
【致谢】严道医声衷心感谢各位医生同仁无偿提供专业的医学内容。作为心血管领域的内容传播者,这份无私分享不仅传递了前沿医学知识,承载着心血管领域的前沿知识与临床智慧,助力医学内容广泛传播,为推动行业发展贡献力量。谨以本文向所有推动医学科普的践行者致敬,期待与更多医者携手,传递医者声音,共建学术生态。
病例介绍
患者信息:男性71岁。
主诉:阵发性心前区不适8年,再发2天。
现病史:入院前8年患者无明显诱因出现心前区不适,胸闷伴胸痛,程度剧烈,伴大汗,无肩背部放射痛,无头晕、头痛,无恶心、呕吐,症状持续不缓解,后就诊于我院心内科,诊断为急性心肌梗死,行冠脉支架植入术。出院后规律服用阿司匹林、氯吡格雷、他汀等药物。2天前,患者无明显诱因再发心前区不适,描述为胸闷,无胸痛、出汗,无肩背部不适,持续时间1小时,为进一步诊治来院。
既往史:糖尿病病史8年,高脂血症病史多年。否认高血压病史。
术前检查:心脏超声节段性室壁运动异常,室间隔增厚,二三尖瓣少量反流,主动脉瓣轻度反流,左心功能测定轻度受损EF% 48。
手术过程




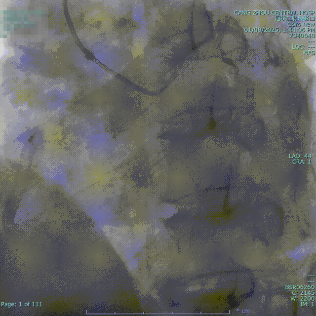
造影显示
1.LM未见明显狭窄;
2.LAD 支架术后,原支架通畅;
3.LCX支架术后,原支架通畅;
4.RCA:支架术后,支架内完全闭塞;
5.RCA优势型。
结论:三支病变,RCA支架内闭塞。
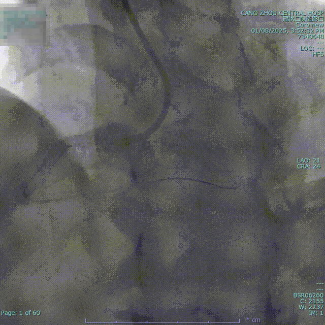
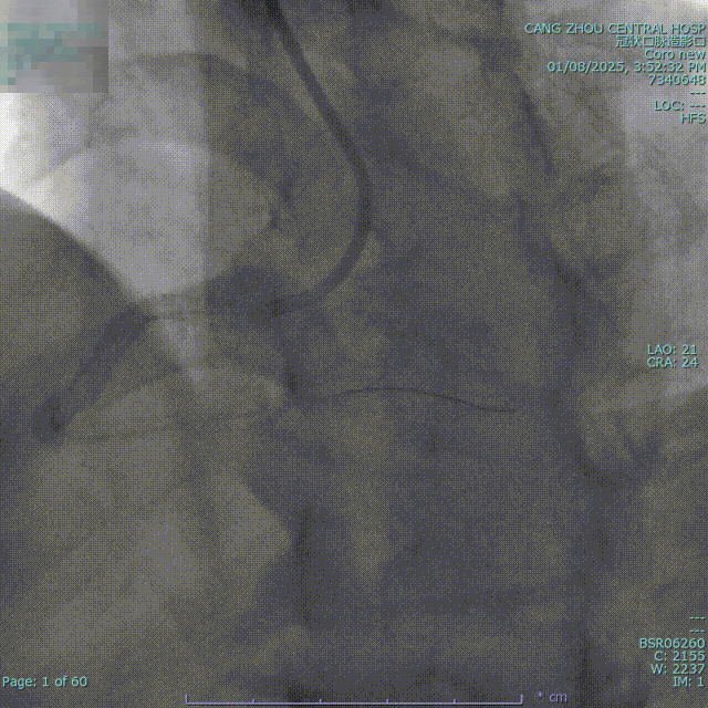
综合考虑后决定对右冠进行介入治疗。

送入GC(7F SAL1.05至右冠开口,送入GW1(NS)至RCA近端闭塞段,导入APT微导管,撤出GW1送入GW2(XT-R)不能通过闭塞段,撤出GW2送入GW3(Gaia 2),通过闭塞段到达RCA远端。


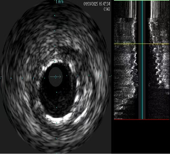
右冠血管内超声影像(IVUS)


对侧造影证实GW3位于远端真腔,跟进微导管,撤出GW3送入GW1,先后送入balloon 1(1.5x1.5mmEmerge)、Ballon 2(2.0x15mmGusta)、Ballon3 (2.0x15mm 心迅)、Ballon 4(2.5x15mm cutting)、Ballon5(2.5x15mm NC Sprinter)、Ballon 6(3.0x15mm NC Sprinter)至RCA病变处预处理后,送入IVUS查看病变性质、程度及血管直径。


先后送入Stent 1(2.5x33mm Firebird2)、Stent 2(3.0x18mm Firebird2)、Stent 3(3.5x33mm Firebird2)、Stent 4(4.0x23mm Firekingfisher)由RCA远端至开口串联。
进入Ballon 7(3.0X12mm NC Sprinter)至Stent 1-2内由远及近以8-18atm后扩张,送入Ballon 8(4.0x12mm Grip)至Stent 3、4以12-20atm后扩。


送入IVUS导管查看支架开放良好、贴壁良好,未见夹层、血栓等 并发症。