
12月15日,第一期佰仁微创学院球扩瓣实战训练营于上海顺利举办。

佰仁医疗副总经理李武平先生为训练营作开场致词

续写生命的精彩——瓣膜病全生命周期管理的原研创新

“精易球全,再扩心生“——Renatus®经导管主动脉瓣系统产品特征与优势
01
球扩式TAVR与MVIV的评估与操作要点

李伟栋教授:TAVR术前影像报告评估要点及操作注意事项

张海波教授:MVIV术前影像评估要点及手术流程介绍
02
活体大动物实战操作

张海波教授指导操作

李伟栋教授指导操作




大动物实战操作


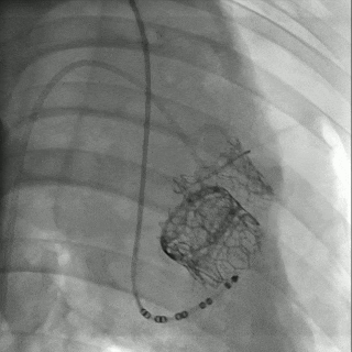
25#佰迈思®限位可扩瓣中植入27#Renato®瓣中瓣
多枚二尖瓣瓣中瓣及TAVR球扩瓣完成植入后造影
佰仁微创学院旨在助力年轻一代医师精进技术水平。本次实战训练营中,所有学员均得到了大动物活体实战演练的机会,在带教专家的悉心指导下,成功完成经导管主动脉瓣及经导管瓣中瓣的植入的实战训练。其中每头大动物二尖瓣位植入3枚瓣中瓣,模拟了生物瓣植入后40-50年的全生命周期管理过程。TEE测量结果显示:25号限位可扩张瓣膜在6 atm压力球囊扩张后,瓣架充分展开,直径扩大2mm,内部植入27号瓣中瓣后,压差甚至较植入瓣中瓣前更低。得益于初次选择的佰迈思限位可扩张生物瓣的瓣环可扩张的独特优势,植入第三枚瓣中瓣后仍然保持了出色的血流表现,二尖瓣平均跨瓣压差仍能保持在5mmHg以内。主动脉瓣位植入Renatus®经导管主动脉瓣,植入过程中得益于可调弯输送器的辅助,过弓顺滑,释放时保证了更好的同轴性。
介入瓣是当前瓣膜疗法的技术前沿与热点之一,而实现瓣膜病人全生命周期的管理是各位同仁为之努力的目标。本次培训,佰仁医疗通过学术讲座与实战演练,提升了各位学员经导管主动脉瓣与瓣中瓣手术的操作技术,加深了对瓣膜病全生命周期管理理念的认知与理解。本次培训是佰仁微创学院球扩瓣实战训练营的第一期,接下来我们将持续开展一系列实战培训活动,促进介入瓣技术的高质量应用,普及瓣膜病全生命周期管理的理念,从而推动中国瓣膜病疗法的进步,造福更多瓣膜病患者。
· END ·

