
2024年12月20日,在江西省人民医院-省心血管病医院院长赖珩莉教授的带领下,尹秋林主任团队成功完成一例生物可吸收支架FIRESORB®植入术。这是FIRESORB®上市后的全国首批植入系列,同时也是江西省的首例植入。本次手术,尹主任团队为我们提供了一个展示生物可吸收支架标准植入流程的经典病例,彰显了江西省人民医院冠脉介入治疗紧跟技术前沿,也充分反映了随着生物可吸收支架植入技术的标准化和规范化进程,其临床应用需求正不断上升,正逐步成为冠状动脉介入治疗的一项重要选择。

病例资料
基本信息:男性,56岁。
主诉:胸闷痛1年,加重1个月。
现病史:患者自述1年前无明显诱因出现胸闷痛,伴气短,持续3-5分钟好转。近1个月来上述症状较前明显加重,发作频繁。2024年12月10日行冠脉CT检查,结果显示:1. 冠状动脉广泛粥样硬化,前降支及右冠中段重度狭窄,建议DSA检查。2. 左前降支LAD(7段)壁冠状动脉。现为进一步治疗入江西省人民医院门诊,门诊拟冠心病收入心血管内科。
既往史:平素健康状况良好。
疾病史:否认高血压病史,否认冠心病病史,否认糖尿病病史,否认传染病病史。否认手术史,否认外伤史,否认输血史。按时接种疫苗。
过敏史:无药物过敏史,否认食物过敏史。
个人史:否认吸烟史,否认饮酒史,否认药物嗜好,否认疫水疫区接触史,否认工业毒物、粉尘、放射性物质接触史,否认冶游史。
家族史:家族中否认类似患者,否认家族遗传性病史。
入院诊断:冠状动脉粥样硬化性心脏病。
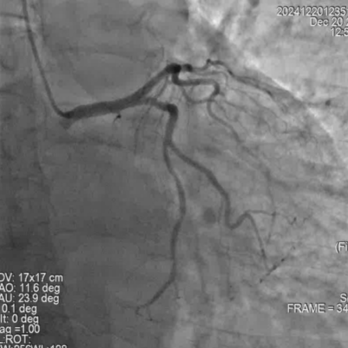
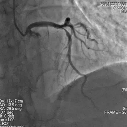
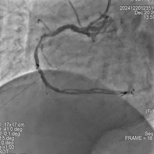
冠脉造影




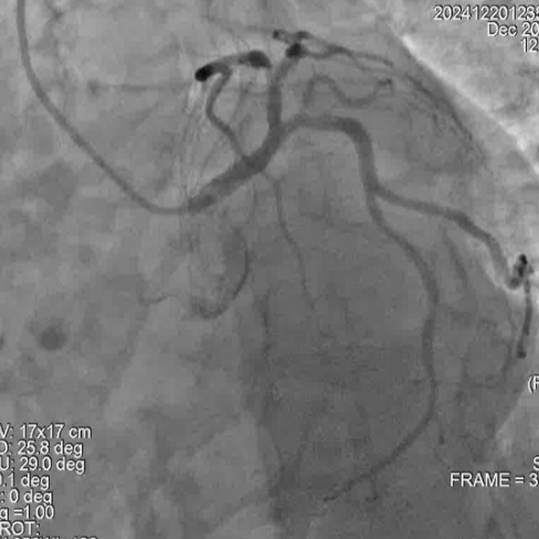
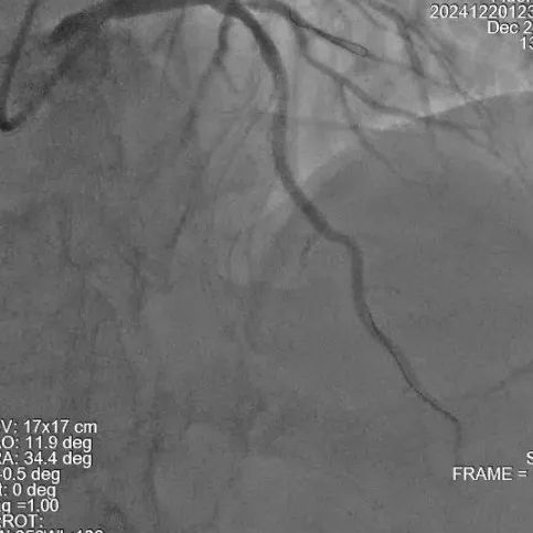
手术过程


术者点评
尹秋林主任表示本次手术很顺利。该患者左冠和右冠病变均较为局限,且患者及家属对植入生物可吸收支架意向强烈。在腔内影像IVUS的引导下评估管腔尺寸,病变性质后做精准预处理。本次手术中FIRESORB®具有较好的推送性,径向支撑表现也很好。我们会持续关注患者术后的恢复情况。

扫码进入微创医疗学术专栏
了解更多精彩内容
· END ·

