
近日,南京大学医学院附属鼓楼医院王东进教授团队,成功为一名主动脉瓣重度关闭不全,升主动脉扩张的患者,实施主动脉瓣生物瓣膜置换术+升主动脉成形术,顺利完成雅培全新一代生物瓣膜Epic Plus的全国首批植入手术。术后食道超声示生物瓣功能良好,无明显返流及瓣周漏并发症,患者症状明显改善。

病例简介
本例患者为 83岁男性,主诉为反复胸闷1年,加重1月。
既往高血压 30 余年,脑出血病史。
心脏超声提示
主动脉瓣退行性改变伴重度关闭不全;二尖瓣、三尖瓣轻度反流;左室肌增厚伴舒张功能减退。
术前诊断
1.主动脉瓣关闭不全;2.升主动脉扩张;3.二尖瓣关闭不全;4.三尖瓣关闭不全;5.窦性心动过缓;6.心功能Ⅱ-Ⅲ级(NYHA分级);7.高血压病1级(极高危);8.脑出血个人史;9.肝囊肿;10.肾囊肿;11.手术后状态,其他特指的(前列腺电切术后、胆囊切除术、痔疮术后)
南京大学医学院附属鼓楼医院王东进教授团队细致评估,确认患者符合手术条件且无手术禁忌症,遂拟行主动脉瓣生物瓣膜置换术+升主动脉成形术。Epic Plus Supra 作为一款全新一代的生物瓣膜,其优选独立瓣叶优化组合,更符合人体瓣叶生理特征,无中心反流间隙,带来最优血流动力学表现。天然原生瓣膜的瓣叶材质,在收缩舒张期提供周向和径向的延展拉伸,心肌能量损耗低,更适用于高龄患者。

手术过程
采用全麻方式,患者仰卧位,经胸部上段小切口进胸,“人”形剪开心包,显露心脏,经升主动脉及右心房插管建立体外循环,并行转流后主动脉根部插冠状动脉灌注管。降温,阻断升主动脉,切开升主动脉,经冠状动脉开口直接灌注心脏停跳液,心停满意。切除自体主动脉瓣,植入Epic Plus Supra 25号生物瓣;升主动脉成形,连续缝合升主动脉开口;复温,开放升主动脉,心脏自动复跳。食道超声证实生物瓣功能良好,未见明显返流及瓣周漏。手术顺利完成,患者恢复情况良好。
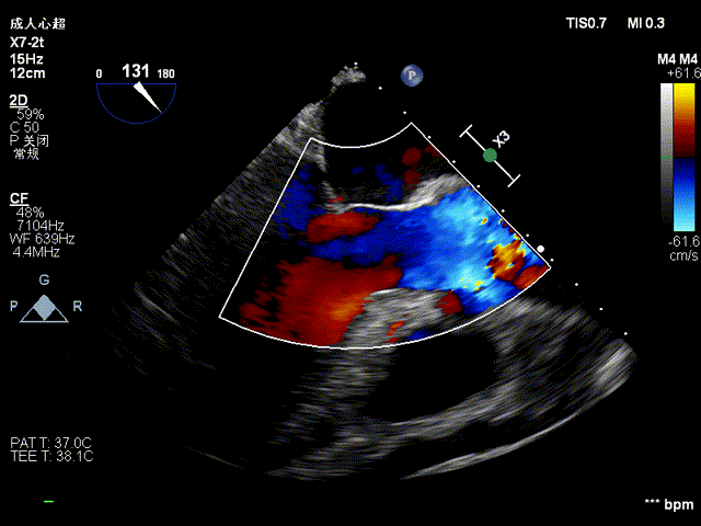
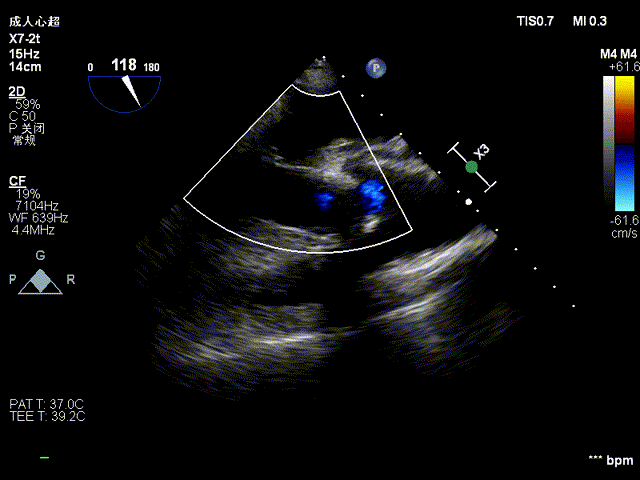
术前术后食道超声对比:

术前

术后
术后心脏彩超检查示:(主动脉瓣生物瓣膜置换+升主动脉成形术后)人工生物主动脉瓣活动良好,左心腔增大,左室射血分数减低,二尖瓣、三尖瓣轻度关闭不全。
主动脉窦部内径4.05cm,主动脉示成形术后回声,壁活动尚可,主动脉瓣示生物瓣结构回声,前向血流速度2.1m/s。心功能检测左室EF47.4%。
术后总结

本次患者为83岁高龄患者,主动脉瓣退行性改变伴重度关闭不全,合并升主动脉扩张,二尖瓣、三尖瓣轻度反流,既往高血压病史 30年余年,有脑出血病史,手术风险较高,手术难度较大。王东进教授团队作为国内首批承担Epic Plus瓣膜植入手术的团队之一,凭借丰富的临床经验和精湛的技术,顺利完成手术,为患者成功实施主动脉瓣生物瓣膜置换术+升主动脉成形术,植入全新一代生物瓣膜Epic Plus。患者术后体验良好,无瓣周漏等并发症,症状明显改善。
匠心传承,经典之上
作为Epic 瓣膜的升级版,全新一代生物瓣膜Epic Plus传承了Epic瓣膜优异的产品特性并契合全生命周期管理而进行了全面提升。
Epic Plus 通过瓣叶高度,宽度,瓣尖尺寸等参数精选匹配三个猪瓣瓣叶组合,相比于传统牛心包瓣叶的直立“幕帘“,在未来ViV术中,能更有效降低冠状动脉阻塞风险。Epic Plus全面提升瓣环和瓣脚显影,采用FlexFit 柔性聚合物支架,8个大气压下完成球囊BVF, 实现尺寸扩增,真正做到疗法全生命周期管理。

Epic Plus以传承43年临床应用经验的Epic平台为基础,凭借其出色的耐久性表现赢得了全球广泛的信赖。基于超过25000例患者的真实世界大型临床数据,展现了优异的长期疗效:在10年的随访中,主动脉瓣位免于结构性退行性病变(SVD)的比例高达94.6%1,二尖瓣位也达到了 91.4%2。
单纯的去细胞化并不能完全消除异种移植物的免疫原性,α-Gal 是重要的异种移植免疫反应介质, 可能通过补体激活和炎症反应导致移植瓣膜的损伤和钙化等病理变化。Epic Plus采用最先进的组织处理技术Linx AC,是行业唯一一种完全屏蔽了α-Gal 抗原的商业化瓣膜3, 并通过四种机制有效降低钙化水平,10年100%零钙化4。
参考文献:
⇅ 向上滑动阅览