近日,浙江大学医学院附属邵逸夫医院傅国胜教授团队迎来了MitraClip手术的重要里程碑——成功完成 100 例手术,标志着该团队在心脏瓣膜疾病治疗领域达到新高度,为众多患者带来了新的希望。本次手术对象为一位心脏转位穿刺困难后叶广泛栓系的VFMR患者,历时4小时,傅国胜教授团队使用最新一代雅培微创经导管二尖瓣夹及可操控导引导管MitraClipG4顺利的为该患者实施了微创修复手术。整个过程共植入三枚夹子,应用效果显著,且患者术后恢复良好,已顺利出院。

在这 100 例手术的背后,是无数患者重获健康生活的喜悦。该患者在术前心衰严重,夜间甚至无法平卧,在接受傅国胜教授团队的 MitraClip 手术后,症状得到明显改善,生活质量大幅提高,重新回归正常生活轨道。这只是众多成功案例中的一个缩影,每一例手术的成功实施,都见证了傅国胜教授团队在守护患者心脏健康道路上的坚实步伐。
此次手术突破百例,不仅是数量上的增长,更是技术实力与团队协作精神的有力彰显。邵逸夫医院一直致力于引进和发展先进医疗技术,为患者提供优质、高效的医疗服务。傅国胜教授团队的这一成就,无疑将进一步提升医院在心血管领域的影响力和声誉,为推动国内心脏瓣膜疾病治疗技术的发展贡献重要力量,也为更多患者带来了心脏疾病微创治疗的新选择和新希望,引领医院在守护患者健康的征程上不断迈向新的高峰。
患者病史
患者为69岁老年男性,10余年前无明显诱因下出现活动后胸闷气促,无胸痛,无心慌心悸,无头晕黑朦,无恶心呕吐等不适,患者多次至当地医院就诊,诊断为"慢性心衰、重度二尖瓣关闭不全",予药物强心、利尿、扩血管等支持治疗,治疗后患者症状改善。后患者活动耐量逐渐下降,现少量活动即可诱发胸闷。患者20天前上述症状再次加重,且出现夜间无法平卧,伴气喘气促,伴下肢间歇性水肿,无胸痛,无头晕黑朦,无恶心呕吐等不适,遂至我院就诊,拟"心脏瓣膜病、慢性阻塞性肺病、心功能IV级(NYHA分级)"收治入院。自病以来,神清,精神软,胃纳差,睡眠较差,夜间憋喘,大小便均偏少,体重无明显减轻。

术前TEE评估
术前心超团队王蓓教授以及余婵教授对患者的瓣膜解剖情况进行了详细的评估:
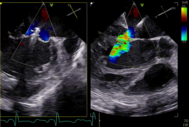
① 二尖瓣后叶广泛栓系,前后叶对合不良,二尖瓣重度关闭不全,Carpentier分型Ⅲb,反流程度4+;
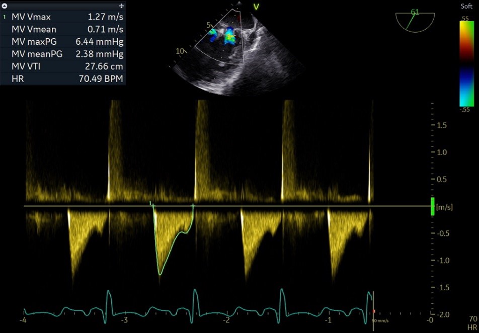
② 画迹法显示二尖瓣瓣口面积5.25cm²,平均跨瓣压差4.2mmHg;
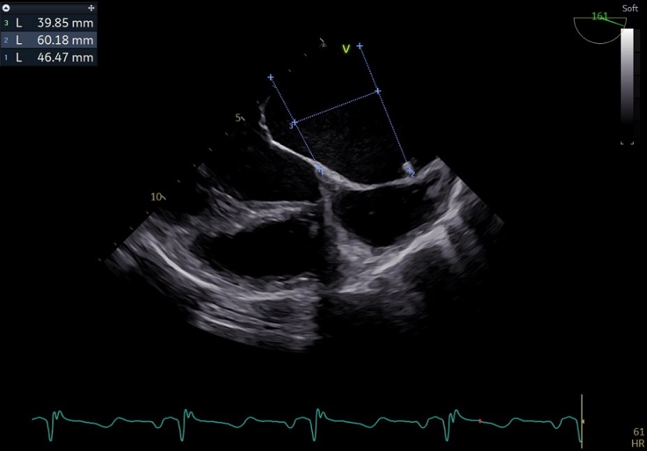
③ 二尖瓣前叶(A1)长度28.5mm,二尖瓣后叶(P1)长度: 10.4mm;二尖瓣前叶(A2)长度28.4mm,二尖瓣后叶(P2)长度: 12.7mm二尖瓣前叶(A3)长度22.6mm,二尖瓣后叶(P3)长度: 11.5mm;
④ 3区前后叶对合gap 4.5mm,2区前后叶对合gap 3mm。
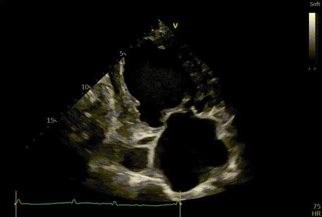
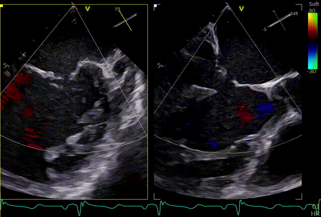
术前TTE


两腔心


短轴

四腔心zoom模式

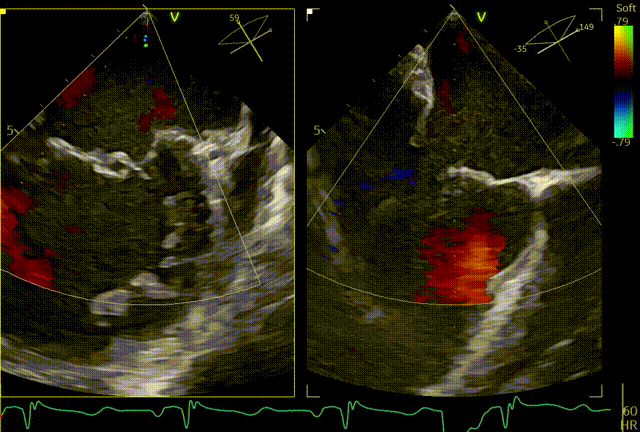
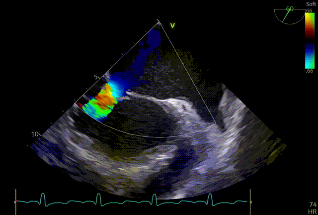
反流情况
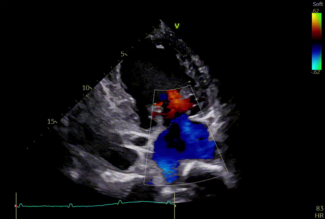
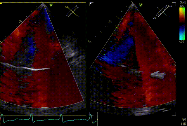
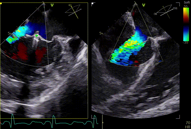
术前TEE及左房压

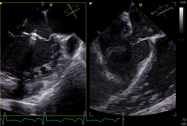
1区

1区带彩

2区

2区带彩

3区

3区带彩

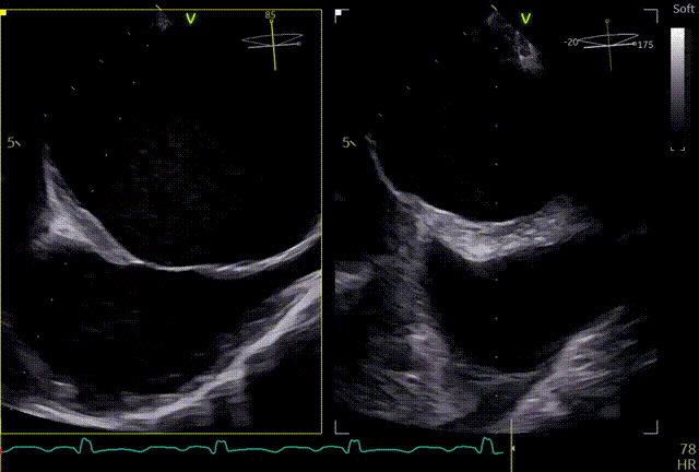
3D

3D带彩


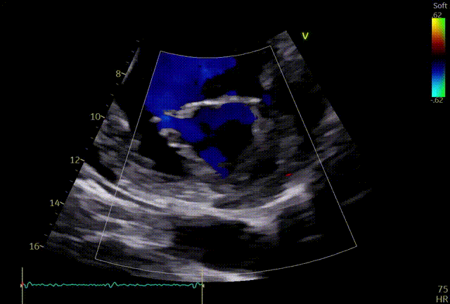
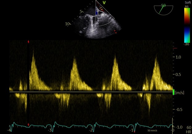
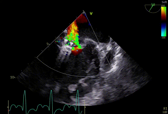
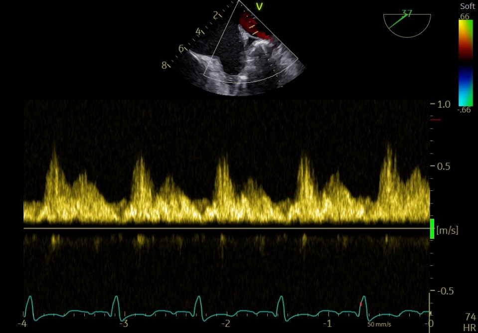
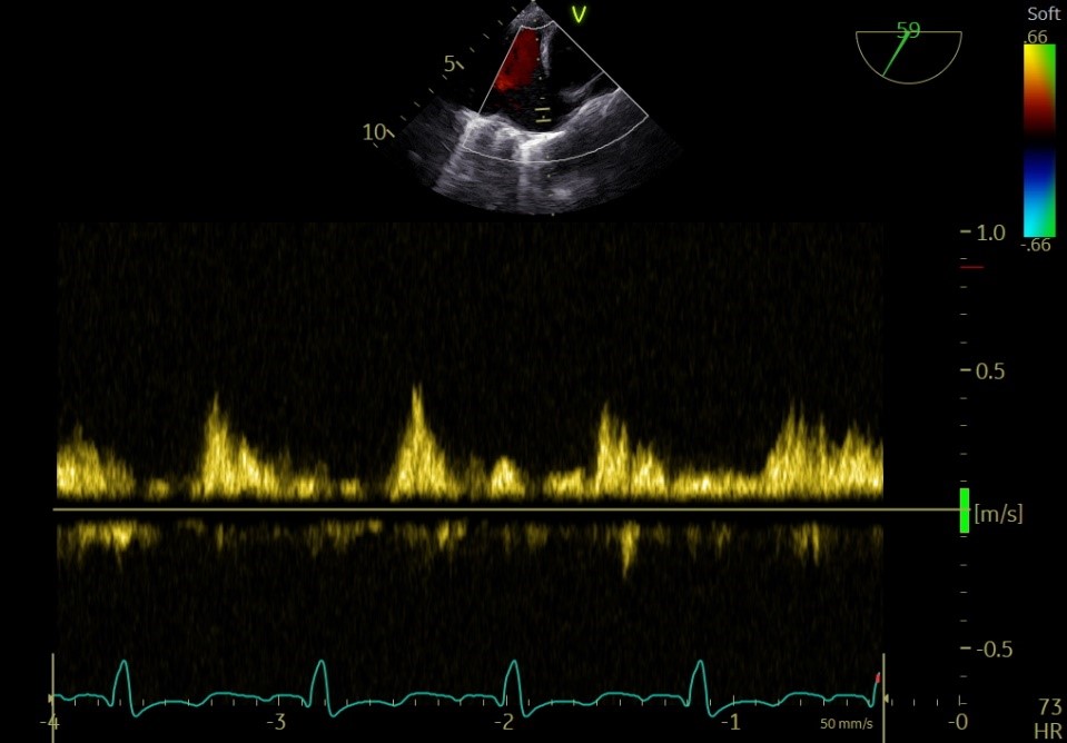
术前肺静脉频谱

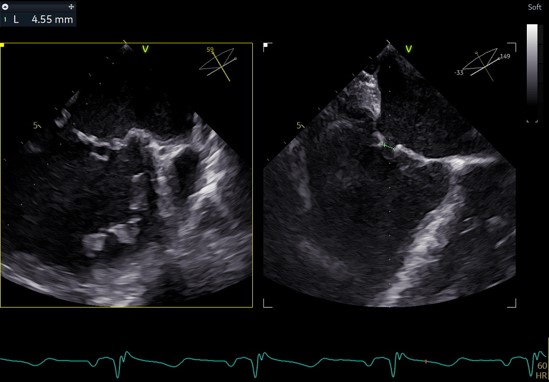
3区gap

术前左房压
手术难点及策略
俞飞成教授认为从术前超声来看,该患者反流束非常宽,至少需要2枚夹子,2区及3区后叶栓系,有明显gap,3区gap较大,捕捞夹持有难度;左房较大,心脏转位,图像挑战,穿刺挑战大,是一个高难度的Case。术者团队考虑2区优先G4 XTW夹持,改善对合,内侧根据剩余反流情况再补夹子,夹子型号待定,外侧根据剩余反流情况决定是否需要再补夹子。
术中操作
患者全麻,全身覆盖消毒铺巾后,在超声引导下建立右侧股静脉入路,在食道超声引导下,穿刺房间隔,术前左房压较高,平均32mmHg,且心脏转位,穿刺针下拉过程中难以在卵圆窝中部定位,往后转穿刺针滑脱,在靠下的位置穿刺通过,位置太低,重新穿刺,滑脱2次后,下腔靠近肌部产生血肿,最终成功穿刺,穿刺高度4.0cm,SGC置入后,3D复测穿刺高度为3.8cm,然后将二尖瓣夹输送系统XTW送入左心房,到达二尖瓣目标位置,调整二尖瓣夹轨迹和方向,使其垂直于二尖瓣环平面且指向心尖,完成左房初定位,夹臂方向指向12点-6点方向,在瓣上充分释放张力。

第一次房间隔穿刺

房间隔血肿

第二次房间隔穿刺

3D辅助辅助观察点位

穿刺高度

3D复测穿刺高度




第一个夹子XTW
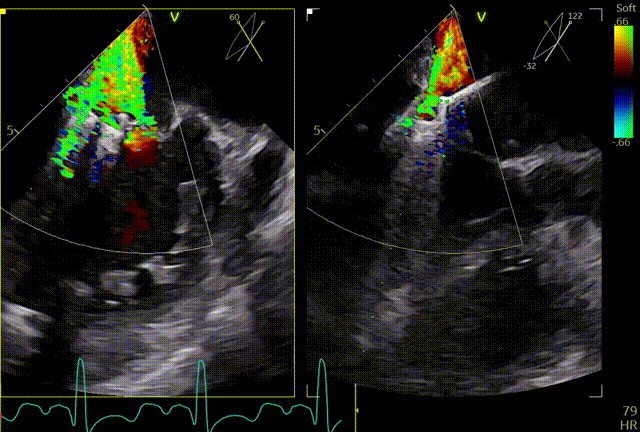
关小夹子,进入到左室后,跨瓣越过瓣叶尖端后,立马打开夹子,三维再次确认夹臂方向未改变,慢慢往上提拉,一次准确捕获瓣叶,前后叶Bouncing明显,后叶接近根部,关紧夹臂,反流量整体减少,但是内外侧都残余反流,内侧为主。反流明显减少,后叶夹持10mm以上,夹子稳定性良好,跨瓣压差小于3mmHg,决定释放。


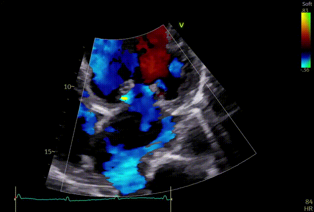
释放前评估




释放后
释放后内侧后叶仍旧栓系,反流较重,内外侧都残余反流,内侧为主,考虑到内侧反流较宽,瓣叶够长,栓系难以捕捞,压差不高,第二枚夹子选择XTW,置入第二枚XTW后,在1区上方做轨迹测试,充分释放张力,调整夹子的夹臂方向位于5点-11点的位置,回拉系统,使第二枚夹子位于3区,关小夹子进入到心室侧,由于第一枚夹子起到了稳定瓣叶的作用,第二枚夹子捕捞夹持也异常顺利,一次精准捕获前叶和后叶,再次完整评估二尖瓣夹XTW的方向、组织桥稳定性、瓣叶受限程度及反流减小程度。前后叶Bouncing明显,但是反流却明显增加,开始未明确原因,Orientation,夹持量均无问题,但是内侧还残余反流,考虑内侧可能还要补,决定打开贴近第一个夹子放置,如果有需要内侧再补,此时发现由于患者EF值低,麻醉老师肾上腺素一直在给,心脏搏动较为剧烈,反流术中的异常增多可能是由于此原因导致,遂停止给药。


第二个XTW第一次夹持

第二个XTW第一次夹持

第二个XTW第二次夹持


第二个XTW第二次夹持




释放后
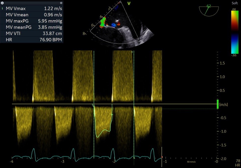
外侧2偏1区可见后叶栓系,下方空间乳头肌腱索杂多,后叶长度也一般,跨瓣压差3mmHg,第三枚夹子选择了NT,打算靠近第一枚夹子2偏1区夹持,置入NT后,在1区上方做轨迹测试,充分释放张力,调整夹子的夹臂方向位于1点-7点的方向,回拉系统,使第三枚夹子靠近第一枚夹子,关小夹子进入到心室侧,由于第一枚夹子起到了稳定瓣叶的作用,第三枚夹子捕捞夹持相对顺利,一次精准捕获前叶和后叶,再次完整评估二尖瓣NT的方向、组织桥稳定性、瓣叶受限程度及反流减小程度。反流改善到1+-2+,平均跨瓣压差3.85mmHg,左房压明显下降,肺静脉逆流明显改善,手术完美结束。
最后,感谢患者对邵逸夫心脏瓣膜介入中心手术团队的信任。医患是医疗的共同体,唯有信任,才能共赢。手术团队将以此为动力,更加努力地为每位患者提供更加优质的服务,不负每一份使命和责任!




第三个夹子NT




最终结果


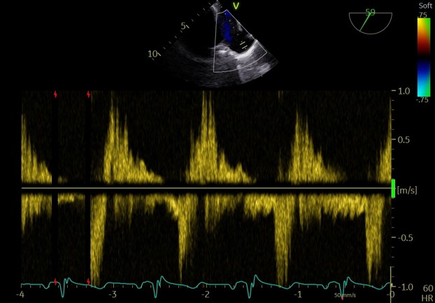
术后肺静脉频谱

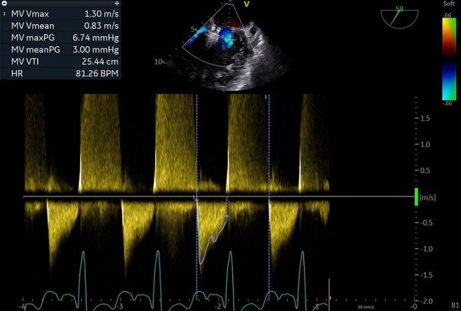
术后平均跨瓣压差

术后左房压

邵逸夫团队VFMR栓系病例手术经验:
(1)大左房患者穿刺时定位较难,遇到膨出瘤或者卵圆窝中部难以定位,建议选择靠上或者靠下在膜部与肌部交界处穿刺,防止张力过大,导致穿刺针弹跳,容易损伤导致心包或者血肿;
(2)后叶广泛栓系的VFMR病例手术难度较大,局部的夹持难以完全改善周围区域栓系的后叶;
(3)如遇到心脏转位的患者,可以尝试使用Mutivue,三维切二维,更容易定位到夹子;
(4)对于EF值较低的患者,麻醉给药因素在术中对反流的影响易被忽略,需要格外关注;
(5)当VFMR病例前后叶对合Gap较大时,可以考虑先从容易夹持的位置优先夹持,拉近瓣叶后,再夹持Gap较大的区域
(6)TEER术后残余反流机制如果若为残余反流机制为FMR,可以酌情结束手术,不必追求完美;