

黄智伟 中国医学科学院阜外医院深圳医院
简要病史
男性,72岁。
发作性胸痛2月余。
既往高血压病10年,高脂血症6年,否认吸烟。
2023年3月多余劳累时出现胸痛,呈闷痛,休息后缓解,外院CCTA提示左主干重度狭窄伴钙化和前降支近段重度狭窄伴钙化,来诊。
无冠心病家族史。
检查结果

未发病时心电图
血常规:WBC7.5*109/L,Hb145g/L,PLT156*109/L。
肝功能、肾功能:未见异常。
血脂:CHOL4.7 mmol/L,TG1.25 mmol/L ,LDL3.73 mmol/L。
超声心动图:LV43 mm EF 65%,心脏结构和功能未见异常。
临床诊断
冠状动脉粥样硬化性心脏病
劳力型心绞痛
高血压病
高脂血症
临床用药
拜阿司匹林 100mg qd po
波立维 75mg qd po
阿托伐他汀 20mg qd po
欣康 20mg bid po
比索洛尔 5mg qd po
冠脉造影

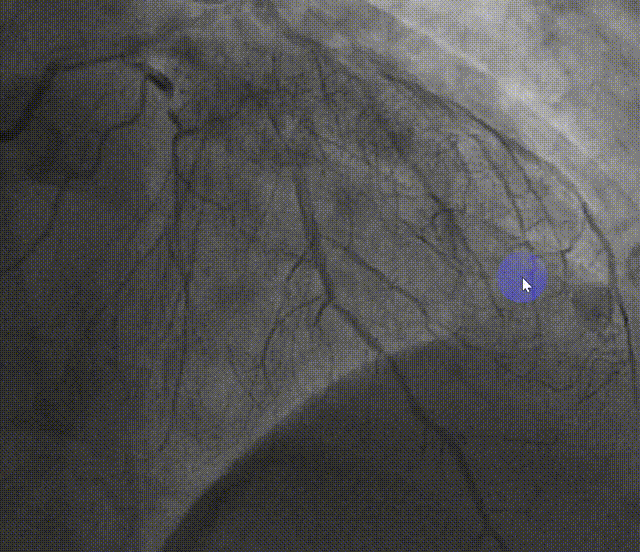
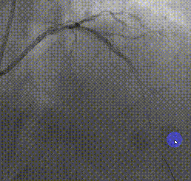
右头位造影提示LM、LAD重度狭窄伴钙化

足位造影LM、LAD重度狭窄

蜘蛛位造影提示LM、LAD重度狭窄伴钙化

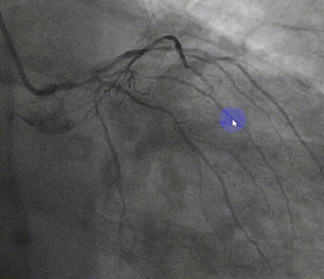
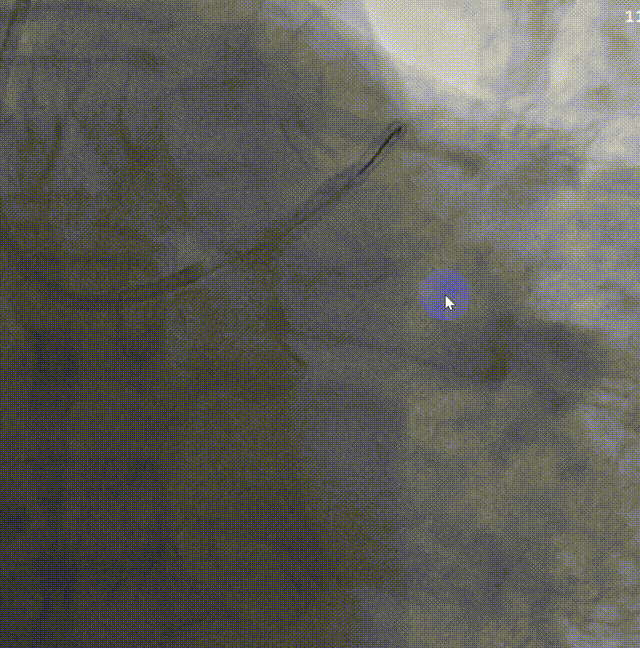
右冠造影提示原支架通畅,近段支架内内膜增生
介入经过
手术策略和器械选择
患者高龄,左主干、前降支重度狭窄伴钙化,建议首选冠状动脉旁路移植手术,患者及家属拒绝,要求行介入治疗。患者病变复杂,高危,拟选强支撑指引导管EBU3.5, 备振波球囊、旋磨和延长导管。

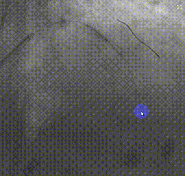
两根工作导丝分别送至LAD和LCX处,使用1.5x15mm和2.5x15mm预扩球囊预扩

于LAD中段置入2.5x26mm支架

3.0x15mmNC球囊高压扩张后LM-LAD支架仍不能通过。

在球囊辅助下,Telescope™延长导管送至LAD中段支架内,LM-LAD支架通过病变

LM-LAD支架释放

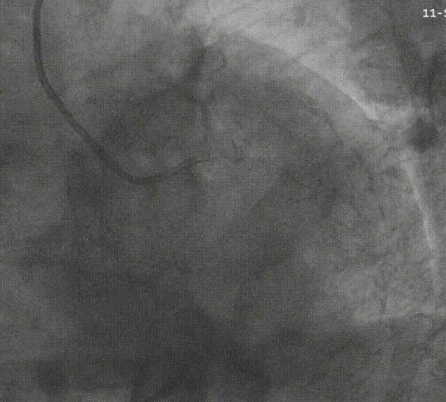
LM-LAD支架释放后造影
经验体会及总结
在迂曲钙化病变中,常常遇到支架不能通过的情况,如果强送推送支架,可能造成支架脱载。在医疗器械日新月异的时代,Telescope™脱颖而出。通过延长导管送至病变远端,然后再送支架,问题往往迎刃而解。
在Telescope™前送至病变远端过程中,如果血管纤细迂曲,需要球囊锚定辅助下才能送至病变远端。
Telescope™经验体会及总结
Telescope™在输送支架的过程中更流畅,没有遇到在其他品牌延长导管中段会有嵌顿的那种感觉。在前送Telescope™通过病变时,可以先尝试支架和Telescope™一起往前推送,如果阻力特别大时,需要球囊锚定辅助下,先将Telescope™送至病变近段或者远端,然后再送支架。
专家介绍
- 黄智伟 -
中国医学科学院阜外医院深圳医院
医学博士,副主任医师,心血管内科专业,毕业于北京协和医学院,毕业后工作于中国医学科学院阜外医院深圳医院、国家心血管病中心,致力于心血管疾病的诊断和治疗。

长按二维码关注“一脉同行”
