
近日,江西省人民医院赖珩莉教授带领蔡新勇教授、朱虹岷博士等团队成员,与超声科顾平教授、麻醉科周涛教授通力合作,应用中国首款国产球扩瓣系统RENATUS®经导管主动脉瓣系统成功为一名67岁老年女性,升主动脉增宽;主动脉瓣功能性二叶瓣(Type1型)并退行性变;主动脉瓣重度狭窄的患者开展了经导管主动脉瓣置换术(TAVR)。术者团队积极组织多学科讨论,充分评估患者病情后,计划行经右侧股动脉入路TAVR,术中术者凭借精湛的专业技术和默契的配合,以19mm球囊预扩排除冠脉风险后,可调弯输送器顺利完成瓣膜的输送及定位,最终5atm精准释放21#Renatus瓣膜,术后造影显示瓣膜位置满意,形态良好,无瓣口反流无瓣周漏,血管入路造影检查未见损伤,外周入路成功闭合,患者生命体征稳定,血流动力学表现即刻得到改善,手术取得圆满成功!展现了团队在处理复杂高危心脏瓣膜疾病方面的领先技术和丰富经验,也为江西省乃至周边地区的心血管病诊治水平的提升做出了重要贡献。

患者基础信息
患者老年女性,67岁。因发作性晕厥2次,再发胸痛9月,加重1周入院。完善心脏彩超提示主动脉瓣功能性二叶瓣(Type1型)并退行性病变、回声增强,钙化,延伸至左室流出道,开放受限,主瓣口峰值流速4.3m/s,平均跨瓣压差49mmHg,积分法测主动脉瓣口面积0.67cm²。
超声诊断为左房增大,室间隔增厚,升主动脉增宽;主动脉瓣功能性二叶瓣(Type1型)并退行性变,主动脉瓣重度狭窄;二、三尖瓣少量反流、肺动脉压稍高;左室舒张功能下降。
术前CT评估
患者Type1 二叶瓣,右无融合,融合嵴钙化,钙化主要分布瓣叶缘和融合嵴处,无冠窦底钙化向下延伸至流出道4mm处。Annulus面积398mm²,LVOT面积400mm²,SOV 27.6-30.9mm,STJ高度21.3mm,内径29-32.7mm,瓣环角度62°,升主动脉扩张,左冠高度14.9mm,左冠瓣叶长度15.7mm,右冠高度15.8mm,右冠瓣叶长度9.2mm,模拟植入21#瓣膜VTC LCA 2.4mm,右侧髂内分叉处可见钙化,右侧髂外动脉最细为6.1mm,左侧髂外动脉最细为6.1mm,外周入路尚可。

瓣环:Annulus Dimensions - Area:398.2 mm² ;左室流出道(瓣下3mm)Area:400.5 mm²

窦宽:Distance L:30.9mm Distance R:27.6mm Distance N: 28.2mm

窦管交界:Area: 774.3mm² 、Mean Diameter:30.8mm;升主:Area: 1434.5mm²;Mean Diameter:42.7mm

850阈值下钙化积分为267mm³,钙化主要分布瓣叶缘和融合嵴,无冠窦底钙化向下延伸至流出道4mm。

释放体位 RAO 1° Cra 7° ;左冠切线 LAO 18° Cra 26°

左冠高度:High: 14.9mm

右冠高度:High: 15.8mm

左冠高度14.9mm,左冠瓣叶长度15.7mm,右冠高度15.8mm,右冠瓣叶长度9.2mm,模拟植入21#瓣膜VTC LCA 2.4mm
使用Supra annulus画圆法评估21# RENATUS瓣膜植入情况:




右侧髂内分叉处可见钙化,右侧髂外动脉最细为6.1mm,左侧髂外动脉最细为6.1mm,入路尚可。考虑右侧股动脉为主入路。
手术过程
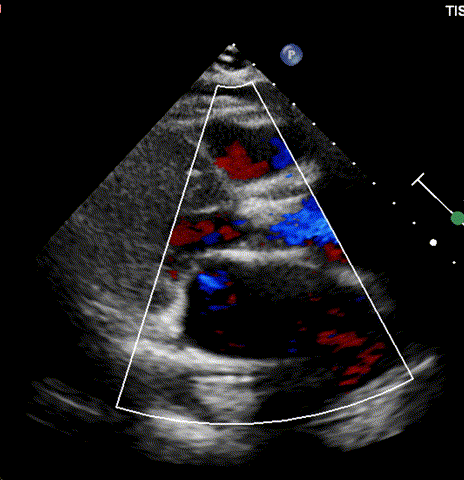
通过术前精准评估,患者在全麻下行TAVR手术,DSA和食道超声双重引导,通过右侧股动脉建立工作路径,沿加硬导丝送入19mm*40mm球囊预扩张主动脉瓣,预扩张过程患者生命体征平稳,退出预扩张球囊后,利用可调弯输送器送入21# RENATUS瓣膜至升主动脉,猪尾巴导管再次造影确认位置。将21# RENATUS瓣膜顺利跨瓣,精准定位,精确释放,退出输送系统再次行主动脉根部造影,示瓣膜膨胀充分,无瓣口反流,无瓣周漏,冠脉血流正常,再次测主动脉根部压力及左心室压力,术后即刻平均跨瓣压差降至5mmHg,超声示术后峰值流速降至1.75m/s。瓣膜释放位置理想、形态及功能良好,瓣叶启闭良好,无外周血管损伤。

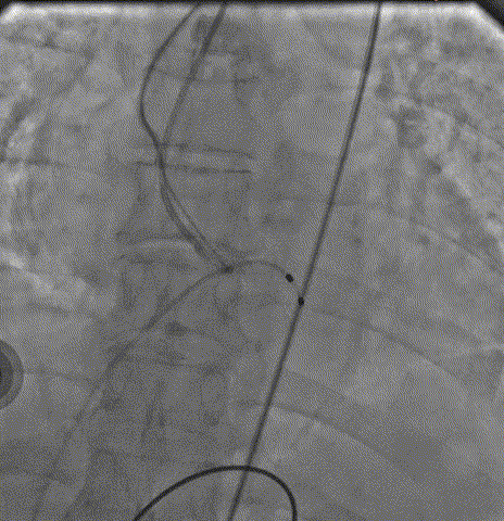
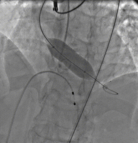
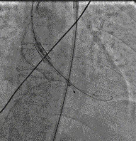
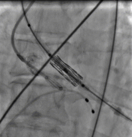
术中影像


导丝顺利跨瓣
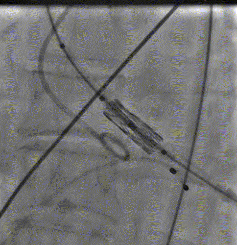
19mm球囊预扩排除冠脉风险


瓣膜输送跨瓣
瓣膜定位后


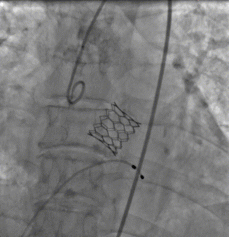
快速起搏下5atm精准球扩释放21#Renatus瓣膜
释放后造影示瓣膜位置理想,形态良好

超声评估
结语
此例手术为赖珩莉教授、蔡新勇教授团队主导的江西省人民医院首例,也是江西省首例应用中国首款国产球扩瓣系统RENATUS®经导管主动脉瓣系统进行的TAVR手术,该患者高危高龄,主瓣重度狭窄并轻度关闭不全,二、三尖瓣少量反流,左房增大,室间隔增厚,左室舒张功能下降,心功能LVEF57%,随着狭窄进展将可能面临心室功能进一步恶化、循环崩溃、恶性心律失常等巨大风险;患者升主动脉扩张,无冠窦底钙化向下延伸至流出道4mm处,左冠高度14.9mm,左冠瓣叶长度15.7mm,模拟植入21#瓣膜VTC LCA 2.4mm(冠脉高危),这对手术团队、人工瓣膜及输送系统提出了极大挑战,亦对TAVR术中操作和瓣膜释放提出了更高要求,江西省人民医院赖珩莉教授、蔡新勇教授团队凭借术前详尽精准的评估,术中精湛的专业技术和默契的团队配合,同时得益于RENATUS®经导管主动脉瓣系统输送器可调弯操作;瓣膜支架高径向支撑力,以及支架短缩更少的优势,术中瓣膜轻松过弓跨瓣,同轴精准定位,成功释放,取得了良好的手术效果,充分验证了RENATUS®经导管主动脉瓣系统临床操作表现优异,顺滑过弓、灵活操控、精准释放的特点,极大提高了手术成功率,临床表现得到国内众多心脏专家的广泛认可,为瓣膜病患者提供了“心”选择,为复杂心脏瓣膜疾病患者带来了“心”希望。