严道医声网
严道医声网
严道脑血管网
严道医学网
学院
课程
文章
会议
下载
关于我们
搜索
登录
/
注册
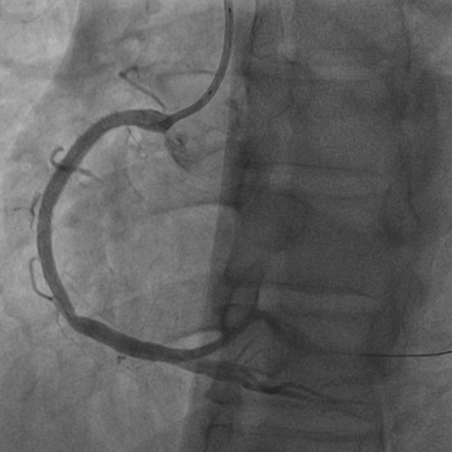
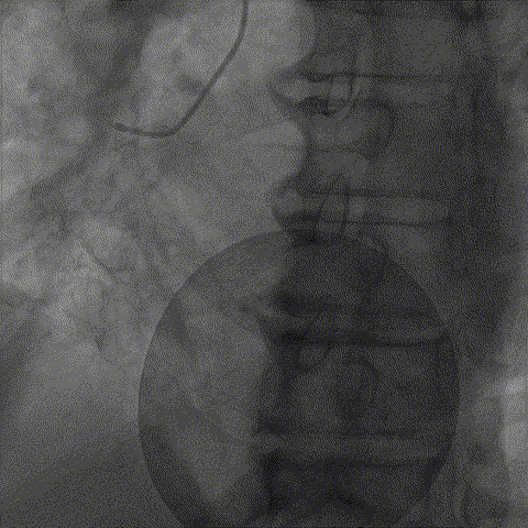
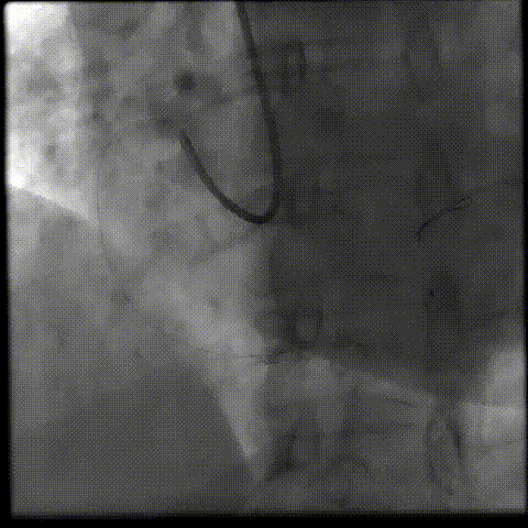
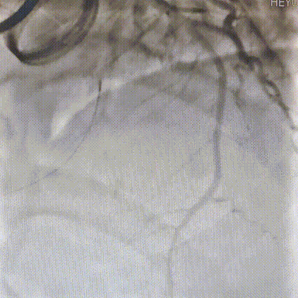
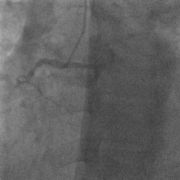
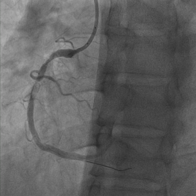
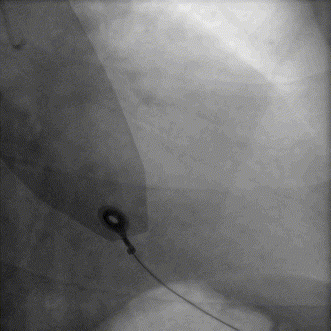
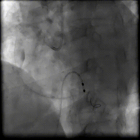
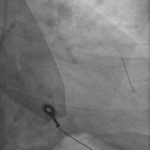
抽吸【例】量|【李】解抽吸患者获益
2025-02-22 13:13
自动播放
阅读数: 373