
主动脉包裹(Aortic Wrapping)技术是主动脉根部手术常用的方法,是将根部血管置换后用原主动脉壁或牛心包、人工血管等材料将根部人工血管包裹,并与右心房吻合,做内引流处理。该方法能够有效减少根部手术止血困难的问题。一般,术后包裹腔会逐渐血栓机化最终分流口自行关闭。但在少数患者由于包裹腔未能机化且持续扩大,术后左向右分流持续存在导致前负荷过重,患者出现心衰症状,甚至形成较大的假性动脉瘤,并伴有感染、破裂出血等风险。包裹腔不能机化关闭的主要原因是主动脉吻合口或冠脉吻合口瘘严重,高速血流充盈包裹腔,导致难以在术后快速关闭。以往此类情况多需要再次开胸手术缝闭主动脉侧分流口,或再次根部重建,手术创伤大,风险高。团队在前期开展了大量外科术后瓣周漏、先心病术后残余漏等经皮介入封堵手术,针对心脏外科术后异常通道封堵积累了一定经验。在此基础上,团队开展了多例主动脉根部包裹腔吻合口瘘经皮介入封堵,避免患者再次开胸手术,取得了较好的临床效果。这里为大家分享一例,期待大家共同讨论。
基本信息
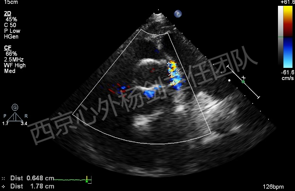
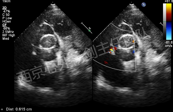
患者李某某,男,61岁,现病史:高血压15年,15年前行主动脉瓣置换术,13年前行升主动脉置换术、冠状动脉旁路移植术。主因心脏瓣膜术后15年,突发胸闷气短20天入院。检查提示:主动脉夹层动脉瘤,主动脉瓣位机械瓣位置、动度未见异常,升主动脉位人工血管上段吻合口漏,原有升主动脉管壁与人工血管之间液区,向右房分流,肺动脉高压(收缩压约51mmHg)。EDV: 192ml, ESV:102ml, FS:23%, SV:89ml。
术前诊断
术前CT评估


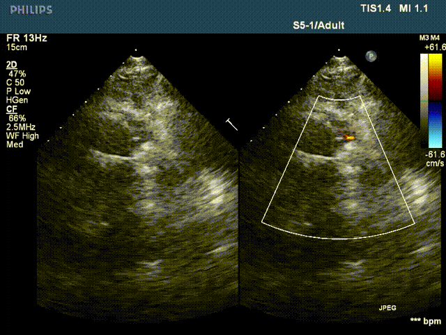
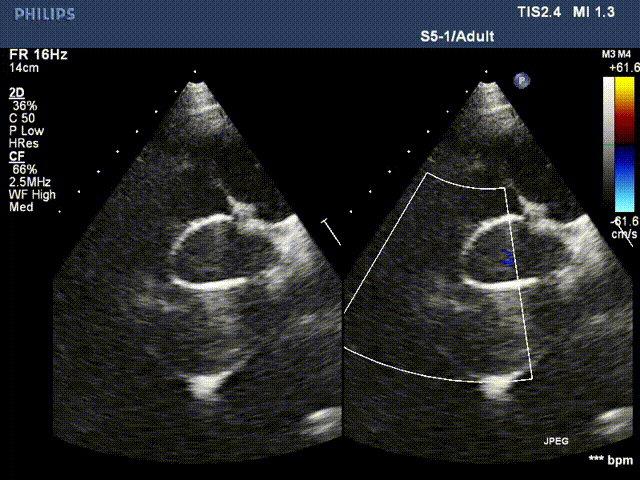
手术策略
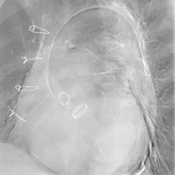
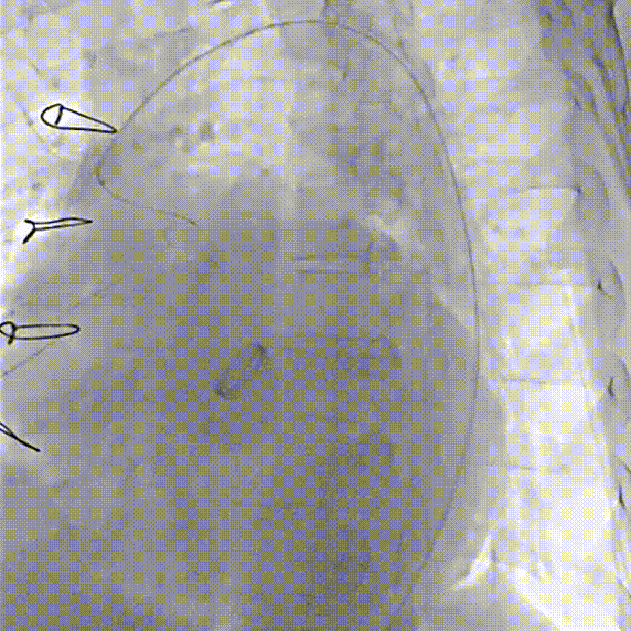
术中操作














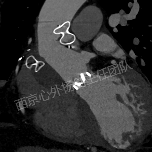
术后CT评估



经验小结
1.Aortic Wrapping技术目前仍是主动脉根部手术常用技术,能够有效减少术中止血困难问题,且缩短手术时间及体外循环时间,但术后确有部分患者出现远期漏口开放导致心衰包裹腔扩大等问题,需要进一步治疗。经皮介入封堵技术较再次开放手术在手术创伤和围术期安全性具有明显微创优势。
2.Aortic Wrapping吻合口漏位置多有不同,常见的是冠脉吻合口位置和升主动脉人工血管与自体远端血管吻合口位置,少数患者合并人工瓣膜瓣周漏。因此,此类手术是典型的不定型手术,特别是对于拟行微创封堵手术患者,术前多模态影像评估,尤其是3D打印实物模型对于手术方案制定有重要意义。
3.通过系列病例研究,完善的术前影像分析能够提高微创封堵手术技术成功率并缩短手术时间,且采用经皮封堵技术能够有效封堵此类吻合口漏,近期临床结果良好,技术可行。
4.对于Aortic Wrapping吻合口漏,应优选入口出口双伞封堵,有利于术后包裹腔快速机化消除分流。
