
在大连医科大学附属第一医院夏云龙院长、心力衰竭中心主任姜一农教授的支持下,郭然教授带领结构性心脏病团队在麻醉科、心脏超声科、导管室等多学科团队的默契配合下,成功应用国产创新利器DragonFly™经导管二尖瓣夹系统,为一名高危且罹患重度二尖瓣反流患者实施经导管二尖瓣缘对缘修复术(TEER)。以微创、精准的方式,有效攻克了患者长期面临的复杂心脏瓣膜问题,展现了团队在高端结构心介入治疗领域的卓越实力。

患者重度(4+)二尖瓣反流、并伴有P2区瓣叶脱垂及部分腱索断裂、且外科治疗风险极高,术中团队借助DragonFly™系统的高精度操控特点,精准解决了患者瓣叶脱垂问题,并仅凭一枚XW0612长宽二尖瓣夹即圆满完成手术。术后患者二尖瓣反流显著降低至微量,治疗效果满意。此次,TEER手术的成功,是大医一院结构性心脏病团队在二尖瓣微创介入治疗领域新的突破,将为更多瓣膜病患者提供一种更安全有效、更微创的治疗手段,从而解除病痛,改善预后。

郭然教授
大连医科大学附属第一医院
郭然教授表示:“TEER技术正不断拓展其应用范围,特别是在治疗外科高危且二尖瓣脱垂严重的病例中,钳夹技术以其创伤小、恢复迅速的独特优势,展现出了显著的治疗潜力。随着国产DragonFly™等创新器械的性能不断精进,更加贴合中国患者的解剖特征,为患者带来了实质性的治疗效益与长期的预后改善。
我们团队致力于将前沿的医疗技术与产品引入临床实践,通过卓越的医术与优质服务,确保患者能够受益于这些安全、有效且创新的治疗方案。未来,我们将继续深化技术引进与创新探索,为患者提供更多元化、更优质的诊疗选择。”
病例简介
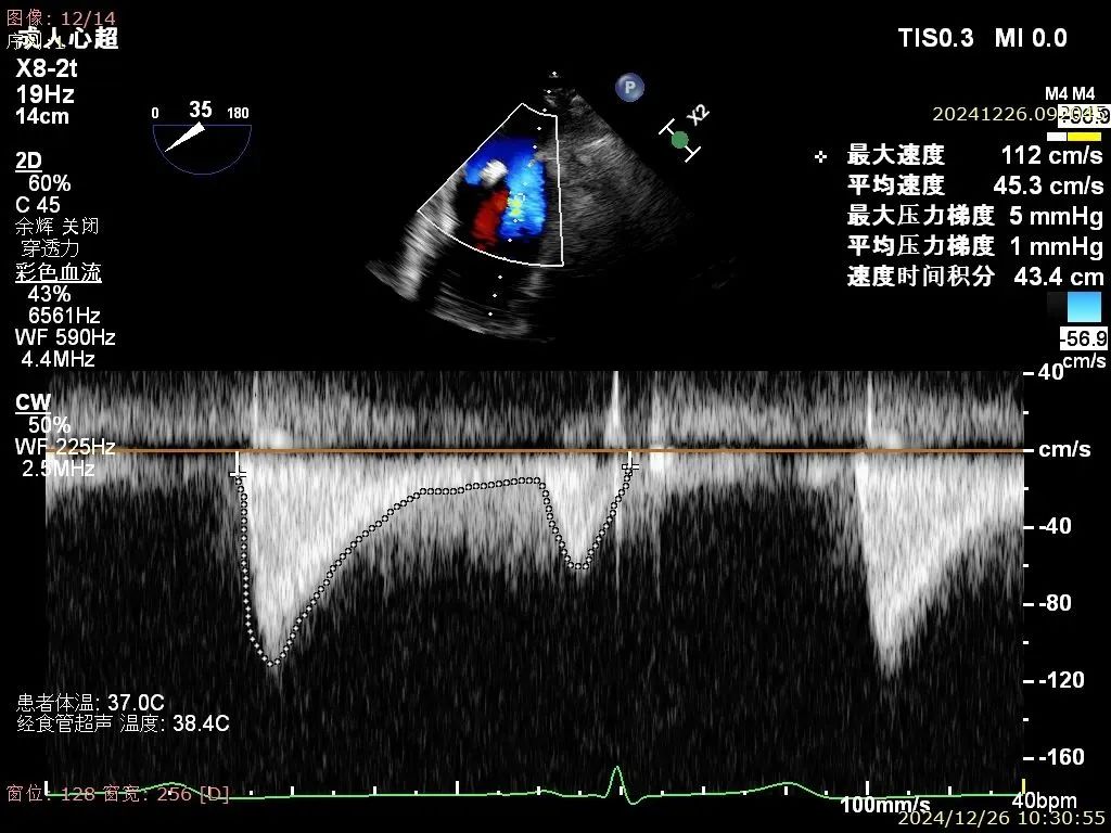
患者为68岁男性,3月前出现气短,活动后明显,休息可缓解,无明显胸痛,无夜间呼吸困难,就诊当地医院考虑“肺炎、心衰”,给予对症治疗好转,具体不详,无明显发热,无咳嗽咳痰,出院后未规律服药。10天前,气短再发,就诊当地医院心脏彩超提示二尖瓣后叶腱索断裂,二尖瓣关闭不全伴重度反流。左心增大,室间隔增厚,肺动脉高压,三尖瓣轻度反流,主动脉瓣中度反流。心电图提示房颤,左室肥大。为进一步诊治入院。经食道超声提示:患者二尖瓣后叶脱垂伴腱索断裂,前叶2.6cm,后叶1.4cm,脱垂宽度16mm,脱垂高度8mm,瓣口面积6.0cm²。
手术难点
1. 患者脱垂宽度较宽,如一枚瓣膜夹无法全部解决脱垂问题,可能需要双夹策略;
2. 脱垂高度较高,术中断裂腱索缠绕瓣膜夹风险较高。
对应策略
脱垂宽度较宽且高,郭然主任和李世国主任以及段福建主任商议后决定先使用一枚XW0612长宽二尖瓣夹,尽可能多的捕获脱垂瓣叶,争取一枚二尖瓣夹解决脱垂问题,同时可在准备器械时提前调整角度,减少术中二尖瓣夹的操作以降低腱索缠绕的风险
术前影像


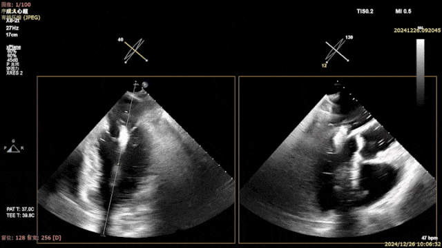
术中导引鞘和二尖瓣夹植入


Trajectory & Orientation


Gripper Down

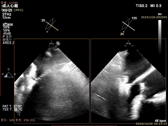
关闭二尖瓣夹

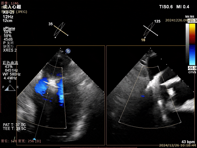
二尖瓣夹释放后评估



二尖瓣反流(mitral regurgitation,MR)是我国常见的心脏瓣膜病,研究报道目前我国需要治疗的MR患者约为750万。既往外科手术是除药物治疗外MR的主要治疗方法,然而接受外科手术治疗的比率即使在美国也仅有2%。TEER术式因创伤小 、恢复快的特点,成为了治疗MR的一种新选择 。TEER借鉴外科缘对缘二尖瓣修复术,采用二尖瓣夹合装置,经股静脉途径, 在经食道超声心动图及X线造影机引导下夹住二尖瓣反流区的前、后瓣叶并使之接合,使收缩期二尖瓣瓣叶的间隙减少或消失,而舒张期瓣口由大的单孔变成小的双孔或多孔,从而减少MR 。在国际上,TEER已成为目前证据最多的MR介入技术并已得到广泛应用 。在我国,该项技术虽然起步较晚,但发展迅速。目前TEER在中国的实际应用安全性和有性均值得肯定。
大连医科大学附属第一医院心血管病医院结构性心脏病团队由心血管内科、心血管外科、麻醉科、心脏重症科、心脏影像科等多学科整合而成,是东三省最大的瓣膜病基地之一。现已成熟开展所有瓣膜开胸及部分瓣膜的不开胸微创介入手术。内外科密切合作,一站式会诊制度,精湛的技术,踏实的作风,敢挑战,勇担当的精神,至善至仁的信念,是团队一贯坚持的理念与特色。性命相托,我们必将全力以赴!

扫码进入德晋医疗学术专栏