

雷新宇 山西省心血管病医院
简要病史
个人史:吸烟30年,20支/日,否认饮酒史。
检查结果
【体格检查】
T36.2℃ P56次/分 R18次/分 BP130/78mmHg 身高169cm 体重70Kg;心肺腹查体未见明显异常。双下肢无明显水肿。
血糖 5.96mmol/L,糖化血红蛋白 7.1%
总胆固醇 4.19mmol/L,低密度脂蛋白 2.84mmol/L
血常规、肝功能、肾功能、甲功等未见明显异常
心电图:窦性心律,心率56次/分,V5-6导联T波低平。
心脏超声:LA35mm,LV44mm,EF70%,主动脉瓣轻度狭窄,二、三尖瓣轻度关闭不全,室间隔增厚(13mm),左室舒张功能减低。
检查结果


临床诊断
【临床诊断】
冠状动脉性心脏病;不稳定型冠心病;高血压病3级(很高危险组);2型糖尿病。
GRACE 130分(中危);CRUSADE 33分(低危)。
阿司匹灵肠溶片 100mg qd
替格瑞洛片 90mg bid
阿托伐他汀钙片 20mg qn
单硝酸异山梨酯片 20mg bid
硝苯地平缓释片 30mg qd
盐酸二甲双胍片 0.5g tid
达格列净片 10mg qd
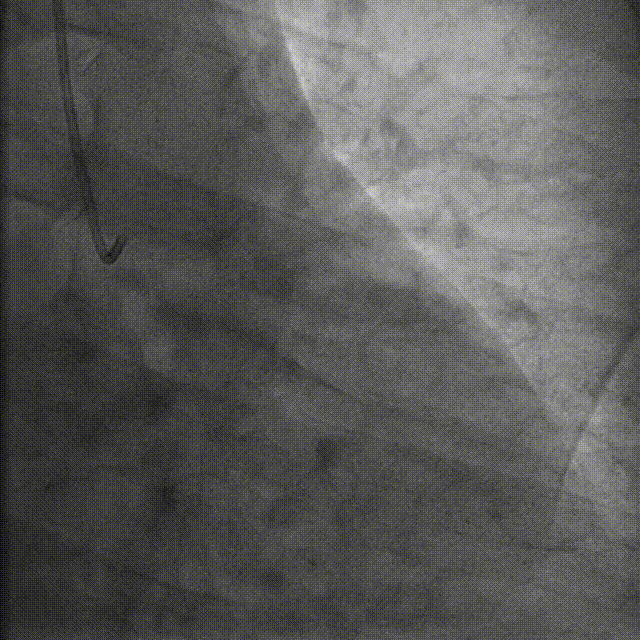
冠脉造影


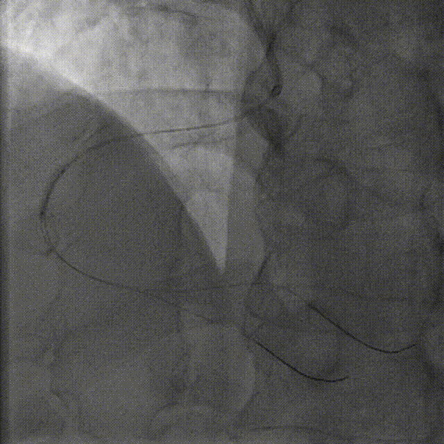
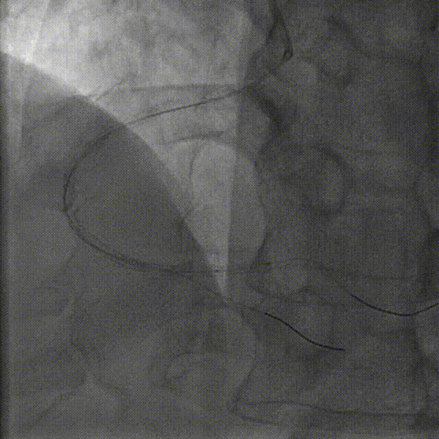
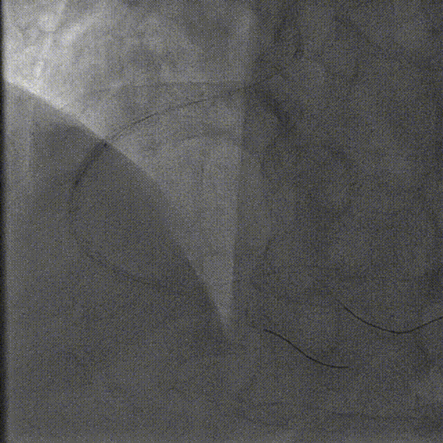
冠脉造影:左主干管壁钙化,末段狭窄约20%,回旋支远段100%闭塞,顿缘支近段狭窄约90%。


冠脉造影:前降支近段管壁钙化狭窄约50%,右冠脉开口变异管壁钙化,近段至远段弥漫病变狭窄约70%-90%。
手术策略和器械选择
1、CABG
2、PCI
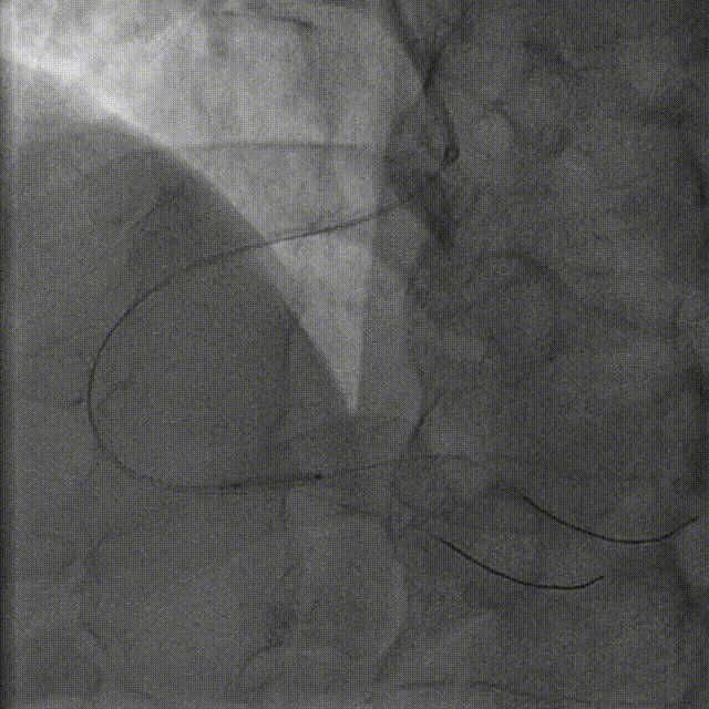
本病例的特点:左主干合并三支病变,首先处理右冠脉病变。因右冠脉开口于左窦,冠脉管壁钙化,且病变弥漫,选择容易到位的指引导管,术中尽可能早期应用导引延长导管辅助完成手术。
介入经过及结果


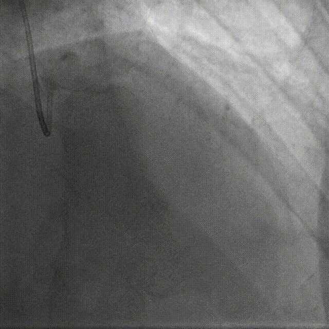
Telescope的操作过程及优势


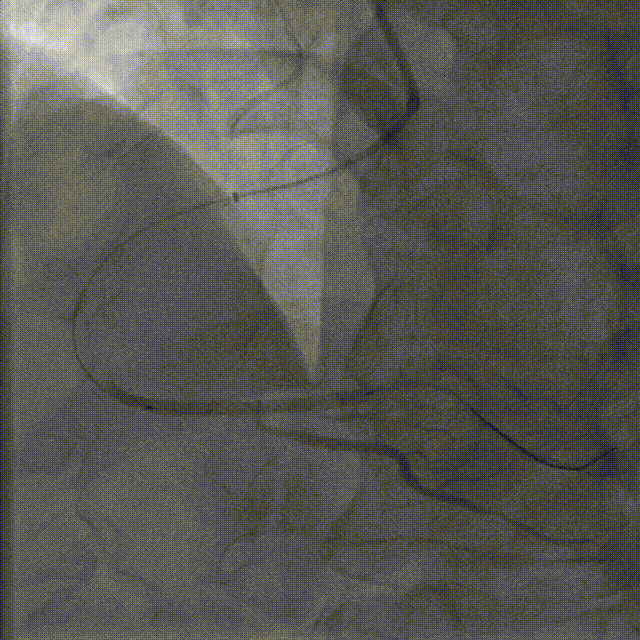
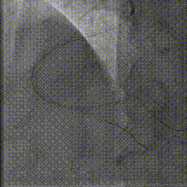
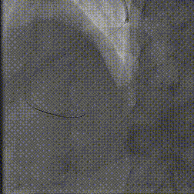
在Telescope™导引延长导管辅助下,于远段至中段病变串联植入支架2.5*38mm、2.5*38mm
介入经过及结果


在Telescope™导引延长导管辅助下,于右冠脉中段至近段串联植入支架3.0*29mm、3.0*18mm


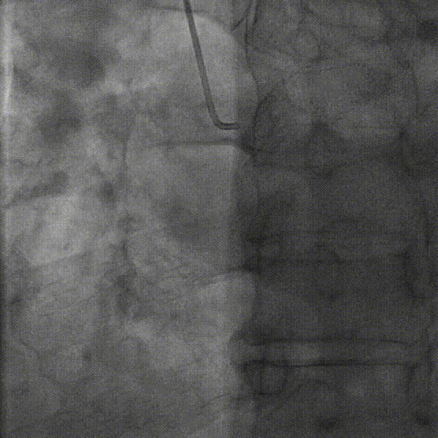
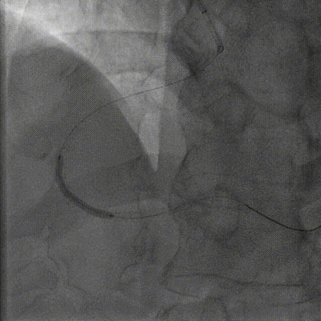
在Telescope™导引延长导管辅助下,选择2.5*12mm高压球囊、2.75*15mm高压球囊于支架内后扩张


在Telescope™导引延长导管辅助下,选择3.0*15mm高压球囊于支架内后扩张
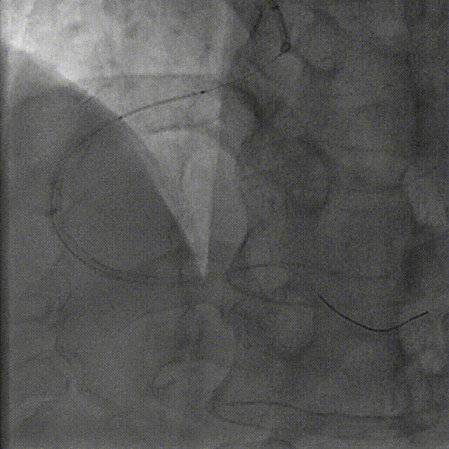
PCI术后结果及随访
远期结果:出院1月随访该患者目前病情控制良好,无不适症状。
经验体会及总结
右冠脉开口变异,冠脉管壁钙化,且病变弥漫,术中选择强支撑指引导管不容易到位,容易损伤冠脉开口,同时延长手术时间;
结合病变特点,选择容易到位指引导管,Telescope™导引延长导管柔软,顺滑,提供较好的额外支撑力,弥补指引导管支撑力不足;
Telescope™导引延长导管为弥漫钙化病变,提供可靠的器械输送平台,减少支架脱载等并发症的出现;
明显缩短手术时间,提高手术效率。
专家介绍
- 雷新宇 -
山西省心血管病医院
主任医师,硕士研究生,参加工作30余年,擅长心内科疾病的诊断和治疗尤其是急、危、重症的抢救和复杂冠心病的介入治疗。山西省康复医学会心脏介入治疗与康复专业委员常委,山西省医师协会心脏重症专业委员会常委,山西省医学会胸痛专业委员,山西省医师协会心脏介入专业委员会委员,山西省继续医学教育协会心血管病分会委员,山西省心血管病医师分会基层工作委员会委员;山西省专家学者协会医学分会理事兼副秘书长。

长按二维码关注“一脉同行”
· END ·

