
室间隔肌部瘤(Muscular Ventricular Septal Aneurysm, MuVSA)是一种罕见的心脏病变,是指室间隔肌部局灶性变薄,收缩强度减弱,在左右心室压力阶差下,变薄的局部突向右心室一侧,形成瘤样结构,伴或不伴矛盾收缩期扩张。室间隔肌部瘤分为先天性和继发性两种。先天性MuVSA较为罕见,病因尚不明确,可能与胚胎发育过程中的内在异常、子宫内病毒感染或冠状动脉异常导致短暂缺血引起心肌损伤有关,通常与室间隔缺损或特发性异常有关。继发性多由心肌梗死、心肌炎、心脏外伤等引起。近期,上海交通大学附属第六人民医院沈成兴教授团队在《Eur Heart J Case Rep》发表了一篇题为“Congenital aneurysm of the muscular interventricular septum in an elderly patient”的案例报道,值得各位同道参考。

Congenital aneurysm of the muscular interventricular septum in an elderly patient
一位老年患者的先天性室间隔肌部瘤
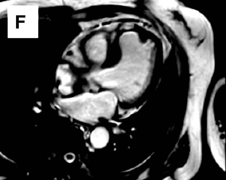
患者女性,69岁,因体检心电图发现T波改变,到心脏科就诊。患者既往无心脏相关病史及心血管危险因素。超声心动图检查发现室间隔肌部瘤样膨出,未发现左向右分流。冠状动脉造影证实冠状动脉正常。左心室造影可见室间隔肌部瘤形成。进一步行心脏CTA及MRI检查,结果显示巨大室间隔肌部瘤,直径与胸主动脉直径相当,未见血栓形成。鉴于患者无症状且无血流动力学影响,采取保守治疗策略,包括生活方式干预、定期心脏监测及规律随访。虽考虑预防性抗凝治疗可能会获益,但由于无血栓形成、血流动力学稳定且缺乏其他危险因素,最终未予实施。不抗凝虽可能增加血栓形成风险,但瘤体内的血流状态可能减少了血栓形成机会,避免了抗栓治疗相关的出血风险。嘱患者每6个月复查超声心动图,必要时行MRI检查。随访期间患者持续无症状且无新发异常,故继续维持原监测方案。






图为心电图、冠状动脉造影、经胸超声心动图、CTA及MRI检查结果。心电图显示v2-4导联T波改变(图A)。左心室造影可见室间隔肌部瘤(图C)。超声心动图显示室间隔瘤样结构(图D)。CTA与MRI均显示巨大室间隔肌部瘤(图E、F)。

室间隔肌部瘤在成人中罕见,多为偶然发现。其成因主要与胚胎发育期先天性因素相关,遗传及环境因素亦参与其中。获得性因素(如心肌梗死或创伤)所致者更为少见。本例患者冠状动脉正常且无心脏病病史,不同于冠状动脉病变或室间隔缺损相关病例,提示为缓慢进展的先天性疾病。尽管无症状,仍存在血栓栓塞或心律失常等潜在并发症风险,需制定个体化随访方案(每6-12个月),若出现动脉瘤显著扩大或并发症则考虑外科干预。
其他相关报道:

2021年发表在《中华心力衰竭和心肌病杂志》一篇“室间隔肌部瘤的文献汇总分析”中提到,从国内外学术论文数据库检索从建库至2020年12月发表的文章,共检索出24篇描述MuVSA的文章,包括病例报告22篇和综述2篇,最终37例符合标准的MuVSA患者纳入分析。

该文献汇总分析指出,约半数(16例,占48.5%)MuVSA患者无症状,其余患者出现了呼吸困难、心悸、呼吸急促、咳嗽、胸闷痛、纳差等临床症状。大的室间隔瘤可能会发生心力衰竭,在这种情况下,外科室间隔瘤切除术是一种有效的选择,经皮介入或手术均是可取的,尤其对于肺动脉狭窄和房间隔缺损并存的患者,动脉瘤修补在手术上可能也是可行的。对于无症状的MuVSA患者大多数预后良好,其中有6例经过手术治疗的患者,术后均恢复较好。