近日,甘肃省人民医院在心律失常导管治疗领域取得了重大突破,由谢萍主任带领心内一科心脏起搏电生理团队成功完成了一例复杂阵发性房颤患者的FARAPULSE脉冲消融术。这一成就不仅填补了医院在该项技术上的空白,更标志着该院在心律失常导管治疗领域迈出了崭新的一步。

此次手术不仅标志着该院在房颤治疗领域取得了重大突破,更是医院在心律失常介入方面继心脏射频消融、冷冻消融之后对第三种创新能量消融方式的成功探索与实践。

该术式优点
该术式相对于传统的射频消融术安全性更高、手术时间更短、手术成功率更高,患者术中感受更好。脉冲房颤电场消融手术过程精准而高效,能极大减少手术并发症。
手术过程
该手术首先通过先进的影像技术进行房间隔穿刺,建立左心房通路将导管送入患者左心房,然后利用三维标测系统对患者的心脏进行详细的三维模型重建,确定左心房的具体位置和范围。接着,运用特殊的脉冲电场消融设备,向心脏特定区域释放短暂而高强度的电场脉冲。脉冲精准地破坏房颤病灶,同时最大程度地减少对周围正常组织的损伤。


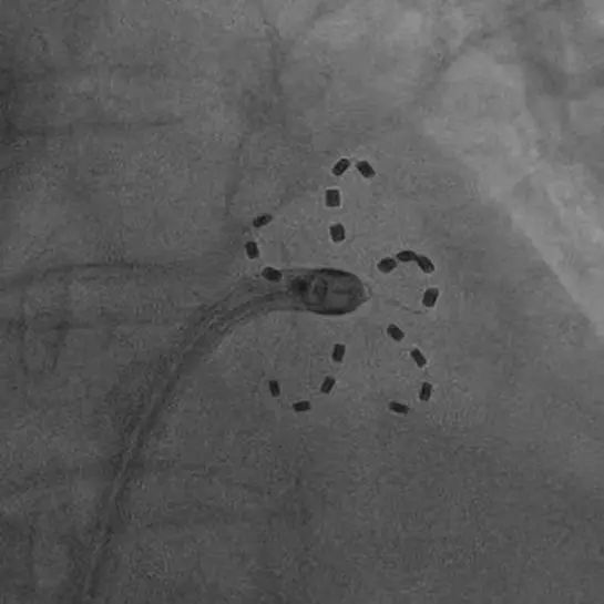
FARADRIVE导管以网篮和花瓣两种形态进行肺静脉消融
与传统的射频消融相比,脉冲消融不需要持续加热心肌组织,从而降低了手术过程中对心脏组织的热损伤风险,极大提高了手术的安全性。将消融导管分别送入四个肺静脉开口实施脉冲电场消融,前后不到20分钟,4个肺静脉的电传导即被彻底阻断,肺静脉电位完全消失。

术前术后三维标测对比,肺静脉完美电隔离
FARAPULSE系统是全球领先的房颤消融设备,采用优化脉冲波形,通过不可逆电穿孔实现精准消融。这一技术不仅能显著减少对非靶标组织的损伤,如食管、膈神经和冠状动脉,还凭借其可控性和稳定性在国际房颤治疗领域建立了良好的临床口碑。大量临床研究证实,FARAPULSE系统在安全性、有效性及治疗成功率上均表现优异,是推动房颤治疗迈向新台阶的重要技术工具。


科室介绍
甘肃省人民医院心血管内科专业始建于上世纪60年代,经过几代人的辛勤付出,目前已发展成为临床、科研、教学、预防、保健于一体的现代化三级心血管专科,国家临床重点专科建设单位、国家心血管疾病临床研究中心分中心建设单位。作为兰州大学、甘肃中医药大学硕士/博士研究生培养点,同时也是宁夏医科大学及江苏大学硕士研究生培养点以及国家住院医师规范化培训基地。继1997年首批被评为甘肃省卫健委重点学科后,心血管内科团队不忘初心,砥砺前行,不断进取,在院领导及科主任谢萍教授的带领下,蓬勃发展,陆续被评为国家卫健委心血管疾病介入诊疗技术培训项目基地、中国医师协会心血管疾病介入诊疗培训基地、国家卫健委人才交流服务中心心律失常诊疗培训基地及国家标准化心肺康复专科护士/康复师培训基地,国家级胸痛中心、房颤中心、心脏康复中心;国家心血管病中心肺动脉高压专科联盟-示范中心、国家标准化肺血管病中心-卓越中心;2023年被中国康复医学会授予科普教育基地。
血管内科布局科学合理,医疗科研设备先进完善,现设有五个病区,开放床位194张。心导管室配有先进的大型数字减影血管造影机、有目前最先进的数字化复合手术间、Ensite及Carto三维心脏标测系统、多导电生理记录仪、血管内超声成像仪(IVUS)、光学相干断层成像(OCT)、冠脉血流储备分数监测(FFR)、主动脉球囊反搏泵(IABP)等大型医疗设备。医护团队在完成大量心血管疑难重症救治工作的同时不断开展新业务、新技术,使学科的诊疗水平达到省内领先。每年急性冠脉综合征急诊介入治疗病例数呈线性增加,冠脉介入治疗成功率达95%以上,病例的复杂程度和治疗效果得到了国内外同行的认可;电生理团队不断追求先进技术,攻克各种疑难复杂心律失常的射频消融手术,房颤中心的成立,更加优化了房颤诊疗流程。经过多年的技术发展,目前已拥有技术娴熟的起搏器植入团队,大力开展了左束支区域起搏+左室起搏(LOT-CRT)的四导线器新型组合手术方式,实现了最大程度改善患者心室同步起搏及预防猝死双重治疗目的,让衰竭的心脏重获生机。作为国家卫健委及中国医师协会结构性心脏病介入技术培训基地,积极精进复杂先心病介入封堵治疗及经导管主动脉瓣膜植入(TAVI)等方面的技术。在着重提高介入手术技能的同时,大力发展心血管与心脏康复学科建设,对心血管疾病进行"前防后管",摸索建立了心血管疾病防治的立体闭环式管理,使更多的心血管患者得到康复,受到广大患者的好评。肺高血压病变为长期困扰临床的棘手问题,心血管中心高度关注肺血管病变,通过多学科协作,不断规范、优化肺高压诊断、评估及介入流程,有效提升了肺血管疾病的诊疗水平。
按照医院 "一体两翼" 中心工作,学科坚持医疗、教学、科研并重的发展方向。长期重视学科教育和人才发展,现有博士研究生导师2人,硕士研究生导师9人,同时兼容多个国家级及SCI期刊编委或委员。科室多年来承担兰州大学及甘肃中医药大学本科生及研究生理论授课、临床见习及实习带教,同时也承担国家住院医师的规范化培训及区域内进修人员的带教工作。通过医院远程医学教育平台,对基层专业技术人员开展定期远程医学培训,并定期举办疑难危重病例讨论、指南解读等,进一步规范、提升基层专业人员的诊疗能力。与省内多家医疗单位建立了心血管内科优势学科医联体、紧密型专科联盟以及心电与心脏康复技术联盟合作关系,通过这种合作关系的构建,精准帮扶,资源共享,帮助基层医院学科建设及人才培养,提升基层医院的服务能力,使老百姓近距离享受到优质的医疗服务,得到了当地政府和医院的高度评价。
近年主持承担国家自然科学基金6项,省市级科研项目30余项,参加国家"十二五"科研项目2项,获省市级科技进步奖5项,发表期刊论文近百篇,其中SCI文章近百篇。参与国内多家心脏中心的临床实验十余项,均取得了丰硕的成果。学科在不断积蓄内在经验、坚实自身医疗科研技术的同时,亦十分重视汲取国内外先进技术及学术经验,长期坚持对外学术交流合作。特聘北京阜外医院张健教授、上海市第十人民医院徐亚伟教授为柔性引进人才,多次来我院进行临床查房及手术指导,定期线上、线下进行科研项目申报的指导,获得区域内专科医师的一致好评。
在响应国家"健康中国"政策的征程上,甘肃省人民医院心血管内科将始终秉持初心,以精湛的医疗技术为基石,以贴心的人文关怀为羽翼,坚守"人民医院为人民"的信念,为每一位患者的心血管健康奋力前行。
