
近日,中山大学孙逸仙纪念医院郑俊猛教授率领团队成功应用介入人工生物心脏瓣膜完成一例高难度经心尖二尖瓣瓣中瓣(TMVR VIV)联合瓣周漏(PVL)封堵一站式手术。患者为高龄男性,七年前行二尖瓣、三尖瓣置换术,现二尖瓣生物瓣中-重度狭窄伴中度瓣周漏、轻度反流,三尖瓣生物瓣钙化伴中度瓣周漏、轻度反流。面对该患者的复杂情况,综合评估后,决定行经心尖二尖瓣瓣中瓣置换术,拟植入27mm瓣膜,同期行二尖瓣瓣周漏封堵术,一站式解决二尖瓣瓣膜衰败及瓣周漏问题。术中患者右心房体积较大,常规的临时起搏器无法放置到合适的位置,术者采用心脏表面临时起搏,确保手术过程中的稳定性和安全性。经过团队谨慎操作,紧密配合,成功释放人工瓣膜和封堵器,术后超声示无瓣周漏等并发症,原瓣周漏消失,患者症状明显缓解,手术顺利完成。
病例资料
高龄男性患者,主诉:瓣膜置换术后七年,胸闷气促两年,加重两月。
七年前于外院全麻下行二尖瓣置换术+三尖瓣置换术,术后第二天再次行开胸止血术,术后服用华法林。2022年-2023年多次因“胃出血、口腔出血、败血症”等出血情况停止服用华法林,2023年因“胆囊出血”行胆囊切除。
既往史:数十余年前因“车祸”行脾切除;“高血压”病史、规律用药。
心脏超声示:二尖瓣位生物瓣置换术后 考虑生物瓣中-重度狭窄、中度瓣周漏及轻度反流;三尖瓣位生物瓣置换术后 生物瓣钙化、中度瓣周漏及轻度反流;右房内所见异常回声,考虑附壁血栓可能;心脏扩大(左房+右房) 肺动脉高压可能;主动脉硬化并瓣膜轻度反流;主肺动脉扩张并肺动脉瓣轻度反流;左室收缩功能正常,右室收缩功能指数明显降低。

升主动脉管壁回声增强;主肺动脉增宽。二尖瓣位生物瓣瓣架固定,瓣叶增厚、回声增强,局部粘连,致瓣叶开放受限(PHT法测有效瓣口面积约0.9-1.1cm²)、关闭欠佳,瓣叶与内侧瓣架见探及缝隙约3-4mm。三尖瓣位生物瓣瓣架固定,瓣尖增厚、回声增强,稀叶启闭尚可,瓣叶与内侧、外侧瓣架分别探及缝隙约3mm、1mm。主动脉瓣关闭欠佳:余瓣膜形态、结构未见明显异常。
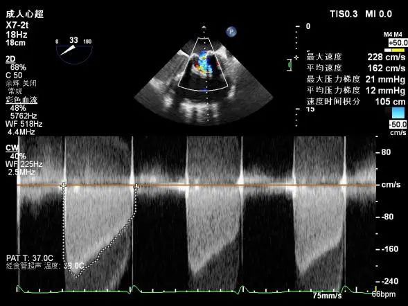
二尖瓣位生物瓣舒张期峰值流速加快,平均跨瓣压差约9-11mmHg,探及瓣周漏(主要源于内侧瓣架)及瓣中反流。三尖瓣位生物瓣舒张期峰值流速大致正常(约1.52m/s),探及瓣周漏(主要源于内侧瓣架)及瓣中反流。探及主动脉瓣及肺动脉瓣反流束。估测PASP约46mmHg(可能低估)。
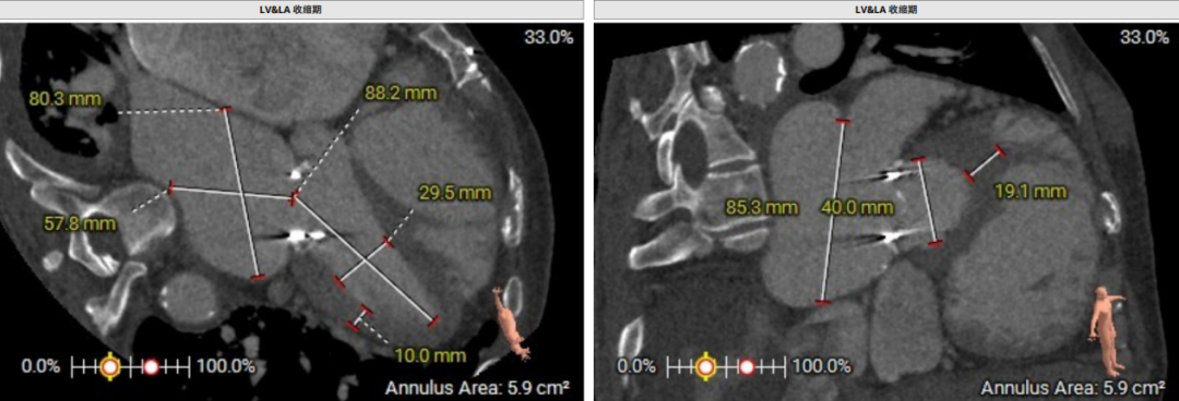
术前CT评估示:患者二尖瓣生物瓣置换术后,原生物瓣型号未知,生物瓣金属环平均内径25.9mm,外径31.5mm,瓣架高度15.9mm;


左心室和二尖瓣轴线角度:135°;

左室大小:95.3*36.5*34.2mm;



模拟27mm瓣膜植入情况:

主动脉-二尖瓣角度:102.3°;



术中建议造影角度:RAO 58°/CRA 44°;RAO 49°/CRA 62°。



手术策略
患者二尖瓣、三尖瓣置换术后,现二尖瓣生物瓣中-重度狭窄、中度瓣周漏及轻度反流,同时合并主动脉及三尖瓣病变,高血压等多种疾病,既往出血病史,属于外科手术高危人群。经郑俊猛教授团队综合评估后,拟行经心尖二尖瓣瓣中瓣置换术,同期行二尖瓣瓣周漏封堵术,一站式解决二尖瓣瓣膜衰败及瓣周漏问题。在手术过程中,由于患者的右心房体积较大,标准的临时起搏器难以准确安置。因此,团队采取了心脏表面临时起搏的替代方案,以保障手术期间心脏功能的稳定和手术操作的安全。
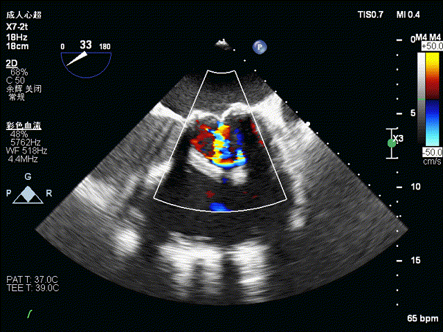
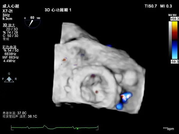
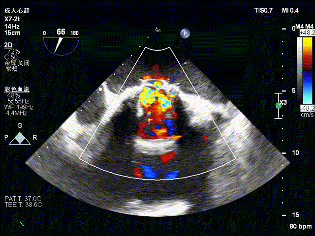
术前食道超声示:

术前食道超声




手术过程
心尖穿刺后置入导丝通过二尖瓣至左房。

球囊预扩
结合术前CT和心超测量的瓣环直径大小,装配好27mm瓣膜,沿加硬导丝送入装备瓣膜的导管输送系统至二尖瓣位置。

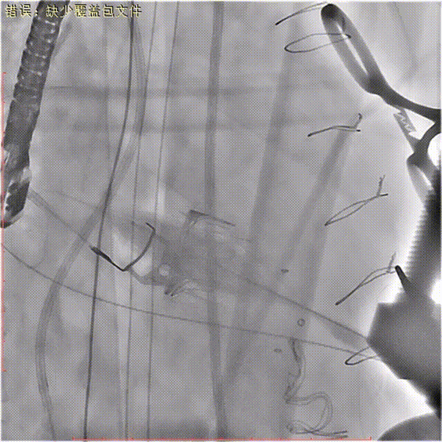
送入输送器
释放定位件,确保定位件位于生物瓣瓣窦内,推送植入瓣膜至瓣环平面,打开瓣膜支架,支架释放后退出导管输送系统。

瓣膜定位

瓣膜释放
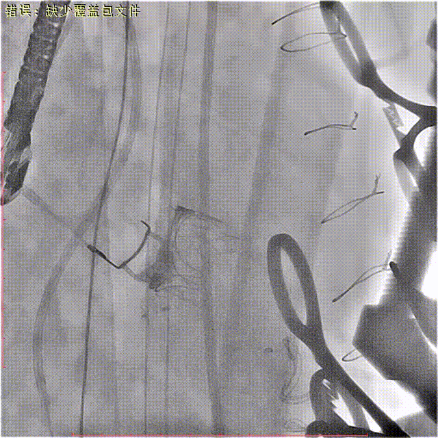
瓣膜扩张形态不满意,遂行球囊后扩。

球囊后扩
在食道超声定位引导下植入封堵器1枚。

超声引导定位下植入封堵器
左室造影显示:二尖瓣瓣中瓣位置合适,开合良好,无瓣周漏和反流。

术后左心室造影
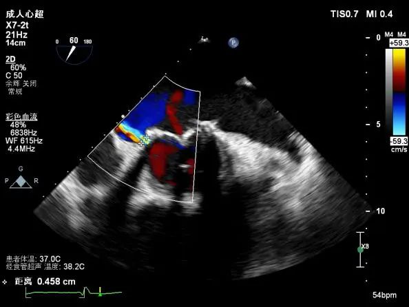
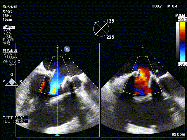
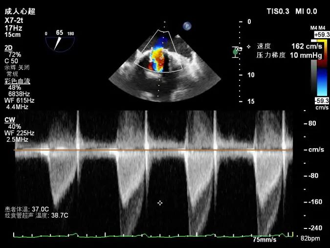
食道超声示:人工二尖瓣功能良好,无反流,封堵后瓣周反流基本消失。
术中及术后食道超声示:


术后食道超声

术后心脏超声:
﹥TA-MVR ViV+PVL封堵术后:二尖瓣位生物瓣血流速度加快,原瓣周漏消失;
﹥三尖瓣置换术后:瓣尖局部钙化、前向血流显著加快并瓣周漏(轻-中度)及反流(轻度);
﹥右房内血流缓慢淤滞,血栓前状态:升主动脉硬化并瓣膜反流(轻度);主肺动脉扩张并肺动脉瓣反流(轻度);左室收缩功能正常,右室收缩功能指数明显降低。
二尖瓣间隔侧探及封堵器1枚,位置固定,原生物瓣与室间隔间裂隙消失。
多普勒检查:二尖瓣位生物瓣舒张期峰值流速加快,平均跨瓣压差9mmHg,峰值跨瓣压差27mmHg,原瓣周漏消失。
术后总结
此次手术的成功,表明该瓣膜解决生物瓣衰败问题是行之有效的。目前此瓣膜在二尖瓣瓣中瓣植入术的应用中积累了丰富的临床案例,相关治疗广案趋于成熟,其独特设计保障了手术有效性和安全性,定位件对原瓣叶的夹持对瓣周漏产生了封堵作用,减少了瓣周漏的发生概率;此外,在定位件作用下,可令植入瓣膜与原生瓣膜交界对齐,从而有效避免LVOT梗阻发生,且直径小,在植入过程中不易损伤心脏传导系统,大幅提高了手术安全性,尤其对于这类复杂高龄患者更加友好。
· END ·

