效果方面与现有金属封堵器相比,HaloStitch®经导管卵圆孔未闭缝合器系统由于独特的多针缝合和可调锁结机制,对于难以封堵的长隧道、巨大、复杂型的PFO仍然具有良好的闭合效果,未来适用性更广。
随着HaloStitch®经导管卵圆孔未闭缝合器系统成功实现了预防卵圆孔未闭(PFO)相关卒中临床试验陆续入组,全国有越来越多的中心都同步开启了临床入组的“心”阶段。期待在不久的将来,HaloStitch®经导管卵圆孔未闭缝合器系统将随着更多中心、更多临床术者的广泛应用,开拓和领跑PFO闭合全新术式,也会有越来越多的新术式、新器械随之涌现,共同护航更多PFO相关卒中患者的生命健康。

关于瀚芯医疗
瀚芯医疗具有深厚的结构性心脏病技术沉淀,公司致力于结构性心脏病领域的二尖瓣瓣膜修复及心源性卒中预防。拥有CNAS认可的高端实验室和万级洁净车间、功能齐全的医疗器械生产设备.具有完整的自主研发、测试生产和销售能力。现已申请国内专利100多项,PCT申请5项。核心产品HaloChord®经心尖二尖瓣腱索修复系统通过创新医疗器械特别审查程序。瀚芯医疗始终以创新驱动、品质为本、临床为命、造福更多的患者为宗旨,用心呵护每颗心。