
房颤患者容易在左心房形成血栓,这些血栓如果脱落,可以通过血液循环进入到其他部位,造成严重的并发症,比如脑卒中以及全身脏器的栓塞。因此,对于房颤患者,抗凝治疗是非常重要的预防措施。近日,阜外医院团队在《Eur Heart J Case Rep》发表了一份题为“Giant left atrial thrombus in a patient with non-valvular atrial fibrillation”的个案报道,讲述了极为罕见的非瓣膜性房颤患者左心房巨大血栓的诊治过程。
PMID:39606556

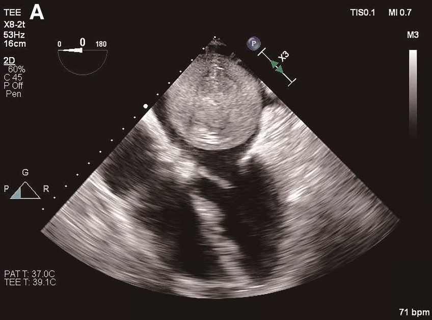
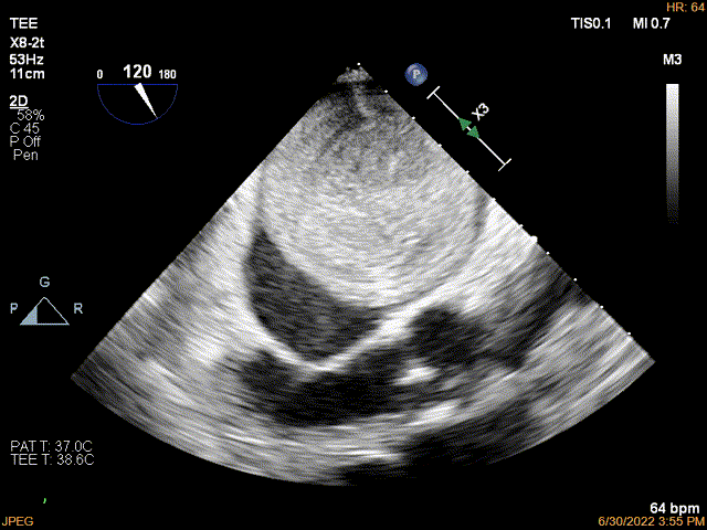
一名69岁女性患者,有脑梗死和持续性非瓣膜性房颤病史,因言语不清、大小便失禁就诊于急诊科。该患者于2018年发生过脑梗死和房颤,之后间断服用达比加群。达比加群自行停药一个月后,再次发生脑梗死。心电图显示为房颤。经胸和经食道超声心动图均显示,患者左心房内存在一个67×60mm的巨大肿物,占据了左心房的大部分空间,并能观察到肿物可阻塞二尖瓣口(图1A和视频)。

A 经食道超声检查发现左心房内有一个58×55mm的可移动球形肿物。

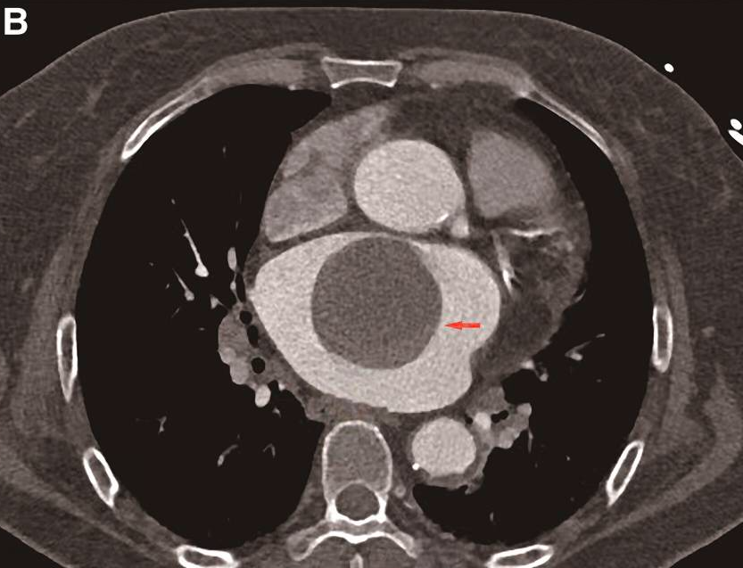
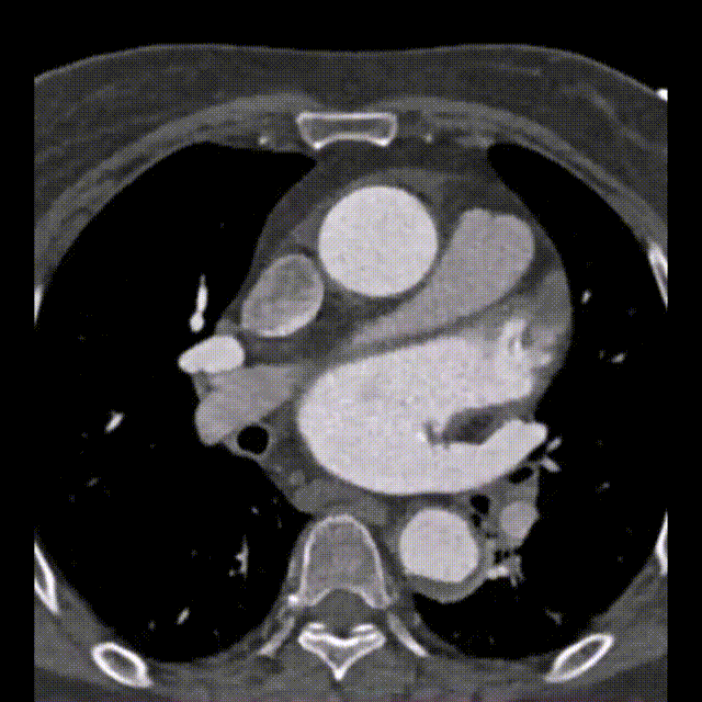
左心房CT显示,扩大的左心房内存在一个巨大的、光滑的、边界清楚的充盈缺损,与房间隔中部紧密相连。在舒张期,肿物位于二尖瓣口附近(图1B和视频)。

B 患者CT显示左心房内巨大的肿物(箭头所指为左心房内的肿物)。

根据超声心动图和CT结果,怀疑患者左心房内存在巨大黏液瘤。患者接受了左心房肿物切除术(图1C)。

C 手术切除巨大左心房肿物。
大体病理检查证实,肿物呈球形,表面光滑,大小为6.5cm×5.5cm×4.6cm,病理证实为血栓,无恶性肿瘤的证据(图1D)。

D 病理检查证实肿物为血栓。
患者术后恢复困难,出现肺部感染和急性肾功能衰竭。于术后两周死亡。
左心房肿物的鉴别诊断包括血栓、赘生物、肿瘤以及其他罕见原因,如间隔动脉瘤和间隔血肿。超声在区分血栓和黏液瘤方面没有特异性。心脏磁共振成像已被证明是一种更好的诊断技术。虽然抗凝治疗可导致血栓碎裂并继发栓塞,但适当的管理策略可降低这种风险。
考虑到肿物在左心房内占据的空间过大,并导致二尖瓣梗阻,外科切除通常被认为是更合理的治疗方法。
· END ·
