

首植告捷,势如破竹。经历多年不断的探索创新研发,众所瞩目的国产球扩瓣—RENATUS®经导管主动脉瓣系统于近期获批上市,并在全国多家临床中心成功完成首批植入,包括中南大学湘雅二医院、广西医科大学第一附属医院、皖南医学院第一附属医院、日照市人民医院等16家中心,正式开启商业化之路。
RENATUS®经导管主动脉瓣系统基于佰仁医疗独有的专利创新技术设计,传承了经大组长期临床验证的瓣膜卓越耐久性,适配未来接续治疗的支架二次可扩性,优化了瓣膜病全生命周期管理。其临床操作表现同样优异,顺滑过弓、灵活操控、精准释放的特点,极大提高了手术成功率,初步临床表现得到国内众多心脏专家的广泛认可,为瓣膜病患者提供了“心”选择。
中南大学湘雅二医院
刘立明、赵元 教授团队

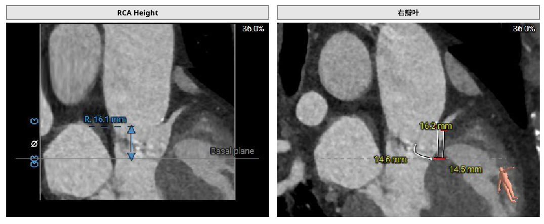
病例1:患者男性,70岁,三叶瓣。主动脉瓣重度狭窄,钙化集中于右冠窦、无冠窦,瓣环面积径23.3mm。左冠高度11.3mm,右冠高度16.1mm。外周入路可见钙化,内径尚可。
术中经右侧股动脉入路,使用19mm球囊预扩,顺利植入23# RENATUS®球扩式经导管主动脉瓣,瓣膜释放位置理想、形态及功能良好,无外周血管损伤,术后无瓣中及瓣周反流等并发症。
刘立明、赵元教授团队术后高度评价道:RENATUS® 瓣膜凭借其双重可调弯的输送系统,释放稳定、定位准确、同轴性佳,为本次手术成功保驾护航。在操作过程中,最直观的感受就是这款瓣膜的输送系统非常顺滑,实现“轻松自在”过弓。另外,球扩瓣在保证主动脉瓣环和瓣膜同轴性上相较于自膨瓣具备以下优势,可极大助力瓣膜病介入治疗:(1)当球扩瓣被高压球囊扩张后,直径即固定, “所见即所得”,有助于瓣膜精准定位和释放;(2)植入深度浅,可减少对心脏传导系统的损伤,从而降低术后永久起搏器植入率;(3)低瓣架高度,有利于保留远期冠脉手术通路;(4)钴铬合金支架的径向支撑力更强,释放后瓣环更接近于圆形,有利于维持更理想的瓣膜耐久性;(5)瓣膜释放时间短,有利于降低异常血流动力学事件的发生。
术前评估





上下滑动查看更多照片
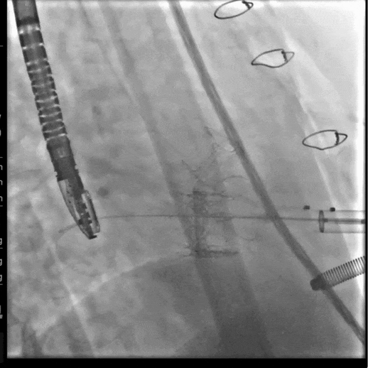
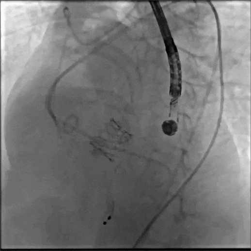
术中造影

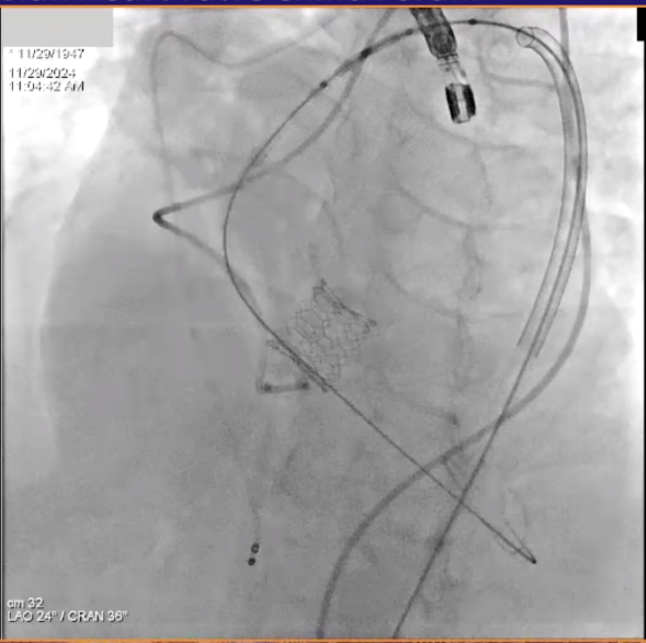
释放后造影
病例2:患者女性,58岁,心脏超声提示二尖瓣生物瓣置换术后,人工瓣叶脱垂并重度反流,外科换瓣手术高风险。
手术团队术前经充分的食道超声及心脏CTA详尽评估患者病情、外科手术风险,通过CT重建测量瓣环直径、左室流出道面积、房间隔穿刺位置等确定手术策略与解剖入路,最终决定采用二尖瓣经导管瓣中瓣手术,选择瓣架较短,可应用于各个不同瓣位的RENATUS®球扩式经导管主动脉瓣。
患者既往植入27# 佰仁思牛心包瓣,选用27# RENATUS®球扩式经导管主动脉瓣,术前模拟植入测得Neo-LVOT面积217.3mm²。
手术采用经心尖入路,术中植入27# RENATUS®球扩式经导管主动脉瓣。瓣膜植入位置理想、功能表现出色,无明显瓣中及瓣周反流,患者症状明显改善。
术前评估


上下滑动查看更多照片
术中造影

释放后造影
广西医科大学附属第一医院
郑宝石 黄凯 黄柳柳 教授团队、张海波 教授

患者女性,77岁,Type 0二叶瓣。主动脉瓣重度狭窄,术前平均跨瓣压差80mmHg,峰值流速5.6m/s。瓣叶钙化,瓣环面积径21.1mm。左冠高度16.1mm,右冠高度16.0mm。外周入路可见钙化,内径尚可。
术中通过心内、心外联合高效协作,经右侧股动脉入路,使用17mm球囊预扩,成功植入21# RENATUS®球扩式经导管主动脉瓣,输送器顺利通过,瓣膜精准释放,术后即刻平均跨瓣压差由80mmHg降至8mmHg,术后峰值流速由5.6m/s降至2.0m/s。瓣膜释放位置理想、形态及功能良好,无外周血管损伤,术后无明显瓣中及瓣周反流等并发症。
郑宝石教授团队、张海波教授术中一致给予该产品高度评价:“RENATUS®瓣膜直接压在球囊上,术中无需二次组装,节省手术步骤与手术时间;双调弯输送系统操作灵活,同轴性佳,能轻松应对横位心等特殊解剖,无需Snare辅助操作;操作简单,学习曲线短。”
术前评估




上下滑动查看更多照片
术中造影

释放后造影
日照市人民医院
宋学营 教授团队、魏来 教授

患者男性,77岁,三叶瓣。主动脉瓣重度狭窄,术前平均跨瓣压差48mmHg,峰值流速4.6m/s。瓣环及瓣叶钙化,瓣环面积径23.4mm。左冠高度11.8mm,右冠高度16.5mm。外周入路未见明显钙化,内径尚可。
手术经右侧股动脉入路,使用19mm球囊预扩,术中植入23# RENATUS®球扩式经导管主动脉瓣。输送器顺利通过,瓣膜精准释放,术后即刻平均跨瓣压差由48mmHg降至5mmHg,术后峰值流速由4.6m/s降至2.0m/s。瓣膜释放位置理想、形态及功能良好,无外周血管损伤,术后无明显瓣中及瓣周反流等并发症。
术前评估




上下滑动查看更多照片
术中造影

释放后造影
皖南医学院第一附属医院
张大发 教授团队、李伟栋 教授

患者女性,73岁,Type 1二叶瓣,左-右融合。主动脉瓣重度狭窄,瓣环及瓣叶钙化,瓣环面积径24.9mm。左冠高度13.5mm,右冠高度16.8mm。外周入路可见明显钙化,内径尚可。
手术经心尖入路,术中植入25# RENATUS®球扩式经导管主动脉瓣。输送器顺利通过,瓣膜精准释放。瓣膜释放位置理想、形态及功能良好,术后无明显瓣中及瓣周反流等并发症。
张大发教授团队、李伟栋教授一致表示:RENATUS®的短瓣架设计对远期冠脉手术通路的影响小;每隔2mm的规格尺寸可精准匹配病人的不同解剖特点;经大组长期临床验证的有效抗钙化技术,能提供卓越耐久性;可扩张瓣架设计,优化未来瓣中瓣的治疗效果。
术前评估



上下滑动查看更多照片
术中造影

释放后造影
旗开得胜 一时激起千层浪
凭借RENATUS®出色的创新设计与卓越的产品特点,所有首批植入病例手术均获得圆满成功,术后无轻度以上瓣周漏、主要不良心脑血管事件、外周血管损伤等并发症发生,各大心脏中心手术团队一致表示高度赞扬。
RENATUS®的上市开创了TAVR 2.0时代的技术革命,以经大组长期临床验证的卓越耐久性、同外科生物瓣一致的理想血流动力学性能、适配未来接续治疗的瓣膜支架可扩性,优化中国瓣膜病患者全生命周期管理解决方案。
佰仁医疗愿同中国术者乘风破浪,多地区、多科室、多术式联袂探索更适合中国瓣膜病患者全生命周期管理的创新治疗解决方案,突破经导管瓣膜治疗新技术、研发新器械,在医疗科技的进步与医者的持续坚守中,为更多复杂心脏瓣膜疾病患者带来“心”希望。
转自|佰仁医疗
· END ·
