严道新春福利:最新日本介入术者の安全秘籍『第一回』

扫码添加严道学习助手

回复关键词【新春福利】

一键解锁全文

PCI对冠心病的疗效和安全性已得到证实,日本每年约进行25万例PCI手术。然而,PCI过程中可能会发生各种并发症,有些甚至危及生命。尽管已提出多种处置流程来处理PCI期间的并发症,但术者在紧急情况下,也需有信心地处理每种并发症。应将包括特定技术在内的标准抢救方法明确为流程,并与其他术者共享。日本心血管介入与治疗协会(CVIT)工作组专门制定了关于PCI并发症抢救流程的专家共识文件。严道医声网组织专业人员对该共识文件进行了全文翻译,并对部分段落重新配以插图,利用春节假日分享给各位同道。




Clinical expert consensus document on bailout algorithms for complications in percutaneous coronary intervention from the Japanese Association of Cardiovascular Intervention and Therapeutics


日本心血管介入与治疗协会:

PCI 并发症处置流程专家共识


引言


日本每年约进行25万例 PCI手术。与冠脉旁路移植术相比,PCI的创伤更小,且适用于外科手术风险较高的患者。此外,药物洗脱支架的使用改善了长期通畅率,PCI的适应症也得以扩大。

然而,PCI过程中可能会发生各种并发症。由于部分并发症可能发展为危及生命的状况,因此,术前评估风险,并做好并发症预防至关重要。同时,早期发现并发症的征兆也很重要,这需要对患者情况(包括生命体征)进行全面了解。此外,术者应在导管室准备适当的抢救器械,并了解如何在处置流程中使用这些器械。但是,即使是经验丰富的术者,在面对突如其来的并发症时,也可能难以迅速展开有效抢救。因为未预料到的并发症可能会引发近乎恐慌的局面。而且,如果不考虑患者的生命体征而只是进行并发症补救性操作,可能会使情况恶化。

导管室内所有工作人员都需要了解并发症发生原理、患者现状和处置流程。尽管已有一些关于并发症流程的文献发表,但日本尚未发布全面的文件。本专家共识概述了每种并发症的流程,旨在为所有PCI术者和工作人员提供并发症处置的指导性文件。


概述


图1是并发症处理策略的一般流程图。当发生并发症时,重要的是要准确判断并发症的类型并评估患者的情况。血流动力学评估后应立即实施可行的操作。建议呼叫包括心脏病医生和心血管外科医生在内的支援力量。不仅要实施抢救流程,还应同时进行血流动力学支持,以防止脑组织损伤。导管室内所有工作人员应密切合作,同时展开多项操作,包括准备各种补救器械和机械支持设备、向患者家属解释情况,以及在重症监护室安排床位。建议在导管室内配备各种抢救器械,如弹簧圈、覆膜支架以及多种型号的延长导管和微导管。导管室内的所有工作人员都应了解这些器械的使用方法及其存放位置。

由于处置流程需要多学科协作,因此建议为每个导管室制定针对各种并发症的预案。通过模拟训练来培训所有工作人员可能会有所帮助。我们不应拘泥于介入补救。当手术补救优于介入补救时,应毫不犹豫地请外科医生进行手术。有时,最初判断可通过介入补救处理的轻微并发症可能会发展为致命并发症。在这种情况下,重要的是立即咨询外科医生进行手术补救。

应通过定期交流与心血管外科医生建立良好的关系,以便在紧急情况下能够有效协作。即使选择手术补救处理并发症,也通常需要进行一些介入操作,因为外科手术需要时间来准备。介入心脏病医生和心血管外科医生应作为心脏团队相互合作,为患者实现最有效的治疗。


图1 PCI并发症流程图


有时,包括心血管外科医生、心脏内科医生、临床工程师、放射科医生和护士在内的经验丰富的工作人员可能比术者更早地识别出并发症,并可能为处理并发症提供有效的帮助。此外,如果时间允许,通过电话咨询其他医院更有经验的医生(或医疗公司技术人员)来优化术者的抢救策略,可能也是有益的。

一旦发生并处置完成了严重并发症,应召集所有相关工作人员(如果可能,还包括第三方成员)举行病例讨论,回顾原因和过程,并预防未来再次发生。

无论治疗成功与否,都建议对出现并发症的病例进行学术交流。学术交流可以为所有工作人员提供一个讨论各种问题的平台。从并发症中吸取教训,并致力于改进预防措施,有利于增强团队凝聚力并利于患者救治。


第一回

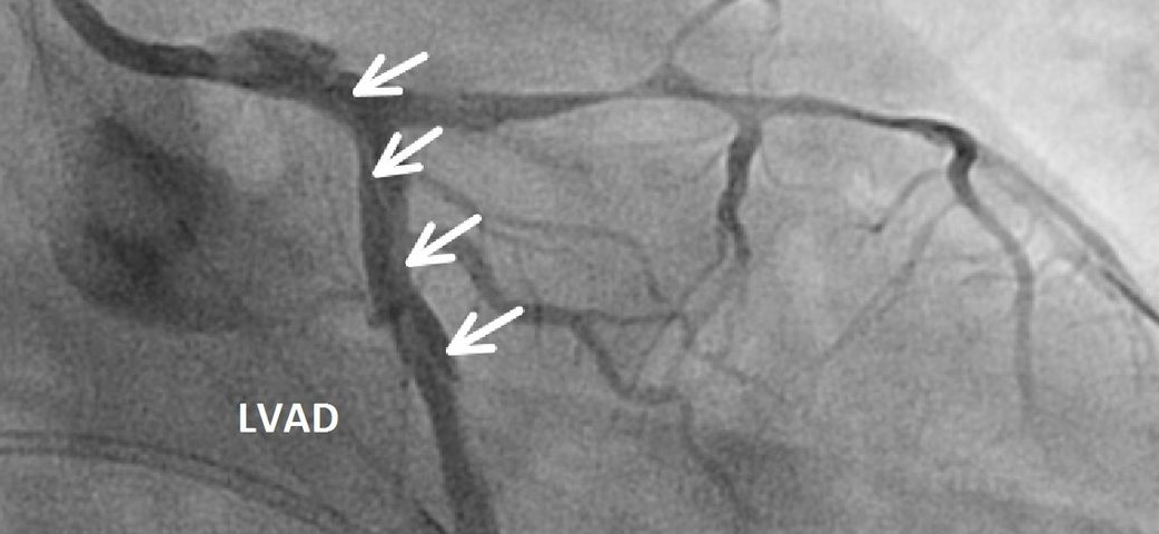
导管导致的严重冠脉夹层



1.[机制]


严重冠脉夹层是指夹层导致真腔血流减少,并引起致命性心肌缺血。无论是由造影导管还是指引导管引起,严重医源性冠脉夹层多数都是导管头端造成夹层开始的。夹层可以沿圆周和纵向扩展并压迫真腔,导致冠脉血流减少,随后发生心肌缺血。当导管头端嵌顿时,注射造影剂会使夹层进一步延展。



当导丝已经送入远端真腔时,冠脉夹层并不会立即致命,因为术者可以通过导丝送入球囊扩张真腔,确保真腔血流。然而,如果导丝没有置于远端真腔,由于难以确保真腔血流,夹层的扩展可能是致命的。即使导丝已置于远端真腔,如果由于严重狭窄或钙化,术者无法送入球囊扩张真腔,冠脉夹层也可能是致命的。


2.[发病率]


导管引起的严重冠脉夹层在右冠脉和左冠脉的发生率相似。Eshtehardi等人报告,在诊断性造影术中,左主干夹层的发生率为0.06%,在 PCI中为0.1%,其中42.1%的左主干夹层延伸至主要分支,2.6%的夹层向上延伸至升主动脉。两项回顾性研究报道,造影导管引起的医源性主动脉夹层发生率为0.006%~0.01%,而在PCI期间为0.098%~0.12%。



3.[处理]


3.1 处理原则


严重冠脉夹层的处理包括确保全身循环,尤其是脑血流和确保冠脉真腔血流。处理流程图如图2所示。理想情况下,应在循环崩溃前,在真腔内植入支架以确保血流。在这种情况下,很少需要进一步干预,临床结果大多良好。然而,很难估计从冠脉夹层发生到血流动力学崩溃的时间。同样,也很难估计术者将导丝推送到远端真腔所需的时间。此外,准备和送入机械支持装置需要多名工作人员和额外的时间。因此,很难决定是优先确保真腔血流,还是先启动机械支持装置。



如果指引导管已经就位,合理做法是调整指引导管头端方向,并在很短的时间内推送导丝。注意,如果不调整指引导管头端方向,导丝可能会进入假腔。然而,更换指引导管或进行IVUS引导下的导丝送入至少需要几分钟,因此,是否进行上述操作或优先送入机械支持装置,应根据上述操作的成功率预测和所需时间估计来决定。此外,如果严重冠脉夹层是由造影导管引起的,则应急操作将从更换动脉鞘开始(译者注:假设造影只用小鞘管如5F及以下的话),这将需要额外的时间。在这种情况下,应优先送入机械支持装置。对于机械支持装置的送入,应在穿刺部位消毒和股动脉鞘送入的同时进行机械支持装置的开机。如果工作人员数量足够,可以合理地将工作人员分为两组。一组准备和送入机械支持装置,另一组送入导丝以确保真腔血流。


图2  导管引起的严重冠脉夹层的处理流程图。


3.2 在机械支持装置下或血流动力学保持稳定时,应考虑采取以下步骤来确保真腔血流。

3.2.1 调整指引导管头端方向并选择不同形状的指引导管[推荐]

在指引导管引起夹层时,应调整指引导管的头端方向,并按照上述方法推送导丝。如果在调整指引导管头端方向后,导丝仍进入假腔,则建议更换为不同头端形状的指引导管。在造影导管引起夹层时,应在更换动脉鞘后选择形状不同于造影导管的指引导管。当夹层管腔扩大时,可能需要选择头端形状不同于最初选择的弯度的指引导管,例如具有更大弯度的指引导管。



当夹层管腔扩大时,改变导丝头端弯曲的形状,例如使导丝头端弯度大于常规弯度,可能有助于选择真腔。然而,这些操作并不能保证成功将导丝送入真腔。尽管做出了种种努力,但术者有时仍无法将导丝推送到真腔中。与推送到假腔时相比,当术者将导丝推送到真腔时,会感受到更小的阻力。然而,由于术者往往存在乐观偏见,可能会忽略假腔中的阻力,并继续将导丝推送到假腔远端,从而扩大假腔。当术者在操作导丝时感受到轻微阻力时,有必要仔细判断导丝是否确实位于真腔内。重要的是不要注射造影剂,而应使用IVUS来确认导丝是否位于真腔内。


3.2.2 IVUS指导[推荐]


当术者无法将导丝推送到假腔时,最佳选择是使用IVUS指导进行导丝操作。术者应通过植入在假腔中的导丝推送IVUS导管,并识别假腔的起点。然后,术者应确认在假腔起点处残余真腔的位置。术者可以利用侧支方向、IVUS导管在近端真腔和指引导管内的位置以及导丝和IVUS导管的相对位置等信息,在透视下识别残余真腔的位置和方向。然后,术者就能在 IVUS指导下进行高效的导丝操作,以快速进入真腔。尽管OCT指导下的 PCI近年来有所增加,但在夹层情况下OCT是禁忌的。OCT成像需要冲洗清除血液,这会导致假腔扩大。即使OCT器械已经置于手术台上,在严重冠脉夹层时也应准备IVUS导管。



3.2.3 主要侧支导丝操作


如果夹层发生在主要侧支附近,则应确保这些主要侧支的安全。然而,由于冠脉解剖结构复杂,尤其是在夹层入口位于主要侧支分叉近端时,确保侧支的安全有时会很困难。确保主支血管的真腔最为重要。因此,术者不应花费过多时间进行侧支导丝操作。如果使用IVUS确认主支血管中的导丝位于真腔内,则使用双腔微导管进行侧支导丝操作是安全的。


3.2.4 注射造影剂[禁忌]


在严重冠脉夹层时,禁止注射造影剂,因为这会扩大夹层管腔并使真腔导丝操作更加困难。术者应使用IVUS,尽量避免注射造影剂。仅当确实必要时,才使用最小量的造影剂。需知晓,当指引导管头端嵌顿时,注射造影剂可能导致夹层扩展,甚至可能逆行扩展到升主动脉;因此,造影剂注射是绝对禁忌的。



3.3 当导丝操作技术无法找回血管真腔时,应考虑以下方案:


3.3.1 假腔knuckle导丝


当术者尽所有努力仍无法将导丝推送至真腔时,一种可选方案是将knuckle导丝推送至假腔中,尝试在冠脉的中部或远端与真腔相通,这将在冠脉的中部或远端形成再入真腔点。形成再入真腔点可能会降低夹层假腔内的压力,增加真腔血流,改善血流动力学和症状,并可能为术者执行后续操作提供更多时间。



根据本小组一名成员的经验,从与真腔相通而不损伤外膜的角度来看,光滑的中等硬度导丝可能更为理想,而使用假腔knuckle导丝的大多数经验则来自CTO PCI,而非严重冠脉夹层。然而,由于这种方法术者无法控制再入的位置,因此存在假腔扩大的风险。此外,如果knuckle导丝进入侧支,则存在冠脉破裂的风险。当术者尝试在假腔中使用knuckle导丝时,重要的是要确认导丝推送至主支血管而非侧支。此外,重要的是不要强行推送knuckle导丝。


3.3.2 正向夹层再入真腔技术(ADR)


当术者尽所有努力仍无法将导丝推送至真腔时, ADR可能是一种选择。在ADR中,术者在IVUS指导或使用专用器械时,将导丝从假腔推送至真腔。ADR操作较为复杂,使用硬导丝进行再入操作会增加冠脉穿孔风险。



3.3.3 未使用IVUS或专用器械而使用穿透导丝[禁忌]


除非以IVUS指导或使用专用器械,否则以CTO PCI中使用的穿刺型硬导丝穿入真腔的做法是禁忌的,因为这样做会导致冠脉穿孔风险增高,且导丝穿入真腔的成功率较低。


3.3.4 假腔内球囊扩张[禁忌]


在假腔中的使用球囊扩张无法使导丝再入真腔,反而会使假腔扩大,就像CTO PCI在内膜下空间进行球囊扩张一样。由于存在更大的冠脉破裂风险,因此禁忌使用过大直径的球囊或切割球囊。


3.4 外科手术


如果真腔送入导丝或真腔内支架植入不成功,则应选择开胸手术。发生严重冠脉夹层时,重要的是立即与心脏外科团队沟通。应在患者出现不可逆严重后果之前进行包括外科手术治疗在内的多学科治疗。


4.[经验]


本小组的一名成员曾遇到过冠脉夹层延伸至升主动脉和主动脉瓣的情况,在与心脏外科医生讨论这一病例时,我们了解到,主动脉夹层手术中最重要的关键是闭合夹层入口。换句话说,当冠脉夹层延伸至主动脉时,必须在冠脉内闭合夹层管腔,这应通过PCI而非手术治疗来实现。同一成员还经历了两种情况:一种是用覆膜支架闭合夹层管腔后效果良好,另一种是因犹豫是否植入覆膜支架而导致效果不佳。当对冠脉夹层延伸至主动脉的患者进行包括心脏手术在内的多学科治疗时,重要的是在与心脏外科医生讨论冠脉内夹层管腔的闭合后,找寻最佳治疗方案。


未完待续,明日更精彩

敬请锁定!


阅读数: 3784