
旋磨头驱动轴断裂是冠状动脉旋磨术中极其罕见但严重的并发症,可能导致心肌缺血、血管损伤、异物残留甚至需要急诊外科手术。《Case Reports in Cardiology》刊载了一例“Successful Retrieval of Rota Burr After Driveshaft Fracture”,讲述了旋磨头驱动轴断裂并发症的处置过程。

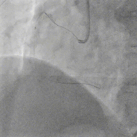
患者男性,67岁,长期接受血液透析,冠脉造影显示右冠状动脉(RCA)近端存在弯曲的中度钙化狭窄病变,RCA中段存在重度狭窄病变并伴有严重钙化(图1(a))。通过股动脉送入7-Fr JR4.0指引导管,并将SION blue导丝送至RCA远端。

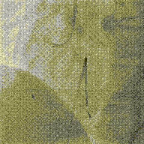
由于IVUS和小直径球囊无法通过(视频1),因此使用微导管将SION blue导丝替换为旋磨导丝。以180,000转/分的转速并采用缓慢的前后“啄米式”运动(每次运行最多20秒),通过消蚀RCA近端部分,将1.5mm磨头推进。将转速保持在175,000转/分以上。随后,对中段重度狭窄病变进行消蚀。然而,我们观察到,尽管驱动轴被来回拉动,但当旋磨头推进到远端RCA时,旋磨头从驱动轴上脱落(图1(b)和图2(b),视频2和视频3)。幸运的是,冠脉前向血流得以保持,且旋磨导丝没有断裂。

图1.(a)基线冠状动脉造影。(b)驱动轴与磨头分离(红色箭头表示驱动轴的边缘)。

图2. (a)最终冠状动脉造影。(b)断开的旋磨头和驱动轴的边缘(红色箭头)。(c)旋磨导丝的远端和主体部分。


第二根导丝从第二根导丝(7-Fr JR4.0)推进到远端RCA,并使用IVUS观察旋磨头。值得注意的是,旋磨头没有被困在这个地点(图3(a))。然后将旋磨导丝软头用作锚点,将旋磨头拉向近端RCA,这得益于旋磨导丝尖端的0.014英寸直径。然而,旋磨头被困在RCA中期狭窄的钙化中。
将另一根导丝从第二根指引导管中推送至RCA远端,并使用IVUS观察磨头。旋磨头并没有被困住(图3(a))。随后,使用旋磨导丝头端作为类似于绳结的锚点,将向RCA近端拉拽,这得益于旋磨导丝头端的0.014英寸直径(译者注:旋磨导丝头端直径0.014英寸,体部0.009英寸)。然而,旋磨头被卡在RCA中段狭窄的钙化部位内。

图3.(a)使用IVUS观察旋磨头。旋磨头没有被困住。(b)在被卡住的磨头旁边以2.5mm球囊扩张。IVUS观察到RCA近端病变的内侧被消蚀。
为了应对磨头杆断裂,在推进器附近切断了驱动轴护套、驱动轴和旋磨导丝,并将驱动轴护套拉出。尝试将圈套器推进至旋磨头处但未成功。沿着旋磨导丝将一根6Fr延长导管向磨头近端推进。然而,延长导管未能通过近端狭窄。因此,使用2.5mmNC球囊通过第二根引导导管对RCA近端进行扩张,随后对旋磨头滞留部位进行扩张(图3(b))。然后,推进延长导管,直到其与磨头接触,并将它们及旋磨导丝一起拉出(图4(a)),成功取出磨头(图4(b))。最后,在RCA中部植入4.0/15mm支架,并使用药物球囊对RCA近端进行扩张,完成治疗(图2(a))。
从断裂处取出磨头大约花费了80分钟。患者在整个手术过程中血流动力学保持稳定,术后恢复顺利。于术后第二天出院。6个月随访显示,患者无心肌缺血证据。

图4. (a)推进延长导管,直到其头端接触到。然后将延长导管、旋磨导丝和磨头一起拉出。(b)成功将旋磨头拉入到指引导管中取出。
讨论
磨头从驱动轴脱落的病例相当罕见,这凸显了熟知此类并发症急救技术的重要性。尽管本例磨头脱落的原因尚未确定,但更常可能在磨头被卡住时或在尽管存在阻力仍在支架内或弯曲段推送磨头时发生。在本例中,将驱动轴护套平台设置在弯曲处近端1~2cm处。驱动轴的弯曲会大大增加病变与驱动轴之间的摩擦力。这种扭矩可能持续存在于磨头近端部位,当消蚀RCA中段病变时,可能导致磨头被卡住。
有两个有待改进的细节:首先是指引导管。使用了支撑力不强的JR指引导管,在旋磨时指引导管不稳定,术者不得不过度推送磨头,导致磨头“跳入”远端。其次是护套平台的位置。建议将平台设置在弯曲远端以与RCA中段钙化病变长轴更为同轴,可以减少弯曲处驱动轴与病变之间的摩擦,从而可能预防驱动轴断裂。

在本例中,使用0.014英寸的旋磨导丝头端作为绳结锚点,成功将近端断开的磨头拉出(见图2(c))。针对磨头被卡住的情况,已有多种介入补救方法被报道。包括手动拉回旋磨导丝、在卡住区域反复扩张球囊、使用圈套器、深插指引导管以及使用延长导管等。
尽管补救方法有很多,并发症重在预防,预防措施包括术前评估、操作技巧、器械选择等,导管室所有工作人员需要熟知。
· END ·

