
11月27日,南昌大学附属第一医院彭小平教授、殷然教授团队成功实施Laager®左心耳封堵器系统植入,为一名高龄房颤患者大大降低了心源性脑卒中的发生风险。该84岁高龄患者长期受到“房颤”困扰,并伴有高血压、糖尿病等多种基础疾病。患者入院后,经栓塞风险和脑出血风险评估,发现为房颤卒中高危人群。在对患者心脏结构、左心耳形态进行全面检查后,考虑到其年龄较大,且存在出血风险,常规的抗凝治疗并不适宜。团队一致认为,为了有效且安全地治疗房颤,并预防脑梗、脑出血的风险,左心耳封堵术是最佳选择。术前各项准备工作完善后,术中经房间隔穿刺建立通道,顺利将封堵器送达左心耳开口处实现封堵。术后,患者恢复良好,未发生脑卒中,无需长期服用抗凝药物,且未出现脑出血事件。
病例资料
患者为84岁男性,主诉“发作性胸闷40天”。既往有糖尿病病史,高血压病史四年;60年前行阑尾切除术。
术前诊断:心房颤动;中央型房间隔缺损(卵圆孔型)。
术前评估:CHA2DS2-VASc 评分(卒中风险)4分;HAS-BLED 评分(出血风险)2分。

术前CT:术前LAA测量值:开口28mm,深度23mm。

手术策略
手术前,殷然教授带领团队对患者的影像数据进行详细分析。通过经食管超声(TEE)和CT扫描初步测量左心耳大小,并结合解剖特征选择了合适的Laager®封堵器型号。在植入封堵器的过程中,需仔细调整位置和深度,确保器械与左心耳开口高度贴合,同时避免对二尖瓣功能造成影响。此外,术中还需进行牵拉试验,以进一步验证封堵器的稳定性,确保植入后无移位风险,最终实现安全有效的左心耳封堵。
手术过程及结果
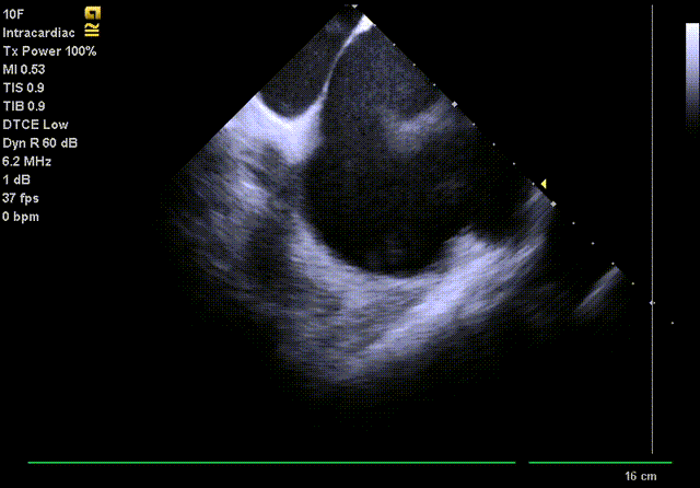
通过ICE再次确认LAA无血栓,并指导房间隔穿刺位置;

通过ICE进行LAA血栓筛查
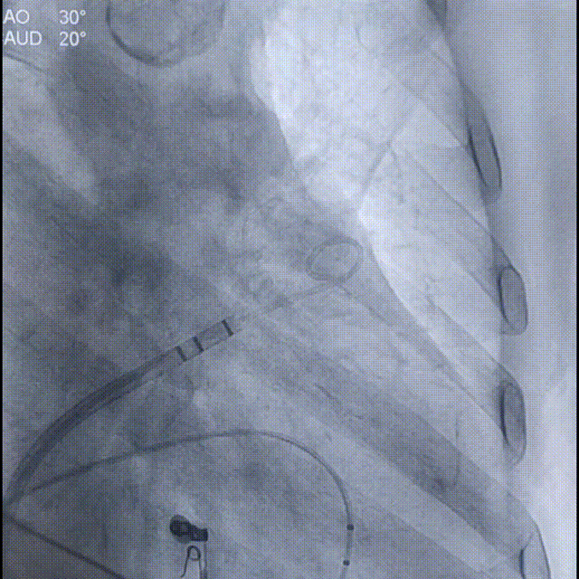
通过LAA造影和工作体位测量,结果显示患者左心耳开口直径为25mm,着陆区直径为20mm,深度为32mm;根据数据,手术团队决定选择Laager®封堵器2429型号进行后续操作;

工作体位造影

画线测量
按照Laager®封堵器常规“退-推-退-推”释放方式,依次展开固定盘及封堵盘。造影见固定盘展开在预设位置,封堵LAA内侧;封堵盘上缘位于嵴内,封堵良好无明显残余分流;

Laager®封堵器2429型号固定盘展开后造影

Laager®封堵器2429型号封堵盘展开后造影
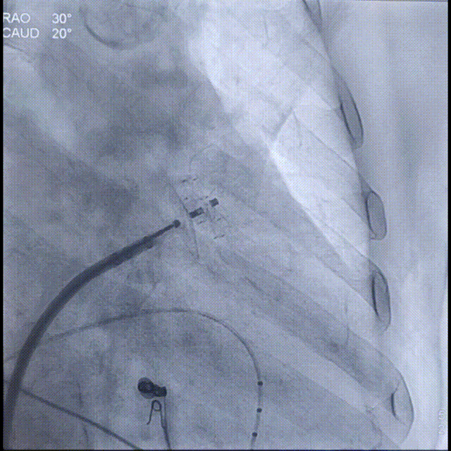
随后,进行牵拉试验时发现封堵器可拉出心耳,未锚定成功。因此决定增大封堵器型号,换用Laager®封堵器2631型号;

Laager®封堵器2631型号封堵盘展开过程

Laager®封堵器2631型号固定盘展开后造影
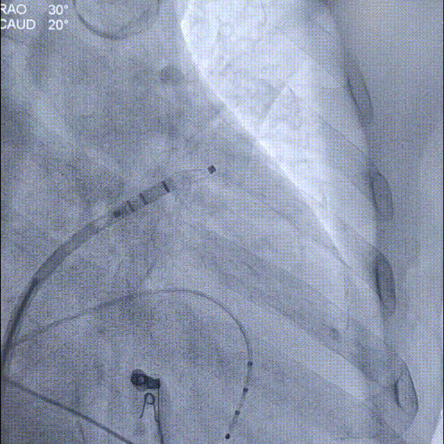
换用Laager®封堵器2631型号后造影提示位置良好,多体位下造影见封堵良好,封堵盘上缘在心耳口内,无残余分流;

封堵盘展开后,工作体位造影

封堵盘展开后,头位造影
使用ICE观察无残余分流,封堵盘未遮挡肺静脉及二尖瓣;

封堵盘展开后ICE观察
再次进行牵拉试验未见固定盘位移,锚定良好。满足Laager®封堵器“STEP”释放原则,遂解脱钢缆释放封堵器。释放后再次造影,封堵良好,无残余分流。

释放后工作体位造影
术后总结
在非瓣膜性房颤患者中,超过90%的心源性血栓起源于左心耳。当心房的正常收缩功能受损时,会导致左心耳内血流速度减慢,血液停滞,容易形成血栓,一旦血栓脱落,可能会引发重要脏器的梗塞,例如缺血性脑卒中。左心耳封堵术通过消除血栓形成的源头,能有效降低非瓣膜性房颤患者发生卒中的风险,并避免抗凝治疗可能引起的出血风险。本台手术顺利完成后,经影像学检查确认封堵器稳定、无残余分流,患者心脏功能未受影响,术后监测显示无并发症发生;团队将在术后持续进行随访,确保封堵器的长期效果与患者健康状况的稳定。
术中应用到的Laager®左心耳封堵器系统,拥有多项核心自主知识产权,由超弹镍钛合金和聚酯纤维膜制成,具有良好的形状保持能力和生物相容性,其独特的盘塞结合结构可以适应更多形态的左心耳,为保卫患者免于心源性卒中,提供了又一国产新利器。此次手术的成功,不仅验证了Laager®封堵器在高风险、高龄患者中的安全性与有效性,也彰显了南昌大学附属第一医院在处理高龄复杂病例方面的高超技术和专业水准。
彭小平教授 严道课程目录
低龄TAVR患者全生命周期管理中自展瓣的植入策略和思考
加强继发性高血压的排查
合并心力衰竭的CTO介入治疗
MPP在室内传导阻滞患者中的应用
心衰患者的容量管理
……

添加小严学习助手
领取精品好课