
近日,知名女星因流感继发肺炎,在日本不幸离世。这一突发事件不仅让广大公众深感惋惜,也再次引发了人们对流感这一常见却不可小觑疾病的关注。心血管内科也时常遇到流感患者,流感可能会对心血管系统会有哪些影响呢,《IDCases》报道了一例罕见病例“Influenza A Virus Complicated by Myopericarditis with Pericardial Effusion”,见证了流感的厉害,供各位同道参考。

引言
流感在全球每年导致高达30万例死亡。许多甲型流感患者无症状,临床表现可从无发热的呼吸道症状到累及心、肺、脑、肾和肝脏的发热性疾病。心肌炎等心脏并发症罕见。一项纳入美国20家机构625例急性病毒性心肌炎患者的大型研究显示,通过心肌活检获取的心脏样本PCR检测发现,238例(3%)存在病毒基因组,其中仅5例检出甲型流感病毒基因组。此外,病毒性心肌炎常伴发心包炎,临床实践中统称为"心包心肌炎"。本文报告一例罕见的甲型流感相关心包心肌炎合并心包积液的病例。
病例简介
患者女性,49岁,因全身乏力不适、易疲劳、呼吸困难及呼吸时疼痛就诊急诊科。患者曾有间歇性发热,现已消退。入院时血压144/101 mmHg,心率108次/分,呼吸频率22次/分,体温36.6°C,血氧饱和度98%(未吸氧)。体格检查未见异常。
患者既往除白癜风外无重大病史,否认其他自身免疫疾病。入院前7天,患者因发热、咽痛和头痛就诊于急诊科,甲型流感快速抗原检测呈阳性,予地塞米松10 mg单次口服、对乙酰氨基酚975 mg单次用药后出院(图1)。

图1 事件时间线
实验室检查显示,患者基线肌钙蛋白升高至2454 ng/L,2小时后肌钙蛋白2506 ng/L(差值为53),BNP 132 pg/L,代谢指标、ESR、CRP及TSH正常。血常规示红细胞计数5.29×10⁶/uL,血细胞比容48.3%。心电图示窦性心动过速伴电轴右偏,患者为低电压(心室率108次/分,QTc 420)(图2)。胸片显示心影增大,双肺清晰。CT示心包积液。

图2 心电图
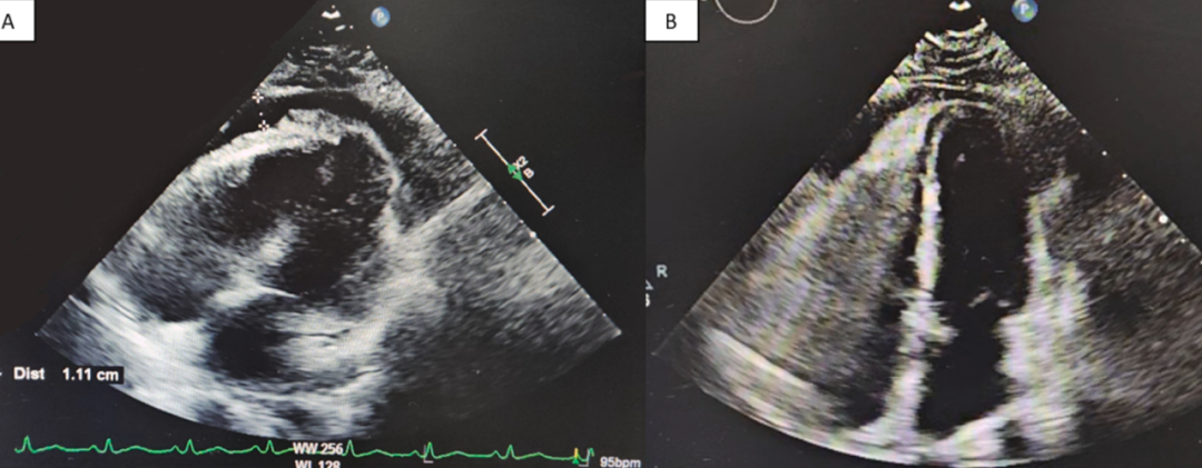
经胸超声心动图(TTE)示左心室轻度向心性肥厚, LVEF为65-70%,少量至中量心包积液,无心包填塞征象(图3A)。血清病毒学PCR检测甲型流感阳性(亚型可能为H2N2、H5N3或H10N7),但H1、H1N1/pdm09及H3亚型呈阴性。IgG抗体检测显示巨细胞病毒、EB病毒及细小病毒B19阳性,但这些病毒的IgM抗体呈阴性,提示既往感染。

图3 经胸超声心动图,治疗前和2天后
患者立即接受奥司他韦75 mg每日两次(共5天)、秋水仙碱0.6 mg每日两次(共30天)及布洛芬600 mg每日三次(共5天)治疗。出院前复查TTE显示心包积液显著减少(图3B)。患者临床症状逐步改善。
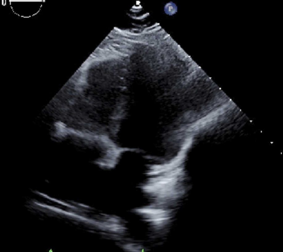
1个月后随访,TTE示心包积液进一步减少(图4),呼吸困难症状完全缓解。

图4 1 个月后复查经胸超声心动图
讨论
甲型流感相关心包心肌炎合并心包积液属于罕见并发症。不同甲型流感血清型与心包心肌炎有关,Radovanovic等人进行的文献综述显示,多数心包心肌炎病例由甲型流感引起。本例患者PCR检测是一种多重核酸检测,旨在检测和识别鼻咽拭子中的多种呼吸道病毒核酸。该PCR检测了甲型流感、甲型流感H1、甲型流感H3、甲型流感H1N1/pdm09和乙型流感。本例患者仅对甲型流感检测呈阳性,根据说明书,甲型流感阳性表明亚型可能是H2N2、H5N3或H10N7。
甲型流感相关的心包心肌炎可能导致心源性休克、心包填塞或死亡。在一项文献综述中,在1951年至2021年期间,75例11至49岁患有甲型/乙型流感心包心肌炎或孤立性心包炎的患者中,58例最初表现为心动过速、低血压、胸痛和呼吸困难。文献综述还显示,在63.8%的心包心肌炎病例中,患者出现了心源性休克,伴或不伴心包填塞。虽然本例患者血压升高且缺乏典型胸痛症状,但她存在心动过速且呼吸困难,是不典型症状。此外,本例患者出现了心包积液,但尚未发展为心包填塞或心源性休克,可能是因为患者在症状恶化前及时返回急诊科就诊了。
在诊断方面,欧洲心脏病学会(ESC)指南提出,如果患者符合急性心包炎的诊断标准,并伴有肌钙蛋白等心肌损伤生物标志物升高,而TTE未显示新出现的左心室功能障碍,则可临床诊断为心包心肌炎。本例患者符合上述标准,且超声证实心包积液。
治疗策略采用抗炎(布洛芬+秋水仙碱)联合抗病毒(奥司他韦)。文献支持抗病毒治疗可缩短症状持续时间并降低心脏并发症风险。Ward等人的研究发现,奥司他韦治疗流感且有心脏病史的住院患者显著降低了复发性心血管事件(如心肌梗死、心绞痛、中风、心力衰竭和心源性猝死)的风险。值得注意的是,患者首次就诊时未及时使用抗病毒药物,可能为后续心脏并发症的诱因之一。
心包积液管理以病因治疗为主。本例积液未进展至心包填塞,经药物干预后吸收良好,提示早期识别和治疗的重要性。
结论
甲型流感相关心包心肌炎合并心包积液虽罕见,但可能进展为心包填塞或心源性休克,需高度警惕。早期抗病毒联合抗炎治疗是关键。未来需进一步研究此类患者的心源性休克风险分层及抗病毒治疗的预防价值。
重点词汇
Myopericarditis 心包心肌炎
Pericardial effusion 心包积液
Troponin 肌钙蛋白
Sinus tachycardia 窦性心动过速
Ejection fraction 射血分数
Oseltamivir 奥司他韦
Colchicine 秋水仙碱
· END ·

