
近日,南昌大学第一附属医院彭小平教授率领心脏瓣膜介入团队接连应用Myval™瓣膜,为两位高龄、病情复杂的主动脉瓣重度狭窄患者成功实施TAVR手术。其中,病例二存在Type 1型二叶瓣,解剖结构复杂,手术过程中需要克服瓣叶增厚、钙化明显等多重挑战。手术团队在术前精准评估冠脉风险,凭借严密的术中操作,顺利为两位患者植入瓣膜,显著改善跨瓣压差,取得理想的介入治疗效果。Myval™经导管心脏瓣膜系统具有简化手术流程,可供选择的尺寸规格更多等特点,在处理各种复杂病例,以及患者全生命周期管理方面展现了独特的优势。

病例一
高龄、合并多重并发症
患者为79岁女性,主诉“阵发晕厥一次,伴胸痛两天”。超声显示主动脉瓣瓣叶数显示不清,似呈三叶,明显增厚,钙化粘连,开放明显受限,估测瓣口面积0.6cm²。主动脉瓣前向血流加快,平均跨瓣压差48mmHg。
超声提示:主动脉瓣重度狭窄并少量反流;二尖瓣、三尖瓣中量反流;肺动脉轻度高压,肺动脉增宽;双房大。
入院诊断:主动脉瓣重度狭窄;心力衰竭;脑梗死个人史;2型糖尿病;轻度贫血;肾功能不全;肺动脉高压。
CT分析


主动脉瓣呈三叶瓣,收缩期瓣环:299.8mm²;收缩期流出道:290.9mm²;
法式窦空间小;STJ高度17.4mm,均径26.4mm;升主动脉40mm处均径36.1mm;心脏角度52°;




LCA:10.4mm;RCA:13.2mm;窦部空间小,右冠风险不排除;


瓣叶增厚,轻度钙化,分布在瓣缘和窦底;


对合缘对齐(Commisure Alignment)角度为 83°;室间隔膜部长3.6mm;

使用20mm瓣膜进行术前模拟并评估冠脉遮挡风险;

外周入路血管条件,主动脉弓、降主动脉及腹主动脉部分部位存在钙化。



手术策略
麻醉方式:全麻;
主/辅入路:穿刺右侧股动脉预置缝合器为主入路(Myval™ 14F血管鞘),左侧股动脉为辅入路;
起搏器入路:右侧颈内静脉植入临时起搏器;
器械选择:考虑选择短瓣架的球扩瓣,降低冠脉阻挡风险;尺寸方面:建议Annulus Sizing;瓣上多平面情况分析,不进行预扩,选择Myval™ 20mm主动脉瓣膜加容积放置,同时备有21.5mm瓣膜;
释放位置:85%-15%或者90%-10%。
手术过程

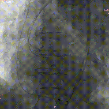
患者取平卧位,常规消毒铺巾,穿刺右侧颈内静脉,置入临时起搏器;穿刺左股动脉置入6F鞘,沿鞘管送入猪尾导管,然后再穿刺右股动脉预置两把Proglid血管缝合器,然后置入14F鞘管;主动脉根部造影显示主动脉瓣钙化粘连,开放严重受限;直泥鳅钢丝跨瓣导丝到左室,左心室及升主动脉测压,峰值跨瓣压差高达127mmHg;

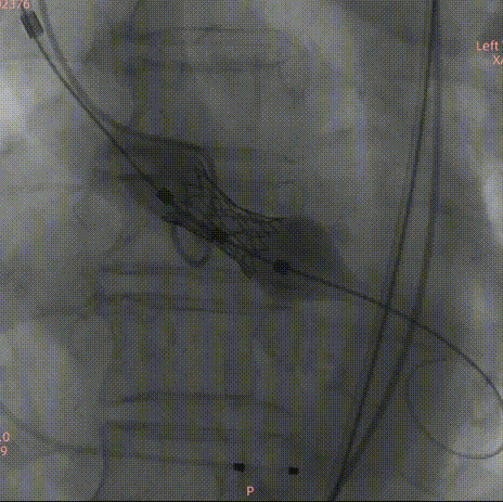
交换为预塑性的加硬钢丝至左心室,然后送入预装有Myval™ 20mm瓣膜的输送系统,成功完成跨瓣操作到达主动脉根部,调整瓣膜深度;


参考术前CT测量值,调整瓣膜至释放前最佳高度,缓慢释放近1/3长度时复查主动脉根部造影,确认瓣膜高度适合,临时起搏180次/分,以80:20比例13mL快速释放瓣膜至瓣膜工作区完全打开,于标准位置释放瓣膜;

复查造影提示瓣膜固定良好,形态可,仅少量反流;复查超声提示瓣膜功能正常,平均跨瓣压差下降为11mmHg,未见明显瓣周漏;最后退出鞘管,缝合血管。

病例二
Type 1型二叶瓣、复杂解剖
患者为70岁男性,主诉“咳嗽伴活动后气促一月”。超声显示主动脉瓣呈三叶,左冠瓣与右冠瓣融合呈一大瓣,与无冠瓣呈前后排列,瓣叶增厚,钙化明显,开放明显受限,关闭欠佳;主动脉瓣前向血流加快,平均跨瓣压差41mmHg;升主动脉增宽。
超声提示:主动脉瓣功能性二瓣化畸形,主动脉瓣重度狭窄并轻-中度关闭不全;三尖瓣少量反流;升主动脉增宽。
入院诊断:主动脉瓣狭窄。
CT分析
Type1 型二叶瓣,左右融合;收缩期瓣环:509.7mm²;收缩期流出道:516.0mm²;

法式窦空间大;STJ高度21.5mm,均径32.9mm;升主动脉增宽,40mm处均径42.0mm,最宽处约45.5mm;心脏角度53°;



LCA:16.3mm;RCA:14.4mm,法式窦空间大,考虑冠脉风险低;

瓣叶增厚,轻度钙化;

对合缘对齐(Commisure Alignment)角度为108°;室间隔膜部长2.2mm;


使用26mm瓣膜进行术前模拟;

双侧股动脉血管走形稍迂曲,未见明显钙化,双侧均为低分叉;髂总动脉—降主动脉走形平直,未见明显钙化;主动脉弓部走行相对顺滑。




手术策略
麻醉方式:全麻;
主/辅入路:穿刺右侧股动脉预置缝合器为主入路(Myval™ 14F血管鞘),左侧股动脉为辅入路;
起搏器入路:右侧颈内静脉植入临时起搏器;
器械选择:考虑选择短瓣架的球扩瓣,方便未来冠脉介入及瓣膜再介入。尺寸方面:瓣上结构左右融合Type 1型,轻度钙化,建议Annulus Sizing 5~10%oversize。瓣上多平面情况分析,考虑不进行预扩,首选Myval™ 26mm主动脉瓣膜加容积放置,同时备有27.5mm瓣膜;
释放位置:85%-15%或者90%-10%。
手术过程

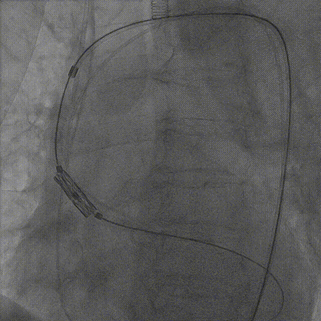
患者取平卧位,常规消毒铺巾,穿刺右侧颈内静脉,置入临时起搏器。主动脉根部造影显示主动脉瓣重度狭窄,钙化明显,开放明显受限,直头导丝跨瓣到左室,左心室及升主动脉测压,峰值跨瓣压差达105mmHg;

交换超硬导丝至左心室,经右股动脉送入预装有Myval™ 26mm瓣膜的输送系统,成功完成跨瓣操作到达主动脉根部,调整释放深度;

参考术前CT测量值,调整瓣膜至释放前最佳高度,缓慢释放近1/3长度时复查主动脉根部造影,确认瓣膜高度适合,临时起搏180次/分,以80:20比例23±1mL快速释放瓣膜至瓣膜工作区完全打开,于标准位置释放瓣膜;

复查造影提示瓣膜固定良好,形态尚可,未见明显反流;复查超声提示瓣膜功能正常,平均跨瓣压差下降至5.01mmHg,未见明显瓣周漏;最后退出鞘管,缝合血管。



术后总结
主动脉瓣狭窄是一种常见的心脏瓣膜疾病,主要表现为心脏的主动脉瓣口面积减小,导致心脏泵血受阻,进而引发心力衰竭、心绞痛、晕厥等一系列严重症状,严重威胁患者的生命健康。面对两例患者高龄、合并多重并发症的复杂病情,以及Type 1型二叶瓣带来的解剖挑战,手术团队通过谨慎细致的术中观察和操作,成功克服重重困难。两台手术的圆满完成,充分彰显了团队对创新介入器械与技术不懈探索与追求。
Myval™经导管心脏瓣膜系统在两台手术中发挥了重要作用。其优势的短瓣架结构设计,有效降低了冠脉阻挡风险。同时,Myval™拥有更多可供选择的尺寸规格,能够满足不同患者的个性化需求,确保实现理想的治疗效果。本次两例高难度TAVR的成功实施,再次展现出南昌大学第一附属医院心脏瓣膜团队卓越的技术实力与创新能力。未来,团队将继续在临床实践中探索创新,进一步优化手术方案,为更多高危心脏病患者提供更安全、更有效的治疗选择。